Статьи
0
Желчные конкременты возникают из-за сгущения желчи, которая скапливается в желчном пузыре. В процессе образования желчных камней происходит их постепенное кальцинирование....
0
Бородавки (кондиломы) вызываются различными типами папилломавируса человека (ВПЧ), который проникает в клетки плоского эпителия, поражая кожу и слизистые оболочки. Папилломы...
0
При установке зубного импланта пациенты часто сталкиваются с проблемой недостатка костной ткани, когда челюстная кость начинает уменьшаться, и нет достаточно...
0
Халитоз - это заболевание, которое проявляется неприятным запахом изо рта. Хотя этот симптом кажется очевидным, некоторые люди, страдающие от этого...
0
Любое заболевание пищеварительной системы вызывает дискомфорт у пациента. Чтобы предотвратить прогрессирование заболевания и возникновение нежелательных осложнений, человек вынужден изменить свой...
0
Бородавки - это безвредные новообразования на коже, которые могут появляться как отдельно, так и группами. Часто люди ошибочно связывают их...
0
Отсрочка похода к стоматологу при развитии кариеса может привести к серьезным осложнениям, включая образование флюса. Врачи называют это состояние периоститом....
0
Пародонтоз был известен людям с давних времен, и медики описывали это заболевание еще до нашей эры. Сегодня зубные врачи обладают...
0
Молочница у ребенка, проявляющаяся налетом во рту, является инфекционным заболеванием, известным как Кандидоз. Оно вызывается грибами Candida. Молочница у малышей...
0
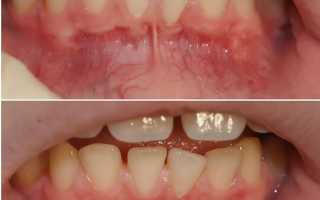
Пластика уздечки нижней губы является простой и часто необходимой хирургической процедурой как у детей, так и у взрослых. Она позволяет...
Показать ещё
