Методы диагностики
Первым шагом в диагностике любого заболевания, связанного с этим неприятным состоянием, является визуальный осмотр полости рта. Вы можете обратиться к терапевту, стоматологу или отоларингологу. Основываясь на характерных признаках, врач поставит диагноз и выдаст направления на необходимые клинические анализы.
Если причиной боли является воспалительный процесс слизистой рта или десен, необходимо обратиться к стоматологу. После осмотра и выяснения симптомов врач назначит соответствующее лечение. Во время осмотра специалист внимательно изучит окраску языка и его форму, определит вид налета и наличие образований на его поверхности (например, папилломы, пузыри, язвы). При повреждении корня зуба будет проведена соответствующая коррекция.
Исследование миндалин проводится отоларингологом с использованием специальных инструментов, таких как шпатели и изогнутый зонд, для взятия образца содержимого для бактериального анализа. Врач осматривает слуховые ходы и носовую полость с целью выявления заболеваний. Если есть подозрение на наличие злокачественной опухоли, может быть назначена биопсия. Бактериальный мазок позволяет определить возбудителя заболевания и его чувствительность к антибиотикам, которые будут использоваться при лечении.
При анализе истории болезни пациента, если выявляется наличие какого-либо длительного заболевания, которое могло вызвать появление боли в корне зуба, назначаются консультации следующих специалистов:
- специалист по эндокринологии (заболевания эндокринной системы);
- врач-гастроэнтеролог (проблемы органов ЖКТ);
- аллерголог, который участвует в лечении стоматита кандидозного типа и аллергических проявлений;
- при выявлении злокачественных опухолей или опухолевидных образований пациент будет направлен к онкологу;
- специалист по невропатологии;
- нефролог, занимающийся заболеваниями почек;
- кардиолог, специализирующийся на заболеваниях сердца;
- в случае необходимости оперативного вмешательства (добавочный зоб, онкология) потребуется консультация хирурга.
Эксперты с узкой специализацией применяют следующие методы диагностики в данной ситуации:
- исследование биохимических показателей крови;
- определение концентрации гормонов в организме;
- ультразвуковое исследование брюшной полости, горла и слюнных желез;
- проведение гастроскопии.
Патологии, болезни
В обычном состоянии язычная миндалина практически не заметна. Однако при воспалении она сразу становится заметной. Увеличение размеров язычной миндалины – это отклонение в развитии этого органа. Следующие факторы могут привести к увеличению размеров миндалины:
- запалення інших мигдалин (небних);
- спадкова схильність;
- постійний термічний, хімічний вплив: куріння, гаряча, солона, кисла їжа;
- хвороби травної системи.
Увеличение размеров язычной миндалины сопровождается следующими признаками:
- глазами можно увидеть миндалину;
- способна затруднить дыхание;
- изменяется звучание голоса, появляется неприятное звучание;
- храп также является одним из признаков.
Воспалительная реакция является результатом оседания вирусов на поверхности миндалин. Этот процесс может привести к развитию следующих заболеваний:
- воспаление гланд;
- увеличение размеров органа;
- инфекционное заболевание, сопровождающееся высыпаниями на коже.
Редко можно встретить ситуацию, когда инфекция не поражает гланды, а нападает на язычные миндалины. В результате возникает сложное в лечении заболевание — ангина язычной миндалины. Это заболевание распространено в основном среди людей пожилого возраста. По процессам, происходящим в организме, ангина язычной миндалины схожа с тонзиллитом. Следует выделить специфические симптомы:
- судорога в области челюсти;
- нарушение речевых функций;
- непроизвольное сокращение мышц челюсти.
Терапия направлена на уменьшение объема миндалин и выполняется исключительно под наблюдением медицинского специалиста.
Необходимо провести тщательную диагностику гипертрофии язычной миндалины, чтобы предотвратить развитие более серьезных заболеваний. Следует обратить внимание на наиболее опасные типы патологий:
- негубительные;
- зловредные.
Лечение
Прежде чем обратиться к врачу, можно воспользоваться несколькими простыми советами, чтобы снизить боль. Сюда входят следующие рекомендации:
- Ополаскивайте ротовую полость теплым раствором соли или прополисом до трех раз в сутки.
- Употребляйте больше жидкости в виде травяных чаев, минеральной воды. Жидкость должна быть теплой, но не горячей, чтобы не усугубить дискомфорт в языке.
- Для взрослых можно применять местные формы нестероидных противовоспалительных препаратов, если визит к врачу запланирован нескоро.
- Питайтесь полноценно, тщательно пережевывайте пищу, не употребляйте ее горячей.
- Теплое молоко с медом поможет уменьшить боль и не вызовет нежелательной реакции.
Дальнейшее лечение будет подобрано специалистом в зависимости от поставленного диагноза. Среди препаратов, которые могут быть применены, могут быть следующие:
- При подтвержденном бактериальном заболевании рекомендуется использовать антибиотики для борьбы с болями в языке.
- Для лечения ОРВИ и инфекционного мононуклеоза применяются противовирусные средства.
- Местные формы антисептиков способствуют уничтожению патогенной флоры глотки.
- Для уменьшения симптомов боли рекомендуется использовать препараты из группы нестероидных противовоспалительных препаратов.
- Для облегчения общего состояния рекомендуется применять жаропонижающие средства.
- При выявлении онкологического процесса определяется индивидуальная тактика лечения с использованием медикаментов, лучевого и хирургического воздействия.
Квалифицированный специалист определяет цели и исключает противопоказания для каждого препарата.
Возможные причины
- Зоб может развиваться в результате врожденной патологии, когда в определенной области корня щитовидной железы образуется дополнительная доля. Чтобы избавиться от этой проблемы, требуется оперативное вмешательство, при этом особенно важно сохранить нормальную функцию щитовидной железы.
- Травмирование корня языка может происходить в результате порезов, уколов или попадания инородных предметов. В случае небольших повреждений рекомендуется прием обезболивающих и ожидание некоторого времени. Более серьезные повреждения требуют лечения в стационаре.
- Вирусные инфекции могут вызвать болезненность корня языка и образование маленьких язвочек в виде волдырей. Это усложняет процесс глотания и нормальную речь. Воспалительный процесс может распространиться на миндалины, гортань и глотку. Лечение направлено прежде всего на борьбу с вирусной инфекцией.
Имеются и менее распространенные причины, которые вызывают дискомфорт в корне языка:
- Блокировка слюнной железы. Особенно интенсивные болевые ощущения возникают при глотании;
- Бактериальные инфекции. Проблема чаще возникает у детей, которые не соблюдают гигиену, включая мытье рук, овощей и фруктов;
- Рак корня языка. Это заболевание вызывает воспаление на ранних стадиях, но сильные боли возникают на поздних стадиях;
- Непрофессиональное применение лекарств, включая антибиотики;
- Аллергическая реакция организма;
- Интенсивное курение;
- Анемия;
- Гормональные нарушения;
- Невралгия языкоглоточного нерва, возникающая при сдавливании нерва опухолями и воспалением.
Если проблема не удается решить и она становится хронической, это может быть связано с нарушением правил гигиены или недостаточным пониманием причин возникновения заболевания. В любом случае, без помощи медицинского специалиста не обойтись.
Воспалительные заболевания
Воспаление нёбных миндалин
У человека в полости рта находится лимфоидная ткань, которая защищает организм от попадания микроорганизмов в дыхательные и пищеварительные пути. При воспалении миндалин и язычной миндалины проявляются следующие признаки:
- Значительное ощущение слабости и повышение температуры организма.
- Боль при глотании.
- Покраснение и отёчность гланд и корня языка.
- Появление налёта на поверхности.
Для лечения заболевания миндалин и их воспаления, врачи рекомендуют использовать антибактериальные препараты с широким спектром действия. Также рекомендуется прополоскать ротовую полость обезболивающими средствами и использовать таблетки для рассасывания с противовоспалительным эффектом.
Воспалительные процессы горла
Почти каждый из нас хотя бы однажды сталкивался с трудностями, связанными с различными воспалительными процессами, такими как в тканях языка, глотки или гортани. Определить, какой орган поражен и почему это произошло, может только специалист, обладающий знаниями в области современной медицины.
Когда человек сталкивается с подобной проблемой, ему следует обратить внимание на следующие признаки:
- Даже незначительное увеличение температуры тела, утрата аппетита, истощение организма.
- Неприятные ощущения при жевании и глотании пищи.
- Кашель, сопровождающийся хриплым голосом и насморком (насальная катаральная симптоматика).
Когда появляются первые симптомы заболевания, не следует использовать народные методы лечения, так как самостоятельное лечение может привести к серьезным проблемам со здоровьем. Если не начать лечение болезни своевременно, это может привести к развитию ангины.
Для эффективного лечения фарингита, рекомендуется использовать местные средства противовоспалительной терапии и антибиотики. При ларингите хорошие результаты можно достичь с помощью ингаляций с одним из щелочных растворов (например, Боржоми).
Воспалительные заболевания языка
Воспалительное заболевание, похожее на глоссит и проявляющееся следующими признаками:
- Избыточное слюнотечение.
- Отсутствие ощущения вкуса пищи и онемение языка.
- Неприятные ощущения в полости рта при еде и разговоре.
- Боль и покраснение языка.
Глоссит представляет собой воспалительное заболевание языка
Методы лечения аналогичны тем, что используются при фарингите. Это включает в себя прием антибиотиков и лекарств, способствующих быстрому и эффективному устранению воспаления.
Язвы, возникающие на корне языка при ВИЧ
Механическое и химическое повреждение
Среди наиболее часто встречающихся можно выделить следующие:
- курение табака;
- потребление слишком острой пищи и горячих напитков;
- работа в условиях, вредных для здоровья;
- потребление различных кислот и щелочей;
- повреждение языка некачественными стоматологическими инструментами.
Вирусный герпес, поражающий корень языка
Длительное воздействие указанных травм может причинить необратимый ущерб здоровью человека. Если употреблять горячие напитки единожды, ожог будет незначительным, но если делать это регулярно, то ожоги будут значительными.
Ощущение ожога на языке сопровождается интенсивным болевым синдромом
Личность переживает:
- Дискомфорт в области горла и языка, усиливающийся при приеме пищи.
- Неприятный запах из полости рта.
- Изменение окраски и формы языка.
Исцеление данного недуга достигается путем следования специальной диете. Местное лечение ротовой полости включает применение жидких препаратов, способных успешно заживлять язвы.
Онкологические проблемы
Злокачественные опухоли могут стать серьезной причиной появления болей в корне языка. Такие неприятные ощущения обычно имеют постоянный характер и не утихают после применения противовоспалительных средств. Пациент может испытывать болезненность при жевании, глотании пищи и во время разговора.
Люди сравнивают эти признаки с тем, как если бы в ротовой полости находилось что-то чуждое.
Посещение врача вовремя может предотвратить развитие серьезного заболевания и поддержать высокое качество жизни пациента. Лечение включает применение передовых методов.
Болит язык у основания, больно глотать что делать в домашних условиях
Для точного определения причины и выбора наилучшего способа лечения при неприятных ощущениях в корне языка и затруднении глотания необходимо как можно скорее обратиться к специалисту. Тем не менее, некоторые простые методы для снижения болевых ощущений можно применить и дома.
Медикаментозное лечение
В зависимости от исходных причин заболевания назначается применение антигистаминных, противовирусных, антибактериальных, а также противогрибковых медикаментов.
Для снижения болевых ощущений рекомендуется использовать препараты, такие как «Анестезин», «Лидокаин» и «Камистад».
Для ускорения процесса заживления поврежденных слизистых оболочек в языке и ротовой полости рекомендуется использовать препараты «Регесол», «Цимед» и «Вентер».
Часто в подобных ситуациях рекомендуется использование препаратов «Но-Шпа» и никотиновой кислоты — эти лекарства могут успешно улучшить кровообращение.
Для достижения общего укрепляющего, обезболивающего и противовоспалительного действия рекомендуется использовать препарат «Плазмол». Этот медикамент также способствует улучшению обмена веществ в клетках и ускорению процесса регенерации.
Народные средства
Если признаки не проявляются сильно, можно успешно бороться с ними, используя проверенные временем и надежные народные методы.
Для снятия боли в корне языка, вызванной ожогом или травмой, отлично подойдут компрессы с маслом шиповника, которые известны своими ярко выраженными успокаивающими, укрепляющими и ранозаживляющими свойствами.
Для снятия раздражения также полезно проводить регулярные полоскания отварами ромашки, шалфея и календулы, настойками пиона и прополиса, а также использовать растворы марганцовки, морской соли или соды.
Для поддержания здоровья необходимо регулярно ухаживать за полостью рта, следить за состоянием горла и пищеварительной системы, а также исключить из рациона питания продукты, которые могут вызывать раздражение.
Болезненные ощущения, возникающие в корне языка, могут быть вызваны травмами, ожогами, аллергией или воспалительными процессами. Для лечения легких случаев этого недуга можно использовать полоскания и аппликации с применением домашних средств. В случае более серьезного протекания заболевания врач назначит лекарства, обеспечивающие максимальный эффект.
Диагностика заболевания
Каждое заболевание, связанное с болезненными симптомами на языке, можно определить по определенным признакам. Качество всего лечения зависит от правильной и точной диагностики. Давайте более подробно рассмотрим возможные заболевания языка, воспаление в горле и миндалинах, а также другие причины, из-за которых может болеть корень языка или область под ним.
Болезни языка
Глоссит представляет собой воспалительный процесс в тканях языка. Определить его наличие можно по нескольким признакам: увеличенное выделение слюны, неприятные ощущения и боли при разговоре и приеме пищи, потеря вкусовых ощущений, язык приобретает красный оттенок и становится болезненным. Лечение этого заболевания включает применение антибиотиков и противовоспалительных препаратов.
Возникновение заболевания может быть вызвано воспалением уздечки под языком. Уздечка представляет собой связку, соединяющую язык с слизистой рта у нижней челюсти (что делать, если уздечка под языком болит?). Воспалительный процесс может возникнуть из-за механических повреждений при приеме пищи, что чаще всего происходит у людей с короткой уздечкой. Также воспаление может возникнуть в уздечке из-за заболеваний десен и стоматита. При воспаленной уздечке могут увеличиться лимфоузлы под челюстью. Людям с короткой уздечкой рекомендуется процедура разрезания для предотвращения проблем, а при возникновении воспаления врач проводит соответствующее лечение.
Если возникают боли в начале горла, это может указывать на поражение языкоглоточного нерва. Боль при невралгии может быть сравнима с небольшими разрядами электричества, которые возникают при широком открытии рта или во время жевания пищи. Также пациент может ощущать в горле чужеродное тело, боли могут отдавать в ухо, небо и область шеи, а также измениться восприятие вкуса. Простуда и переохлаждение могут быть причиной этого недуга. Развитию симптомов также могут способствовать сдавливание нерва, инфекции ротоглотки, опухоли в районе черепа и воспаления центральной нервной системы. Для лечения обычно рекомендуется прием лекарств против судорог, иммуностимуляторов и антидепрессантов.
Распространение раковых заболеваний на языке представляет собой одну из самых серьезных угроз. При поражении раковыми клетками языка проявляются следующие признаки: постоянные боли, затруднения при разговоре и приеме пищи, похожие на ощущение наличия чего-то чужеродного. Основные препараты противовоспалительной терапии не обеспечивают эффективное лечение. В данной ситуации необходимо как можно скорее обратиться к квалифицированному специалисту для выявления заболевания на ранней стадии. В лечении применяются методы лучевой и химиотерапии.
В любом случае, если у человека длительное время болит глотать, необходимо обратиться к отоларингологу или по крайней мере к терапевту. Специалист поможет выявить настоящее заболевание и назначить соответствующее лечение.
Воспаление горла
Воспаление тканей гортани и глотки может проявиться следующими признаками: усталость, повышение температуры, ухудшение аппетита, ощущение боли и ее усиление при глотании, появление насморка и кашля вместе с потерей голоса. В случае возникновения указанных симптомов, следует обратиться к врачу, поскольку инфекция может легко распространиться на другие области организма. Наиболее распространенными заболеваниями при таких симптомах являются фарингит и ларингит. Для успешного лечения этих заболеваний обычно назначаются местные средства против воспаления, антибиотики и ингаляции с использованием щелочных растворов.
Воспаление миндалин
Между полостью рта и глоткой находится лимфоидная ткань, которая защищает органы дыхания и пищеварения от проникновения микробов. В этом процессе принимает участие язычная миндалина, расположенная на корне. При воспалении язычной и небных миндалин проявляются следующие симптомы: слабость, повышенная температура, боль при приеме пищи, отечность корня языка и миндалин, образование налета желто-белого цвета. Для лечения используются антибактериальные препараты с широким спектром действия, противовоспалительные таблетки и лечебные полоскания.
Другие причины
Если возникают болезненные ощущения на языке, это может быть вызвано различными видами повреждений, как химического, так и механического характера, с одной или обеих сторон. Существует несколько факторов, которые могут приводить к появлению боли:
- курение (особенно опасны табачные изделия без фильтра);
- очень горячий кофе или чай (при частом употреблении);
- предпочтение пряной и острой пищи;
- некачественные стоматологические процедуры;
- вредные условия труда (работа на химических предприятиях);
- воздействие щелочей, кислоты или уксуса;
- травмы от протезов или имплантов.
Если возникнут указанные причины, то могут проявиться следующие признаки: неприятные ощущения в области горла и у основания языка, изменение его внешнего вида и окраски, а также появление неприятного запаха. Для лечения рекомендуются мягкие средства для заживления ран и специальное диетическое питание.
Язычковая миндалина что это
Важно знать!
Эта информация обязательна для ознакомления! Удивительно, но факт! Ученые выявили удивительную взаимосвязь. Оказывается, что половина всех заболеваний ОРВИ, сопровождающихся повышением температуры, а также симптомами жара и озноба, вызваны присутствием бактерий и паразитов, таких как Лямблия, Аскарида и Токсокара. Какова опасность этих паразитов? Они могут навредить здоровью и даже угрожать жизни, поскольку прямо воздействуют на иммунную систему, нанося необратимый вред. В 95% случаев иммунная система оказывается бессильной перед бактериями, и заболевания не заставляют себя долго ждать.
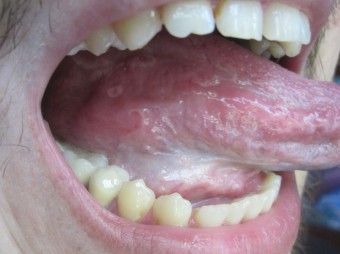
Язычковая миндалина представляет собой сгусток лимфоидной ткани, который находится в слизистом эпителии основания языка за сосочками. Это хорошо показывается на изображении. Эта миндалина является одиночной, хотя у большинства людей есть две железы.
Лимфоидная ткань содержит скопление крупных фолликулов, количество которых изменяется в зависимости от возраста человека. С возрастом у человека увеличивается количество фолликулов, приблизительно в 4 раза к 30-летнему возрасту, но затем начинает снижаться.
Лимфатические узлы разделены бороздкой, и если она четко выражена, то у человека присутствуют две язычные миндалины. Это отчетливо видно на изображении.
Миндалины, будь то язычные, глоточные или небные, играют роль защитного барьера, который препятствует проникновению бактерий и вирусов в организм.
Когда патогенные микроорганизмы атакуют лимфоидную ткань, происходит активация процесса выработки иммунных клеток, которые играют важную роль в борьбе с такими атаками.
Что делать, если болит сбоку языка
При различных причинах боли в языке симптомы могут быть похожи, поэтому не следует отказываться от посещения врача для обеспечения надежности. Врач сможет посоветовать, что делать в данной ситуации. С ожогами и механическими повреждениями проблем не возникает, но определение заболеваний, таких как глоссит или глоссалгия, может потребовать помощи специалиста.
В случае неприятных ощущений в любой области полости рта, важно обратиться к стоматологу в первую очередь.
После осмотра специалист даст рекомендации или направит к другим коллегам. Если возникла боль из-за протезов, пломб или других стоматологических конструкций, стоматолог самостоятельно устранил проблему на месте, устраняя проблемные участки. В случае более сложных конструкций, таких как ортопедические или ортодонтические, возможно направление к ортодонту или протезисту.
Существует возможность, что стоматолог не обнаружит отклонений, вызывающих дискомфорт. Если боль по бокам языка вызвана аллергической реакцией на лекарства, алкоголь или другие аллергены, или же болезненные ощущения связаны с заболеваниями ЖКТ или попаданием инфекции в организм, то потребуется дополнительное обследование.
Возможно, вам будет полезно обратиться за консультацией в:
- врача общей практики;
- хирургического специалиста;
- специалиста по аллергии и иммунологии;
- специалиста по желудочно-кишечным заболеваниям;
- специалиста по кожным заболеваниям.
Для более полного понимания причин возникновения боли и методов ее лечения следует обратить внимание на следующие исследования:
- исследование крови и мочи;
- ультразвуковое исследование живота;
- рентгеновское исследование желудка;
- магнитно-резонансная томография и томограмма.
Если у вас поставили диагноз, связанный с заболеванием желудка, в первую очередь рекомендуется обратить внимание на это состояние. Параллельно можно использовать противовоспалительные ополаскиватели для устной полости, настои из трав и недорогой алоэвера, который доступен в аптеках.
Если исследования указывают на наличие воспалительного процесса и появление боли в результате инфекции, рекомендуется использовать антибактериальные и противовирусные препараты.
Также следите за укреплением иммунитета: витаминные комплексы и иммуномодуляторы будут полезны. Дополнительную защиту организму обеспечат биологически активные добавки, улучшающие процессы защиты организма от инфекций и способствующие быстрому облегчению дискомфорта в области горла.
При получении ожогов и микротравм, не рекомендуется употреблять твердую, горячую и вредную пищу, такую как сухари, жареные окороки и орехи. Также стоит избегать конфет и леденцов с химическими красителями, так как они могут замедлить процесс заживления ран. Чай, кофе и первые блюда следует дать остыть в течение десяти — пятнадцати минут перед употреблением.
Если врачи выявили у вас аллергию на лекарственные средства, важно обратиться не только к аллергологу, но и к врачу, который выписал аллергенный препарат.
Попросите врача назначить заменитель лекарства, чтобы продолжить лечение изначального заболевания. Обратитесь к аллергологу с просьбой назначить препараты от аллергии. В некоторых случаях выбор препаратов может различаться (в зависимости от компонентов, на которые у больного аллергия), но наиболее популярными на рынке являются Белый уголь, «Диазолин», «Цетрин» и «Супрастин».
Травматическое повреждение
Очень часто причиной неприятных ощущений становится повреждение языка в результате механического, термического или химического воздействия. Например, если болит бок языка, это может быть признаком его повреждения зубами. Получить травму в повседневной жизни очень просто:
- пряная или острая еда;
- медицинские процедуры в ротовой полости;
- кусание, включая ситуации с эпилептическими приступами;
- попадание щелочей или кислот в рот;
- вдыхание едких паров;
- курение;
- травмы, полученные при падении, ударе, драке, ДТП;
- механическое повреждение от посторонних предметов и так далее.
Повреждение слизистой оболочки обычно заживает самостоятельно, так же как и мелкие царапины. Это происходит благодаря высокой способности слизистой ткани к регенерации и воздействию слюны.
Более значительные травмы требуют большего времени для заживления, поэтому для предотвращения воспаления и ускорения процесса выздоровления можно применять вспомогательные средства. Например, полезно прополоскать ротовую полость антисептическими растворами, употреблять травяные чаи без добавления сахара. В определенных случаях могут быть использованы мази и компрессы для тканей ротовой полости.
Иногда возникает необходимость обратиться за помощью к стоматологу. Это может понадобиться, если травмирование языка происходит неоднократно из-за наличия дефектов прикуса, острых краев зубов, а также из-за неправильной установки пломб и коронок, брекет-систем или зубных протезов.
Профилактика проблем
Для того чтобы предотвратить развитие подобных проблем, важно обратить внимание на профилактику. Именно устранение воздействия причины болей является основой успешного лечения
- Для предотвращения развития воспалительных процессов необходимо сосредоточить усилия на уменьшении риска заражения и укреплении иммунитета. Чтобы улучшить защитные функции организма, важно правильно питаться. В период простуды следует добавить больше продуктов, богатых витаминами, в свой рацион. Вредные продукты следует полностью исключить из меню, а также отказаться от употребления алкоголя.
- Чтобы избежать повреждения слизистой оболочки во рту, стоит избегать слишком острой и горячей пищи. Холодные продукты также не принесут пользы, так как могут способствовать развитию простудных заболеваний.
- Если ваш зубной ряд причиняет дискомфорт в боковой области рта, проблему можно легко решить, обратившись за помощью в стоматологическую клинику. Форму зубов, излишки пломбировочного материала, положение ортодонтических систем – все это можно скорректировать.
- Для снижения риска раздражения слизистой оболочки рта и гортани, а также для предотвращения развития онкологических заболеваний, рекомендуется отказаться от курения. Лучше заняться спортом и сосредоточиться на поддержании здорового образа жизни.
- Для контроля состояния ротовой полости регулярно посещайте медицинские учреждения. Важно проходить не только общий осмотр у терапевта и других специалистов, но и у стоматолога.
Поддержание здоровья – это ключ к предотвращению серьезных заболеваний и возможность обнаружения проблем на ранних этапах их развития!
Лечение операцией
Для устранения увеличенных миндалин в горле часто применяется хирургическое вмешательство, однако оно рекомендуется только при определенных показаниях, включая:
Подозрение на наличие опухоли. Сильное сближение миндалин в районе гортанной щели, что затрудняет прием пищи и дыхание. Абсцессы миндалин (абсцессы паратонзиллярных желез). Горло.
Процедура удаления частичной или полной гланд называется «тонзиллэктомия». Для выполнения этой операции пациенту необходима госпитализация в стационаре и общее наркозное состояние. Тем не менее, уже через 2 дня пациент выписывается на дом.
Удаление аденоидов, также известное как аденотомия, может быть выполнено как под общим, так и под местным обезболиванием. После этой процедуры не требуется госпитализация.
Удаление миндалин — это сложная хирургическая процедура, сопровождающаяся значительным кровотечением. Поэтому требуется перевязывание сонной артерии.
В последние несколько лет медики отдают предпочтение малоинвазивным методам для хирургического лечения увеличения лимфоидной ткани языка, таким как диатермокоагуляция и криохирургия. В случае рецидива заболевания рекомендуется применение лучевой терапии.
Последние разговоры:
Воспаление миндалин, известное как тонзиллит, является распространенным заболеванием, вызываемым вирусами, бактериями и патогенными грибами. Это состояние также известно как ангина.
Патологический процесс обычно затрагивает небные миндалины, которые являются одними из самых крупных лимфоидных образований лимфаденоидного глоточного кольца. Ангина непарной язычной миндалины встречается значительно реже и, в отличие от типичного тонзиллита, более характерна для пациентов среднего и пожилого возраста, а не для детей.
Лечение воспаления язычной миндалины различается в зависимости от проявлений болезни и требует обязательного вмешательства. Как определить признаки и каким образом следует проводить лечение этого состояния?
Причины боли
Речь и пищеварение тесно связаны с языком. Он расположен рядом с глоткой, гортанью, миндалинами и деснами. При диагностике специалисты могут учитывать изменения в соседних органах, особенно если боль сопровождается характерными симптомами.
Воспаление миндалин
Когда корень языка болит, это может быть вызвано воспалительными процессами, которые развиваются в миндалинах. Обычная ангина, которую переносит почти каждый, возникает из-за атаки стрептококками или стафилококками и затрагивает не только миндалины, но и корень языка и заднюю стенку глотки. Реже ее могут вызывать вирусы или грибы Candida.
Патология проявляется сопутствующими симптомами:
- ощущение сухости и жжения в области горла;
- неприятное ощущение першения;
- незначительное повышение температуры тела;
- покраснение и увеличение миндалин;
- небольшое увеличение лимфатических узлов.
Воспаление язычной миндалины
Развитие этого заболевания встречается редко в изоляции, обычно оно выступает в качестве признака других заболеваний глотки. Иногда воспаление может быть вызвано механическими повреждениями, например, во время стоматологических процедур.
Заболевание редко возникает, но проходит в тяжелой форме и требует госпитализации. Если у вас есть подозрения на воспаление миндалин, важно немедленно обратиться к врачу, так как это может привести к серьезным осложнениям, таким как отек гортани и затрудненное дыхание.
Признаки воспалительного процесса включают в себя следующие признаки:
- дискомфорт в корне языка;
- повышение температуры тела;
- усиление боли при попытке высунуть язык изо рта;
- затруднения с произношением слов;
- увеличение размеров языка, из-за чего человек не способен закрыть рот.
Глоссит
Нередко в результате травмы или воздействия патогенных микроорганизмов у человека может возникнуть воспаление языка, которое называется глоссит. Этот термин описывает группу заболеваний, которые различаются по характеру проявления и симптомам. Например, катаральный глоссит развивается в поверхностных слоях языка, но иногда может затронуть и глубокие части, включая корень. При язвенном глоссите помимо боли появляются язвы, покрытые серым налетом и имеющие неприятный запах.
Среди основных признаков заболевания, помимо ощущения боли, следует выделить:
- покраснение;
- пигментация языка – он приобретает оттенок бордового или ярко-красного цвета;
- затруднения с произношением, глотанием, жеванием пищи.
Ожоги, травмы, химическое воздействие
Если корень языка болит, это может быть вызвано внешними воздействиями:
- Ожоги, вызванные употреблением слишком горячих напитков или пищи, могут привести к серьезным последствиям. Обычно человек ощущает жжение, болезненность и онемение, но в большинстве случаев симптомы постепенно утихают.
- Химическое воздействие может произойти при случайном попадании бытовой химии в рот, вдыхании едких паров на производстве или употреблении суррогатных алкогольных напитков.
- Травмы, связанные с пирсингом, ударами в область подбородка или лица, неквалифицированным стоматологическим лечением, могут привести к серьезным последствиям. Иногда механические повреждения возникают во время приступа эпилепсии, проглатывания острых кусочков пищи (рыбных костей) или инородных тел.
Поражение языкоглоточного нерва
Если у вас болит корень языка и больно глотать, возможно, причиной проблемы является поражение языкоглоточного нерва. Этот нерв ответственен за вкусовую чувствительность в задней части языка, а также за общую чувствительность нёба, миндалин и глотки. Поражение этого нерва может произойти из-за травм, опухолей, аневризмы, неврита или менингита.
Симптомы болезни могут быть крайне неприятными, но они не длительны. Если боль не утихает, врачи могут подозревать наличие злокачественной опухоли в гортани.
Важно отметить, что патология встречается нечасто. Она вызывает дискомфорт в области корня языка при глотании и сопутствующие симптомы:
- отсутствие восприятия вкуса;
- потеря реакции на глотание;
- уменьшение чувствительности в области горла;
- иногда – ощущение сухости во рту.
Другие причины
Среди других факторов, способствующих появлению боли в корне языка, следует отметить:
- абсцесс околоминдаликовой области;
- воспаление глотки;
- новообразование;
- воспаление гортани;
- последствия употребления никотина;
- повышенная чувствительность к аллергенам;
- недостаток железа в организме.
Причины, варианты течения
Язычная миндалина находится в слизистой оболочке корня языка и вместе с другими элементами лимфоэпителиального кольца Пирогова-Вальдейера выполняет защитную функцию – ее можно рассматривать как своеобразный «иммунный барьер» на пути вредоносных агентов. Она имеет небольшие размеры и при отсутствии патологических изменений не вызывает дискомфорта при глотании или разговоре.
Ангина (тонзиллит) язычной миндалины может возникать отдельно, в этом случае другие миндалины не затрагиваются; также она может быть частью клинической картины при общем поражении лимфоэпителиального кольца. Статистические данные показывают, что количество случаев ангины язычной миндалины выше у взрослых пациентов, но риск заболеть существует у детей любого возраста.
Почему происходит развитие воспалительного процесса в области миндалины? Причиной этому могут быть патогенные микроорганизмы (например, стафилококки, стрептококки и другие). История болезни (информация о событиях, предшествующих появлению симптомов заболевания) обычно указывает на наличие травмы миндалины, которая может возникнуть из-за:
- Получение травмы костью или другим острым предметом во время еды.
- Попадание инородного тела с острыми краями в полость рта.
- Хирургического вмешательства в области гортани (например, удаление миндалин или аденоидов).
Также следует учитывать возможность заражения от зубов или смежных тканей, где сосредоточены патогенные микроорганизмы, вызывающие патологические изменения.
Провоцировать воспаление миндалин может не только микроорганизмы в полости рта и очаги инфекции в зубах, но и внешняя микрофлора на поверхности чужеродных объектов.
Важно также учитывать сопутствующее нарушение чувствительности слизистой оболочки (которое не связано с ангиной язычной миндалины, но могло стать причиной того, что повреждение осталось незамеченным), а также проблемы с глотанием, спешка во время приема пищи. Кроме того, важен уровень реактивности иммунной системы – если присутствует иммунодефицит, вероятность развития инфекционно-воспалительного процесса даже при незначительной травме очень высока.
В зависимости от формы течения, воспаление миндалин может проявляться следующим образом:
- затрудненной;
- связанной с фолликулами;
- сопровождаемой флегмоной.
Самым легким видом язычной миндалины является катаральный тонзиллит. При фолликулярной форме заболевания поражаются лимфоидные узелки или фолликулы миндалины. Флегмонозное воспаление представляет собой распространенное гнойное заболевание, при котором гнойное содержимое diffundiert в пораженные ткани, не ограничиваясь конкретной полостью.
Частые вопросы
Какие причины могут вызывать боль при глотании в языке и горле?
Боль при глотании в языке и горле может быть вызвана различными причинами, такими как воспаление глотки, инфекция, травма, аллергия, рефлюкс кислоты из желудка и другие заболевания.
Какие симптомы могут сопровождать боль при глотании в языке и горле?
Кроме боли при глотании, симптомы могут включать в себя зуд, покраснение, отечность, затрудненное глотание, повышенную температуру, общую слабость и дискомфорт в области горла.
Полезные советы
СОВЕТ №1
Обратитесь к врачу, чтобы установить причину боли при глотании. Это может быть связано с инфекцией, воспалением или другими проблемами, которые требуют профессионального вмешательства.
СОВЕТ №2
Пейте теплые напитки, такие как чай с медом или теплое молоко с медом, чтобы смягчить горло и уменьшить дискомфорт при глотании.
СОВЕТ №3
Избегайте острой, кислой и горячей пищи, которая может усугубить боли при глотании. Предпочтительно употреблять мягкую и нежирную пищу.






















