Зуб мудрости, несмотря на свое благородное название, не имеет никакого отношения к уровню интеллекта. Восьмёрки, как правило, начинают появляться в возрасте 18-25 лет или даже позже. Именно поэтому они получили такое название — в это время человек уже обладает определенным жизненным опытом. Фотографии места, где находится зуб мудрости, не дают ответа на вопрос о происхождении его названия.
Как выглядит зуб мудрости на фото
Здоровый зуб мудрости имеет аналогичную структуру, как и другие моляры. Он состоит из корня, шейки и коронки, которая, подобно остальным зубам, содержит эмаль, дентин и пульпу, а также имеет стандартную фиссуру жевательного зуба. У зуба мудрости также есть корень, как и у других моляров, и их количество может варьироваться от двух до пяти.
Часто корни зуба мудрости сплетаются в один большой корень, что затрудняет его лечение, поскольку очистка и пломбирование корневых каналов становится сложной задачей.
Формирование третьего моляра можно разделить на три основных этапа, каждый из которых играет важную роль в обеспечении здорового роста зуба мудрости:
- Образование коронки. Формирование коронки завершается примерно к 12-13 годам.
- Прорезывание. В возрасте 18-21 года третий моляр начинает прорезываться.
- Формирование корней. Корни обычно приобретают окончательную форму к 25 годам.
Однако стоит помнить, что зубы мудрости у каждого человека индивидуальны, и они могут начать расти даже после 40 лет.
Важной особенностью третьих моляров является отсутствие молочных предшественников, которые обычно служат направляющей осью для будущих зубов.
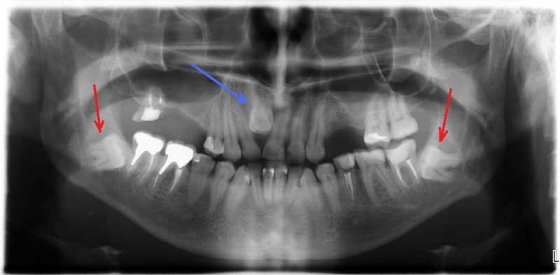
Проблемы зуба мудрости
Зуб-восьмёрка, из-за своей особенной структуры, может вызывать проблемы при прорезывании. Неправильное направление роста может повредить десну или щеку. Ещё одна проблема связана с труднодоступным расположением зуба мудрости, что способствует накоплению бактерий и налёта. Регулярная и тщательная гигиена полости рта необходима для предотвращения кариеса. Однако, даже при этом, зуб мудрости может стать источником заболеваний и воспалений. В таких случаях, его рекомендуется удалить, так как лечение этого зуба может быть сложным и не всегда эффективным. Неправильное направление роста также является показанием для удаления зуба мудрости, так как оно вызывает боли и воспаления слизистой. Однако, потеря третьего моляра не является причиной для огорчения, так как он обычно не участвует в пережёвывании пищи, а только создаёт препятствие на её пути в пищевод, собирая на себе кусочки пищи, которые могут вызвать кариес и другие заболевания. Также не является проблемой, если зубы мудрости вообще не прорезываются, так как для них может не быть достаточно места из-за небольшого размера челюсти.
Удаление зуба мудрости
Удаление зуба-восьмёрки является сложной процедурой, требующей участия хирурга-стоматолога. Современные стоматологические кабинеты оборудованы всем необходимым для этой операции. В зависимости от количества корней и их сплетения может потребоваться надрезание, раздробление или распиливание челюсти, а также наложение швов.
Восстановление мягких тканей десны обычно занимает 2-3 недели, но при этом происходит активное развитие новой костной ткани под восстановившейся десной. Через 2-3 месяца рана на месте удаленного зуба мудрости полностью зарастает.
После удаления моляра часто возникает отек десны. Повреждение тканей вызывает приток жидкости в данную область. В случае операции без осложнений, отек исчезает на третий день, но при разрезании десны он может сохраняться до недели.
Важно отметить, что при удалении нижнего зуба мудрости верхний моляр также может потребовать удаления в будущем. Если зубы не смыкаются, третий моляр сверху может начать выдавливать соседние зубы и вызывать повреждения.




