Последствия некоторых стоматологических заболеваний могут привести к патологической подвижности зубов, что в конечном итоге может привести к их преждевременному разрушению и потере. Пациенты, страдающие от осложнений пародонтоза и остеомиелита, интересуются, что такое шинирование зубов и как оно может помочь сохранить нормальную функцию полости рта. Также остается открытым вопрос о том, какой вид шинирования следует предпочесть и какие осложнения могут возникнуть в результате данной стоматологической процедуры.
Сущность процедуры
Шинирование – это серия стоматологических процедур, которые помогают закрепить зубы и предотвратить их выпадение. Во время этой процедуры на заднюю поверхность зубов накладывается специальная прочная нить – шина, которая укрепляет расшатанные зубы и обеспечивает их сохранность. Шинирование эффективно на ранних стадиях заболевания и должно сочетаться с консервативным лечением.
Процедура обычно состоит из 1-2 сеансов, проходит безболезненно и занимает небольшое количество времени.
Показания для шинирования зубов включают:
- Нарушение зубного ряда в результате патологического развития, травмы или осложнений заболевания, сопровождающееся подвижностью и смещением зубов.
- Аномальное расположение зубов.
- Сложные заболевания мягких тканей и повышенная кровоточивость десен.
- Глубокие десневые карманы.
- Наличие патологических отложений (налет, пигменты, остатки пищи, темный камень и т.д.) в прикорневой и пришеечной зонах зуба.
- Обнажение зубных корней вследствие некариозных поражений.
Для проведения этой процедуры используются специальные материалы, которые должны соответствовать стоматологическим требованиям:
- Надежное фиксирование зубного ряда с минимальной травматизацией тканей и десен.
- Полное устранение подвижности зубов.
- Незаметность для окружающих и сохранение эстетики улыбки.
- Комфорт пациента при общении и приеме пищи, а также при выполнении гигиены области.
- Долговечность и прочность.
При выборе материалов для шинирования зубов, пациенты заинтересованы в использовании стекловолокна, шелка или полиэтилена, так как они обеспечивают максимальную незаметность на зубах. В некоторых случаях требуются особенно прочные нити, например, арамидные.
Несъемный метод
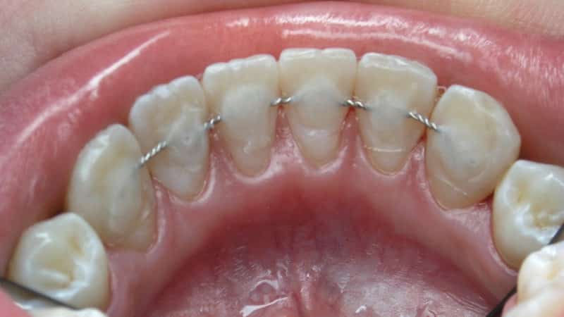
Шинирование зубов может включать использование специальных искусственных коронок, протезов и нитей. Когда речь идет о протезах, этот метод является наиболее долговечным и прочным, особенно в случаях, когда отсутствуют несколько соседних зубов. Коронки также являются надежными и долговечными, но их установка может быть сложной. Для этого требуется предварительная обработка и обточка здоровых зубов, а также необходимость отсутствия пародонтита и других патологий. Бюгельное протезирование направлено на изоляцию и закрепление всего зубного ряда, а также замену отсутствующих зубов искусственными. Шинирование зубов нитью назначается, когда все зубы в ряду сохранены, так как этот метод является более щадящим. Он имеет ряд преимуществ, таких как отсутствие необходимости обработки и обточки соседних зубов и минимальная травматизация тканей. Правильная установка шинирования обеспечивает равномерное распределение нагрузки при жевании и устранение патологических промежутков между зубами. Процедура установки шинирования нитью проводится по принципу обычного протезирования и включает несколько этапов. Сначала проводится анестезия, затем на задней поверхности зубов создается ровная борозда, в которую закладывается специальная нить и закрепляется гелиокомпозитом. В случае шинирования нижнего ряда требуется дополнительное закрепление моляров.
Съемный метод
Мероприятие проводится в случае серьезных патологий и тяжелых форм заболевания, когда зубы теряют подвижность и выпадают. Стоматолог разрабатывает индивидуальную конструкцию, которая позволяет зафиксировать здоровые зубы и восстановить выпавшие с помощью искусственных коронок.
Съемная методика используется после механических повреждений, таких как перелом и сильный ушиб челюсти. Она позволяет зафиксировать зубной ряд на период выздоровления и предотвратить изменение его элементов. Для изготовления съемных шин обычно используют пластик или металл.
Преимуществом такого протезирования является отсутствие необходимости удаления пульпы и шлифования поверхности здоровых зубов. Пациенту с такой шиной легче поддерживать гигиену полости рта. Съемная конструкция не мешает лечению других стоматологических заболеваний и патологий.
Шинирование подвижных зубов включает использование различных съемных конструкций:
-
Система Эльбрехта, выполненная из гибкого и прочного сплава, обеспечивает комфорт и долговечность. Она устраняет подвижность зубов на всех направлениях, но не защищает от неравномерной жевательной нагрузки. Эта модель применяется на ранних стадиях заболеваний и при подвижности зубов первой степени.
-
Система Эльбрехта с кламмерами на фронтальные зубы надежно фиксирует зубной ряд и также применяется при подвижности первой степени и отсутствии воспаления пародонта и периодонта.
-
Система с цельной каппой предназначена для фиксации фронтальных зубов с помощью специальных защитных колпачков. Она защищает зубную дугу от повышенной и неравномерной жевательной нагрузки.
-
Круговая шина (обычная и с когтевыми отростками) часто используется при шинировании зубов. Она эффективна при невыраженной подвижности, но не применяется при отклонении зубов от оси.
При развитии пародонтита и высокой подвижности элементов зубного ряда рекомендуется применять съемные протезы. Конструкция изготавливается в зуботехнической лаборатории по индивидуальному слепку челюсти пациента, учитывая различные факторы.
Изготовление съемной шины требует нескольких посещений дантиста и состоит из основных этапов: визуального и механического обследования состояния пародонта, подготовки зубного ряда, моделирования и подбора конструкции, выполнения модели из воскового материала, проверки системы в ротовой полости пациента, отделки и полировки шины.
Преимущества и недостатки мероприятия
Процедура шинирования зубов предоставляет возможность восстановить зубной ряд и устранить патологическую подвижность. Она эффективно применяется для исправления патологий, вызванных анатомическими и возрастными изменениями, а также механическими повреждениями.
Шинирование зубов при заболеваниях пародонта является одним из наиболее эффективных способов сохранения функциональности зубного ряда. Кроме того, оно предотвращает атрофию челюстной кости, так как равномерно распределяет жевательную нагрузку, позволяя челюсти выполнять свои функции. Шины также способны сократить межзубные промежутки, что невозможно при использовании других подобных конструкций. Они также могут быть альтернативой протезированию при восстановлении утраченных коронок. Кроме того, шинирование позволяет сохранить здоровые зубы, так как не требует их обточки и предварительной депульпации. Борозда, выполненная в зубе, плотно заполняется композитом. Конструкции шин прочные, надежные и долговечные, и, судя по отзывам, они служат пациентам не один год.
Однако есть и некоторые недостатки, связанные с возможными осложнениями после процедуры шинирования. Например, шинирование может усложнить гигиену полости рта, особенно зубодесневых карманов. Неправильная установка шины может вызвать обострения пародонтита и других стоматологических заболеваний. Глубокая борозда может повредить пульповую камеру, вызывая пульпит и сильные боли. В некоторых случаях может возникнуть повышенная чувствительность эмали, требующая дополнительного ухода. Шина может сломаться из-за нарушения технологии изготовления, а также в результате естественной деформации и перегрева. Также под шиной может развиться кариес в случае недостаточной полировки.
Шинирование является современной процедурой, которая позволяет сохранить зубной ряд и защитить его от повышенных нагрузок. Если процедура выполняется в хорошей клинике, то она предоставляет незаметный способ сохранить здоровые зубы даже при развитии стоматологических заболеваний.






