Как исправить глубокий прикус

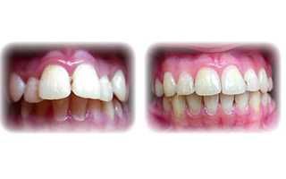
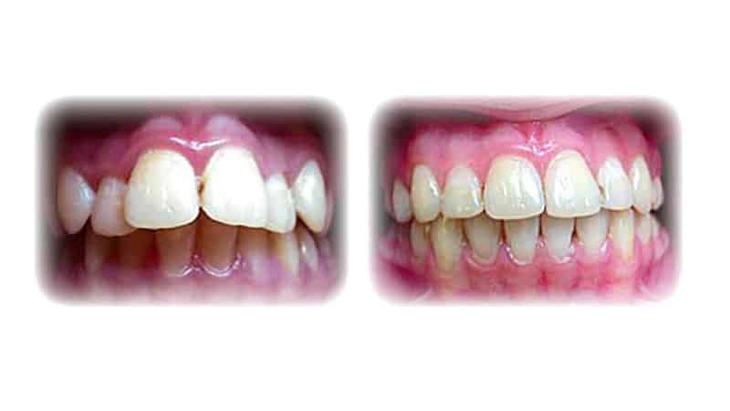
Глубокий прикус — это аномальное развитие резцов, когда верхние резцы значительно перекрывают нижние. Это состояние также известно как глубокое резцовое перекрытие. Необходимо обратиться к специалисту при малейшем подозрении на такое отклонение, так как отсутствие своевременного лечения может иметь серьезные последствия. Фотографии до и после лечения глубокого прикуса доступны на нашем сайте.
Наилучшим вариантом является начать восстановление смыкания челюстей сразу после обнаружения аномалии в детском возрасте. Однако часто врачей посещают люди более старшего возраста. Сегодня специалисты могут успешно справиться с этим нарушением в любом возрасте, но лучше начать лечение как можно раньше. Как исправить глубокий прикус у взрослых, подростков и детей? Об этом рассказывается в данной статье.

Разновидности глубокого прикуса

Глубокий прикус может быть классифицирован специалистами по нескольким признакам. Один из них — характер взаимодействия фронтальных зубов. Вертикальное нарушение характеризуется перекрытием нижней части челюсти и шарнирным перемещением при движении зубами, в то время как горизонтальное нарушение имеет другие особенности. Глубокий прикус также может иметь различные формы в зависимости от способа взаимодействия боковых зубных рядов, таких как дистальная и нейтральная формы.

Дистальная форма глубокой окклюзии характеризуется несколькими признаками. Лицо кажется коротким, верхние резцы видны при улыбке или смехе, возможен небольшой перекос подбородка, и верхние зубы полностью закрывают нижние.

Нейтральный прикус, в свою очередь, имеет свои особенности. На лице присутствует супраментальная складка, верхние зубы сильно перекрывают нижние, а форма подбородка является нормальной.

Причины, по которым возникает и развивается глубокий прикус

Глубокая окклюзия может быть вызвана несколькими факторами, включая наследственность, инфекционные и вирусные инфекции, осложнения при родах, различные заболевания в раннем и юном возрасте, отклонения в построении опорно-двигательной системы, онкологию, остеомиелит, поздний отказ от соски, а также неправильное глотание, сосание, жевание и речь. Эти факторы могут способствовать развитию глубокой окклюзии и требуют внимательного внимания и лечения.

Особенности устранения глубокого прикуса у взрослых

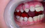
Взрослым пациентам, обратившимся за помощью к специалисту, могут быть предложены брекеты. Поскольку их челюсть уже полностью сформирована, использование пластинок и выполнение упражнений не приведет к желаемому результату. Чтобы лечение было незаметным для окружающих, можно выбрать керамические или сапфировые брекеты.

Глубоки прикус: какие бывают последствия этого нарушения

Глубокий прикус — это не только внешний дефект, но и серьезное нарушение, которое может иметь серьезные последствия. Необратимые проблемы с организмом и формированием скелета могут возникнуть, если не принять необходимые меры для лечения. Вот некоторые из них:

  • Повреждение эмали зубов;
  • Изменение формы лица;
  • Проблемы с глотанием и дыханием;
  • Повреждение слизистой оболочки;
  • Нарушение речи;
  • Скрежетание зубами.

Лечение глубокого прикуса у взрослых

Лечение глубокого прикуса не ограничено только детям, взрослые также могут успешно исправить эту проблему благодаря инновационным методам. Одним из основных способов коррекции прикуса у взрослых является ношение брекетов в сочетании с определенными упражнениями и массажем десен. Брекеты помогают растянуть соединительную ткань, которая закрепляет зубы в деснах, что приводит к изменению прикуса.

Помимо брекетов, существуют и другие средства для исправления глубокого прикуса, такие как пластины, капы и виниры. Однако они не могут полностью устранить эту проблему у взрослых. Поэтому такие стоматологические приспособления, как зубные пластины, применяются только для коррекции зубов у детей.

Если необходимо быстро устранить глубокий прикус, может потребоваться хирургическое вмешательство. Во время операции надрезается костная ткань и десна, чтобы достичь более быстрых результатов от массажа и приспособлений. Иногда может потребоваться также удаление некоторых зубов.

Способы лечения мезиального прикуса

Мезиальный прикус характеризуется небольшим выступанием нижней челюсти вперед и ее расположением над верхней челюстью при смыкании зубов. Лечение этого состояния может быть проведено как у детей, так и у взрослых. В большинстве случаев для коррекции используются брекеты, которые устанавливаются только на нижние зубы. В некоторых случаях может потребоваться хирургическая операция, во время которой специалист делает надрезы и удаляет корневые зубы. После этого передние и боковые зубы постепенно перемещаются на их место.

Дистальная окклюзия – исправляем нарушения верхних зубов

Дистальный прикус является наиболее распространенным типом отклонения. При этом типе нарушения верхняя часть челюсти смещается вперед по отношению к нижней, что приводит к образованию большого промежутка между зубами. Лечение этого типа прикуса проще, чем мезиальной формы. Для коррекции дистального прикуса применяется специальная ортодонтическая аппаратура, которая замедляет развитие верхней челюсти. В то же время, нижняя челюсть опережает развитие верхней, что со временем полностью устраняет нарушение. Взрослые пациенты в таких случаях могут использовать односторонние брекеты и лицевые пластины.

Можно ли исправить прикус в домашних условиях

Устранение искривления зубов, включая глубокий прикус, невозможно сделать самостоятельно. Для коррекции таких отклонений необходимо обратиться к специалисту, который проведет все необходимые исследования и назначит соответствующее лечение. В большинстве случаев требуется рентгеновский снимок, изучение ротовой полости и обследование нервных окончаний.

Тем не менее, человек может помочь себе дома. Регулярный массаж десен и легкое надавливание на зубы могут привести к восстановлению нормального прикуса. Если врач назначил временный аппарат, его необходимо снимать и очищать тщательно.

Выбор приспособления для коррекции окклюзии

Глубокий прикус — это нарушение, которое требует компетентного лечения и правильного выбора корректирующего аппарата. В большинстве случаев взрослым пациентам назначаются брекеты при диагнозе глубокий прикус.
Часто пациенты отказываются от ношения брекетов из-за их неприятного внешнего вида. Что делать в такой ситуации, как помочь человеку? Сегодня можно изготовить прозрачные элементы на заказ, которые практически незаметны для окружающих. Для их изготовления достаточно сделать снимок и слепок челюсти.
Для коррекции прикуса сейчас используются специальные компьютерные программы, которые обеспечивают максимально точный результат. По окончании лечения пациент получает ровный прикус и привлекательную улыбку.

image
image
image
image

Основы профилактики

Для предотвращения развития глубокого прикуса у ребенка рекомендуется увеличить потребление моркови и яблок, а также регулярно посещать стоматолога для профилактического осмотра. Это поможет обеспечить максимальную безопасность ребенка.

Фото до и после коррекции глубокого прикуса
Внешний вид глубокого прикуса
Коррекция глубокого прикуса у взрослых
Характеристики глубокого прикуса
Фото до и после лечения глубокого прикуса
image
Фото до и после исправления глубокого прикуса

Ссылка на основную публикацию
Похожие публикации