На начальном этапе роста зубов у детей обычно достаточно молочных зубов для пережевывания мягкой пищи, которая является основным источником питания для грудничков. Однако в пятилетнем возрасте начинается процесс смены молочных зубов на постоянные. Это может вызывать беспокойство у некоторых родителей, особенно у тех, кто не имеет опыта. Они задаются вопросом, нужно ли вырывать шатющиеся молочные зубы. Сегодня мы рассмотрим эту тему подробнее.
Процесс смены зубов
В сознательном возрасте мы обычно не помним, что происходило с нами в период роста молочных зубов, а иногда даже не помним ярких моментов. Если этот процесс проходит без проблем, мы не запоминаем его. Из-за этого молодые родители часто не знают, как себя вести, когда молочные зубы ребенка начинают шататься.
Не стоит беспокоиться, это нормальный процесс, который обычно проходит без проблем.
Выпадение молочных зубов — это естественный процесс, который обычно проходит без проблем.
У каждого ребенка уже есть постоянные зубы, которые начинают расти с рождения. Когда приходит время, молочные зубы должны уступить место постоянным, которые пытаются прорваться через десны.
Корни молочных зубов начинают рассасываться задолго до того, как они начинают шататься. Когда это происходит, это означает, что у зубов нет корней, и поэтому они не могут крепко держаться.
Что предпринять
Не требуется предпринимать специальные меры. Если молочный зуб шатается, но не выпадает, вы можете постепенно расшатывать его, предварительно вымыв руки. Важно не пытаться вырвать шатающийся зуб — это займет свое время. В противном случае, вы можете нанести травму десне и вызвать инфекцию.
Объясните своему ребенку, что происходит с его зубом, и следите за ним. Ребенок должен понимать, что нельзя глотать выпавший зуб, лезть в рот грязными руками или насильно пытаться его удалить. Расскажите ему сказку, это будет интересно, и сам процесс будет проходить с меньшим дискомфортом.
Хотя дантисты не рекомендуют это, наши бабушки и мамы советуют почистить зубы ребенка, наложить стерильную вату, обхватить пальцами и слегка повернуть вокруг оси, немного надавливая. Дети не так сильно пугаются таких манипуляций, как посещение стоматологической клиники, что может быть настоящей пыткой.
Когда зуб будет удален, тщательно прополощите рот ромашкой, раствором с пищевой содой или марганцовкой. Если есть кровотечение, наложите на рану ватку, смоченную в растворе марганцовки. И, как традиция, положите зуб под подушку на ночь.
Когда нужно обязательно посетить врача
Если молочный зуб шатается, но не выпадает вовремя, рекомендуется обратиться к стоматологу, чтобы избавиться от него. Это необходимо, так как он может помешать росту постоянного зуба и привести к неровному прорезыванию. Если не принять меры, в будущем может потребоваться установка брекет-системы. Лучше сразу договориться с ребенком о походе к врачу, чем потом месяцами ходить с металлом в зубах. Если молочный зуб шатается и не выпадает вовремя, это может быть вызвано большим количеством кальция в организме, поэтому стоит скорректировать режим питания. Если временные зубы начинают расшатываться во рту раньше срока, это не является нормой и требует обращения к стоматологу. В таком случае возможны генетическая склонность, пародонтоз, нехватка витаминов и железа, диабет или рахит. Все эти патологии легко лечатся, но требуют строгого соблюдения рекомендаций врача. Важно не игнорировать проблему, даже если она кажется незначительной, так как от своевременной реакции и правильных мер зависит здоровье и качество жизни ребенка.
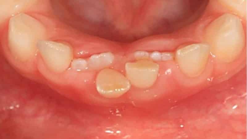
Почему возникают «акульи» зубы
В стоматологии иногда возникают ситуации, когда постоянные зубы начинают прорастать за молочными. Это состояние называется «синдром акульей челюсти» из-за особенностей физиологической структуры, которая напоминает акулу.
Основные причины этой аномалии включают:
- Перенесенные инфекционные заболевания во время активного прорезывания зубов.
- Индивидуальная предрасположенность, связанная с наследственностью.
- Осложнения рахита.
- Задержка полового созревания, вызванная нарушениями гормональной системы.
В процессе формирования нового зуба корень старого может постепенно исчезать, что приводит к его расшатыванию и выпадению. Дети обычно активно участвуют в этом процессе и гордятся успешным исходом.
Важно отметить, что нормальное формирование челюсти всегда радует и детей, и взрослых, в отличие от других аномалий. Самый высокий риск появления дефекта наблюдается в возрасте от 6 до 11 лет. Стоматологи отмечают, что данное явление чаще всего связано с прорезыванием зубов в нижней челюсти.
Важность ухода
У некоторых родителей есть ошибочное представление о том, что временные зубы не требуют особого ухода, так как они все равно выпадут. Однако, с самого рождения необходимо обеспечить бережный уход за полостью рта ребенка. Ни один ответственный родитель не хочет, чтобы его ребенок испытывал сильную боль. Поэтому, важно приучить ребенка с ранних лет к уходу за полостью рта, чтобы избежать множества проблем в будущем. Это также поможет сэкономить финансы и нервы, так как современное стоматологическое лечение не является дешевым удовольствием. Когда ребенок вырастет, его зубы останутся здоровыми и улыбка будет красивой. Поэтому, родителям следует приучать ребенка к гигиене полости рта с раннего детства. Здоровые молочные зубы влияют на своевременное формирование постоянных зубов, правильное произношение и здоровье системы пищеварения. Патологии и аномалии должны быть полностью вылечены, иначе коренные зубы могут расти с поражением кариеса. Несоблюдение этих принципов может привести к абсцессам и гнойным поражениям.
Как правильно чистить зубы ребенку
Вот перефразированный фрагмент статьи:
Когда ваш ребенок достигает полутора лет, он уже может использовать мягкую зубную щетку. Однако он еще не может делать это самостоятельно, поэтому родители должны взять на себя эту задачу. Помочь ребенку прочистить зубы с внешней и внутренней стороны, смачивая щетку в кипятке, и проводить эту процедуру не менее двух минут.
Для самых маленьких существуют специальные щетки, которые можно надевать на палец и использовать для массажа. Когда ребенок научится самостоятельно заботиться о гигиене ротовой полости, можно купить ему забавную щетку в виде игрушки и пасту без добавок, фтора и с минимальным количеством абразивов. Таким образом, чистка зубов станет интересной игрой, которая будет доставлять удовольствие ребенку.
В возрасте трех лет ребенок должен иметь около 20 зубов, если его ротовая полость правильно ухаживается. Поэтому важно, чтобы ребенок развил здоровую привычку перед сном посещать ванную комнату.
Если зубы шатаются в результате травмы или падений, или если есть признаки инфекции, необходимо немедленно обратиться к стоматологу. Здоровые молочные зубы способствуют правильному формированию постоянных зубов.
Питание также играет важную роль в здоровье зубов ребенка. Рекомендуется увеличить потребление молочных продуктов и продуктов, богатых кальцием. Витамин D, содержащийся в маслах и желтках яиц, помогает лучше усваивать кальций. Следует ограничить потребление углеводов, чтобы предотвратить развитие различных патологий.
Ребенка следует впервые привести к стоматологу в шесть месяцев. Даже один зуб требует регулярного ухода и чистки. Ограничение потребления сладостей поможет предотвратить развитие многих проблем. Чем позже ребенок узнает о конфетах и других сладостях, тем лучше для его общего здоровья. Рекомендуется включить в его рацион такие продукты, как курага, инжир и изюм.
Важно контролировать, чтобы ребенок проводил гигиенические процедуры полости рта два раза в день. Хорошее состояние ротовой полости является залогом крепкого здоровья, красивого и уверенного в себе человека.






