Косточка на пятке – это деформация Хаглунда, одна из разновидностей болезней ступней, развивается в течение длительного времени, не заявляя о себе. Только резкие боли заставляют пациента обратиться к врачу.
Причины появления
Нарост на пятке – остеофит, появляется на месте крепления ахиллового сухожилия, приводящего в движение стопу, к пяточной кости. Прогрессирующее заболевание сопровождают боли, отеки, опухоль, краснота, кроме физических неудобств больному сложно подобрать обувь, стопа выглядит не эстетично.
Причинами образования шишек на пятках считают аномалии в строении стопы:
- варусная постановка ног, вальгусная деформация, внешняя / внутренняя косолапость;
- высокий свод ступней;
- плоскостопие;
Внешние факторы нарушения подвижности сухожилий:
- травмы, удары ступней;
- обувь с твердым задником, узкая обувь;
- избыточный вес пациента;
- профессиональная деятельность, связанная с длительным пребыванием на ногах;
- заболевания ног, суставов: артроз, экзостоз.
Шишка на стопе выпирает вследствие костного нароста, воспаления сухожилия, мягких тканей пятки, существует комплексный вариант: костный бугорок с воспалением. Заболевания развиваются вследствие повышенного трения пяточной кости о задник обуви во время ходьбы, множественных микротравм соединительной ткани, сухожилия.
Методы лечения шишки на пятке
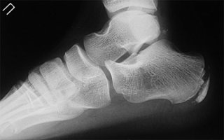
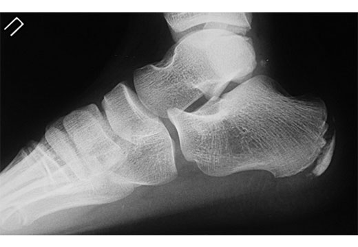
Остеофит можно спутать с многократно повторяющимися сухими мозолями на пятке. На ощупь отличия между костным, сухожильным наростом не всегда ощутимы, поэтому некоторые пациенты не торопятся к врачу за диагнозом. Помимо визуального осмотра стоп на предмет вальгусной/варусной деформации пациенту назначают рентгенографию, которая покажет, в чем причина шишки на пальце: остеофит или воспаление сухожилий – ретрокальканеальный бурсит. От диагноза зависит план лечения.
Если рентген не показал признаков костного нароста на пятке, больному назначается магнитно-резонансная томография стоп для уточнения диагноза, установления степени воспаления сухожилий, причин. Шишка на пятке сбоку – основание полагать, что у пациента не остеофит, а воспаление мягких тканей. Избавляться от натертостей на пяточках можно в домашних условиях с помощью отваров из лечебных трав, заменой обуви на комфортную.
При регулярном, правильном уходе бугорки на задней поверхности пятки увеличиваться перестанут. Однако лечение допускается только с разрешения врача.
Консервативное лечение
Консервативное лечение остеофита включает различные методики физиотерапии: лазерное лечение, ударно-волновая техника, магнито- и рентгенотерапия, ультразвук, электрофорез. На ранних стадиях развития костного уплотнения способы лечения имеют высокую степень эффективности при практически полном отсутствии противопоказаний, однако запущенное заболевание требует радикальных мер. Эффект от физиопроцедур наступает за счет:
- улучшения кровообращения в воспаленных тканях;
- растворения солей, кальциевых отложений;
- купирования болевых ощущений, снижения болезненности, отечности тканей;
- увеличения регенеративных свойств тканей;
- размягчения костного образования;
- снятия воспалительного процесса.
Результат лечения – уменьшения нароста в размерах, благодаря чему пациент чувствует себя комфортно, качество жизни улучшается. Вовремя принятые меры в самом начале заболевания помогут полностью избавиться от шишки на пяточной кости.
Народные средства
Народные средства от бугорка на пятке используются дома в качестве вспомогательного лечения, не способны значительно изменить состояние нароста в благоприятную для больного сторону. Лечение косточки на пятке сзади народными средствами допускается к применению после постановки диагноза врачом и с его согласия.
| Рецепт | Приготовление/ применение |
| Овсяная лепешка | Ингредиенты: овсяная мука, мед в равных долях вымешиваются, из полученного теста формируется лепешка, которую необходимо приложить к распаренным ножкам в области выпирающей косточки под полиэтилен, теплый носок на ночь. Процедуру выполнять в течение 2 недель. |
| Куриный желток | Желток одного сырого куриного яйца смешивают с 1 ст. л меда, наносят на предварительно распаренные ноги в области шишки под полиэтилен, фиксирующую повязку, теплый носок на ночь. Длительность терапии не менее 2 недель. |
| Аспирин | Йод, 6 таблеток аспирина растереть до состояния кашицы, полученную смесь наносить на распаренные ножки в области костного нароста под полиэтилен, фиксирующую повязку, теплый носок на ночь. Курс лечения 1 месяц. |
| Прополис | Средство размять, натереть больной участок. Повторять процесс несколько раз в течение дня, сверху наклеивая пластырь. |
| Отвары трав | Зверобой, шиповник, ромашка, пастушья сумка в виде густого отвара, приготовленного на водяной бане, прикладываются к распаренным пяткам на ночь под полиэтилен, теплый носок. Использовать отвары трав можно на постоянной основе. |
| Картофельные очистки | Кожуру отварить, остудить до комфортной температуры полученный отвар, парить ножки 20 минут перед сном. После процедуры смазать пятки кремом, надеть теплые носки. |
При использовании средств народной медицины утром рекомендуется смыть компресс теплой водой, помассировать ступни, смазать кремом.
Операция
Операция по удалению деформации Хаглунда направлена на механическое стачивание выпирающей кости путем эндоскопического/ открытого доступа в зависимости от стадии развития патологии. Радикальный способ применяется, когда использование консервативных методов лечения не имеет смысла с точки зрения эффективности. Операция показана, когда диагностика показала наличие в тканях сухожилия кист. В некоторых случаях при выполнении операции по устранению остеофита на пятке удаляют костный нарост, задне-пяточную слизистую сумку для снижения давления на сухожилие.
При использовании любого метода терапии важными составляющими лечения являются:
- прием нестероидных противовоспалительных препаратов;
- обезболивающих медикаментов;
- использование ледяных грелок;
- массаж стоп, голеностопа, икроножных мышц;
- гимнастика для ног;
- снижение веса;
- ношение удобной обуви без жесткого задника, вовсе без него;
- использование ночных ортезов, жестких бандажей для фиксации стопы в анатомическом положении;
- при плоскостопии, варусной / вальгусной деформациях стоп обязательное ношение ортопедических стелек, коррекция патологий с участием врача – ортопеда;
- постоянное ношение пластырей (обезболивающий компид, магнитный гиперостеоджени) с обувью.
Меры профилактические для поддержания здоровья, красоты ног.
Как быстро снять боль косточки на пятке сзади
Если болят косточки на пятке сзади, необходимокупировать ощущения. Снять боль, воспаление при деформации Хаглунда помогают с препараты:
- для перорального приема: ибупрофен, диклофенак, кеторол, индовазин;
- для местного применения: вольтарен-гель, фастум-гель, траумель-гель;
- инъекции противовоспалительных препаратов в шишку, метод лечения опасен неверно рассчитанной дозировкой, неточным введением лекарства, что чревато некротическими процессами в пяточной кости, что делает менее популярным средством в сравнении с таблетками.
Снизить боль от шишек на пятках помогает отдых от нагрузки на стопы. Если на 15 минут занять горизонтальное положение, чтобы ноги были выше положения тела, болевые ощущения уменьшатся. Щадящий режим нагрузок, обувь без задника, ортопедическая стелька не остановят заболевание, но облегчат состояние больного, параллельно снизив нагрузку на колени, спину.
Возможные осложнения
При отсутствии лечения особенность остеофита заключается в нарастании симптомов. Заболевание не проходит самостоятельно, ухудшая качество жизни больного. Хирургическая коррекция деформации Хаглунда – операция дорогостоящая, на запущенной стадии течения болезни – единственно возможная, врачи единогласны, заболевание, как и другие, легче и дешевле предотвратить, чем лечить.
Статья проверена редакциейСсылка на основную публикацию





