Как действовать
Если вдруг возникли проблемы с ухом и начались головокружения, то сохранение контроля над своим телом становится значительно затруднительным. В такой ситуации человек может легко потерять устойчивость и упасть. Чтобы избежать подобного, следует придерживаться следующих рекомендаций:
- Если симптомы проявились на улице, где никого нет рядом, кто мог бы помочь, можно опираться на ближайшую стену, дерево или перила. Дома можно присесть на кровать или стул.
- Не следует закрывать глаза, так как это может только ухудшить состояние.
- Рекомендуется успокоиться и дождаться полного восстановления дыхания.
- Дышать нужно только через нос, сохраняя голову прямо.
- Для улучшения доступа кислорода к легким, рекомендуется снять или расстегнуть тесную одежду.
- Если причиной стала духота и длительная работа за компьютером, для улучшения состояния желательно открыть форточку или окно для проветривания помещения или подойти к открытому окну и подышать свежим воздухом.
Только таким образом, возможно, будет возможность унять головокружение и избавиться от заложенности в ушах всего за несколько минут. Также рекомендуется выпить 2–3 небольших глотка минеральной или кипяченой воды. Это особенно важно, чтобы предотвратить обезвоживание организма, особенно если симптомы возникли на улице во время сильного солнечного излучения.
Тем не менее, если кроме головокружения и заложенности ушей, возникают головные боли или другие необычные симптомы, которые нельзя устранить, следуя только вышеперечисленным рекомендациям, то в этом случае стоит задуматься, возможно, здесь серьезная причина, когда необходимо обратиться к врачу.
Способы лечения
Методика лечения патологии и профилактические мероприятия
Не существует универсального средства от головокружения. Лечение зависит от причины этого симптома. Иногда достаточно применения консервативных методов, таких как принятие лекарств. В более серьезных случаях может понадобиться хирургическое вмешательство.
Каждый случай уникален и во многом зависит от скорости обращения человека к специалисту. Лечение обычно занимает много времени и требует значительных усилий. Врач устанавливает комплекс мер, который необходимо строго соблюдать, изменить режим дня, регулярно выполнять простые упражнения и избегать стрессовых ситуаций.
Если у вас часто возникают приступы головокружения и появляется заложенность ушей, важно исключить употребление алкоголя и прекратить курение, так как это негативно сказывается на состоянии сосудов головного мозга. Очень важным фактором является образ жизни и режим дня. Рекомендуется умеренная физическая активность, регулярный отдых и здоровый сон. Необходимо контролировать свой вес, ограничить употребление соли, сахара и жирной пищи. Длительное пребывание за компьютером в помещении с недостаточной вентиляцией также часто вызывает головокружение. Стрессы также негативно влияют на состояние сосудов. Постарайтесь избегать эмоциональных перегрузок, при необходимости можно прибегнуть к умеренному приему седативных препаратов для снижения нервозности.
Уделите больше времени на улице, занимайтесь активными видами отдыха, например, катанием на велосипеде.
Если у вас возникают проблемы с заложенными ушами, можно попробовать «продуть» их. Для этого нужно прижать ноздри и рот двумя руками, набрать воздух в легкие и сильно выдохнуть, удерживая воздух внутри. Также помогает надувание воздушных шариков, зевание или высморкивание. Однако, если эти методы помогли лишь временно, не следует полагаться на них как на окончательное решение проблемы. Важно незамедлительно обратиться к врачу, чтобы избежать возможных осложнений.
Действия при головокружении и заложенности в ушах
Многие люди сталкиваются в повседневной жизни с ситуацией, когда внезапно начинает кружиться голова, слышится шум в ушах и теряется уверенность в движениях. Что делать, если никого рядом нет, кого можно попросить о помощи? Если вы почувствовали, что ваше состояние ухудшается, и у вас появляется головокружение и слабость, то первым делом найдите надежную опору. Это поможет вам сохранить равновесие и остаться на ногах. Дома подойдет стол, стул или кровать, а на улице вы можете облокотиться на ближайшую скамейку, дерево, столб или стену дома. Однако не принимайте сидячее положение и не закрывайте глаза. Это только усугубит ваше состояние. Постарайтесь сохранить спокойствие и вернуть дыхание к нормальному. Дышите через нос, старайтесь при этом держать голову прямо.
Если вы считаете, что при ощущении головокружения невозможно контролировать себя, то вы сильно заблуждаетесь
Обратите внимание на тесно завязанные пояса или обтягивающую одежду. Они явно мешают нормальному поступлению кислорода в легкие.
Постарайтесь снизить давление, особенно когда приближается приступ головокружения. Если рядом с вами человек начинает плохо себя чувствовать, обеспечьте ему постоянный доступ к свежему воздуху. Если вы заняты какой-то работой, сделайте перерыв и дайте организму отдохнуть. Вы сами заметите, что через несколько секунд ваше состояние улучшится, шум в ушах прекратится, а предметы перестанут размываться перед глазами. Также врачи советуют выпить небольшое количество воды при тошноте или потере координации. Ведь головокружение часто приводит к обезвоживанию организма.
Часто на уроках или встречах люди начинают терять концентрацию из-за острой нехватки свежего воздуха или постоянного нервного напряжения.
Для того чтобы избежать потери сознания, необходимо время от времени переключать внимание на другие объекты и регулярно проветривать помещение.
Однако, если подобные приступы беспрестанно беспокоят вас, и ни один из упомянутых выше методов не снижает симптомы усталости, и у вас возникают боли, то это сигнал. Сигнал о необходимости обратиться к врачу и выяснить истинную причину недомогания. Желаю вам крепкого здоровья!
Лечение и профилактика
При повышенном давлении врачи советуют:
- Следовать рациональному питанию, исключив из рациона соленые и жирные продукты.
- Избегать негативных эмоций и стрессовых ситуаций.
- Отказаться от вредных привычек.
- Заниматься умеренными физическими упражнениями.
При переходе кружения головы и заложенности ушей в хроническую форму, применяется нефармакологическое лечение, которое включает в себя лечебную гимнастику, массаж и прием витаминов. Пациенту необходимо регулярно контролировать артериальное давление и отслеживать свои показатели.
При заболеваниях спины обычно рекомендуется комплексная терапия, которая включает прием препаратов для восстановления хрящевой ткани, обезболивающих средств, средств от спазмов, использование специального корсета и занятия лечебной физкультурой.
При вегето-сосудистой дистонии рекомендуется:
- Упражнения для восстановления здоровья.
- Здоровое и сбалансированное питание.
- Плавание в бассейне.
Если у человека постоянно кружится голова, закладывает уши, темнеет в глазах, необходимо выявить причину этого состояния. Самостоятельное постановление диагноза и назначение препаратов крайне нежелательно. Это может ухудшить ситуацию и исказить клиническую картину, что затруднит последующее медицинское лечение.
Если постоянно ощущается шум и боль в ушах и голове, необходимо обратиться к специалисту. Врач проведет тщательное обследование и при необходимости предложит соответствующее лечение. Для избавления от неприятных ощущений важно следовать всем рекомендациям врача.
Возможно, потребуется более детальное описание беспокойств, не скрывайте ничего, даже малейшие подробности помогут точно установить диагноз.
Существенно учитывать частоту появления звона в ушах и интенсивность болевых ощущений.
После проведения осмотра врач установит диагноз. Возможно, что причиной стало переутомление, и необходимо отдохнуть, выспаться, чтобы заложенность в ушах исчезла самостоятельно. Или же может потребоваться сдать дополнительные анализы для более точного определения диагноза.
Для предотвращения появления болевых ощущений рекомендуется проводить следующие действия:
- регулярно прогуливаться на улице, это поможет уменьшить частые головные боли;
- выполнять утреннюю зарядку;
- правильно питаться;
- избегать попадания воды в ухо;
- уметь расслабляться и отвлекаться от проблем.
Многие аспекты нашей жизни зависят от нашего эмоционального состояния. Однако, если появляется ощущение, что боль в ухе возвращается, то рекомендуется пройти повторное обследование.
Ощущение боли представляет собой значимый сигнал, который необходимо уделить серьезное внимание. Таким образом, организм сигнализирует о возможном нарушении своего функционирования.
Изучите способы распознавания сигналов, которые посылает ваш организм, и решение проблемы станет гораздо более доступным.
Неприятные ощущения в области головы занимают второе место после зубной боли. Если головная боль сопровождается заложенностью ушей, это может свидетельствовать о серьезных проблемах. Важно найти причину незамедлительно и, при необходимости, обратиться к врачу.
Давит на уши
Несмотря на то, что практически все пациенты описывают симптомы как «давление в ушах», проявления патологии могут различаться. У некоторых появляется ощущение, будто слуховой проход забит ватой, у других возникает ощущение заложенности в одном ухе, в то время как другое ухо остается незатронутым. Иногда появляется ощущение, что одно ухо заложено сильнее, чем другое.
Чаще всего пациенты жалуются на следующие симптомы: давление в ушах, распространение боли на голову, ощущение давления в ушах и головной боли. Иногда возникает ощущение, что голова увеличивается в размерах и испытывает давление изнутри, будто на барабанные перепонки что-то давит. Люди, находящиеся в таком состоянии, страдают от боли, тошноты, постоянного шума в ушах и других необычных звуков (тиканье, жужжание, звон). Иногда у пациентов возникают ощущения фантомных звуков, таких как свисток чайника или звонок телефона.
Неприятное состояние и болезненные ощущения приводят к раздражительности пациента и вызывают беспокойство, а также проблемы со сном. Головная боль может быть слабой и сосредоточенной в области висков или затылка, а может быть настолько сильной, что даже простые движения вызывают страдания. Кроме того, могут возникать дополнительные симптомы: невозможность переносить громкие звуки, неприятие яркого света и искажение слышимого.
Доктор не может немедленно определить причину давления в ушах, так как это состояние может быть вызвано различными патологиями. Это могут быть заболевания уха самого по себе, а также другие нарушения в организме, или их комбинация. Часто подобные симптомы проявляются при гипертонии.
Мигрень и болезненные ощущения в теле
Факторы, вызывающие частое обострение заболевания с выраженными нарушениями в виде головокружения, у каждого пациента индивидуальны. Этим факторам в основном лежит в основу заболевания:
- неравновесие гормонов;
- чрезмерная усталость.
Пациент испытывает неудобство при повороте головы во время приступов, сопровождается ограничением объема движений в области шеи, возникает косоглазие, и боль может быть умеренной или интенсивной.
Мигренозное головокружение проявляется во время приступа болезни у женщин и мужчин любого возраста. Во время обострения болезни симптомы соответствуют характерным проявлениям мигрени. В начале приступа пациент может жаловаться на шум в ушах, мерцающие пятна перед глазами, покалывание в кончиках пальцев и чувство тошноты при повороте головы.
Головокружение при мигрени сопровождается чувствительностью к свету, звукам и появлением особых видений. Этот вид головокружения может длиться несколько часов, сопровождаясь тошнотой, рвотой и нарушением равновесия в позе Ромберга.
Попутные предпосылки некомфортных состояний
При заболевании не всегда возникают кружение головы и шум в ушах.
Эти признаки могут возникнуть в случаях:
- ожидании ребенка;
- напряжении или сильных эмоциональных переживаниях с сужением кровеносных сосудов;
- недостаточном количестве сна;
- проявлении побочного действия при применении определенных лекарственных препаратов;
- рационе питания, с отказом от углеводов и сокращением потребления белковых продуктов.
Неприятные ощущения во время беременности могут указывать на наличие токсинов в организме и проблемы с кровеносными сосудами. В таких ситуациях важно обсудить свое состояние с врачом. Чтобы избежать резких изменений давления, будущим мамам могут помочь специальные средства. Важно быть осторожными, чтобы не нанести вред своему здоровью и здоровью будущего малыша.
Негативные стрессы, вызывающие головокружения, обычно не оказывают длительного воздействия. Однако воспоминания, вызывающие неприятные симптомы, могут потребовать консультации у невролога или психотерапевта. Иногда может понадобиться применение седативных препаратов или даже транквилизаторов.
При постоянном недосыпании важно вернуться к обычному режиму дня. Не следует постоянно доводить себя до чувства переутомления. Появление дискомфорта, которое происходит время от времени и затем становится более частым, свидетельствует о наличии проблем в организме. Чтобы улучшить свое состояние, приходится делать жертвы как в отношении времени, так и в отношении финансов.
Темнота перед глазами, ощущение головокружения и заложенность в ушах свидетельствуют о начальной стадии гипогликемии, то есть резком снижении уровня углеводов в крови. Ни один организм не заслуживает подобных мук. Если не прекратить мучить себя, могут произойти серьезные изменения.
Причины состояния
Во время консультации у врача пациент рассказывает, когда у него возникает заложенность ушей и головокружение, что помогает определить причины такого состояния. Врач обязательно уточняет, испытывает ли пациент тошноту во время головокружения и нет ли других необычных ощущений.
Симптомы, такие как вращение головы и заложенность ушей, возникают при резком изменении положения тела, перегреве, после нервного напряжения, длительном пребывании за компьютером и выполнении домашних дел.
Основные причины заложенности ушей и головокружения
Врачи советуют пройти осмотр, даже если при нормальном давлении возникают головокружение, заложенность ушей или ощущение звона в голове. Это поможет своевременно выявить возможные отклонения и начать лечение.
Отмечают несколько основных причин такого состояния
Вегетососудистая дистония
Пациенты, страдающие этим заболеванием, часто испытывают периодические мигрени, резкие изменения артериального давления. Неприятные ощущения сосредотачиваются в области затылка, а также ощущаются в ушах и височной зоне.
Пациент испытывает увеличенную тревожность, проблемы с засыпанием, появление шума в ушах и ухудшение зрения.
Мигренозные проявления

Мигрень легко отличить от других заболеваний, потому что головная боль при ней длительная и сопровождается тошнотой и рвотой.
Больные сообщают о полной потере аппетита, бессоннице, головокружении и нарушении четкости зрения. Эти симптомы могут длиться от нескольких часов до нескольких дней. До сих пор не существует эффективного метода лечения мигрени, поскольку природа этого заболевания пока не до конца изучена.
Ринит
Простуда иногда может вызвать головокружение и давление в ушах. Врачи обычно рекомендуют препараты, которые уменьшают отечность слизистой оболочки носа, а также советуют использовать капли для сужения сосудов.
Необходимо уделить должное внимание ушам. Рекомендуется время от времени использовать борный спирт для закапывания, что значительно облегчит неприятные ощущения и поможет предотвратить развитие таких заболеваний уха, как отит.
При неправильном сморкании может возникнуть воспаление среднего уха, когда частицы слизи из носа попадают в слуховой проход.
Повышенное давление
При повышенном артериальном давлении происходит сужение артерий, что сопровождается заложенностью ушей, головной болью и общей слабостью организма. Эти симптомы могут возникнуть при изменении положения тела.
У людей в возрасте старше 40 лет головокружение проявляется чаще, чем у более молодых. Это указывает на развитие гипертонии, что может привести к возникновению инфарктов и инсультов.
Пониженное давление
Гипотония – это заболевание, которое непосредственно связано с ощущением головокружения. Недостаток кислорода для клеток головного мозга приводит к сильной усталости и желанию принять горизонтальное положение.
Больные выражают недовольство из-за приступов раздражительности, постоянной усталости и других симптомов. Преодоление такого состояния представляет собой значительную трудность, поэтому пациенты находятся под наблюдением врача и проходят комплексное лечение.
Болезни позвоночника, вызывающие сосудистые патологии
Часто нарушение работы кровообращения связано с хроническими заболеваниями позвоночника. Травмы шейного отдела позвоночника могут привести к сдавливанию сосудов и нарушению поступления крови в мозг, что может проявиться головокружением и головной болью.
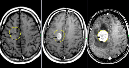
Злокачественные новообразования в головном мозге
Если вы столкнулись с плохим самочувствием, заложенностью уха или головокружением, то стоит помнить, что причиной этого может быть опухоль мозга. Одной из опасностей такого состояния является то, что пациенты обычно обращаются за медицинской помощью уже при явных симптомах заболевания, что указывает на его продвинутую стадию и усложняет процесс лечения.
Побочное действие лекарств
Часто головокружение происходит из-за несоблюдения инструкций по применению лекарств или излишней дозировки. Это часто происходит, когда люди лечатся самостоятельно. Наилучшим решением этой проблемы является лечение под наблюдением медицинского персонала.
Беременность

Во время беременности женщина должна заботиться не только о своем здоровье, но и о здоровье малыша. Если у будущей мамы возникла заложенность уха и головокружение, это может быть признаком сосудистых нарушений, поэтому важно пройти соответствующее обследование.
Это условие неблагоприятно для ребенка. Самостоятельное лечение не допускается, поскольку многие лекарства запрещены во время беременности.
Изучая жалобы пациента, медицинский специалист быстро определит причину боли в ухе и головокружения. Он также даст рекомендации по поведению в данном состоянии, чтобы избежать травм или негативных последствий.
Причины
Часто головокружение (вертиго) сопровождается признаками, указывающими на нарушения во внутреннем ухе, проблемы с кровеносными сосудами и различные воспалительные процессы.
Если у вас есть заложенность в ушах, это может указывать на возможные проблемы с работой вестибулярного аппарата, что может вызывать тошноту и рвоту. Однако в этом случае головокружение обычно не является следствием патологии, а скорее возникает из-за избыточной нагрузки на орган равновесия.
Когда речь идет о патологических причинах такого состояния, следует упомянуть:
- Хронические заболевания позвоночника. В эту категорию входят сколиоз, остеохондроз и другие повреждения позвоночного столба, которые приводят к нарушению кровообращения и последующему головокружению с сопутствующей заложенностью ушей. Сдавление сосудов может возникнуть при любом повороте головы, а также под воздействием резкого изменения температуры и значительных физических нагрузок. В некоторых случаях больной начинает ощущать тошноту, возможно появление усиленного потоотделения и шума в ушах.
- Применение неподходящих лекарственных препаратов. Голова может закружиться, если человек принимает йодсодержащие препараты, анальгетики или антибиотики. При этом возникают симптомы анафилактического шока: низкое артериальное давление, повышенная возбудимость, нарушения дыхательного ритма. Чаще всего это связано с самостоятельным подбором лекарственных препаратов или несоблюдением установленных лечащим врачом дозировок.
- Гипертония. Заболевание чаще встречается у лиц старше 40 лет. Характерные признаки патологии – наличие «мушек» в глазах, ощущения слабости и головные боли. Острые состояния могут возникнуть, если утром резко подняться с кровати, но чаще повышение артериального давления происходит без видимой причины.
- Заболевания уха, горла и носа. При гайморите одним из наиболее ярких симптомов является воспаление внутреннего или среднего уха, которое сопровождается заложенностью ушей и головокружениями. Для лечения этого заболевания врач может назначить прогревание, прием лекарственных препаратов или продувание. Из всех заболеваний уха, горла и носа, вызывающих заложенность уха, легче всего справиться с закупоркой ушного прохода, которая может быть устранена специалистом при первом же визите пациента.
- Сильный насморк. Данный симптом часто наблюдается при простуде или гриппе, а заложенность ушей обычно возникает после высмаркивания. В случае повышения температуры одним из сопутствующих признаков этого состояния становится головокружение. В такой ситуации уместно только симптоматическое лечение, направленное на устранение отека, воспаления и способствующее расширению сосудов. Кроме того, нужно быть осторожным при сморкании, выполняя его таким образом, чтобы ухо не заложило.
- Мигрень. Заболевание проявляется у людей любого возраста. Дискомфортные ощущения возникают при резких поворотах тела и головы. Больной чувствует покалывание в пальцах, потемнение и появление расплывчатых пятен в глазах. Повышается чувствительность к резким световым и звуковым раздражителям. Характерным является наличие ярко выраженного болевого синдрома, охватывающего лишь часть головы. Лечению мигрени почти не поддается.
- Раковая опухоль головного мозга. Выявляется достаточно редко и также сопровождается головокружениями, головными болями и заложенностью ушей (создается впечатление, что воздух давит на барабанную перепонку). Зачастую патология выявляется слишком поздно для того, чтобы лечение могло оказать необходимое действие. Больные с диагнозом «рак головного мозга» часто падают в обморок, а из-за повышенного внутричерепного давления они постоянно ощущают тошноту, слабость и сонливость.
- Вегето-сосудистая дистония. При этом заболевании у больного отмечается беспокойство, бессонница или трудности с засыпанием, нервность и раздражительность. Возникают панические страхи относительно дальнейшего развития болезни, а также тяжесть, ломящая боль и распирание в области черепа. Могут отмечаться нарушение зрительной и слуховой функции (мерцание в глазах, ощущение шумов и свистящих звуков).
В конечном итоге, заложенность ушей и головокружение могут быть вызваны постоянной усталостью, неправильным рационом и изменениями уровня гормонов (во время беременности, менструации и в период подросткового возраста).
Методы терапии
Появление признаков при непатологических состояниях органов и систем может быть устранено нормализацией функций организма. Необязательно сразу прибегать к приему лекарств или вызову скорой помощи, если причины не связаны с серьезным заболеванием. Здоровое питание, употребление витаминов, регулярные занятия спортом, здоровый сон – часто оказывают более благоприятное воздействие, чем любое лекарство.
Для лечения инфекционных заболеваний применяются антибиотики, антивирусные препараты и средства для дезинфекции, а также проводится поддерживающая терапия. Кроме того, вводятся витаминные, кардиологические и другие медикаменты в зависимости от осложнений и сопутствующих симптомов.
Лечение сердечно-сосудистых заболеваний осуществляется в стационаре по назначению врача. Неврологические расстройства требуют тщательного обследования головного мозга и всей нервной системы, после чего лечатся специально подобранными препаратами. Отравление веществами требует немедленной помощи в токсикологии, реанимации или терапевтическом отделении, где проводится введение антидота и соответствующая терапия в зависимости от типа и степени отравления.
Иногда эти два признака возникают отдельно друг от друга. При диагностике может быть выявлена серная пробка, которая периодически приводит к заложенности ушей, или заболевание, вызывающее головокружение. В этом случае лечение проводится для двух различных патологий.
ЛОР-специалист проводит очистку ушного прохода путем промывания. Другие заболевания требуют консультации соответствующего специалиста. Для эффективного проведения лекарственной терапии необходимо своевременно обратиться за медицинской помощью при первых проявлениях симптомов заболевания.
При проявлении токсикоза и изменениях в давлении у беременных женщин, специалисты применяют специальные лекарства, направленные на восстановление нормального состояния здоровья, минимизируя возможный вред для развивающегося плода. Для лечения неврологических расстройств, сопровождающихся головокружением и заложенностью ушей, используются седативные препараты и транквилизаторы. Отказ от вредных привычек способствует нормализации функций организма и устранению подобных симптомов.
Видео: Головокружение причины и симптомы
Причины возникновения
Причин этого недомогания может быть несколько. Например, указанные симптомы могут быть результатом простого переутомления. Человек ведет активный образ жизни, часто не отдыхает, много трудится, неправильно питается. Это может привести к возникновению головокружений и проблем с ушами. Также такая реакция может быть вызвана обыденными стрессами. Для лечения необходимо отдохнуть, правильно питаться, выспаться, в крайнем случае, можно выпить успокаивающий чай или другие средства для устранения стресса.
Если организм подвергается длительному стрессу, человек может испытывать головокружение и заложенность ушей еще долгое время. Голова может начать кружиться при воспоминании неприятных событий. В таких ситуациях врач-невропатолог или психотерапевт могут рекомендовать специальные седативные препараты, а в более серьезных случаях – транквилизаторы.
В мозге человека находится важная часть — вестибулярный аппарат, который отвечает за равновесие и координацию движений. Однако этот аппарат легко может быть нарушен, например, если вы не позавтракали вовремя и ваш организм не получил необходимое количество глюкозы, то у вас может начать кружиться голова. Это известно как «голодные» обмороки и они встречаются довольно часто. По статистике, 40% людей, обращающихся к врачам, жалуются на головокружение, которое сопровождается шумом в ушах или чувством закладывания.
Если у вас возникли эти признаки, это может указывать на нарушение работы вестибулярного аппарата. Чаще всего проявляется заложенность ушей и головокружение при изменении артериального давления. Эти симптомы чаще возникают у людей с низким давлением, например, при резком вставании или наклоне для завязывания шнурков. К ним могут добавиться тошнота, затемнение в глазах и звон в ушах из-за отсутствия звуков.
Если у вас возникает головокружение и чувство закладывания ушей, это может быть вызвано низким уровнем гемоглобина в крови. Поэтому людям с этими симптомами категорически не рекомендуется придерживаться низкоуглеводных диет.
Также возможно ощущение головокружения и заложенность ушей при простуде, особенно при наличии кашля и заложенности носа. Лечение простуды поможет избавиться от этих симптомов.
Эти симптомы часто возникают у женщин в ожидании ребенка. При увеличенной нагрузке на организм, изменениях в системе кровообращения и сужении кровеносных сосудов возникает головокружение. Беременность является стрессом для организма, поэтому он таким образом реагирует на новую ситуацию. Такие неприятные проявления во время беременности могут свидетельствовать о наличии токсикоза и нарушениях в работе сосудов. В случае возникновения этих проблем необходимо обратиться к врачу, чтобы избежать возможных негативных последствий как для себя, так и для будущего малыша. Существуют специальные препараты, безопасные во время беременности, которые помогают нормализовать давление.
Лечение проблемы
Для выяснения причины ощущения давления в ухе и определения происходящих процессов проводят следующие виды исследований:
- проверка остроты слуха, оценка слуховой чуткости (аудиометрия);
- определение высокочастотной слуховой потери (ВЧД);
- диагностика состояния ушей с помощью отоскопии;
- общий анализ крови;
- исследование среднего уха с использованием тимпанометрии;
- ультразвуковое исследование сосудов шейного отдела;
- сканирование головного мозга;
- измерение артериального давления;
- рентгенологическое исследование позвоночника;
- томография внутренних органов.
Если возникли проблемы с ухом из-за воспаления, это считается основной причиной заболевания, и лечение направлено на его устранение. Для этой цели обычно используются препараты следующих групп:
- препараты для облегчения боли;
- лекарства против инфекций;
- питательные вещества;
- средства для снятия спазмов;
- средства для укрепления организма.
Следует строго соблюдать указания врача и продолжать лечение до полного выздоровления, чтобы предотвратить переход заболевания в хроническую стадию.
Систематический мониторинг артериального давления в различные периоды суток поможет определить, не является ли основной причиной проблемы артериальная гипертензия или гипотония.
Ультразвуковое исследование (УЗИ) и сканирование могут выявить аномалии, связанные с кровеносными сосудами головного мозга, образованиями в мозге и в районе слухового нерва, смещением позвонков, которое может повредить артерии шейного отдела.
Помимо стандартных методов лечения, возможно обратиться к средствам традиционной медицины (например, травы и настойки), однако лишь после консультации с медицинским специалистом.
Причины недомогания
Если у вас болит голова, появляется заложенность и шум в ушах, то причина этого может быть разнообразной. Медики выделяют несколько возможных факторов: воздействие окружающей среды на организм человека и развитие заболеваний, требующих дополнительного обследования. К первой группе факторов относятся:
- Когда вода попадает в ушные раковины во время принятия душа или ванны.
- Внезапное изменение давления в атмосфере, магнитные бури.
- Неправильное функционирование гормонов, сбой.
Когда появляются первые признаки заболевания, медицинские специалисты обращают особое внимание на состояние головы и ушей, используя специализированное оборудование для проведения обследования. Именно врач определяет причину возникновения этих симптомов и может назначить соответствующее лечение.
Следующие факторы считаются основными причинами:
- Повышенное давление в артериях. Это состояние представляет опасность для здоровья человека. Симптомы включают появление мушек перед глазами, шум в ушах, тошноту, кратковременную утрату сознания, головную боль и ощущение давления в области сердца, а также возможное головокружение при ходьбе. Эти проявления могут привести к инсульту или инфаркт. Постоянное перенапряжение сердца может привести к утоньшению стенок сердечной мышцы и развитию сердечной недостаточности.
- Остеохондроз шейного отдела позвоночника. Пациенты жалуются на периодическую боль в этой области тела. Это заболевание считается опасным из-за возможного сдавливания кровеносных сосудов, что может нарушить кровоток к головному мозгу. Особенно подвержены риску молодые люди до 30 лет, ведущие сидячий образ жизни и проводящие много времени за компьютером.
- Частые простудные заболевания. При гриппе ощущается общая слабость, боли в теле и голове, заложенность и шум в ушах, а также затрудненное дыхание через нос. Заложенность носа может привести к недостаточному поступлению кислорода в мозг, что вызывает кислородное голодание и нарушение кровоснабжения.
- Обострение гайморита. Это состояние возникает при заражении носовых пазух микробами, что приводит к нарушению кровотока и поступлению кислорода, а также вызывает сильные боли в глазах при повороте головы. Необходимо своевременно лечить это заболевание, чтобы избежать проникновения гнойного содержимого в другие ткани и даже в мозг, что может привести к серьезным осложнениям, таким как менингит и отек мозга.
- Воспаление в ушах. Бактерии, скапливающиеся в носу, могут проникнуть в барабанную перепонку и вызвать ее воспаление. Несвоевременное лечение может привести к развитию отита, мастоидита и лабиринтита. Лабиринтит отличается от других заболеваний тем, что кроме заложенности ушей и шума в голове, возможно выделение гноя.
- Невринома. Это заболевание чаще встречается у женщин и представляет собой доброкачественную опухоль на слуховом нерве. Пациенты жалуются на рвоту, головокружение и боли в челюстных мышцах при жевании.
- Наличие серной пробки в ушах. Сера, естественно находящаяся в ушной раковине, помогает избавляться от микробов и защищает ухо от инфекций. Однако иногда серы накапливается слишком много, что может вызвать ощущение тяжести в голове, заложенность ушей, слабость и временную потерю слуха.
- Травмирование ушей. Травмы уха могут возникнуть при падении, попадании инородных предметов, отморожении или ожоге. Некоторые травмируют ухо при внезапных громких звуках или при резкой посадке самолета. Поэтому, если у вас болит голова и заложены уши, причина может быть связана с воздействием внешней среды.
В дополнение к этому, аналогичные признаки могут возникать при регулярных стрессах, нарушении сна, переутомлении, а также при неправильном питании. Чтобы устранить симптомы и восстановить организм, необходимо отдохнуть и нормализовать состояние нервной системы.
Что же делать, если кружится голова и заложило уши
— В случае внезапного головокружения важно знать базовые действия, которые помогут избежать получения травмы. Необходимо найти опору, чтобы восстановить равновесие. В качестве опоры может выступить стул или диван в помещении, а на улице подойдут скамейка или дерево. Важно помнить, что не следует закрывать глаза и приседать, так как это негативно скажется на самочувствии.
— Восстановить нормальное дыхание, вдыхать через нос, а выдыхать через рот, при этом стараясь поддерживать голову в вертикальном положении. Адекватное поступление свежего воздуха играет крайне важную роль, следует предпринять все возможные меры: отстегнуть пуговицы или ослабить пояс.
— Даже сосательная конфета может помочь снять подобный приступ – сосание переключает внимание. Однако, даже если удалось снять приступ, это не означает, что необходимо обратиться за помощью.
Все проявления и последствия заболевания зависят от индивидуального отношения человека к самому себе.
— Избавление от курения, употребления алкоголя и легких напитков, правильное питание и уход от стрессовых ситуаций играют важную роль для здоровья.
Если следовать этим принципам, то, вероятно, можно будет навсегда избавиться от проблем с головокружением.
Частые вопросы
Какие могут быть причины кружения головы и заложенности ушей?
Причины могут быть разнообразны, включая нарушения равновесия, инфекции уха, проблемы синусов, аллергии, стресс, изменения в кровяном давлении и другие заболевания.
Как происходит диагностика причин кружения головы и закладывания ушей?
Диагностика включает в себя общий медицинский осмотр, проверку равновесия, аудиометрию, компьютерную томографию (КТ) или магнитно-резонансную томографию (МРТ) для выявления возможных проблем в ушах, головном мозге или сосудах.
Какие методы лечения используются для кружения головы и закладывания ушей?
Лечение может включать лекарства, физиотерапию, реабилитацию, хирургическое вмешательство (в редких случаях), а также коррекцию образа жизни, включая устранение стресса, изменение диеты и упражнения для улучшения равновесия.
Полезные советы
СОВЕТ №1
Обратитесь к врачу-оториноларингологу для проведения диагностики и выявления причин головокружения и заложенности ушей.
СОВЕТ №2
Избегайте резких движений и изменений положения тела, особенно при вставании из-за сидячего или лежачего положения, чтобы уменьшить головокружение.
СОВЕТ №3
При лечении обратитесь к специалисту для назначения соответствующей терапии, которая может включать лекарства, физиотерапию или реабилитационные упражнения.













