Пародонтоз и пародонтит — две патологии полости рта, которые часто путают между собой. Неопытные врачи часто не могут различить эти два заболевания и диагностируют их неправильно. Так что же отличает пародонтоз от пародонтита? Давайте разберемся.
Различия в этиологии
Пародонтоз и пародонтит имеют различные причины своего возникновения. Причины пародонтоза до сих пор не полностью изучены, но считается, что генетическая предрасположенность, проблемы сосудов, сахарный диабет, проблемы с пищеварительной системой, недостаток витаминов и другие факторы риска могут способствовать его развитию. Нарушение кровоснабжения тканей также может быть причиной возникновения этого заболевания, а местные раздражители, такие как инфекции, могут только усугубить ситуацию.
С другой стороны, пародонтит вызывается распространением патогенных микроорганизмов, которые присутствуют в зубном налете, а также механическим повреждением, кариесом и неправильно установленным стоматологическим оборудованием. Люди, которые не соблюдают гигиену полости рта, имеют врожденные аномалии зубов и челюсти, неправильное питание и низкий иммунный статус, находятся в группе риска для развития пародонтита. Основной предрасполагающий фактор — наличие бактериального налета, который превращается в зубной камень при недостаточной гигиене. Это приводит к поражению тканей и образованию пространства, заполненного налетом. Пародонтит часто является осложнением пародонтоза и других заболеваний полости рта.
Разница клинических проявлений
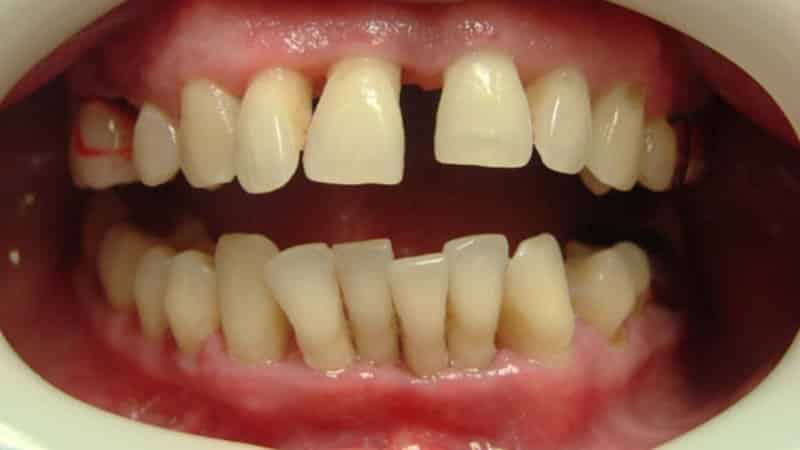
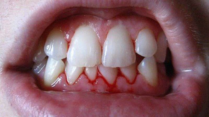
Пародонтоз и пародонтит отличаются не только своими причинами, но и симптомами. Пародонтоз является дистрофическим заболеванием, в то время как пародонтит имеет воспалительную природу. При пародонтозе происходит обнажение шеек зубов и ослабление их фиксации, но зубы начинают шататься только при значительной нагрузке. В отличие от пародонтита, при пародонтозе не наблюдается скопление зубных камней, образование карманов в деснах и гнойное содержимое. Десна приобретает бледный оттенок, а пациенты жалуются на чувство жжения и дискомфорта. Пародонтоз протекает медленно и может остаться незамеченным до тех пор, пока не достигнет тяжелой стадии. В отличие от этого, пародонтит проявляется уже на начальном этапе с кровоточивостью и воспалением верхних частей пародонта. При развитии пародонтоза разрушается пародонтальная связка, возникает неравномерное давление на зубы, образуется налет и бактерии, и зубы начинают расшатываться. В случае отсутствия лечения, человек может потерять зубы. Пациенты жалуются на сильную боль, кровоточивость, жжение и расшатывание зубов. Пародонтоз протекает постепенно и необратимо, в то время как пародонтит прогрессирует быстрее и может стать хроническим.
Разница в терапевтической тактике
Терапевтический подход к лечению этих заболеваний требует использования разнообразных методов. Пародонтоз требует стабилизации патологического процесса. Пациентам назначаются препараты, которые способствуют улучшению кровообращения и активизации процессов регенерации. Также полезны массаж, водные процедуры, дарсонваль и другие физиотерапевтические методы. Важно проводить комплексное лечение основного заболевания.
Лечение пародонтита может быть консервативным или хирургическим, в зависимости от степени патологии. Если пациент обратился к врачу на ранней стадии развития заболевания, проводится профессиональная чистка и обработка специальными препаратами с фтором. Если камни находятся глубоко в карманах пародонта, врач использует специальное оборудование для их удаления. В некоторых случаях может потребоваться разрезание десны. На поздних стадиях развития заболевания может быть необходимо проведение лоскутного вмешательства, при котором частично удаляется десна, обрезаются корни и лоскут пришивается обратно.
Основные отличия
Пародонтит и пародонтоз — вот чем они отличаются:
- Пародонтит вызывает воспалительные процессы, а пародонтоз — дистрофические.
- Время развития и распространенность заболеваний различны.
- Пародонтит сопровождается болезненностью, шаткостью зубов и кровоточивостью, в то время как пародонтоз может быть скрытым и проявиться при инфекции или воспалении.
- Пародонтит приводит к изменению формы зубов и появлению трещин, в то время как пародонтоз не вызывает разрушения.
- Пародонтит развивается быстро и агрессивно, а пародонтоз — медленно и вяло.
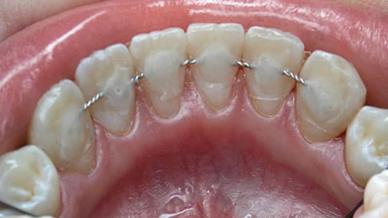
- Несвоевременное лечение пародонтита может привести к потере нескольких зубов, в то время как пародонтоз может привести к полной потере зубов.
Меры профилактики
Необходимо тщательно относиться к любым патологическим процессам, которые могут возникнуть в полости рта. Кровоизлияния и отек могут быть признаками воспалительных процессов, включая пародонтит. Чем раньше эти признаки будут обнаружены, тем больше шансов на то, что заболевание будет контролируемым. Регулярные профилактические осмотры и соблюдение гигиенических мер помогут избежать образования зубного налета, а полировка зубов поможет предотвратить его задержку на поверхности зубов. Выбор гигиенических средств должен быть осуществлен профессионалом, учитывая состояние полости рта и здоровье пациента. Некоторые средства могут быть противопоказаны при наличии гормональных нарушений или для подростков и беременных женщин. Поэтому рекомендуется проконсультироваться с дантистом, а не с фармацевтом. Неправильный прикус может негативно влиять на состояние пародонта, поэтому его коррекция является важной мерой для предотвращения развития заболевания. Ортодонтическая терапия не имеет противопоказаний, даже если у пациента есть проблемы с деснами. Аппаратные методы профилактики пародонтита, такие как массаж, вакуумный массаж и дарсонваль, также могут быть полезны. Протезирование является эффективной профилактической мерой. Некоторые ортопедические приспособления могут обеспечить надежное крепление и предотвратить осложнения, даже при наличии шаткости зубов. Для предотвращения прогрессирования заболевания может быть выполнено адгезивное шинирование, при котором небольшое количество пломбировочного материала вводится в межзубное пространство или группа зубов объединяется с помощью армирующего средства. Патологические изменения десен могут быть первым признаком нарушений в работе организма, и опытный стоматолог может заподозрить наличие различных системных заболеваний. Для своевременного диагностирования и комплексного лечения рекомендуется посещать врача два раза в год и делать профессиональную чистку зубов.






