Как проявляются полипы на языке, ближе к горлу или под языком
Небольшие небольшие опухоли, которые не являются многочисленными, обычно не вызывают неприятных симптомов и не вызывают дискомфорта при разговоре или жевании.
Если опухоли крупные, то человек может жаловаться на постоянное ощущение чужеродного тела во рту, неприятный запах изо рта и нарушение прикуса.
Другие неприятные симптомы могут включать в себя:
- боли в горле;
- кровотечение и болезненность в месте опухоли;
- утолщение внутренней поверхности щек;
- затруднение жевания;
- изменение цвета слизистой оболочки неба;
- изменение тембра голоса.
Крупные и многочисленные полипы могут затруднять ежедневную гигиену полости рта, приводить к задержке пищи, вторичной инфекции, неприятному запаху изо рта и образованию плотного налета.
Если полипы расположены ближе к горлу, пациенты могут испытывать следующие ощущения:
- чувство наличия чужеродного тела;
- затруднения при глотании;
- сухой кашель из-за раздражения слизистой оболочки гортани;
- изменение голоса.
Опасность такого расположения заключается в возможности блокировки гортани и нарушения дыхания, что обычно происходит без медицинского вмешательства.
При локализации полипа на кончике языка может нарушаться восприятие вкуса, а также возникать боль при воздействии раздражителей, таких как температура, трение о зубы при разговоре или жевании.
Рост опухоли всегда стимулируется неблагоприятными факторами. Воспаление и распространение полипов по внутренней поверхности зева ухудшают стоматологическую историю заболевания.
Особенности диагностики
Различные наросты в полости рта могут быть очень похожи друг на друга внешне. Поэтому важно правильно поставить диагноз и исключить фиброму, папилломатоз, безвредные жировики и возможный рак. Прежде чем начать лечение, необходимо провести следующие обследования у ребенка:
- УЗИ, чтобы определить степень проникновения полипа в ткани пародонта;
- пальпация лимфатических узлов;
- рентгеновское исследование зубов;
- биопсия.
Если у специалиста возникают сомнения относительно характера и типа опухоли, родители должны настоять на ее изучении после удаления. Это также поможет выявить причину заболевания и предотвратить его повторное возникновение.
Могут ли бугорки на языке быть признаком рака
Покраснения в форме постоянных язв, которые не заживают, сопровождаются онемением языка, болезнью в горле или потерей голоса, а также могут вызывать трудности при жевании и глотании, – могут свидетельствовать о наличии рака в полости рта.
Другие признаки рака в ротовой полости включают в себя:
- выпадение или шаткость зубов;
- воспаление миндалин;
- белые или красные язвы, похожие на бугорки внутри рта, например, на деснах;
- боль в челюсти;
- иногда может сопровождаться неприятным запахом.
Симптомы рака в полости рта должны быть обследованы и оценены стоматологом. Это крайне важно, чтобы избежать неправильной интерпретации таких симптомов, как безболезненные бугорки на задней части языка с язвами, которые долго не заживают.
Как проявляется болезнь
Фотография с изображением рака миндалин на начальной стадии может быть подробно изучена после проведения рентгенологического обследования. В начальный период заболевания симптомы рака могут не проявляться, но позднее они начинают беспокоить больного, обычно проявляясь следующим образом:
- Появляется сухость и боль при глотании, дискомфорт также может распространяться в область уха и гланд,
- В слюне может наблюдаться небольшое количество крови или гноя,
- Ощущение наличия чего-то постороннего в горле,
- Во время осмотра врач может обнаружить язвы на воспаленных гландах,
- На пораженной гланде можно заметить выраженные покраснения или отеки,
- Могут возникать боли в области лимфатических узлов,
- Раздражительность, усталость,
- Проблемы с ощущением вкуса,
- Ухудшение общего состояния здоровья (головные боли, нарушения сна).
Также возможно появление такого симптома, как кашель. Он имеет рефлекторное происхождение и сопровождается обильным отхаркиванием. При сильном и продолжительном кашле также может наблюдаться небольшое количество крови. При развитии рака миндалин у некоторых пациентов возникают нарушения функций голосовых связок. Консультация израильского специалиста.
На начальной стадии заболевания обычно не возникают серьезные последствия. Симптомы начинают проявляться позднее. Сначала возникает хрипота. Опухоль легко обнаруживается, так как она имеет постоянный характер. Это может привести к серьезным проблемам, так как пациент может полностью потерять голос.
Развитие опухоли может иметь ряд последствий, поэтому важно начать лечение вовремя.
Одним из негативных последствий заболевания являются неприятные ощущения в горле. В результате формирования опухоли она начинает проникать в окружающие ткани, что усиливает боль и сопровождается рядом проблем, таких как отит и снижение слуха.
При прогрессировании рака миндалин он оказывает воздействие на нервы, сдавливая их, что может вызвать появление некоторых симптомов:
- Воспаление тройничного нерва,
- Паралич глазодвигательных мышц,
- Возможное нарушение зрения при отсутствии патологий глаз,
- Парез неба,
- Затруднения при глотании,
- Нарушение речи или возможная потеря слуха,
- Резкое изменение веса пациента,
- Различные расстройства, такие как рвота, слабость,
- Пародонтоз.
Диагноз рака миндалин должен быть установлен только после сбора анамнеза. Анамнез представляет собой подробную историю жизни пациента, включая все факторы риска.
При осмотре наблюдается выраженное покраснение одной, или реже двух гланд, на которых могут быть язвы. Также может наблюдаться деформация шеи из-за отечных лимфатических узлов. При пальпации лимфоузлы вызывают неприятные ощущения и имеют уплотненную структуру. Для установления диагноза на этапе диагностики наилучшим вариантом будет анализ крови, взятие мазков и патогистологическое исследование биоптата.
Для точной оценки состояния лимфоузлов используются методы, такие как компьютерная и позитронно-эмиссионная томография. Применение этих методов поможет выявить наличие опухолей и метастазов. Преимущества данной процедуры заключаются в ранней диагностике раковых заболеваний.
Лечение полипов в горле
Поскольку основной причиной, вызывающей образование полипов в горле, является повреждение голосовых связок, первое, что рекомендует врач – это соблюдать голосовой режим.
Лучше всего несколько дней вообще не разговаривать, чтобы голосовые связки получили возможность восстановиться. Разговор шепотом в данном случае будет действовать еще хуже, чем крик, так как связки при этом напрягаются сильнее.
Поэтому для начала нужно воздержаться от разговоров, а тем более пения на несколько дней. Затем начинается голосовая терапия.
Врач пояснит, как нужно управлять своим голосом и правильно разговаривать, чтобы не перегружать голосовые связки и избежать повторения проблемы. Однако с помощью голосовой терапии избавиться от уже существующих полипов не удастся, можно только предотвратить образование новых.
Для уменьшения болей и дискомфорта назначаются антигистаминные препараты – Тавегил, Дипразин. Не лишними будут ингаляции для горла с чистотелом и ромашкой. Не стоит сразу же требовать удалить полипы хирургическим путем. Есть и другие способы успешного избавления от них:
- Электрофорез.
- Воздействие ультразвуком.
- Гальванический воротник.
- Мануальная терапия – массаж воротниковой зоны.
- Гидротерапия.
- Обработка полипов лазерным лучом.
Имеет смысл задуматься о смене работы или места жительства, если рост полипов спровоцирован именно этими факторами. В случаях, когда разрастания обширные или повторяющиеся, и описанные выше методы лечения оказались мало эффективными, полипы вырезают эндоскопическими инструментами – по своей сути эта операция схожа с удалением аденоидов или миндалин.
В качестве профилактических мер следует по возможности отказаться от вредных привычек, в особенности от курения, так как табачный дым очень сильно раздражает слизистую. Не стоит перенапрягать голосовые связки и без необходимости повышать голос.
Полипы в горле — это очень распространенные доброкачественные новообразования на слизистой оболочке, имеющие небольшие размеры. Чаще всего они появляются в области гортани и голосовых связок. Их форма и цвет могут быть самыми различными. Полип состоит из соединительных волокон, клеточных элементов и небольшого количества жидкости. Время его роста может составить от нескольких месяцев до нескольких лет. Данные новообразования есть практически у всех певцов. Поэтому полип в простонародье называют «певчий узелок».
Перед тем как приступить к борьбе с этим заболеванием, необходимо разобраться в причинах его возникновения.
Чем помочь пациенту
Как лечить полипы в гортани и что делать в такой ситуации? Консервативные методы не подходят для терапии этой патологии, и операция является единственным эффективным способом лечения. Удаление полипа проводится специалистом-отоларингологом.
Перед операцией пациенту необходимо соблюдать определенные правила. Прежде всего, следует устранить первоначальную причину появления опухоли, такую как повышенная голосовая нагрузка. Также лечение включает в себя следующие меры:
- Соблюдение диеты с контролем температуры и консистенции пищи.
- Отказ от курения и употребления алкоголя.
- Исключение контакта с раздражителями, такими как сухой горячий воздух, аэрозоли и другие.
- Лечение хронических очагов инфекции, таких как кариозные зубы, хронический тонзиллит и другие.
Полипы в гортани нельзя вылечить с помощью полосканий, таблеток и других консервативных методов.
Хотя консервативная терапия неэффективна, важно обратить внимание на хронические воспалительные процессы в гортани и соседних органах, а также своевременно начинать лечение острых инфекционно-воспалительных заболеваний.
Выявление полипов в гортани у ребенка или взрослого требует профессионального диагноза врача с использованием специальных инструментов для осмотра пораженной области. Если полипы не удалять, они могут продолжать расти и увеличиваться в размерах, что увеличивает риск стеноза гортани.
Полипы в горле представляют собой доброкачественные новообразования небольших размеров без признаков воспаления. Они имеют сероватую, розовую или красную окраску и мягкую консистенцию (см. фото).
Травмы могут привести к образованию небольших полипов в горле из-за прилива крови к поврежденному месту.
Полип в горле никогда не переходит в рак, но это все равно является патологией, с симптомами, которые нельзя игнорировать.
Современные методики лечения позволяют быстро и безболезненно избавиться от полипов.
Лечение заболевания
Все выявленные новообразования на голосовых связках, в области горла и гортани требуют удаления. Это необходимо делать, даже если заболевание имеет доброкачественный характер. Из-за травм, табакокурения или работы в экологически вредных условиях, полипы могут стать злокачественными. Полипэктомию можно проводить несколькими способами:
- удаление полипа и его ножки с помощью скальпеля;
- устранение при помощи лазера;
- криохирургическое удаление;
- удаление эндоскопическим методом.
Последний метод используется, если размеры образований не очень большие. Для проведения операции используются специальные петля и гортанные щипцы, которые хорошо справляются с изолированными узелками. После хирургического вмешательства пациенту показано лечение, целью которого является предотвращение возможного рецидива. Такая терапия заключается в приеме антигистаминных препаратов, употреблении иммуномодулирующих средств и физиотерапии. Физиотерапевтическое лечение включает в себя:
- ультразвуковое лечение;
- электрофорез;
- массаж воротниковой зоны;
- лазерное излучение;
- гальванический воротник;
- гидротерапия.
Если образование небольших размеров, то необходимо применить ряд мер:
- полоскать горло раствором йода;
- делать хвойные ингаляции;
- использовать йодобромные ванночки;
- смачивать горло препаратами стрептомицина.
- Чистотел. 1 чайную ложку травы залить стаканом кипятка, и поставить на полчаса на медленный огонь. Оставить настаиваться и после того, как снадобье остынет, употреблять мелкими глотками. Рекомендуется принимать трижды в сутки в течение 10 дней, сделать перерыв на 4 дня и продолжить терапию. Продолжительность курса составляет 3 месяца. Этот метод не подходит для пациентов с заболеваниями желчного пузыря и печени.
- Лопух. Необходимо нарезать листья травы и отжать сок. Затем добавить 230 граммов меда на 1 литр целебной жидкости. Принимать по 1 столовой ложке один раз в сутки. Продолжительность терапии составляет 2 месяца.
- Для слизистой горла полезен отвар хмеля с еловыми иголками. Залить 2 столовые ложки иголок стаканом кипятка и оставить настаиваться на протяжении полутора часов. Затем добавить ложку хмеля, поставить на медленный огонь и довести до кипения. После остывания принимать мелкими глотками в течение дня. Курс терапии составляет 3 дня, после чего необходим недельный перерыв. При необходимости курс следует повторить.
Перед использованием любого средства народной медицины следует проконсультироваться со специалистом.
Профилактика
Сохранение здоровья голосовых связок и дыхательной системы начинается с раннего детства. Поддержание контроля над своим голосом является важной составляющей здорового образа жизни.
Для профессиональных певцов и любителей громкого пения важно помнить о саморегуляции. После длительного напряжения связок необходимо предоставить горлу и связкам возможность отдохнуть, ограничив активное общение и занятия вокалом на 1-2 недели. Такой период восстановления поможет предотвратить возникновение полипов и узелков.
Вредные привычки негативно влияют на дыхательную систему, состояние слизистых оболочек и снижают чувствительность болевых рецепторов. Отказ от курения и употребления алкоголя следует осуществить как можно раньше.
Работа на производстве, связанном с выделением вредных паров и газов, а также с опасными веществами, требует особых мер для защиты дыхательных путей и ЖКТ. При выходе на работу необходимо обязательно использовать защитную маску-респиратор. В свободное время стоит проводить больше времени на свежем воздухе и принимать дополнительные витамины для поддержания иммунитета.
Диагностировать полипы на миндалинах может только врач, поэтому при первых же симптомах неприятного заболевания и возникновении болезненных ощущений в горле необходимо пройти осмотр. Начатое своевременно лечение поможет предотвратить опасные осложнения и сохранить здоровье.
Лечение заболевания
Все выявленные полипы на голосовых связках, в области горла и гортани требуют удаления. Это необходимо делать, даже если болезнь имеет доброкачественный характер. Из-за травм, табакокурения или работы в экологически вредных условиях новообразование может стать злокачественным. Полипэктомию можно проводить несколькими способами:
- удаление при помощи скальпеля полипа и его ножки;
- устранение при помощи лазера;
- криохирургическое удаление;
- удаление эндоскопическим методом.
Последний метод используется в том случае, если размеры образований не велики. Для проведения операции используются специальные петля и гортанные щипцы. Такие приспособления отлично справляются с изолированными узелками.
После хирургического вмешательства больному показано лечение, целью которого является предотвращение возможного рецидива. Такая терапия заключается в приеме антигистаминных медикаментов, употреблении поддерживающих иммунитет лекарств и в физиотерапии. Физиотерапевтическое лечение подразумевает:
- ультразвуковое излечение;
- электрофорез;
- массаж воротниковой зоны;
- лазерное излучение;
- гальванический воротник;
- гидротерапия.
Если образование небольших размеров, то необходимо применить ряд мер:
- полоскать горло раствором йода;
- делать хвойные ингаляции;
- применять йодобромные ванночки;
- смачивать горло препаратами стрептомицина.
Для оперативного восстановления после удаления полипа следует бросить курить, увлажнять воздух в помещении и в течение двух недель дать отдых голосовым связкам. После операции образование может появиться снова. Это происходит, если полип не был до конца удален.
Лечить полипы можно при помощи народной медицины. Рецепты народной медицины возможно использовать в том случае, если нет срочной нужды в удалении образования. Лечиться таким образом возможно только после полного обследования у врача и его одобрения. В противном случае можно вызвать осложнения. Совсем избавиться от новообразования при помощи таких рецептов не представляется возможности, но такой способ поможет уменьшить их в размерах, и понизить возникший на гландах или миндалине отек. Есть несколько эффективных рецептов:
- Чистотел. 1 чайную ложку травы залить стаканом кипятка, и поставить на полчаса на медленный огонь. Оставить настаиваться и после того, как снадобье остынет, пить мелкими глотками. Употреблять трижды в сутки на протяжении 10 дней. После сделать перерыв на 4 дня и продолжить терапию. Продолжительность курса составляет 3 месяца. Такой рецепт противопоказан пациентам, страдающим заболеваниями желчного пузыря и печени.
- Лопух. Листья травы нарезать и отжать сок. На 1 литр целебной жидкости добавить 230 грамм меда. Принимать по 1 столовой ложке единожды в сутки. Продолжительность терапии составляет 2 месяца.
- Для слизистой горла полезен отвар хмеля с еловыми иголками. 2 столовые ложки иголок залить стаканом кипятка. Оставить всю массу настаиваться на полчаса. Спустя этот период времени добавить ложку хмеля. Поставить на медленный огонь и довести до кипения. Дать снадобью остыть и принимать мелкими глотками на протяжении всего дня. Курс терапии составляет 3 дня после чего необходим недельный перерыв. При необходимости курс повторить.
Перед применением любого средства народной медицины необходимо консультироваться со специалистом.
Что это такое
Полипы формируются из клеток эпителия, соединительной ткани и небольшого количества жидкости. Они относятся к доброкачественным опухолям, в основном состоящим из соединительных волокон. Однако точнее было бы назвать их гиперплазией – быстрым размножением типичных клеток горла на фоне воспалительного процесса. В конечном счете образование приобретает размер горошины. Оно развивается медленно, но травмы и воспаления могут привести к его быстрому росту. Полипы чаще всего образуются в середине голосовых связок, миндалинах и слизистой гортани. Окраска наростов может варьироваться от серого до ярко-красного. Невоспаленный полип имеет оттенок окружающих тканей, в то время как травмированный приобретает более насыщенный цвет, а при нарушении кровообращения – серый.
Образования в горле встречаются у всех категорий пациентов, но чаще всего страдают от этой проблемы мужчины старше 40 лет, которые постоянно перегружают свои голосовые связки.
Хотя такие полипы не являются предраковыми состояниями, их удаляют для снижения риска возможного злокачественного превращения. Это связано с тем, что иногда бывает сложно отличить такие образования от опасных фиброзных опухолей. Для установления точного диагноза проводится гистологическое исследование удаленного нароста для оценки его тканей.
Крупные образования, особенно с длинной тонкой ножкой, могут вызывать дискомфорт:
- Затрудняют речь и глотание;
- Могут подвергаться травмам с кровотечением;
- Могут изменить голос, сделав его хриплым;
- Могут вызвать появление храпа.
Такие полипы могут образовываться не только в горле, но и в ротовой полости, на нёбе, в деснах. Они могут возникать в любом месте, где есть слизистая оболочка: в матке, кишечнике, желудке, носу, ушах, мочевом пузыре и различных протоках. Наросты могут появляться даже на коже.
Ювенильные полипы
В младенческом возрасте возможно образование аномалий, включая образования в области горла и голосовых связок. Иногда эти наросты могут распространиться до трахеи. Обычно они исчезают самостоятельно после наступления полового созревания. Обычно такие полипы не требуют лечения или удаления, но они должны находиться под наблюдением. Исключение составляют случаи, когда образования растут очень быстро или поражают несколько областей. Появление этих полипов может быть связано с патологиями во время беременности или неблагоприятными воздействиями на материнский организм.
Народные средства
Для того чтобы уменьшить размер полипов в горле, часто используют средства народной медицины. Такое лечение поможет только отложить процедуру удаления и устранить симптомы, но само образование при этом не исчезнет.
В народе в такой ситуации используют прополис, поскольку он является эффективным противовоспалительным средством. Небольшой кусочек прополиса просто разжевывают утром натощак. Таким образом можно не только уменьшить размер полипа, но и значительно укрепить иммунитет.
Отвар из герани также является эффективным средством для борьбы с такими новообразованиями. Для этого две столовые ложки молотых листьев заливаются водой и варятся в течение пяти минут после закипания. Употреблять такой отвар нужно два раза в день в остывшем виде.
Настой грушанки снимает воспалительные процессы в организме и устраняет все симптомы образования полипов. На две чайные ложки растения потребуется 200 мл кипятка. Заваривать данный настой нужно в термосе и настаивать в течение трех часов. Такой объем необходимо выпить в течение дня маленькими порциями. Курс лечения продолжается до полного исчезновения симптомов.
Как говорится, болезнь легче предупредить, чем лечить. Это замечание относится и к полипам. Как избежать их появления? Для этого не нужно перегружать голосовые связки, необходимо избавиться от всех вредных привычек, а также раз в год посещать лора.
Людям, работающим на производстве и дышащим вредными парами, нужно обязательно носить маску-респиратор.
Полипы вообще явление малоприятное, несмотря на то что борьба с ними не всегда занимает длительный промежуток времени, и процесс восстановления после терапевтического вмешательства не превышает двух недель.
Разновидности папиллом на языке
В области медицины выделяются различные типы новообразований:
- Реактивный папилломатоз, который подвержен постоянному воздействию вирусов, механических или термических факторов;
- Редко встречающийся неоплатический папилломатоз языка характеризуется наличием большого числа образований в виде узлов или папиллом, которые могут быть как единичными, так и множественными.
Также принято выделять следующие типы папиллом в зависимости от их внешнего строения:
- Плоские образования характеризуются выпячиванием над эпителием более чем на два миллиметра, они имеют широкое строение (до полутора сантиметров), светлый оттенок и образуются по одному. Обычно наросты располагаются по бокам языка или на его верхней поверхности. У ребенка такая патология проявляется в виде эпителиальной гиперплазии, при которой ткани слизистой оболочки языка начинают сильно увеличиваться;Плоские папилломы на языке
- Остроконечные наросты имеют форму сосочков с острым концом светлого оттенка. Обычно они располагаются под языком, поэтому часто подвержены травмам. Папилломы склонны образовывать группы, постепенно увеличиваясь и увеличиваясь в размерах, они создают неудобства при приеме пищи и разговоре;
Острые выступы
- Тонкие отростки торчат над поверхностью эпителия до четырех миллиметров, они не широкие, имеют более темный оттенок и формируются группами из нескольких папиллом.
Причины появления новообразования
На сегодняшний момент существует большое количество факторов, которые могут оказывать влияние на образование полипов, однако не все они до конца изучены. Поэтому мы рассмотрим только те причины, которые имеют научное обоснование.
К ним относятся:
- систематическое перенапряжение голосовых связок (крик, пение, шепот);
- аллергия, которая также может стать причиной образования полипов, особенно если источник аллергии невозможно полностью устранить;
- курение, под влиянием этой вредной привычки могут образоваться не только полипы в горле, но и другие заболевания, представляющие угрозу для жизни;
- частое употребление кофе и алкогольных напитков;
- нарушение работы щитовидной железы;
- тяжелые условия труда, например, люди, работающие на автомобильном заводе, постоянно вдыхают примеси тяжелых металлов;
- наследственность.
Поскольку все причины появления этого новообразования неизвестны, лучшим вариантом для профилактики будет ежегодная консультация лора.
Наличие полипа в горле может проявляться следующими симптомами:
- охриплость голоса, которая может сопровождаться болевыми ощущениями, данный симптом актуален в том случае, если вероятность простудного заболевания полностью отсутствует;
- хрипота одновременно с ощущением инородного тела в горле.
Как определить, что в горле есть полипы (фото их представлено выше)? Визуально. При тщательном осмотре горла можно обнаружить красные, розовые или сине-розовые четко выраженные пятна, которые сильно выделяются на общем фоне и крепятся к слизистой оболочке тонкой ножкой или толстым основанием. Излюбленное место полипов — это середина голосовых связок. Многократные травмы слизистой оболочки горла и голосовых связок могут привести к росту их количества. Такое явление носит название полипоз.
Полипы в горле могут образоваться и у детей до пяти лет. Это так называемые ювенальные полипы, которые исчезают в подростковом возрасте.
В редких случаях появление таких образований может сопровождаться болью в шее, кровяным кашлем, проблемами с дыханием и полным отсутствием голоса. Чаще всего данный процесс проходит бессимптомно.
Определение и причины
При анализе статистических данных о заболеваемости, отражающих частоту встречаемости опухолевых процессов, гортань считается одним из наиболее уязвимых отделов респираторной системы. Этот орган чрезвычайно чувствителен к голосовой нагрузке и воздействию различных вредных факторов, как бытовых, так и производственных. Патологические изменения в гортани часто обнаруживаются у курильщиков и объясняются регулярным контактом с табачным дымом.
Полип в гортани образуется из собственных тканей голосовой складки и развивается из эпителия, будучи либо плоским, либо переходным. Он возвышается над поверхностью слизистой оболочки и может иметь ножку. Полипы классифицируются как доброкачественные опухоли, поскольку они не разрушают окружающие ткани, не склонны к метастазированию и, как правило, после удаления не возникают повторно. Однако специалисты-патоморфологи утверждают, что полип не является истинной опухолью, а представляет собой избыточное разрастание ткани голосовых связок — опухолевидный очаг.
Основной причиной развития полипов можно назвать регулярное перенапряжение голосовых связок во время крика, пения или лекций.
Развитие полипов в гортани может быть связано с профессиональной деятельностью. Они часто обнаруживаются у певцов, преподавателей, а также у работников предприятий, которые вынуждены постоянно повышать голос из-за высокого уровня шума на рабочем месте. Кроме того, значение имеют хронические воспалительные процессы в области гортани, контакт с повреждающими факторами, такими как никотин, бытовая химия и другие. Полипы могут возникать и у детей, у которых эти образования появляются при значительной голосовой нагрузке, например, во время занятий пением, актерским мастерством, а также в случае, если пациент привык разговаривать очень громко или часто кричит.
Полип не возникает остро, а развивается постепенно и обычно локализуется в передней трети голосовых связок. Именно этот участок подвергается наибольшей степени травматизации, что приводит к нарушению кровообращения, формированию застойных явлений и запуску воспалительного процесса.
Средняя продолжительность образования полипозного очага составляет около трех месяцев.
Для полипа гортани характерен медленный рост, поэтому в начальной стадии развития он может оставаться незамеченным из-за скудности клинических проявлений. Считается, что у взрослых полипы могут озлокачествляться, однако это происходит редко и связано с частым рецидивированием патологического процесса, множеством других неблагоприятных изменений и предрасполагающих факторов. На миндалинах при полипах гортани изменений нет.
Основные способы лечения
Для лечения заболеваний гортани часто применяют хирургическое вмешательство или химиотерапию в сочетании с различными лекарственными препаратами. Поскольку в ротовой полости находится большое количество нервных окончаний, новообразование возможно удалить только на ранних стадиях. Часто операцию проводят после лучевой терапии, когда опухоль уменьшается в размерах. Также может применяться химическая терапия.
Одним из методов лечения заболевания является хирургическое удаление.
Рассмотрим подробнее использование лучевой терапии. Она позволяет определить наличие метастазов в ротовой полости. С помощью гамма или бета-частиц врачи могут выявить только пораженные области. После лучевой терапии оставшееся новообразование и пораженные лимфатические узлы удаляют хирургическим путем. Поскольку болезнью часто сопровождается стоматит, перед началом лечения необходимо вылечить все зубы, пораженные кариесом или другими стоматологическими проблемами. При наличии инфекции необходимо избавиться от нее. Специалисты могут назначить уколы или капельницы для снятия воспалений.
Как правило, лучевая терапия применяется в сочетании с химиотерапией. В случае высокодифференцированных опухолей второй вариант более эффективен. В таких случаях используются цитостатики, которые активно борются с раковыми клетками.
При химиотерапии применяются противоопухолевые препараты. Их используют как дополнительное лечение вместе с основным, чтобы значительно уменьшить опухоль. При онкологических последствиях целесообразно принимать эрбитукс.
При наличии рака у пациента уже с метастазами рекомендуется сочетать химиотерапию и лучевое лечение. Бывают случаи, когда рак затрагивает нижнюю часть челюсти, и больше не остается вариантов, кроме как удалить ее и установить на ее место трансплантат.
Лечение с помощью хирургии лучше сочетать с другой процедурой, такой как сеанс облучения поврежденной зоны. После прохождения лечения пациенту необходимо регулярно посещать врача, который будет следить за процессом восстановления.
После диагностики врачом может быть назначено использование онкоформирования. Лечение происходит в случае:
- Запущенного процесса, при условии, что задеты ткани,
- Есть припухлость в лимфатических узлах,
- Имеются раковые клетки на органах.
Если поражение распространилось очень быстро, и задеты жизненно важные ткани, прибегают к хирургическому вмешательству. Проводятся следующие операционные мероприятия:
- Если новообразование имеет маленькие размеры, возможно применение лазеротерапии
- Если клетки охватили большие участки пораженных тканей, может быть назначено иссечение пораженных областей
- Может быть удален небольшой участок мягкого неба или части языка. Врач может восстановить их путем пластической хирургии.
Пациент должен знать, что эти виды лечения могут иметь негативные побочные последствия. Одним из них может стать затруднение дыхания, возникающее вследствие небольших припухлостей рядом с ушными раковинами. Некоторые виды вмешательств могут отразиться на речевой функции.
В качестве экспериментального способа лечения применяется фотодинамическая терапия. Для этого типа лечения характерен прием лекарственных препаратов, которые способны бороться с зараженными клетками. В этой медицинской процедуре используется специальный свет, который уничтожает опухолевые образования.
Почему вырастает полип
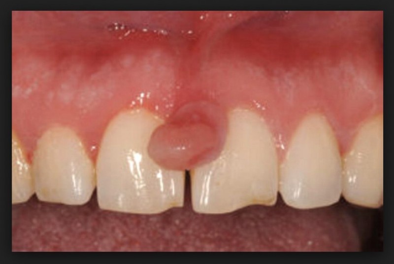
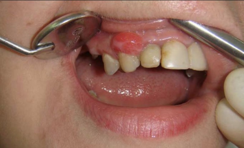
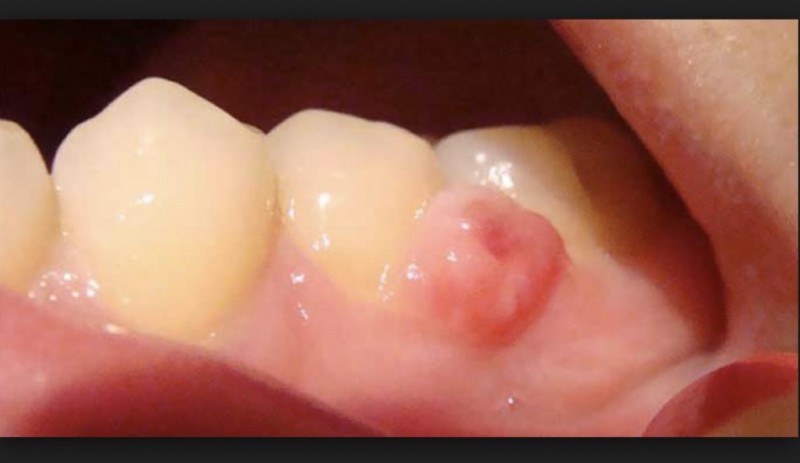
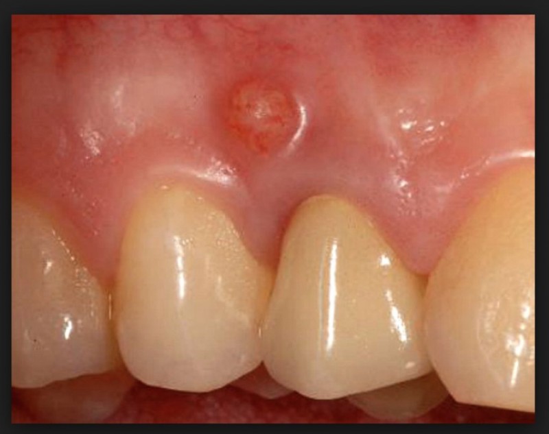
Появление аномальных образований в мягких тканях обусловлено избыточной активностью бактерий, что способствует необычному росту полипов в слизистой оболочке. Врачи утверждают, что при обнаружении проблемы, такой как полип на десне, необходимо незамедлительно начинать лечение, поскольку он может превратиться в злокачественную опухоль. Для предотвращения этого чаще всего полип удаляют. Полипы могут появляться не только в ротовой полости, но также в матке и кишечнике. Специалисты утверждают, что у каждого человека может произойти сбой на клеточном уровне, что приведет к патологиям мягких тканей.
Для своевременного обнаружения полипа на ранней стадии необходимо посещать стоматолога 1-2 раза в год. Однако не все люди регулярно обращаются к врачам. Чаще всего появление небольшого нароста возле зубного корня не воспринимается всерьез. Затем нарост начинает увеличиваться в размерах, напоминая бородавку. При визуальном осмотре сложно определить, является ли образование злокачественным. Поэтому после удаления полипа рекомендуется отправить его на биологическое исследование, чтобы исключить возможность появления аналогичных наростов на внутренних оболочках и тканях.
В интернете можно найти подробные фотографии полипов на десне. Часто после появления одного полипа в ротовой полости появляются еще несколько аналогичных наростов. Они имеют розовый оттенок без резких углов и с гладкой поверхностью. Полип можно обнаружить даже у ребенка. Родители часто путают его с коренным зубом, полагая, что так происходит прорастание резца. Стоит отметить, что у детей полипы диагностируют в форме, которая не представляет опасности и проходит самостоятельно даже без лечения, если у ребенка хороший иммунитет. Врачи выделяют три основных типа образований:
- Ангиомотозный – самая простая форма, при которой нарост возникает около основания резца. Он особенно заметен после физических нагрузок или стрессов, так как приобретает ярко-алый оттенок.
- Фиброзный – нарост, который быстро растет, мешая пациенту жевать, говорить, чистить зубы. Это доброкачественное образование с плотной основой, которое требует немедленного лечения, поскольку может превратиться в опухоль.
- Гигантоклеточный – сильное разрастание полипов, которое сложно контролировать.
Самый опасный тип – последний. Гигантоклеточное образование разрушает костную ткань в районе челюстей. Поражение настолько сильное, что прикосновение к участку, где концентрируется заболевание, вызывает кровотечение. Врачи утверждают, что причиной его появления является гормональный дисбаланс. Лечение требуется немедленно, поскольку велика вероятность потери зуба и заражения организма продуктами распада.





Как сообщают эксперты, полип на десне обычно возникает из-за постоянного повреждения определенной области, наличия зубного налета или сниженного иммунитета. Применение лекарств для коррекции гормонального фона также может способствовать образованию наростов. Неправильная гигиена, наличие заболеваний полости рта, курение, неквалифицированное вмешательство стоматолога или удаление зубов мудрости – все эти факторы могут быть причиной появления полипов. Кроме того, в процессе диагностики важно выяснить, есть ли у пациента хронические заболевания, поскольку они также могут оказать влияние на появление наростов в области десен.
Частые вопросы
Какие причины могут привести к появлению папиллом на языке?
Папилломы на языке могут появиться из-за вируса папилломы человека (HPV), травмы языка, ослабленного иммунитета или гормональных изменений.
Как можно лечить папилломы на языке?
Лечение папиллом на языке может включать удаление папилломы хирургическим путем, применение медикаментозных средств или лазерную терапию. Важно обратиться к врачу для получения рекомендаций по лечению.
Полезные советы
СОВЕТ №1
Обратитесь к врачу-отоларингологу для профессиональной консультации и диагностики папиллом на языке.
СОВЕТ №2
Избегайте травмирования папиллом на языке, чтобы предотвратить возможные осложнения и инфекции.
СОВЕТ №3
Изучите возможные методы удаления папиллом на языке, такие как хирургическое вмешательство, криодеструкция или лазерное удаление, и обсудите их с врачом.










