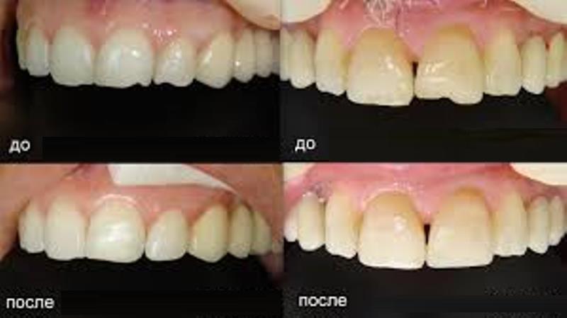
Разрушительные изменения в костной ткани могут возникать по разным причинам, таким как неблагоприятная экология, недостаточная гигиена, использование неподходящих зубных паст, неправильное питание и даже спортивные повреждения. Чтобы предотвратить полную потерю зуба, важно своевременно провести пломбирование передних зубов. Фотографии показывают отличные результаты этой процедуры.
Что дает пломбирование зубов
Пломбирование – это процедура восстановления первоначальной формы зуба, защиты нервов и устранения микробов. Основной причиной разрушения зубов является кариес, который негативно влияет на их твердую ткань.
Лечение передних зубов с использованием пломб является эффективным и простым процессом, так как не возникает проблемы несовместимости между естественной эмалью и искусственным материалом. Благодаря этой процедуре каждый человек может сохранить свои зубы до 80 лет и даже дольше.
Если кариозное поражение поверхностное и затрагивает только эмаль, то пломбирование можно избежать. Такие случаи чаще всего встречаются у детей школьного возраста. Поверхностные повреждения лечатся специальными препаратами, которые помогают восстановить эмаль. Фтористый лак и специальные растворы являются наиболее распространенными препаратами.
Если кариозное поражение достигло фиссур, то пломбирование необходимо провести как можно скорее. Среднее и глубокое повреждение тканей требует удаления измененной эмали и дентина, а затем установки временной или постоянной пломбы.
Важно отметить, что лечение зубов необходимо не только для создания красивой улыбки и эстетического вида, но и для общего здоровья организма. Продолжительное наличие кариеса может привести к болезненному гнойному пульпиту, который в свою очередь может стать причиной таких опасных заболеваний, как гайморит, менингит и панфронтит. Кроме того, бактерии, размножающиеся в кариозной полости, могут попасть в желудок, осесть на поверхности горла и проникнуть в кровоток, заражая весь организм.
Техника пломбирования
Страх перед посещением стоматолога сопровождает многих людей с детства. Однако стоит отметить, что современная медицина значительно продвинулась, и сегодня в любой стоматологической клинике предлагается широкий выбор обезболивающих препаратов, которые позволяют проводить лечение безболезненно.
Чтобы найти мотивацию для лечения, можно рассмотреть многочисленные фотографии. Пломба на передних зубах выглядит естественно и незаметно, помогая сохранить зуб в целости.
Процедура пломбирования состоит из нескольких этапов и может занимать от 30 до 60 минут, в зависимости от сложности восстановления:
- Врач тщательно осматривает зуб и выбирает метод лечения.
- Исходя из индивидуальных особенностей пациента, выбирается анестетик.
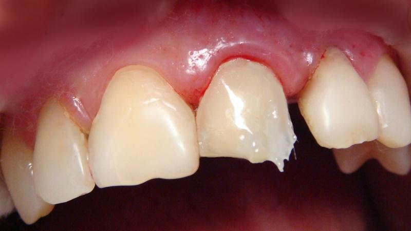
- Затем проводится препарирование с помощью бор-машины для удаления пораженных кариесом тканей.
- Если имеется пульпит, воспаленная пульпа полностью удаляется, а полость дезинфицируется, чтобы под пломбой не осталось микробов, способных вызвать новое воспаление.
- Затем стоматолог готовит материал для пломбы, вводит его в полость зуба и при помощи инструментов «усаживает».
- Обычно материал быстро затвердевает, после чего врач выполняет шлифовку для достижения правильного прикуса.
- Для проверки качества выполненной работы и полного удаления пораженных участков назначается рентгеновский снимок.
В некоторых случаях стандартные этапы пломбирования неэффективны, поэтому используется ретроградное восстановление, которое помогает закрыть каналы и устранить воспаление.
Материалы для пломбирования
Современная стоматология использует различные материалы для пломбирования передних зубов, которые помогают не только исправить дефект, но и восстановить естественные свойства зуба. Временные материалы используются в случаях, когда невозможно установить постоянную пломбу. Они служат временной защитой и содержат лекарственные препараты. Металлические пломбы из амальгамы, хотя и имеют длительный срок службы, имеют некоторые недостатки, такие как наличие ртути, расширение и нарушение стенок зуба, долгое время застывания раствора и неестественный металлический цвет. Цементные пломбы, такие как фосфатные, силикатные и стеклоиномерные, также имеют свои преимущества и недостатки. Пластмассовые пломбы обладают хорошей прочностью, возможностью выбора цвета и хорошим прилеганием, но также имеют некоторые недостатки, такие как склонность к полимеризации, темнение поверхности и токсичность акриловых материалов. Фотополимерные пломбы являются самым современным материалом, который обладает высокой прочностью, эстетичностью и длительным сроком службы. Они позволяют полностью восстановить длину и форму зуба, устойчивы к температурным условиям, равномерно затвердевают и являются безопасными и не токсичными. При правильной гигиене они могут прослужить до 10 лет.
Основные требования к материалам
Требования к стоматологическим материалам были установлены в прошлом веке и остаются практически неизменными.
Реставрационный материал должен обладать следующими характеристиками:
- Быть устойчивым к воздействию химических веществ и не разрушаться от дентинной и слюнной жидкости.
- Обладать высокой стойкостью к истиранию и механическому воздействию. Пломба не должна откалываться или стираться при использовании абразивных паст.
- Выдерживать нагрузки, возникающие при жевании, которые могут достигать от 30 до 60 килограмм.
- Иметь эстетический вид, соответствующий фактуре и цвету.
- Хорошо прилегать к зубу и быстро адаптироваться к нему химически.
- Сохранять стабильную форму в течение заявленного срока эксплуатации.
- Быть биосовместимым, не вызывать разрушение зубных тканей и воспалительных процессов.
- Обладать низкой теплопроводностью, чтобы предотвратить переход горячей или холодной пищи на пульпу и нервы.
Современные технологии позволяют приблизиться к этим требованиям, однако идеальный материал до сих пор не разработан.
Потемнение пломбы зуба
Если пациент замечает, что пломба на переднем зубе потемнела, это повод обратиться к стоматологу. Существует несколько причин, которые могут вызвать такую реакцию:
- Развитие первичного или вторичного кариеса.
- Механическая травма.
- Употребление крепкого чая и кофе в больших количествах.
- Курение.
- Некроз пульпы.
- Неправильное лечение.
Наиболее часто замечается потемнение зуба после удаления нерва. В таком случае зуб становится более хрупким, так как пульпа не восстанавливается, и эмаль начинает темнеть. Определить причины потемнения может только стоматолог после осмотра и снимка. Для восстановления белизны улыбки используются такие методы, как виниры, внутриканальное отбеливание и реставрация.
Внутриканальное отбеливание требует вмешательства в структуру зуба, и результат будет виден только после комплексного обследования и лечения. Одним из наиболее эффективных методов является отбеливание композитными материалами, которые позволяют формировать пломбу по всей поверхности потемневшего зуба.
Процедура винирования представляет собой накладку на темный зуб керамической пластинки, которую сложно отличить по цвету от остальных зубов.
Современное пломбирование зубов позволяет сохранить их целостность и красивую улыбку. Благодаря современным препаратам удается остановить разрушительное действие кариеса, предотвратить проникновение микробов в организм и сохранить здоровье на долгие годы. Кроме того, лечение зубов на ранней стадии упрощает процедуру пломбирования и существенно снижает расходы на стоматологические услуги.






