Курение — это привычка, которая наносит вред здоровью и охватывает многих людей, независимо от пола и возраста. Однако помимо общего ухудшения здоровья, курильщики также страдают от неприятного запаха сигарет изо рта, а также от одежды, волос и рук. Этот запах является стойким, специфическим и неприятным для окружающих. В данной статье мы рассмотрим эффективные способы быстрого устранения запаха сигарет изо рта и долгосрочные методы, которые помогут избавиться от этой проблемы.
От чего появляется табачное амбре
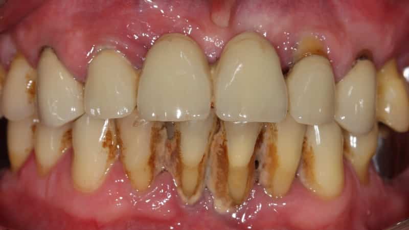
Перед тем, как выбрать метод для устранения запаха от сигаретного дыхания, давайте разберемся, почему он возникает. Во-первых, вредные вещества, содержащиеся в сигаретах, оседают на полости рта и гортани, вызывая микроповреждения в слизистой. Это способствует развитию патологической микрофлоры, образованию зубного камня и микробного налета, что и приводит к появлению специфического запаха. Во-вторых, дым и химические элементы, проглатываемые со слюной, нарушают обменные и пищеварительные процессы, вызывая неприятный запах из пищевода. В-третьих, курение приводит к высушиванию слизистой, замедлению слюноотделения и образованию трещин, в которые попадают остатки пищи и болезнетворные микроорганизмы. Это приводит к появлению гнилостных ароматов в дополнение к запаху табака. В-четвертых, слюна у курильщиков меняет свой состав и качество, становится густой, мутноватой, с желтым оттенком и специфическим ароматом. Вывод один — лучше всего сократить количество выкуриваемых сигарет или полностью отказаться от курения, чтобы избавиться от постоянной проблемы с запахом изо рта.
Польза грамотной гигиены
Многих пациентов стоматолога интересует, как избавиться от запаха сигарет изо рта. Однако, несмотря на свою простоту, лучшим способом по-прежнему считается качественная и регулярная гигиена полости рта. Вот несколько советов, которые помогут вам достичь свежего дыхания:
-
Правильно чистите зубы. Для курильщиков рекомендуется использовать зубную щетку с жесткой щетиной. Чистите зубы подметающими движениями сверху вниз в течение 3-5 минут. Кроме того, рекомендуется чистить зубы или промывать рот ополаскивателем после каждого курения.
-
Выберите подходящий ополаскиватель. Избегайте спиртовых растворов, которые могут пересушить слизистую оболочку. Предпочтение следует отдавать средствам, содержащим вещество «тимол», которое успокаивает раздраженную слизистую, увлажняет полость рта и предотвращает образование зубного налета.
-
Используйте межзубные щетки, стоматологическую нить и ирригаторы с освежающей антисептической жидкостью для очистки межзубных пространств. Это поможет устранить патогенные микроорганизмы и предотвратить образование зубного налета.
-
Обратите внимание на язык. Очищайте его дважды в день с помощью скребка для языка, уделяя особое внимание спинке языка, где скапливается большинство патогенных микроорганизмов. После чистки язык должен быть розовым, глянцевым и блестящим, без остаточных островков налета.
-
Носите с собой жвачку без сахара. Жевание стимулирует выделение слюны, что способствует дезинфекции и увлажнению полости рта, а также удалению химических соединений. Кроме жвачки, можно использовать специальные освежающие леденцы.
-
Используйте освежающий спрей для курильщика, который можно приобрести в аптеке. Он поможет освежить дыхание, но не решит проблему полностью и не оказывает положительного эффекта на состояние слизистой оболочки, зубов и десен.
-
Регулярно посещайте дантиста для профессиональной чистки зубов. Только опытный специалист с использованием современного оборудования и средств сможет удалить застарелый зубной камень и налет, от которых исходит неприятный запах. Кроме того, профессиональная чистка может осветлить эмаль на несколько тонов, что особенно важно для курильщиков.
Садимся на диету
Если вы не готовы отказаться от вредной привычки, но несвежее дыхание доставляет дискомфорт, то попробуйте изменить свой рацион. В этой статье мы рассмотрим основные продукты, которые помогут уменьшить запах табака изо рта.
-
Вода. После курения организм обезвоживается, что приводит к пересыханию слизистой и неприятному дыханию. Пейте воду как можно чаще, перекатывая ее в полости рта несколько секунд. Избегайте газированных напитков и сладких напитков с красителями и добавками.
-
Молочнокислые напитки. Натуральные йогурты без добавок и сахара нормализуют микрофлору в желудке и полости рта, улучшая дыхание.
-
Зерна кофе. Жевание кофейных зерен поможет маскировать запах табака.
-
Твердые овощи и фрукты. Яблоко, морковь и другие овощи и фрукты с органическими кислотами помогут освежить дыхание, разъедая микробный налет и никотиновые компоненты.
-
Огородная зелень. Листья петрушки, лавра, гвоздики, укроп и сельдерей мгновенно освежают полость рта благодаря органическим кислотам. Душистые травы, такие как мята, эвкалипт, мелисса и жасмин, также придают приятный аромат дыханию.
-
Специи. Сухие сборы, такие как гвоздика, анис, корица, кориандр, тмин, мускатный орех или фенхель, могут помочь перебить запах сигарет изо рта.
-
Орехи. Они не только вкусная закуска, но и помогают быстро устранить запах табака.
Также важно учесть, что ваша диета должна включать и ограничения. Некоторые продукты могут ухудшить запах изо рта:
-
Сладкие и газированные напитки способствуют развитию бактерий и микробов, что приводит к несвежему дыханию.
-
Горячие напитки, такие как кофе, какао, стиковые напитки, черный чай и ароматизированные чаи, также могут ухудшить дыхание.
-
Употребление большого количества алкоголя во время курения сушит слизистую и усугубляет дегенеративные процессы в полости рта.
-
Кислые соки, компоты и фреши могут раздражать и высушивать слизистую курильщика, ухудшая запах изо рта.
-
Острые, пряные и кислые продукты раздражают полость рта и способствуют появлению микротрещин, что создает идеальную среду для размножения микробов.
-
Лук и чеснок в сочетании с табаком вызывают удушающее дыхание.
-
Молоко и сырные продукты могут оставлять после себя неприятный запах гниения.
Учитывайте эти рекомендации в своей диете, чтобы снизить запах табака изо рта.
Водное лечение
Водолечение не может полностью избавить от запаха табака, но оно помогает восстановить водно-солевой баланс в организме, увлажняет слизистую и поверхность зубов, а также помогает вымывать табачные соединения из полости рта. Рекомендуется пить не менее 8 стаканов очищенной воды в день, а при занятиях спортом это количество следует увеличить. В теплое время года потребление воды должно быть не менее 10 стаканов. Чтобы улучшить вкус воды, можно добавить в нее лимонный сок, мяту, мелиссу, яблоко, морковь или некоторые пряные приправы. Эти напитки помогут скрыть запах табака и освежить дыхание. Существует множество методов для устранения запаха табака изо рта, но большинство из них лишь маскируют проблему, не решая ее. Поэтому важно поддерживать качественную гигиену полости рта и регулярно посещать стоматолога для профессиональной чистки и профилактического осмотра, особенно если вы не готовы ограничить или прекратить курение.






