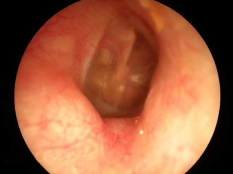
Импедансометрия
Проведение диагностических исследований является первым шагом в процессе лечения. Без обследования попытки избавиться от бульканья могут оказаться неэффективными. Диагностика помогает не только установить точный диагноз, но и выявить истинные причины, вызывающие данное состояние.
Импедансометрия – это метод диагностики, который помогает определить состояние различных частей уха и слухового аппарата. Регулярно возникающие звуки в ушах могут указывать на наличие различных нарушений: воспаление, ограничение подвижности слуховых косточек или другие проблемы.
Как правило, специалист назначает проведение всестороннего аудиологического обследования, которое поможет выявить состояние слуховых рефлексов и выявить наличие патологии в области среднего уха, оценить уровень ухудшения слуховой функции и проверить проходимость слуховых каналов.
Если у вас сильный насморк, то проведение диагностики может быть нежелательным. Это связано с тем, что сильное отечность слизистой оболочки может исказить результаты из-за изменений давления в барабанной полости.
Если у вас появилось бульканье в ухе, важно не пытаться лечить его самостоятельно, а обратиться к квалифицированному специалисту.
Возможные причины
Только небольшая часть ситуаций, когда люди обращаются к врачу из-за ощущения наличия воды в ухе, подтверждается реальным наличием воды. В остальных случаях это ощущение может быть вызвано повреждением механизма передачи звука, закупоркой слухового прохода и другими факторами. Основные причины возникновения ощущения хлюпанья воды в ухе будут рассмотрены далее.
Вода, попавшая в уши во время гигиенических процедур или купания
Если после посещения бассейна, купания в море или проведения гигиенических процедур вы ощущаете хлюпание в ухе, возможно, в наружный слуховой проход попала вода. В обычных условиях, независимо от того, насколько глубоко затекла вода, она всегда самостоятельно вытекает.
Если структура уха нарушена физиологически, например, если слуховой проход слишком изогнут, вода может проникнуть не только во внешнее, но и в среднее ухо. Также это может произойти при неправильном проведении процедуры промывания носа из-за пробоя барабанной перепонки.
Воспалительный процесс
Если постоянное ощущение наличия воды в ухе не исчезает и сопровождается появлением болевых ощущений, это может указывать на развитие воспалительного процесса. Такие симптомы часто свидетельствуют о следующих заболеваниях:
- грибковое поражение ушей;
- воспаление среднего уха;
- воспаление трубы, соединяющей ухо и горло.
При таких обстоятельствах в полости внутреннего и среднего уха накапливается экссудат, который и вызывает ощущение наличия жидкости в ухе. Накопление жидкости за барабанной перепонкой вызывает раздражение слуховых косточек и рецепторов, что приводит к симптомам бульканья и хлюпанья.
Серная пробка
Если ухудшение слуха и ощущение заложенности сопровождают синдром бульканья, возможно, в ушной раковине образовалась серная пробка. Это препятствие блокирует слуховой проход, и многие люди страдают от этого недуга, даже не подозревая о существующей проблеме.
Несомненно, среди всех перечисленных факторов наиболее опасным является воспалительный процесс. Кроме того, инфекции сопровождаются следующими признаками:
- неприятные ощущения и боли;
- повышение температуры организма;
- вертячка;
- ощущение заложенности ушей;
- выделения из слухового прохода.
В дополнение к упомянутым аспектам, чувство заложенности и шум в ухе могут быть обусловлены следующими заболеваниями:
- нарушение слуха;
- повреждение нерва, отвечающего за слух;
- заболевания сердечно-сосудистой системы;
- попадание постороннего предмета в слуховой проход;
- развитие опухоли;
- повреждение уха.
Для выявления истинной причины синдрома следует обратиться за консультацией к отоларингологу. Если специалист не обнаружит проблем со стороны ЛОР-системы, он сможет направить к узким специалистам для более тщательного обследования.
Чем опасно воспаление
Экссудативный отит может прогрессировать до острой формы, которая может быть трудноизлечимой. Постепенно интенсивное воспаление может перейти в хроническую форму, что представляет опасность для развития речи и психики у маленьких детей. Кроме того, возможны осложнения в виде лабиринтита, мастоидита, ухудшения слуха, сепсиса и даже абсцесса мозга. Не леченый евстахиит может стать хроническим и привести к регулярным обострениям. Со временем стенки слуховой трубы могут слипнуться, что затруднит последующее лечение, и больной рискует потерять слух.
Если спустя 48 часов после возникновения проблемы с ухом все еще сохраняются симптомы, такие как чавканье в ухе и стабильно повышенная температура, необходимо обратиться за медицинской помощью.
Для излечения и избавления от МОКРОТЫ наши читатели успешно применяют натуральное средство от МОКРОТЫ .
Это средство полностью натуральное, включающее в себя исключительно травы, смешанные таким образом, чтобы максимально эффективно справиться с недугом.
Продукт поможет быстро и эффективно победить кашель в короткие сроки, и, кроме того, окончательно. Поскольку препарат состоит только из трав, то он не оказывает никакого воздействия. Не влияет на давление и сердечный ритм.
Лечение
Если вас беспокоят лишние звуки в ушах, необходимо пройти обследование и выявить основную причину воспаления.
Для этого врач назначает аудиометрию, томографию, рентген и другие методы исследования, на основе которых специалист определяет курс лечения.
Если у вас есть подозрения на наличие серной пробки, то следует выполнить процедуру промывания, чтобы избавиться от излишков серы.
Возможно, это выполнить в домашних условиях, используя специальные растворы, либо обратившись к отоларингологу для проведения процедуры промывания.
Не забывайте, что если пробка в ухе застарелая, то ее нужно сначала размягчить. Для этого в ушной проход вводят около десяти капель трехпроцентной перекиси водорода от пятнадцати минут до получаса.
После этого нужно промыть ухо теплой водой и вытереть салфеткой. Только после этого можно приступать к процедуре промывания. Таким образом, сера будет легче удалиться без боли и других неприятных ощущений.
Шум и пузырение могут возникнуть непосредственно после принятия водных процедур или купания в водоемах и озерах. В этот момент важно избавиться от влаги как можно скорее. Вода, задержавшаяся в слуховом проходе, вытекает без проблем, но когда она попадает в область среднего уха, процесс ее удаления становится более сложным.
Если жидкость задерживается, она может привлечь большое количество бактерий, что в конечном итоге может привести к инфицированию ушного органа и обострению вирусных заболеваний.

Появление шума в ухе может быть связано с развитием воспалительного процесса в ушной раковине, поэтому важно провести тщательное обследование и определить характер заболевания.
Часто возникает шум в ушах у взрослых и детей из-за среднего отита. В этом случае требуется применение антибиотиков.
Однако, если вы заметили развитие отита на ранних этапах, врач может назначить ушные капли и мази, а также провести физиотерапию.
Список лекарств, включенных в программу лечения, включает в себя следующие препараты:
- Препараты Кларитромицин, Цефероксим-ацетал и Азитромицин относятся к группе антибиотиков.
- При инфицировании барабанной перепонки часто применяются антибиотики местного действия, такие как Цефтриаксон, Цефуроксим, Нирофец и Аугментин.
- Для снятия воспаления и боли в ушной раковине могут использоваться ушные капли, например Отипакс, Отинум, Отофа и Кандибиотик.
- Для заживления пораженных тканей часто рекомендуется использовать турунды, смоченные в мази.
- При целой барабанной перепонке и нормальной температуре тела можно применять спиртовые согревающие компрессы.
- Для укрепления иммунитета могут быть назначены препараты Виферон и Мегасин.
Когда состояние пациента улучшается, важно пройти ряд физиотерапевтических процедур, включая ультразвуковую терапию, микроволновую терапию, ультрафиолетовое облучение, а также тепловое лечение и лечение с помощью синего света.

Кроме этого, шумы и другие ненормальные звуки могут свидетельствовать о начале воспаления в ушах.
Если это происходит, то требуется выполнить профилактику и лечение, направленные на устранение вирусов и инфекций.
Среди них можно выделить следующие:
- Процедура продувания.
- Использование препаратов против воспаления.
- Внесение сосудосуживающих препаратов в нос.
- Терапия лазерным методом.
- Массаж барабанной перепонки при помощи пневматического устройства.
Иногда врачи рекомендуют принимать препараты от аллергии. Если при этом у пациента возникают интенсивные боли, следует принять обезболивающие средства.
Если звук бульканья вызван более серьезными причинами, врачи могут рекомендовать применение антибиотиков или даже хирургическое вмешательство. Например, операция может потребоваться при значительном скоплении различных выделений в области барабанной перепонки. Кроме того, хирургическое вмешательство может быть необходимо при образовании опухолей или рубцовой ткани.
При возникновении психологических расстройств, пациенту рекомендуется проведение индивидуальной терапии,
поскольку в таких ситуациях акустические сигналы часто бывают искаженными. Назначение лекарственного курса должно осуществляться лечащим врачом.
Способы устранения проблемы
Если вы постоянно ощущаете наличие жидкости в ухе, которое не проходит длительное время, важно
Иногда возникают неприятные ощущения, когда ухо заложено и кажется, что там скопилась вода, это может быть вызвано закупоркой слухового прохода серой. Чтобы избавиться от серной пробки, лучше всего обратиться за помощью к врачу. Он удалит её из уха с помощью пинцета. Если грязь забилась слишком глубоко и затвердела, проводится её размягчение. Обычная вода может привести к её набуханию, поэтому вместо неё лучше применять перекись, разрушающую серные скопления. Остатки выделений вымываются с помощью физраствора.
Если у вас возникло ощущение, что в вашем ухе как будто есть вода, и вы подозреваете наличие серной пробки, но вы не можете обратиться к врачу, важно знать, что делать в этой ситуации. Вы можете сами облегчить свое состояние, используя перекись водорода. Небольшое количество жидкости следует закапать в ухо с помощью пипетки. Сначала возможно почувствуете, что ухо заложилось, затем услышите шипение. Это означает, что перекись начала действовать. Через 5-10 минут наклоните голову, чтобы жидкость вытекла на ватку.
Если неприятные ощущения связаны с воспалением, необходимо пройти медикаментозную терапию. Врач после осмотра выписывает список лекарств для снятия отечности, восстановления работы евстахиевой трубы и дезинфекции. Если у вас заложено ухо и начался гнойный процесс, для удаления жидкости может потребоваться парацентез барабанной перепонки. Для уничтожения размножившихся там бактерий подбираются антибиотики. Для лечения грибковой инфекции используются препараты особой группы.
Если после купания у вас возникло ощущение воды в ушах, попробуйте избавиться от него самостоятельно. Если при этом ухо заложилось, но вы уверены, что перепонка не повреждена, то жидкость можно вытрясти. Для этого наклоните голову, слегка оттяните ушную раковину назад и вниз, чтобы раскрыть слуховой канал, а затем потрясите головой или попрыгайте. Также можно воспользоваться ватной палочкой, чтобы удалить остатки воды, но не вставляйте её слишком глубоко.
Не рекомендуется прогревать слуховой проход горячим воздухом фена или находиться под потоком воздуха от вентилятора, так как это может привести к возникновению воспаления.
Если ваши попытки справиться с дискомфортом не увенчались успехом, то важно обратиться к врачу. Не стоит рисковать возникновением осложнений, особенно если ситуация неясна.
Как лечить
Когда в ухе появляется бульканье, но не сопровождается болевыми ощущениями, врач на первом приеме определит причину вашего дискомфорта. После проведения диагностики, которая в данном случае представляет собой отоскопию, анализы и тесты, врач назначит комплексное лечение, включающее в себя:
- лекарств;
- терапевтических процедур;
- травяных методов лечения;
- питания и так далее
Если бульканье в ухе вызвано серной пробкой, то специалист проведет процедуру промывания уха, которая займет всего 5 минут и поможет избавиться от дискомфорта. В случае, если бульканье связано с попаданием жидкости в среднее ухо, врач назначит комплексное медикаментозное лечение в сочетании с физиотерапией. Также возможны другие методы лечения, которые будут выбраны в зависимости от причин бульканья и индивидуальных особенностей вашего организма и самочувствия.
Препараты
Часто причиной появления шума в ушах являются воспалительные процессы, в том числе секреторный отит. Это воспаление характеризуется тем, что серозная жидкость и другие микроэлементы, а также бактерии и микробы, часто накапливаются за ушной перепонкой, оказывая давление на барабанную перепонку. Это может привести не только к развитию патогенной микрофлоры в ушах, но и к разрыву перепонки.
При засоре евстахиевой трубы, бульканье также может быть вызвано накоплением вредных микроэлементов в слуховой трубе. В зависимости от причины появления бульканья в ушах, врач назначает комплексное лечение, включающее в себя:
- лекарственных препаратов, таких как Кларитромицин, Цефероксим-ацетал, Азитромицин;
- применения антибиотиков местного действия — Цефтриаксон, Цефуроксим, Нирофец, Аугментин;
- капель для ушей, обладающих противовоспалительным и обезболивающим эффектом – Отипакс, Отинум, Отофа, Кандибиотик;
- для заживления пораженных тканей может быть назначено применение мази Левомеколь;
- возможно использование спиртовых согревающих компрессов;
- для укрепления иммунитета — препараты Виферон и Мегасин;
- физиотерапевтические процедуры: ультразвук, СВЧ, УФ-излучение, а также тепловые процедуры и лечение с помощью синей лампы.
Этот перечень лечебных процедур необходимо применять только под руководством врача. При назначении учитываются индивидуальные противопоказания, связанные с наличием сопутствующих или хронических заболеваний, личная непереносимость препаратов, возраст, физиология, наследственность и другие факторы. Другими словами, то, что рекомендуется одному пациенту, может быть противопоказано другому. Поэтому только посещение клиники, проведение полного комплекса диагностических мероприятий и назначения врача помогут избавиться от данного симптома правильно и без осложнений.
Как удалить воду
Если вода попала в здоровую ушную систему, то можно легко избавиться от нее с помощью простых упражнений:
- перемежание глубокого вздоха и выдоха с паузой в дыхании;
- прыжки на той же ноге, с которой связано ухо;
- наклон головы в сторону пораженного уха и внешнее постукивание по внешнему уху (создавая изменения давления в области уха).
Даже без специальных упражнений вода может выйти из ушей сама по себе. Однако, если симптомы сохраняются, это может свидетельствовать о наличии патологий в ушах. В этом случае важно обратиться к врачу для получения правильного лечения. Не стоит пытаться самостоятельно избавляться от воды в ушах при помощи различных средств, поскольку ее может и не быть там вовсе. Бульканье в ушах может быть признаком воспаления или другого заболевания. Врач проведет необходимые медицинские процедуры без нарушения целостности органов слуховой системы.
Даже если вам кажется, что симптом безобиден и не представляет опасности для вашего слуха, необходимо немедленно обратиться за помощью. Бульканье в ухе, даже без боли, является признаком проблемы в области ушей. Чем быстрее вы обратитесь к врачу, тем скорее он выявит основную причину этого симптома, и вскоре вы забудете о дискомфорте в ушной области. Если вы будете игнорировать бульканье и не обратитесь к врачу, последствия могут быть серьезными и неожиданными. Здоровье слуховой зоны требует внимания и заботы. Любой симптом может привести к ухудшению слуха и нарушению речи.
Лечение при бульканье в ушах
Перед приступом к лечению необходимо выяснить причину появления шума в ушах. Только после этого можно приступить к применению лекарственной терапии и других методов лечения. Однако чаще всего нет необходимости в лечении таблетками и инъекциями, поскольку причины появления неприятных звуков связаны с наличием серной пробки.
Серная пробка
Для того чтобы удалить ее в домашних условиях нужно определить ее местоположение, структуру и оттенок. При наличии мягкой серной пробки эксперты советуют использовать специальные капли, которые быстро и эффективно разъедают серу.
Примеры таких препаратов включают в себя А-церумен и Ремо-Вакс. При легкой заложенности достаточно ввести по три капли препарата, а при более серьезных симптомах — до десяти капель. Затем следует закрыть уши турундой и полежать на одном боку в течение пятнадцати минут.
Через пятнадцать минут следует наклонить ухо над раковиной. Лекарство выйдет из уха вместе с излишками серы. Затем рекомендуется промыть ухо теплой водой и тщательно высушить.
Если проблема связана с более серьезными отложениями, то необходимо выполнить процедуру промывания слухового прохода. Однако перед этим в больное ухо следует ввести около десяти капель перекиси водорода. Этот препарат размягчит пробку и облегчит удаление серных отложений без боли и труда. Перекись должна находиться в ухе не менее пятнадцати минут, поэтому примите удобное положение лежа и не вставайте раньше положенного времени.
После этого этапа необходимо наклонить голову над раковиной и лишь после этого промыть ухо раствором фурацилина или соляной водой. Если вы ранее не проводили процедуру промывания ушей, рекомендуется доверить это специалистам.
Попадание воды
Другой распространенной причиной является попадание влаги после купания в океане или бассейне, а также после проведения водных процедур.
Если вы ощущаете, что жидкость попала в ваше ухо, наклоните голову в сторону и сделайте несколько прыжков.
Если эта стратегия не принесла желаемого результата, попробуйте вставить в слуховой проход ватный тампон, смоченный в масле.
Через десять минут марля полностью впитает влагу, а масло поможет ускорить этот процесс и увлажнить поверхность.
Отит
Если появление шумов в ухе и прочих непривычных звуков связано с воспалением в среднем ухе, скорее всего, у пациента будет поставлен диагноз тубоотита. Помимо указанного симптома, пациент может испытывать интенсивные боли, головокружение, тошноту, потерю равновесия и другие сопутствующие проявления.
Осуществляется лечение медикаментами, включающее в себя следующие лекарственные средства:
- В случае острой фазы заболевания, врач может рекомендовать применение антибактериальных препаратов, которые помогут снизить отек и устранить причину возникновения отита. Среди эффективных средств можно выделить «Вильпрафен» и «Ровамицин».
- После устранения первичных симптомов, специалисты могут заменить антибиотики на специальные капли, содержащие антибактериальные компоненты. Такие капли считаются более мягкими воздействием, несмотря на их широкий спектр действия. Среди популярных вариантов можно выделить «Кандибиотик», «Отофа», «Софрадекс», «Полидекса», «Гаразон» и другие.
- Позднее пациенту могут быть рекомендованы примочки и настойки, способствующие восстановлению общего состояния.
Приготовьтесь к тому, что лечение отита требует много времени. В течение всего лечебного процесса пациенту необходимо уделять больше внимания питью и отдыху.
В случае появления гнойного отделения во время лечения пациента, требуется выполнить процедуру парацентеза барабанной перепонки.
Часто причиной появления бульканья является грибок. Для лечения этого воспаления рекомендуются применение противогрибковых капель, таких как «Кандибиотик», а также других лекарств, которые назначает специалист после осмотра пораженной области.
Причины возникновения шума
Большинство ситуаций, когда возникают шумы в ушах, обычно связаны с органами слуха, но порой причина кроется в нарушении работы совсем другой системы организма. Ощущение плеска и бульканья зачастую связано с раздражением рецепторов от скопившейся жидкости.
Существует несколько основных причин, по которым у людей возникает шум в ушах:
- попадание влаги в ушной проход;
- накопление серозной жидкости или серозная пробка;
- среднее воспаление уха;
- заболевания внутреннего уха;
- чрезмерная усталость;
- новообразование;
- рассеянное склерозное поражение;
- проблемы с кровеносными сосудами;
- психологические нарушения.
Когда вода попадает в ухо, ощущение плеска исчезает после того, как избавишься от лишней жидкости. Однако, если барабанная перепонка повреждена, этот процесс может затянуться. То же самое происходит с ушной серой: она не выходит должным образом и скапливается в глубине слухового прохода, что может привести к образованию серной пробки в ухе.
Наиболее частой причиной появления плеска в ушах является секреторный отит.
При накоплении экссудата в среднем ухе за барабанной перепонкой или во внутренней полости органа происходит раздражение элементов цепочки звукопередачи. Однако важно понимать, что отсутствие боли не гарантирует нормального состояния. Как правило, это скорее указывает на развитие осложнений, таких как хроническое воспаление.
Аномалии звучания, подобные этим, обычно наблюдаются в начальной стадии воспалительных заболеваний. В этот период естественные выделения начинают накапливаться из-за блокировки дренажной функции евстахиевой трубы. Размножение микроорганизмов приводит к образованию сывороточных и гнойных выделений. При частичном заполнении среднего уха жидкость может перемещаться, вызывая соответствующие звуки. При полном заполнении возникает ощущение заложенности, давления и боли. Выделения могут проникать в другие части уха и быть удалены путем прокола барабанной перепонки или ее парацентеза.
Гораздо меньше шума обычно вызывают психические расстройства и заболевания нервной и сосудистой системы. Наличие опухоли в ухе или головном мозге также может быть причиной подобного дискомфорта, однако со временем эти симптомы обычно дополняются болевыми ощущениями.
В чем причины данного симптома
Такой же симптом возникает, когда человек проглатывает пищу. Фактически, ухо, горло и нос тесно связаны друг с другом. Глотка соединена с аудиторной трубой через мышцы, которые сокращаются. Бульканье может происходить из-за спазма этих мышц, что часто бывает при нервном напряжении. Если вы слышите бульканье в ухе при глотании, рекомендуется обратиться к врачу. Каждый из нас знает, что при насморке в ушах возникает дискомфорт. Это происходит из-за того, что через носовую полость проходит большое количество слизи (эта слизь проходит рядом с евстахиевой трубой).
Если вы часто слышите бульканье в ушном проходе и замечаете изменение его тональности, важно незамедлительно обратиться к врачу. Для начала можно провести простой тест: оттяните ухо вниз, ухватив его за мочку, затем отпустите и нажмите на козелок. Если при этом возникает боль, это может свидетельствовать о необходимости консультации специалиста. Болевые ощущения после такого теста могут указывать на травму органов слуха или хроническое заболевание, которое еще не проявилось в полной мере. Неприятные ощущения в ухе могут быть вызваны опухолью разного происхождения или остеохондрозом шейного отдела. Также сбои в работе сердечно-сосудистой системы могут стать причиной данного неприятного симптома. Возможно, некоторые органы слуха функционируют неправильно, что приводит к искажению импульсов. Важно также убедиться, что уши свободны от серных пробок и инородных тел.
Удаление серной пробки
Если вы слышите шум в ушах, и это не вызывает боли, возможно, у вас серная пробка. Для удаления этой пробки не следует использовать ватные палочки, так как они могут усугубить ситуацию. Для размягчения серной пробки рекомендуется применить 3% раствор перекиси водорода. Этот раствор поможет быстро размягчить серу. Через полчаса можно использовать ватную тампонаду для удаления мягкой серы. Затем ухо следует промыть чистой водой, используя шприц без иглы. После этой процедуры рекомендуется закапать в уши противовоспалительные капли. Часто заложенность ушей вызвана отеком из-за скопившейся слизи. Можно закапать одну каплю спирта в ухо и затем закрыть его ватой.
Использование спиртового компресса не рекомендуется, так как это может усилить бульканье в ушах. Перед проведением процедур на ушах необходимо очистить носовые ходы. Для устранения звуков в ушах и бульканья можно применять сосудосуживающие капли (однако врачи не рекомендуют их использовать постоянно). Иногда бульканье может указывать на экссудативный отит, при котором жидкость скапливается в барабанной полости. Самостоятельно справиться с этим заболеванием не удастся, поэтому необходимо обратиться к врачу. В некоторых случаях может потребоваться хирургическое вмешательство, в рамках которого производится прокол перепонки и удаление жидкости.
Вода — одна из причин
Обыденная причина появления звука бульканья может заключаться в том, что вода попала в ухо (или в одно из ушей). Существует множество способов, которые могут помочь избавиться от этой проблемы. Например, можно встать на одну ногу и немного подпрыгивать, при этом аккуратно потянув ушную раковину и наклонив голову в сторону. Также можно попробовать резко потрясти головой из стороны в сторону. В медицине существуют специальные капли, которые способны устранить воду из ушей. Важно помнить, что своевременное обращение к врачу поможет избежать развития воспалительного процесса. Необходимо избегать застойных явлений. Упомянутые выше методы могут быть эффективны для взрослых. Если у ребенка обнаружено бульканье в ушах, необходимо немедленно обратиться к врачу.
Лечение
Люди, страдающие от синдрома бульканья воды в ухе, интересуются, как справиться с этим неприятным симптомом и избавиться от него. Чтобы начать лечение, необходимо получить диагноз от врача и определить методы терапии в зависимости от причины возникновения проблемы. Важно рассмотреть различные варианты лечения, применимые к наиболее распространенным причинам синдрома «воды в ухе».
Лечение отита
Лечение воспалительного процесса зависит от степени развития инфекции. Внешний отит обычно проще поддается лечению, чем средний или внутренний отит, особенно если возникает гнойное воспаление. После проведения диагностики врач назначает медикаментозное лечение, включающее следующие категории препаратов:
- лекарства, такие как Вильпрафен, Ровамицин, Сумамед, применяются для устранения микробной флоры, которая является причиной воспалительного процесса;
- капли, такие как Отофа, Полидекса, Кандибиотик и другие, рекомендуются на этапе выздоровления после устранения основных симптомов инфекции. Эти капли оказывают воздействие на широкий спектр патогенных возбудителей и считаются более безопасными и мягкими в применении;
- препараты против аллергии;
- противогрибковые препараты применяются в случаях, когда возбудителем инфекции является грибок;
- средства для модуляции иммунной системы.
Во время лечения достигается антибактериальный, дезинфицирующий и противоотечный эффект, а также восстанавливается функция евстахиевой трубы. Если в процессе воспаления начинается выделение гнойного экссудата, для его удаления может потребоваться парацентез барабанной перепонки.
Удаление серной пробки
Лучшим вариантом при образовании серной пробки в ухе является посещение врача оториноларинголога, который быстро и безболезненно устранит ее. Если пробка имеет мягкую текстуру, то возможно провести самостоятельное удаление дома. Для этого специалист может назначить один из препаратов – А-Церумен или Рево-Макс. Эти средства вводятся в ушную раковину, по 3 капли при небольшом скоплении серы, и до 10 капель при значительной заторе.
После проведения процедуры закапывания необходимо закрыть слуховой проход тампоном и оставаться в положении лежа на боку примерно пятнадцать минут. По истечении этого времени пациенту следует наклониться над емкостью или раковиной, и из слухового прохода выйдут капли вместе с размягчившейся серой. Затем ухо необходимо промыть кипяченой теплой водой.
Избавление от серной пробки
Если пробка имеет плотную, сухую структуру, ее будет сложно удалить обычным способом – для этого потребуется процедура промывания уха. Перед промыванием в слуховой проход вводится 10–15 капель перекиси водорода, пациент должен лежать на боку примерно четверть часа. После этого больной наклоняется, из уха вытекает перекись, и можно приступать к промыванию раствором фурацилина или соли.
Этот метод основан на использовании мягкой резиновой груши, которую вводят в ухо неглубоко и подают воду под давлением, чтобы полностью удалить пробку. Если пациент не уверен в своих силах, лучше обратиться к врачу, который проведет процедуру промывания уха безболезненно и быстро, используя большой шприц без иглы.
Удаление воды из уха
Если вам неудобно из-за оставшейся воды после купания, вы можете избавиться от нее, используя следующие методы:
- наклоните голову в сторону и делайте несколько прыжков, чтобы удалить воду;
- вставьте в ухо ватный тампон с каплей оливкового масла — марля поглотит остатки жидкости, а масло смягчит стенки и увлажнит слизистую оболочку.
Для того чтобы избежать попадания излишней влаги в ухо во время плавания, необходимо применять специальные средства защиты.
Влага в слуховом проходе не является опасной сама по себе. Однако, когда человек выходит на улицу после плавания в бассейне, холодный воздух может проникнуть во влажный слуховой проход и спровоцировать развитие инфекционного процесса.
Частые вопросы
Что может быть причиной бульканья в ухе без боли?
Бульканье в ухе без боли может быть вызвано накоплением жидкости в ушной раковине, изменениями в давлении внутри уха, или даже просто накоплением серы.
Какие действия можно предпринять, если у меня булькает в ухе, но не болит?
Если у вас булькает в ухе, но не болит, рекомендуется обратиться к врачу для профессиональной консультации и осмотра. Самостоятельное удаление серы или попытки очистить ухо могут ухудшить ситуацию.
Полезные советы
СОВЕТ №1
Если у вас булькает в ухе, но не болит, попробуйте использовать специальные капли для ушей, которые помогут снять возможное скопление серы и улучшить слух.
СОВЕТ №2
Посетите оториноларинголога для профессиональной консультации и осмотра ушей. Возможно, бульканье вызвано наличием серной пробки или другими проблемами, которые специалист сможет выявить и решить.















