Если ваш ребенок постоянно жалуется на боль во рту, отказывается чистить зубы и ведет себя непослушно, это может быть признаком проблем с деснами. Если десны красные, воспаленные и кровоточат, необходимо обратиться к стоматологу. Чаще всего в таких случаях врач ставит диагноз гингивит — воспаление десен.
Что провоцирует развитие патологии
Гингивит у детей чаще всего диагностируется у маленьких детей. Множество факторов способствуют возникновению этого недуга. Некоторые из наиболее распространенных факторов включают в себя небрежное чистка зубов, что создает благоприятную среду для заражения бактериями, а также механические повреждения ротовой полости, такие как травмы, трещины и ожоги. Биологические вредители также могут способствовать развитию гингивита, поэтому важно проводить регулярные гигиенические процедуры у детей. Чрезмерные нагрузки на челюсти и зубы, а также продолжительный процесс прорезывания зубов, также могут привести к развитию гингивита у детей. Кроме того, существуют и другие факторы, которые могут способствовать возникновению гингивита, такие как проблемы, связанные с терапией зубов, врожденные аномалии и проблемы, а также патологии инфекционного характера, сердечно-сосудистой системы и пищеварения.
Почему возникает воспаление десен у детей
Патологический процесс гингивита чаще всего возникает из-за неправильной гигиены полости рта. Неправильное чистка зубов и неэффективное удаление зубного налета приводят к накоплению зубных отложений у ребенка. Причины возникновения гингивита можно разделить на внешние и внутренние. Внешние причины включают медицинские, физические и химические аспекты, а внутренние — такие факторы, как рост зубов, недостаток витаминов, слабая иммунная система, неправильное питание, проблемы с пищеварительной системой и прикусом. В подростковом возрасте гингивит связан с гормональными изменениями. У грудничков гингивит обычно возникает из-за заражения через руки, которые они тянут в рот, игрушки, предметы обихода и пищу.
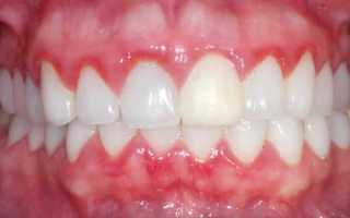
Клиническая картина гингивита
В первую очередь, взрослые должны обратить внимание на наличие кровотечения и немедленно обратиться к врачу, если оно есть. Иногда этот симптом может проходить незаметно, и ребенка приводят к врачу уже в состоянии тяжелого поражения десен. Это может привести к появлению неприятного запаха изо рта, боли и жжения.
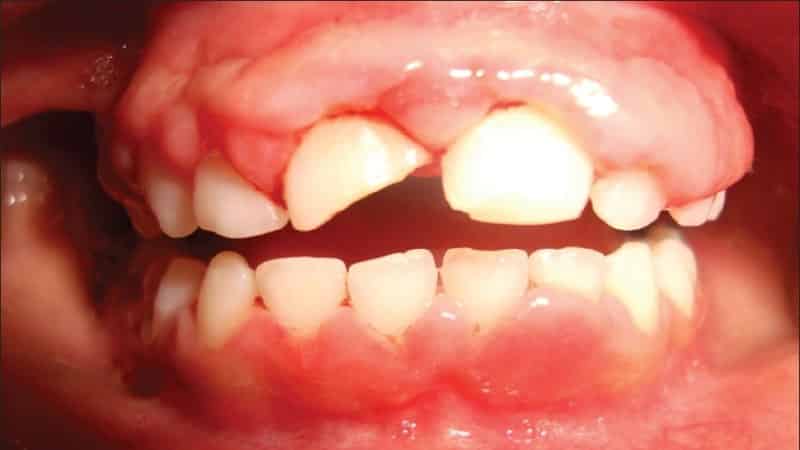
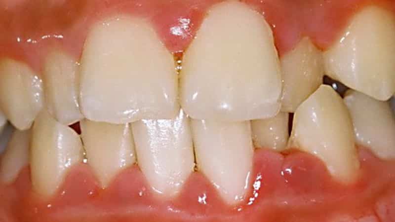
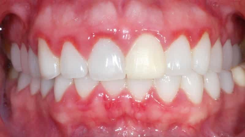
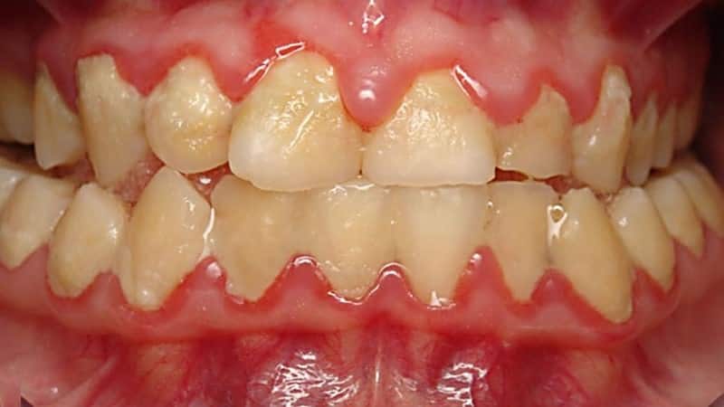
В некоторых случаях у ребенка может возникнуть повышение температуры **. Врач сможет легко диагностировать заболевание при обычном осмотре. Гингивит всегда сопровождается покраснением десен, отечностью тканей, появлением ранок и язв, а также кровоточивостью.
Малыши могут отказываться от еды из-за отсутствия аппетита, они могут быть нервными и часто плакать.
Разновидности гингивита
В стоматологической практике гингивит классифицируется на несколько форм: катаральную, гипертрофическую, язвенную и атрофическую.
Катаральная форма гингивита чаще всего встречается у детей. Она характеризуется дискомфортом в деснах, жжением и неприятным запахом изо рта. Во время еды может возникать кровоточивость. Ребенок может не ощущать боли или повышение температуры, но может игнорировать чистку зубов.
Острая форма гингивита может возникнуть в результате случайных повреждений слизистой или ожога. Часто она развивается при прорезывании молочных зубов.
Гипертрофическая форма гингивита чаще всего поражает подростков в период полового созревания. Она также может быть вызвана дефицитом витамина С в организме. Эта форма заболевания влияет на области челюстей, где зубы соприкасаются друг с другом. Она может затронуть одну или несколько десен, иногда с несколькими зубами. Воспаленные сосочки на деснах покрывают зубы.
Атрофическая форма гингивита связана с некачественным лечением зубов или наличием аномалий. Воспалительный процесс не так ярко выражен, цвет десен не меняется, и ребенок не жалуется на боль. Однако ткани десен серьезно пострадают. Со временем может проявиться полное обнажение зубной шейки, что может вызывать неприятные ощущения при употреблении горячей и холодной пищи.
Язвенный гингивит возникает из-за инфекции или переохлаждения. Десна отмирают, отекают и кровоточат, приобретают синюшный оттенок, сопровождаются болями и зудом. На зубах накапливается налет.
Если не провести своевременное лечение, ребенок может испытывать проблемы со сном, отказываться от еды и вести себя плохо.
Гингивит может затронуть все зубы ребенка, что называется генерализованным течением болезни. Если же заболевание ограничено только отдельными областями, то говорят о локализованном гингивите.
Лечение гингивита у детей
Лечение данной патологии у детей практически не отличается от лечения у взрослых. Однако, медикаменты, используемые для детей, обычно являются более мягкими.
Первым шагом в лечении является профессиональная чистка зубов у дантиста, включающая удаление зубного камня и налета. Это может быть выполнено различными способами, включая механическое воздействие и ультразвук.
После этого ребенку следует научиться правильно чистить зубы и подобрать подходящую зубную щетку с мягкой щетиной. Также рекомендуется использовать чистящую пасту на основе лекарственных трав и проводить массаж десен.
Важно исключить факторы, способствующие образованию налета на зубах, и провести терапию кариеса и восстановление прикуса. Также рекомендуется использовать антисептики, такие как мирамистин и хлоргексидин, а также лекарственные растения с антибактериальными и противовоспалительными свойствами.
Домашнее лечение может включать полоскание раствором соды, спиртовым раствором с прополисом, использование зверобоя, сока алоэ и настоев из трав.
При наличии бактериального стоматита или кандидоза в полости рта, рекомендуется использовать хлоргексидин для полосканий. Мирамистин является аналогом хлоргексидина и может использоваться при вирусных и герпетических воспалениях.
Профилактика и осложнения
Предотвращение проблемы намного проще, чем ее решение. Поэтому, важно научить детей правильно чистить зубы, чтобы предотвратить воспалительные процессы.
Стоимость зубной пасты не так важна, как регулярное и качественное чистка зубов для удаления налета после еды.
Также важно следить за питанием ребенка. Сладости следует давать только после основного приема пищи, после чего необходимо тщательно чистить зубы и прополаскивать ротовую полость.
Профилактика гингивита — это правильная гигиена полости рта.
Своевременные посещения стоматолога, правильное питание и соблюдение гигиенических процедур существенно снижают вероятность возникновения заболевания.
После лечения важно помнить, что заболевание может вернуться. Когда иммунитет ослабевает, патологический процесс может возобновиться. Стресс, переохлаждение и травмы являются спусковыми механизмами. Неизлеченный гингивит переходит в пародонтит, при котором образуются гнойные карманы, начинают разрушаться зубы и десна.
https://www.youtube.com/watch?v=zJ6NE77q3m0






