Имплантаты, выпускаемые компанией Nobel Biocare, являются премиум-продуктом. Благодаря своему долголетнему опыту в области дентальной имплантологии, этой компании удалось накопить огромный опыт. Продукция Nobel проходит строгий контроль качества, что делает ее очень популярной среди пациентов и ведущих стоматологов по всему миру.
Из каких материалов и с помощью каких технологий делают зубные импланты Нобель
Производство имплантов основано на использовании титана марки Grade 4, который обладает высокой прочностью и не содержит вредных примесей. Это позволяет достичь высоких показателей остеоинтеграции, а также предотвращает аллергические реакции и отторжение. Конструкция импланта покрывается керамическим материалом, который способствует проникновению белков и ускоренному разрастанию костных структур. С 2001 года компания Nobel Biocare начала использовать технологию напыления диоксида циркония на поверхность импланта, что обеспечивает легкое вживление и надежную фиксацию внутри кости. Особенностью компании стала поверхность TiUnite, которая обладает умеренно шероховатым утолщенным слоем диоксида титана с добавлением фосфора. Это позволяет быстро абсорбировать тромбин и способствует ускоренному росту тромбоцитов, что обеспечивает полную остеоинтеграцию. Компания также разработала технологию Nobel Procera TM, которая позволяет создавать индивидуальные виниры, абатменты и мостовидные протезы с помощью метода CAD/CAM. Производство имплантов сопровождается контролем качества и присвоением каждой конструкции серийного регистрационного номера, чтобы исключить возможность использования подделок. Кроме того, компания внедряет в производство 2G-сканеры, которые позволяют создавать импланты и коронки с точным повторением геометрических форм любой сложности на основе отсканированных оттисков.
Почему пациенты и врачи во всем мире доверяют имплантам Нобель
Компания Nobel Biocare является пионером в области дентальной имплантологии и имеет богатый опыт в производстве имплантов. Они разработали особую конструкцию титановых изделий, которая позволяет достичь практически 100% приживаемости. Имплант состоит из двух частей: высокопрочного титанового винта, вживляемого в кость, и абатмента — наружного элемента, на котором крепятся съемные коронки. Импланты Нобель выпускаются в форме конуса, чтобы упростить процесс вживления и сделать его менее травматичным. Двойные бороздки на резьбе и треугольная верхушка обеспечивают уплотнение кости и более надежную фиксацию. Основные преимущества включают надежную защиту от подделок, запатентованную технологию обработки покрытия TiUnite, возможность применения при полной или частичной адентии, восстановление зуба за одно посещение, широкий модельный ряд, пожизненную гарантию и использование программного обеспечения для планирования операции и прогнозирования результатов. Кроме того, они также могут использовать скуловую кость вместо костной пластики и обеспечивают быструю остеоинтеграцию.
Пожизненная гарантия производителя – это показатель самого высокого качества
Nobel Biocare actively explores new technological solutions, with particular attention to cases of rejection in order to eliminate any future errors. The company produces high-quality structures, which is why it confidently guarantees their lifetime durability.
In the event of peri-implantitis development, the company is ready to fulfill all replacement obligations, provided that such a clinical situation is not the result of the implantologist’s incompetence. This is why Nobel Biocare conducts mandatory training seminars on working with their products.
Certified specialists receive a diploma confirming their high qualifications. Another reason for implant rejection by Nobel could be the patient’s negligent attitude towards oral care.
Обзор каталога имплантационных систем компании Nobel Biocare
Широкий ассортимент имплантатов Нобель представлен на рынке стоматологических услуг. Это позволяет решить любую сложную клиническую ситуацию.
Линейка имплантатов Active (Актив)
Используемые в сложных случаях, эти уникальные конструкции могут заменить утраченные передние и жевательные зубы одновременно с имплантацией. Основные преимущества имплантов Нобель Актив включают:
- Возможность использования сменных платформ и обратноконусной шейки для достижения эстетического результата.
- Возможность регулировки положения титанового стержня во время вживления.
- Высокая стабильность конструкции благодаря внутреннему коническому соединению.
- Возможность установки имплантов Нобель Актив даже в ограниченном межзубном пространстве.
- Создание естественного контура коронки в области моляров.
- Улучшенный процесс остеоинтеграции благодаря поверхности TiUnite.
Nobel Replace, Replace-Select (Реплейс, Реплейс-Селект)
Имплантологическая система Nobel Replace является наиболее популярной. Она применяется как для одно-, так и для двухэтапных операций, независимо от объема кости. Основные особенности этой системы включают:
- Удобную анатомическую форму стержня, которая значительно упрощает процесс вживления и делает его максимально безопасным.
- Внутреннюю трехканальную форму, которая обеспечивает универсальность, легкость соединения и возможность постоянного контроля за ходом операции.
- Кодировку с помощью света, которая помогает точно идентифицировать различные компоненты системы.
- Большой выбор вариантов длины, диаметра и типов верхней части.
- Зауженную шейку, благодаря которой имплант лучше приживается.
- Покрытие TiUnit.
- Простые и универсальные протоколы имплантации.
Импланты Реплейс-Селект используются в особых случаях, так как позволяют достигать высоких эстетических показателей. Их характеристики включают:
- Узкую шейку (1-2 мм) с полированной поверхностью, что облегчает подбор глубины для достижения правильно сформированного десневого края.
- Возможность ускорения процесса лечения при использовании экспресс-методик.
- Трехканальное соединение для упрощения процесса установки.
Системы Conical Connection (Коникал Коннекшн)
Используются для лечения различных патологий, независимо от их сложности. Имеют уникальную конусообразную шестигранную систему крепления, которая обеспечивает высокую надежность. Важные особенности включают:
- Возможность смены платформ, что позволяет достичь высокого эстетического результата.
- Импланты обладают оригинальной корневидной формой, что обеспечивает высокую первичную стабилизацию в низкоплотной костной ткани.
- Доступны два варианта шейки импланта.
Имплантаты Nobel Parallel (Параллель)
Линейка Parallel предназначена для двухэтапной имплантации и обычно используется для восстановления утраченных зубов в области улыбки. Благодаря специальной шейке с уступом вокруг конструкции, во время процесса остеоинтеграции образуется достаточный объем мягких тканей, что способствует достижению высоких эстетических результатов. Линейка Parallel также известна своей прочностью и надежностью.
Branemark System (Бранмарк Систем)
Система, которая была наиболее подвергнута клиническим исследованиям в мире, обладает следующими преимуществами:
- Обладает исключительной универсальностью, так как диапазон длин имплантов составляет от 7 до 52,5 мм.
- Может быть использована в случае наличия кости средней или высокой плотности.
- Обеспечивает отличную первичную стабилизацию в мягкой костной ткани.
- Имеет оригинальное внешнее шестигранное соединение, которое позволяет проводить любой вид протезирования при тонком биотипе десны.
- Использует поверхность TiUnite для улучшения остеоинтеграции.
Импланты Speedy и Speedy Groovy (Спиди, Спиди Груви)
Система Speedy Groovy обладает высокой первичной стабилизацией в мягкой кости верхней челюсти благодаря своей углубленной резьбе. Она может быть использована в различных клинических ситуациях, включая установку моста при полной адентии.
Система Nobel-Zygoma (Нобель-Зигома)
Скуловые импланты для верхней челюсти имеют длину до 5,2 см и обеспечивают высокий уровень первичной и вторичной стабилизации. Они могут быть использованы при значительном дефиците кости, без необходимости проведения остеопластики. Эти импланты были специально разработаны для протокола операции All-on-4.
Есть ли риск, что могут установить подделку
Компания активно защищает свою продукцию от подделок, чтобы сохранить свою репутацию. Каждый имплант получает уникальный серийный номер, который заносится в паспорт пациента, чтобы обеспечить его идентификацию. Продукция упаковывается в индивидуальные стерильные упаковки. Для проверки подлинности продукции Nobel Biocare предоставляет специальный инструмент, который доступен врачам.
Сколько стоят дентальные изделия и их установка «под ключ»
Стоимость имплантов от компании Nobel Biocare составляет от 50 000 до 53 000 рублей. Цена на абатмент варьируется от 10 000 до 30 000 рублей. За услугу протезирования на имплантах Nobel необходимо заплатить от 20 000 до 50 000 рублей.
Стоимость процедуры синус-лифтинга колеблется от 6 500 до 60 000 рублей. Экспресс имплантация обойдется в 50 000 – 70 000 рублей, а установка имплантов под ключ (с учетом всех дополнительных работ и материалов) – от 75 000 до 120 000 рублей.
В клинике действует программа лояльности, где пациенты получают баллы на карту Sky port, которые впоследствии можно обменять на подарки и скидки на лечение.
Весь процесс подготовки полости рта и самой операции по этапам
Импланты Нобель представляют собой эффективное решение для различных клинических ситуаций. Они могут быть установлены с помощью одного из четырех основных методов:
-
Двухэтапный протокол — это классический способ установки импланта. Сначала происходит вживление конструкции, а затем накладывается заглушка. После полного заживления заглушка удаляется, и устанавливается абатмент, который связывает имплантат с протезом.
-
Протокол одномоментной операции — имплант устанавливается непосредственно после удаления зуба, при условии отсутствия воспалительного процесса.
-
Экспресс-имплантация — установка происходит в один этап, без необходимости делать разрез десны. Для этого используется система Nobel Guide, особенно полезная при восстановлении передних зубов. Преимуществом технологии Гайд является возможность установки временной коронки через 5-7 дней после имплантации.
-
Комбинированный метод — это одновременное использование нескольких технологий.
Процесс установки импланта включает следующие этапы:
-
Диагностика — определяются возможные факторы, которые могут негативно влиять на приживление импланта. При обнаружении угроз проводится тщательная оценка потенциальных преимуществ и рисков имплантологического лечения.
-
При необходимости выполняется наращивание кости.
-
Вживление импланта.
-
Закрепление абатмента.
-
Сначала устанавливается временная, а затем постоянная коронка.
Особенности процедуры «All-on-4»
В середине 90-х годов прошлого века была разработана революционная технология установки имплантов, известная как «все на четырех». Этот метод предусматривает множественное протезирование (до 12 коронок подряд) на основе всего лишь четырех имплантов. Боковые конструкции фиксируются под углом, в то время как передние импланты вставляются строго вертикально во фронтальной зоне.
Этот метод является эффективным при полной или частичной адентии и может использоваться только при наличии достаточного объема кости или при незначительных атрофических явлениях. Он также может быть применен для операции с немедленной нагрузкой.
Преимущества этой технологии включают возможность восстановления полной функциональности зубо-челюстного аппарата, отсутствие необходимости в остеопластике при недостатке кости, сокращенный период лечения, более низкую стоимость по сравнению с традиционными методами имплантации при различных степенях адентии, высокие показатели приживаемости и обширные клинические исследования.
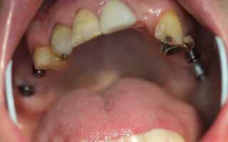
Фото зубов до и после установки имплантатов Nobel
Перед вами фрагмент статьи, который нужно перефразировать, чтобы обеспечить его уникальность для поисковых систем, сохраняя при этом смысл и основную идею. Важно, чтобы содержание оставалось интересным и понятным для читателей. Необходимо избегать пояснений или фраз вроде «Перефразированный текст:». Вот итоговый текст:
Изображение до процедуры показывает состояние перед снятием цифрового оттиска, а изображение после фиксации демонстрирует результат.
Что говорят о Нобель пациенты
Лет 7 назад я извлек два полностью разрушенных верхних моляра. Все последующие годы мне было неудобно жевать. В клинике Давтяна мне посоветовали установить импланты от швейцарской компании Нобель. Мне был предоставлен список анализов, которые нужно было пройти. Также была проведена компьютерная диагностика для проверки состояния кости. Мне назначили профессиональную чистку рта. Я немного повезло, потому что в клинике была акция со скидкой на эту услугу. В назначенный день мне провели имплантацию, и я очень доволен результатами. Поэтому я рекомендую всем, кто думает о том, какие импланты использовать и где их установить, обратиться в клинику Давтяна.
Когда мне исполнилось 60 лет, у меня осталось всего несколько зубов на верхней челюсти, и они были в ужасном состоянии. Врач посоветовал провести операцию «все на четырех» с имплантами Нобель. Цена на них меня очень расстроила, поэтому я сначала искала аналоги. Затем я узнала обо всех преимуществах этого производителя и такой операции и решилась на имплантацию. Оказалось, что всего нужно установить 4 импланта, на которые будут закреплены несъемные протезы. Спустя 2 года я не жалею о потраченных деньгах, потому что результат того стоит!
Уже много лет я страдал от съемного протеза. В клинике я согласился на одномоментную имплантацию. Несмотря на высокую стоимость, я предпочел импланты Нобель, которые производятся в Швейцарии совместно с США. Через несколько дней все мои зубы были на месте. Я даже некоторое время чувствовал себя непривычно. Давно я не испытывал такого комфорта во рту!
Сравнение характеристик с другими популярными на мировом рынке системами
На рынке уже долгое время присутствуют производители имплантов, которые предлагают разнообразные функции, размеры и инновационные технологии. Каждая премиальная марка имеет свои уникальные особенности.
Astra Tech
Система имеет следующие уникальные особенности:
- создание неровностей на поверхности;
- использование системы соединения с абатментом Conical Seal Design для надежной фиксации протеза на импланте;
- применение технологии Microthread для равномерного распределения нагрузки;
- использование системы Connective Contour для увеличения контактной зоны с мягкими тканями.
Более подробную информацию о данной системе можно найти здесь.
Альфа Био
Имплантационные системы этого бренда обладают следующими особенностями:
- Их поверхность имеет пористую структуру, что способствует лучшей остеоинтеграции.
- Форма имплантатов приближена к естественной, что позволяет проводить установку менее травматично.
- Широкий выбор моделей позволяет проводить имплантацию независимо от объема кости.
- Для качественного проведения операции предусмотрены специальные наборы хирургического инструментария.
Mis
Основные характеристики:
- Обработка поверхности импланта осуществляется с использованием методов кислотного травления и пескоструя, что обеспечивает высокую начальную стабильность.
- Отсутствие дополнительного химического покрытия на поверхности изделий снижает риск развития аллергических реакций.
- Неравномерное нанесение резьбы улучшает фиксацию и позволяет выбрать наиболее подходящую конструкцию.
- Каждый имплант имеет информацию о производителе и уникальный серийный номер.
Straumann
Характеристики данного продукта включают:
- Удобная конусовидная форма для легкой установки;
- Поверхность SLA, которая имеет шероховатости и углубления, способствующие быстрой интеграции конструкции с костной тканью;
- Возможность применения жевательной нагрузки уже через 4 недели после имплантации;
- Возможность установки даже при наличии диабета, гепатита или курения;
- Специальные контейнеры для хранения и транспортировки, обеспечивающие сохранение стерильности.
Friadent Xive
Преимущества данного метода включают:
- возможность снизить травматичность процедуры установки;
- применимость в любом состоянии костной ткани;
- высокая стабильность первоначальной конструкции;
- точное прогнозирование результатов имплантации;
- широкий выбор моделей;
- надежная защита от подделок;
- возможность установки пациентам всех возрастов.






