Камни в общем желчном протоке — распространенная проблема внутренних органов, которая встречается у каждой пятой женщины и каждого десятого мужчины старше 40 лет. Камнеобразование в желчном протоке чаще всего происходит у людей старше 40 лет.
Что это такое и причины возникновения
Желчные камни представляют собой структуры из кристаллов, которые образуются из элементов желчи из-за нарушения обмена холестерина и/или билирубина в печени. Существуют три основных типа желчных камней: пигментные, холестериновые и смешанные. Приблизительно 80% случаев приходится на холестериновые и смешанные камни, а около 20% — на пигментные.
Как часто проявляются камни?
Заболевания желчного пузыря и желчевыводящих путей, такие как желчнокаменная болезнь, хронический холецистит и холангит, распространены среди 10-20% населения развитых стран. Женщины страдают от этих заболеваний в два-три раза чаще, чем мужчины. С возрастом вероятность развития этих патологий увеличивается. Например, у детей эти заболевания встречаются менее чем у 5% случаев, а у людей в возрасте 60-70 лет частота образования камней достигает 30-40%.
У людей, страдающих ожирением, седентарным образом жизни, с наследственной предрасположенностью или с аномалиями в анатомии желчного пузыря, риск образования желчных камней выше. Также факторами риска могут быть алкогольная болезнь печени, хронические инфекции желчных путей, гельминтозы, сахарный диабет и беременность. Высококалорийная диета с высоким содержанием холестерина и прием некоторых лекарств, таких как оральные контрацептивы и клофибрат, также могут способствовать образованию камней.
Вернуться к оглавлению
Какие симптомы наблюдаются при этом заболевании?
Проявления желчнокаменной болезни зависят от количества, размера и расположения камней в желчном пузыре. Одним из основных симптомов является приступ желчной (печеночной) колики, который характеризуется острой болью в правой верхней части живота и может распространяться в правую руку и ключицу. Часто такой болевой приступ сопровождается тошнотой и рвотой, которые не приносят облегчения. При пальпации области печени, особенно в месте расположения желчного пузыря, боль очень сильная. Если желчные протоки перекрыты камнем, то возникает патологическое состояние — желтуха. Желтуха проявляется пожелтением кожи и склер, зудом кожи, изменением цвета кала и потемнением мочи.
Что делать в домашних условиях при появлении симптомов?
В домашних условиях больному следует соблюдать постельный режим, покой и правильное питание. Чтобы снизить боль во время приступа печеночной колики, рекомендуется применять тепло на область печени и желчного пузыря. Принятие теплой ванны в течение двадцати минут может оказать положительное воздействие, после чего рекомендуется лечь в постель. Если эти меры не принесли облегчения, необходимо обратиться за помощью к врачу.
Как проводится диагностика данного недуга?
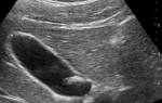
Диагноз желчнокаменной болезни устанавливается на основе различных методов исследования, включая клинические, физикальные, лабораторные и инструментальные данные. Один из основных инструментальных методов — ультразвуковое исследование (УЗИ) органов брюшной полости. УЗИ позволяет обнаружить конкременты в желчных путях в большинстве случаев, но может не выявить обтекаемые камни. Обзорная рентгенография живота может обнаружить камни, содержащие кальций, но не может выявить холестериновые камни. Эндоскопическая ретроградная холангиопанкреатография (ЭРХПГ) используется для визуализации камней, закрывающих общий желчевыносящий и панкреатический протоки. Внутривенная холангиография также может быть проведена, но ее информативность ограничена и она используется только в сомнительных случаях.
Методы лечения
Незапущенные стадии камней общего желчного протока могут быть лечены с помощью медикаментов. Существуют различные методы лечения, включая консервативные и оперативные. Консервативные методы включают изменение образа жизни, такие как занятия физкультурой и правильное питание, а также ударноволновая литотрипсия (УВЛ), которая заключается в раскалывании крупных камней на мелкие фрагменты для их последующего растворения с помощью лекарств. Медикаментозный литолиз желчных камней проводится с использованием препаратов урсодезоксихолевой кислоты. Еще одним методом нехирургической чистки организма от камней является химический метод, при котором специальное вещество вводится в желчные протоки для растворения камней контактным путем. Основным методом лечения желчнокаменной болезни является хирургический, который может быть выполнен с помощью лапароскопической или открытой холедохотомии. Существуют различные методы чистки протока от камней, включая расширение пузырного протока с удалением камня, лапароскопическую ревизию и чистку общего желчного протока. Однако этот метод не рекомендуется для протоков небольшого размера, так как это может привести к последующему сужению протока.
Возможно ли полное излечение?
Полное восстановление возможно только при полной очистке желчевыводящих путей от камней с использованием одного из вышеупомянутых методов. Если камень обнаружен в желчном пузыре, рекомендуется его удаление, чтобы избежать перемещения конкремента в общий желчный проток и возникновения рецидива заболевания. Однако само следование диете с низким содержанием холестерина и изменение образа жизни не обеспечивают полной очистки от кристаллических образований, так как у некоторых пациентов рецидивы симптомов связаны с предрасположенностью к образованию камней в протоке.
Как можно самостоятельно помочь после проведенного лечения и продолжить очищение организма? Воспользуйтесь следующими рекомендациями, чтобы ускорить процесс выздоровления.
После лапароскопии
Сразу после операции пациентам назначается строгая однодневная диета. Постепенно, через несколько дней или неделю, они могут начать возвращаться к своему обычному образу жизни.
Вернуться к содержанию
В больнице
В первые несколько дней после операции вы можете ощущать небольшие дискомфортные ощущения в области, где проводилась операция. Врач назначит вам препараты от боли, чтобы вы чувствовали себя комфортно и могли нормально питаться. Уже на следующий день после операции вы сможете вставать и ходить. Вернуться к содержанию.
Дома
В домашних условиях рекомендуется придерживаться диеты с низким содержанием жиров, а также избегать употребления алкоголя и курения. Физические нагрузки и поднятие тяжестей следует избегать, однако рекомендуется ходить каждый день. Восстановление трудоспособности после таких операций занимает примерно 2-4 недели.
Что нужно делать для профилактики этого заболевания и дальнейшего очищения организма от избыточных желчных образований?
В домашних условиях можно предпринять профилактические меры, включающие ограничение потребления жирной пищи и алкоголя, а также увеличение употребления растительных продуктов, богатых клетчаткой, для очищения организма от шлаков. Рекомендуется также поддерживать оптимальный режим работы и отдыха, а также заниматься спортом, чтобы уменьшить застой желчи и гиперхолестеринемию, которые являются основными факторами развития кристаллических образований.



