Хламидиоз представляет собой серьезное заболевание, которое передается при половом контакте. Согласно статистике, в настоящее время это заболевание встречается чаще, чем гонорея, которая ранее считалась наиболее распространенным венерическим заболеванием.
Chlamydia trachomatis — что это
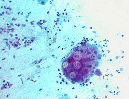
Chlamydia trachomatis – это микробы, вызывающие инфекцию, которая передается через половой контакт. Эти патогены имеют форму кокков, они слабо подвижны и относятся к грамотрицательным облигатным внутриклеточным микроорганизмам. Они поражают мочеполовые органы у мужчин и женщин, вызывая сильное воспаление, которое может привести к бесплодию.
Жизненный цикл
Жизненный цикл хламидий длится 3 дня. Бактерии проходят через следующие стадии:
- Примитивные тельца. Это форма инфекции вне клеток, похожая на споры. Такие тельца имеют шарообразную форму и содержат большое количество дисульфидных связей, которые защищают их от осмотического давления. Микробы в этой стадии нечувствительны к антибиотикам, так как находятся в спорообразной форме.
- Сетчатые тельца. Они образуются из примитивных телец через 8 часов после попадания в организм человека. Это внутриклеточная форма, способная к вегетативному размножению. Это грамотрицательные бактерии, которые активно умножаются. Путем деления таких телец образуются промежуточные формы, которые затем превращаются в примитивные тельца. На этой стадии проводится лечение антибиотиками.
Как передается и насколько это опасно
Различают несколько способов заражения хламидиозом:
- Сексуальный путь передачи. Это основной способ передачи инфекции хламидиоза. Бактерии могут проникать через орально-генитальный, пенильно-вагинальный и анально-генитальный пути.
- Вертикальный путь (во время прохождения эмбриона через родовой канал матери).
- Бытовой контактный путь. Некоторые ученые утверждают, что хламидии могут выживать на хлопковых тканях и сиденьях общественных туалетов до двух суток.
Повторное возникновение хламидиоза у мужчин может вызвать следующие последствия:
- Постоянное воспаление предстательной железы.
- Воспаление придатка яичка.
- Воспаление уретры.
- Невозможность зачать ребенка.
Для женщин сhlamydia trachomatis опасна тем, что провоцирует воспаление и образование в шейке матки спаек, которые преграждают путь для движения сперматозоида и делают невозможным беременность. Также последствиями могут быть патологии слизистой матки и маточных труб, пиелонефрит, цистит. Для обоих полов инфекция опасна аутоиммунным синдромом Рейно.
Симптомы
Первые признаки инфекции хламидиозом у мужчин и женщин проявляются через две недели после заражения. Бактерии атакуют клетки, заселяются и размножаются в органах человека. У женщин инфекция может развиваться в шейке матки, прямой кишке, а у мужчин – в уретре, простате.
У мужчин, инфицированных, проявляются следующие признаки заболевания хламидиозом:
- Резкая боль во время мочеиспускания.
- Дискомфорт при опорожнении кишечника.
- Выделения с гноем из мочеиспускательного канала.
- Отек тканей вокруг мочеиспускательного канала.
- Покраснение интимных зон.
- Ощущение жжения в области мочеиспускательного канала.
- Незначительный подъем температуры тела.
- Поражение головки полового члена и крайней плоти.
Симптомы хламидиоза у женщин:
- Кровь в кале.
- Зуд в прямой кишке, ощущение жжения.
- Кровотечения между менструациями.
- Воспаление слизистой оболочки глазных яблок.
- Сильные боли при мочеиспускании.
- Острые и хронические боли в нижней части живота.
- Болезненный акт опорожнения кишечника.
- Першение в горле (признак фарингита).
- Покраснение задней стенки гортани.
Иногда заболевание может проходить без проявления каких-либо симптомов, что может привести к задержке в начале лечения и возникновению серьезных осложнений.
Диагностика
Во время консультации врач узнает медицинскую историю пациента, осматривает половые органы и назначает несколько лабораторных анализов. Пациенту необходимо пройти следующие исследования:
- Образец крови и мочи для лабораторного анализа.
- Анализ мазка из влагалища (для женщин).
- Исследование образца пораженной флоры влагалища или секрета простаты (метод полимеразной цепной реакции).
Технология ПЦР используется для проверки собранного биологического материала на наличие сhlamydia trachomatis. Этот метод анализа позволяет определить количество ДНК хламидий в соскобе или секрете. В настоящее время специальные тесты для проведения ПЦР можно приобрести в аптеках и использовать их дома.
Вспомогательным диагностическим методом считается тест на определение антител. Он позволяет узнать, как долго человек заражен сhlamydia trachomatis. Срок выявляется по наличию в организме иммуноглобулинов IgA, IgM и IgG. Антиген IgM говорит о том, что инфекция существует 4-14 дней, а IgG — о том, что хламидии уже давно присутствуют в организме человека. Иммуноглобулин IgA показывает, что имеется острое воспаление.
Лечение
Для устранения хламидиоза применяется продолжительная антибактериальная терапия, которая включает в себя применение антибиотиков из группы тетрациклинов. Некоторые специалисты могут рекомендовать также применение макролидов. В случае устойчивой формы заболевания рекомендуется использование фторхинолонов. При выявлении смешанной инфекции может потребоваться одновременное применение нескольких антибактериальных препаратов. Лечение часто дополняется общеукрепляющими средствами, иммуномодуляторами и витаминными комплексами.
Таким образом, хламидиоз является распространенным венерическим заболеванием среди мужчин и женщин. Если у вас появились характерные симптомы инфекции, важно незамедлительно обратиться к венерологу. Продолжительное игнорирование болезни может привести к серьезным последствиям.
Частые вопросы
Какие симптомы могут возникать у мужчин и женщин при заражении Chlamydia trachomatis?
У мужчин симптомы могут включать воспаление мочеиспускательного канала, боль или отделяемое из мочеиспускательного канала. У женщин симптомы могут включать болезненное мочеиспускание, вагинальное кровотечение между менструациями, боль внизу живота.
Как проводится лечение Chlamydia trachomatis у мужчин и женщин?
Лечение Chlamydia trachomatis обычно включает прием антибиотиков, таких как азитромицин или доксициклин. Важно также пройти полное курс лечения и избегать половых контактов во время лечения.
Полезные советы
СОВЕТ №1
Обратитесь к врачу для проведения тестирования на Chlamydia trachomatis, даже если у вас нет явных симптомов. Это поможет выявить инфекцию на ранней стадии и предотвратить ее распространение.
СОВЕТ №2
При наличии симптомов, таких как боли при мочеиспускании, выделения из половых путей или боли внизу живота, срочно обратитесь к врачу для диагностики и лечения Chlamydia trachomatis.
СОВЕТ №3
При лечении Chlamydia trachomatis важно следовать рекомендациям врача и пройти полный курс антибиотиков, даже если симптомы исчезли. Это поможет предотвратить повторное заражение и осложнения.




