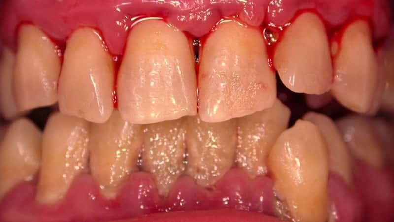
Многие люди мечтают о красивой и безупречной улыбке. С детства нам говорят о важности регулярной чистки зубов и поддержания гигиены полости рта. Однако, порой заболевания десен могут нарушить все эти старания. Когда в ротовой полости возникает воспаление, десны начинают опухать и кровоточить, жевание твердой пищи становится болезненным и неудобным. Если мы пренебрегаем такими симптомами, надеясь, что они пройдут сами по себе, мы рискуем потерять даже здоровые зубы.
Чем опасно воспаление десен
Возможно каждому из нас придется столкнуться с проблемами, связанными с воспалением десен. Причины этого могут быть не только стоматологическими. Если уровень иммунной защиты организма резко снижается, питание становится неполноценным, появляется стресс или человек переживает сложный период, воспаление десен может возникнуть внезапно. Часто пациентами пародонтологов становятся люди, у которых ранее был поставлен диагноз сахарный диабет. Различные эндокринные нарушения и другие заболевания могут привести к опуханию и воспалению десен. В большинстве случаев гингивиты и пародонтозы вызываются различными бактериями, которые обитают в зубном налете. Если не бороться с этим, болезнь может прогрессировать и принять тяжелую форму, требующую срочного оперативного лечения. Чтобы избежать таких осложнений, необходимо обращать внимание на любые, даже кажущиеся незначительными, проблемы с деснами. Использование народных средств может быть эффективным способом лечения начинающегося воспаления во рту и предотвращения посещений стоматологических кабинетов. Однако, в случае заболевания, необходимо обязательно проконсультироваться со стоматологом, не полагаясь на самолечение. Для профилактики рекомендуется следить за гигиеной полости рта и рационом питания, включая витамин С, который важен для здоровья десен. Массаж десен также рекомендуется для улучшения кровоснабжения тканей и предотвращения воспаления.
Заболевания десен
Гингивит — это первая стадия воспаления десны, которая может привести к более серьезным осложнениям, таким как пародонтит и пародонтоз. В результате этого воспаления на слизистой оболочке рта могут появиться язвочки, ранки и нагноение. В некоторых случаях, когда возникают проблемы с корнем зуба или образуется киста, воспаление десны становится особенно опасным.
Домашние средства от гингивита
Лечение десен с использованием народных средств включает использование растительных ингредиентов и приготовление различных настоек, бальзамов и компрессов на основе трав. Некоторые популярные рецепты включают отвары ромашки, эвкалипта, календулы, крапивы, шалфея, дубовой коры, а также солевые и содовые растворы. Эти составы используются для полосканий и оказывают антисептическое и заживляющее действие на слизистую полости рта. Многие из этих средств можно найти на домашней кухне или на подоконнике.
Комнатные растения, такие как алоэ вера или столетник, которые относятся к семейству суккулентов, обладают целебными свойствами. Их сочную мякоть измельчают в кашицу, затем настаивают и доводят до кипения в эмалированной посуде. После процеживания такого бальзама его следует хранить в прохладном месте, подальше от солнечных лучей. Это лекарство используется для полосканий. Иногда в такой отвар добавляют морскую соль, которая оказывает заживляющее и кровоостанавливающее действие. Солевой раствор является эффективным средством при простуде, заболеваниях горла, стоматитах и гингивитах.
Сироп на основе розовых лепестков, меда и прополиса также быстро заживляет ранки во рту.
В рецептах целебных настоек от пародонтита используются различные эфирные масла, такие как облепиховое, масло тмина, чайного дерева, кунжутное, мятное. Эти средства применяются, если на десне образовалась киста. Малое количество кунжутного масла можно периодически держать во рту. Растительные масляные экстракты также применяются вместе с массажем десен. Выбор таких средств широкий, можно использовать персиковое, оливковое или пихтовое масло.
Массаж десен улучшает кровоснабжение мягких тканей, способствует регенерации клеток и предотвращает развитие пародонтоза. Однако, для достижения наибольшей эффективности, такие процедуры должны проводиться регулярно. Иногда требуется лечение в течение нескольких месяцев. Для быстрого снятия воспаления можно применить небольшой кусочек ваты или марлевой салфетки, смоченный в эфирном масле, и приложить к воспаленным участкам.
Гель из банановой кожуры с морской солью
Из банановой кожуры можно приготовить эффективное народное средство от воспаления десен. Для этого необходимо сначала измельчить морскую соль в порошок. Затем добавить промытые и подсушенные банановые шкурки, также измельченные. В состав следует добавить немного оливкового масла и хорошо перемешать до получения кашицеобразной массы. Получившийся гель следует втирать в больную десну. Хотя процедура может быть неприятной и болезненной из-за наличия соли в пасте, стоит выдержать, так как это средство быстро избавит вас от гингивита.
Спиртовая настойка с корицей
Для устранения воспаления также можно использовать полоскания на основе водки с корицей. В стакан огненной воды добавляют несколько столовых ложек корицы и оставляют настаиваться в течение семи дней. Затем полученное средство процеживают. Важно помнить, что данное средство не предназначено для внутреннего употребления и следует использовать только для полосканий. Спиртовой пряный раствор поможет дезинфицировать полость рта, снять отек и покраснение.
Рецепты от гингивита на основе ягод
Состав препаратов для снятия воспаления десен включает не только травы, но и различные плоды. Лечение гингивита с использованием народных средств включает применение сока калины, брусники и листьев ежевики. Также можно приготовить отвар из черники и использовать его для полоскания рта несколько раз в день. Брусничный сок также может быть использован для избавления от гингивита. Листья ежевики помогут укрепить десны — их можно разжевывать после еды. Сок брусники можно смачивать ватным тампоном и прикладывать к пораженным участкам десны, что является отличной профилактикой воспаления пародонта.
Травяные настои
Зверобой может быть использован для приготовления настоя. Рекомендуется проводить полоскания этим настоем вечером перед сном. Его также можно использовать в качестве профилактического средства.
Иногда готовят смесь из различных трав, например, измельченной коры дуба и цветков липы в пропорции 2:1. Маленькую ложечку такой смеси заваривают в стакане кипятка, настаивают, остужают и процеживают. Рекомендуется проводить полоскания таким бальзамом несколько раз в сутки.
Ромашка аптечная обладает хорошими противовоспалительными свойствами. Она также способствует заживлению ран.
Четыре столовые ложки сухих цветков ромашки заливают одной чашкой горячей кипяченой воды и настаивают около часа. Рекомендуется полоскать рот таким бальзамом через каждые два часа.
Кровоостанавливающее средство при гингивитах
Мумие — эффективное средство для лечения кровоточивости десен. Это природное вещество темного цвета, схожее с густой смолой, которое использовалось с древних времен. В народе оно также известно как «горная слеза».
Известно, что мумие обладает целебными свойствами. Для приготовления полоскания необходимо растворить три грамма мумие в ста миллилитрах теплой воды. Этот горный бальзам быстро заживляет повреждения и ранки, восстанавливая слизистую благодаря содержанию ценных аминокислот и минералов. Полоскания с мумие рекомендуются при стоматитах, гингивитах, пульпитах и пародонтозе, проводимых утром и перед сном в течение нескольких недель.
Травяные отвары от свища на десне
Для снятия боли при периодонтите и глубоких воспалительных процессах, сопровождающихся появлением свища, можно использовать полоскания из смеси трав. Для приготовления такого раствора необходимо смешать дубовую кору, зверобой и тысячелистник в равных пропорциях. Затем, пять столовых ложек этой смеси следует запарить в одном литре кипятка. Настой нужно оставить на несколько часов, а затем процедить и использовать для полосканий.
Еще один вариант рецепта — отвар из травы зверобоя. Для его приготовления необходимо размешать по одной щепотке соды и соли в небольшом количестве воды, а затем добавить половину стакана настоя шалфея.
Рецепты для укрепления десен
Рецессия десны — распространенная проблема, с которой сталкиваются многие пациенты стоматологических клиник. В результате тонкости слизистой и альвеолы становятся видны шейки и даже корни зубов.
Для укрепления тканей десны можно использовать полоскания раствором из воды и сока лопуха. Этот настой следует использовать три раза в день.
При образовании глубоких пародонтальных карманов, когда десны не плотно прилегают к зубам и воспалительный процесс усиливается, особое внимание следует уделить гигиене полости рта.
Для лечения десен народными средствами в этом случае можно использовать настойки на основе прополиса. Для приготовления такого бальзама необходимо смешать 40 граммов измельченного прополиса с обычным спиртом, который можно приобрести в аптеке. Этот бальзам следует настаивать около десяти дней, а затем развести в одном литре воды. Готовую настойку можно использовать в виде полосканий и компрессов.
Если после удаления больного зуба ощущается боль в месте лунки, рекомендуется полоскание отваром из смеси чабреца и дубовой коры. Для приготовления этого настоя его следует кипятить около 10 минут, остудить и процедить. Этот настой рекомендуется использовать в течение первых трех суток после удаления зуба.
Для снятия воспалительного процесса можно использовать перекись водорода. Для этого нужно размешать одну таблетку гидроперита в 100 миллилитрах теплой воды. Полоскания таким раствором следует делать до четырех раз в сутки. Иногда также применяют марлю, пропитанную трехпроцентной перекисью водорода, которую прикладывают к воспаленной десне и слегка втирают в нее.
Несмотря на то, что народные рецепты достаточно эффективны, не стоит полагать, что они могут полностью излечить серьезное заболевание. Лекарственные растения являются вспомогательным средством, которое помогает снять боль, отечность и способствует более быстрому восстановлению. Однако болезни десен требуют обязательного контроля со стороны врача. При использовании народных рецептов в сочетании с традиционными медикаментами рекомендуется проконсультироваться со стоматологом, чтобы достичь более быстрого выздоровления.
Симптомы и признаки пародонтита могут сопровождаться сильной болью. Регулярный массаж десен может помочь в таких случаях. Травяные отвары также могут быть полезны при воспалении десен, а морская соль может помочь справиться с болезнями полости рта. В состав многих рецептов для полосканий входят эфирные масла. Из банановой кожуры можно приготовить лекарство для десен, а брусничный сок поможет избавиться от гингивита. Ромашка оказывает противовоспалительное и ранозаживляющее действие, а мумие известно своими целебными свойствами. Отвар из травы зверобоя также может быть полезен. Важно также принимать витамины для здоровья зубов и десен. Приготовление травяного настоя может помочь в лечении пародонтальных карманов.






