Факторы риска и профилактика осложнений
Факторы, способствующие возникновению осложнений, включают в себя:
- неправильная или задержанная диагностика;
- отсроченное, несоответствующее, недоведенное до конца лечение, невыполнение рекомендаций врача, предписанного режима;
- молодой или пожилой возраст (у детей и пожилых людей бронхит протекает более серьезно, чем у взрослых или подростков);
- генетические заболевания органов дыхания, например, муковисцидоз;
- присутствие заболеваний других внутренних органов;
- повышенная чувствительность иммунной системы;
- активное, пассивное курение и другие вредные привычки, неблагоприятные внешние факторы (климатические, профессиональные).
Необходимо предпринимать действия для предотвращения осложнений бронхита на ранних стадиях заболевания. Самой эффективной мерой по предотвращению осложнений является профилактика самого заболевания.
Повышению защитных сил организма способствуют:
- здоровое, сбалансированное, питательное питание;
- постоянные прогулки на свежем воздухе;
- лечебные процедуры на море летом.
Эти действия необходимо начинать еще в раннем детстве, и они также важны и для взрослых. Помимо общего улучшения здоровья, закаливание помогает укрепить иммунитет и предотвратить простудные заболевания, а вакцинация помогает предотвратить грипп и своевременно выявить и ликвидировать очаги инфекции.
Если не удается предотвратить заболевание, важно сосредоточить внимание на предотвращении его осложнений:
- при возникновении первых тревожных признаков следует обратиться к врачу;
- важно придерживаться постельного или полупостельного режима;
- необходимо принимать назначенные специалистом препараты и следовать другим его рекомендациям;
- важно завершить весь назначенный курс лечения, даже если симптомы заболевания исчезли.
Как лечить воспаление бронхов
После того как окончательный диагноз установлен, необходимо немедленно начать лечение. Только при своевременной терапии и строгом следовании всем рекомендациям врача можно избежать серьезных осложнений. Только специалист может разрабатывать схему лечения и подбирать необходимые лекарственные препараты. Он также определяет необходимую дозировку и при необходимости вносит корректировки в схему лечения.
Для быстрого излечения острого бронхита и предотвращения возможных осложнений, важно соблюдать следующие рекомендации:
- Во время острой фазы болезни необходимо соблюдать постельный режим.
- Важно временно отказаться от вредных привычек во время лечения.
- Необходимо устранить все негативные факторы, которые могут повлиять на развитие болезни, такие как вдыхание химических веществ и пребывание в сырых и холодных помещениях.
- Важно точно следовать всем рекомендациям лечащего врача и принимать лекарственные препараты вовремя.
- Важно употреблять достаточное количество жидкости. Необходимо помнить, что недостаток жидкости в организме затрудняет отхаркивание мокроты, делая ее вязкой и приводя к ее задержке в дыхательных органах. Это может привести к развитию вторичной инфекции и ухудшению состояния пациента.
При соблюдении этих простых рекомендаций пациент может быстро поправиться и избежать серьёзных осложнений.
При возникновении воспаления бронхов, врач назначает определенные медикаменты, которые способствуют борьбе с инфекцией и значительно ускоряют процесс выздоровления. Обычно в лечебную программу включают следующие препараты:
- Препараты, которые помогают расширить бронхи и облегчить дыхание, включают в себя Фенотерол и Беродуал.
- Лекарства, которые разжижают мокроту и способствуют её удалению, включают в себя Бромгексин, Мукалтин, сироп корня солодки, Лазолван и Амбробене.
- Если заболевание вызвано вирусами, могут быть назначены противовирусные препараты, такие как Гропринозин и Ремантадин.
- Для борьбы с микробами могут быть рекомендованы противомикробные средства, такие как Бисептол или Бактрим.
- Иммуностимулирующие средства на основе интерферона также могут быть применены.
Если воспаление бронхов вызвано бактериальной инфекцией или вирусная форма заболевания осложнилась вторичной инфекцией, лечащий врач рекомендует применение антибактериальных препаратов. При бронхите наиболее часто используются препараты из группы пенициллинов или макролиды. В случае непереносимости этих препаратов у пациента, врач может назначить цефалоспорины.
При острой форме бронхита врач обычно рекомендует применение жаропонижающих и противовоспалительных препаратов, а также антигистаминных средств. Все эти лекарства способны смягчить состояние пациента и ускорить процесс выздоровления.
Для лечения бронхита рекомендуется использовать ингаляции через небулайзер. Их можно проводить с применением муколитиков, физраствора, щелочной минеральной воды и других растворов, способствующих снижению воспаления и отёку.
Применение любых медикаментов следует осуществлять только после консультации с врачом. Важно помнить, что самостоятельное лечение может вызвать серьезные осложнения.
Осложнения хронического воспаления
При длительном воспалительном процессе в бронхах у больных могут возникнуть обструктивный бронхит, эмфизема легких, бронхоэктатическая болезнь, дыхательная недостаточность, легочная гипертензия, диффузное рубцовое изменение легких.
Хронический обструктивный бронхит
Постоянные воспалительные процессы в стенках бронхиальных трубок приводят к их серьезному повреждению, изменению формы и образованию рубцов, что приводит к потере их упругости. Это приводит к существенному сужению дыхательных путей, что препятствует нормальному прохождению воздуха и приводит к развитию обструкции.
Процесс формирования препятствия
В клинической практике это проявляется сильной одышкой и кашлем, признаками дыхательной недостаточности. Пациенты жалуются на затрудненное дыхание, приступы удушья, кашель с небольшим количеством густой мокроты. При проведении обследования выявляются свистящие хрипы в легких, усиливающиеся при выдохе.
При этом осложнении происходят необратимые изменения в бронхах. Для облегчения состояния пациентов используются препараты, снижающие бронхиальный тонус, ингаляции через небулайзер, средства, разжижающие мокроту, и препараты, способствующие отхаркиванию.
Бронхоэктатическая болезнь
Характеристика этого заболевания заключается в растяжении и образовании гноя в стенках бронхов и бронхиолей, в основном в нижних частях легких. Это осложнение возникает чаще у мужчин всех возрастов.
Различные формы и размеры бронхоэктазов включают мешотчатые, веретеновидные, цилиндрические и другие. В зависимости от размера и степени растяжения стенки бронхов, эта патология может проявляться в компенсированной или декомпенсированной форме.
Первые пациенты испытывают беспокойство из-за повышенной температуры, дискомфорта в груди, а также кашля с гнойным отделением. Во втором случае к этим симптомам добавляются признаки дыхательной недостаточности.
Заболевание бронхоэктазии
Болезнь бронхоэктатическая подвергается лечению по той же схеме, что и пневмония – с использованием антибиотиков, муколитиков, отхаркивающих и противовоспалительных препаратов. В случае серьезных двусторонних поражений может потребоваться проведение операции по удалению участков патологически измененных легких.
Эмфизема легких
С течением времени обструктивный бронхит и бронхоэктатическая болезнь могут вызвать развитие эмфиземы легких. Это состояние характеризуется необычным расширением альвеол.
Когда они находятся в растянутом состоянии, они теряют способность сократиться обратно, что приводит к постоянному задержанию воздуха в легких. Это препятствует больным делать полный выдох и вдыхать свежий воздух полной грудью.
Такое затрудненное дыхание приводит к постоянной нехватке кислорода. При этом увеличивается объем грудной клетки, кожные покровы приобретают синюшный оттенок, у пациентов наблюдается выраженная одышка при выдохе. Развивается недостаточность дыхания, которая вызывает патологии в сердце и сосудах.
Как проявляется эмфизема легких
Дыхательная недостаточность (ДН)
Дыхательная недостаточность проявляется при усугублении обструктивного бронхита, бронхоэктатической болезни, и эмфиземы легких. В таком случае основная функция дыхательной системы – обеспечение правильного газообмена в организме, то есть насыщение крови кислородом, нарушается.
При этом больные испытывают затрудненное дыхание, приступы удушья, изменение цвета кожи на синюшный, учащение сердцебиения, ощущение слабости, головные боли, ухудшение общего самочувствия, вплоть до потери сознания. Такие изменения могут иметь фатальные последствия, поэтому упомянутые осложнения бронхита у взрослых представляют собой серьезную угрозу и требуют своевременного лечения.
Легочное сердце
Из-за недостаточности дыхания может возникнуть недостаточность работы сердца и легких. Это состояние проявляется увеличением размеров правого желудочка и предсердия из-за увеличения давления в малом круге кровообращения и задержки крови в нем.
Осложнения при бронхите у взрослых редко встречаются, но всегда имеют тяжелое течение, так как могут вызвать развитие дистрофических и некротических изменений в стенках миокарда.
Диффузный пневмосклероз
Это осложнение проявляется уплотнением ткани легких из-за разрастания соединительной ткани в них. Обычно оба легких поражаются одновременно. Из-за уменьшения эластичности легочной ткани их дыхательный объем значительно сокращается. Пациенты страдают от сильной одышки и недостатка кислорода.
Необратимые патологические изменения происходят при данном заболевании. Врачи ставят перед собой цель замедлить склеротические процессы и увеличить продолжительность жизни пациентов на несколько лет. Присоединение инфекций различного происхождения может ухудшить ситуацию.
Сколько длится острая форма
Необходимо помнить, что при улучшении состояния можно быть радостным, так как лечение действенное и приносит результаты. Однако не следует прекращать его по собственной инициативе, важно завершить полный курс лечения, руководствуясь рекомендациями специалистов в области медицины.
Время, необходимое для выздоровления от бронхита, зависит от того, как быстро уменьшается воспаление в организме
Время выздоровления от бронхита зависит от того, насколько быстро уменьшается воспаление в организме
Время, в течение которого происходит заболевание бронхитом, определяется различными факторами, основные из которых:
- возраст пациента;
- готовность организма бороться с вирусами;
- форма течения заболевания — острая или хроническая;
- наличие сопутствующих хронических заболеваний легких или сердечно-сосудистой системы;
- фактор, который спровоцировал развитие воспаления в бронхах;
- предыдущие случаи бронхита – эффективность выбранного лечения и скорость выздоровления.
Острый бронхит характеризуется быстрым и интенсивным протеканием, во время которого у человека наблюдаются различные симптомы.
Если заболевание не исчезает само собой, возможно потребуется продолжить лечение в больнице
Необходимо помнить: только врач может назначить антибиотики для лечения бронхита.
Список 1. Признаки бронхита и время их проявления:
| Симптом | Особенности проявления | Длительность |
| Кашель | Сильный кашель начинается в сухом виде, не приводит к отхождению мокроты. Вскоре он становится влажным – мокрота начинает отходить, это приносит больному облегчение | Сильный кашель длится примерно две недели. В течение месяца после начала болезни кашель проходит полностью – это именно тот срок через сколько исчезают хрипы при бронхите. |
| Температура | Подъем температуры тела провоцируется воспалительным процессом, так организм активно борется с патогенными агентами и инородными частицами. | Высокая температура, которую может потребоваться сбить, проходит в течение трех дней. За пять дней температура должна пройти полностью. |
| Общее состояние | Общая слабость и недомогание. При сильном жаре присутствует ломота в мышцах | Упадок сил сохраняется на весь период повышения температуры. Если болезнь затянулась, слабость способна сохраняться до двух недель. В ситуациях, когда для лечения используются антибиотики, процесс восстановления жизненных сил, также затягивается – данные препараты угнетают собственные полезные бактерии. |
Обычно воспалительный процесс в бронхах продолжается около 12 дней. Именно в этот период пациент испытывает наиболее сильный кашель.
Если болезнь протекает легко, все неприятные признаки исчезают в течение недели. Однако при кратковременном течении болезни необходимо быть внимательным, поскольку недолеченный бронхит может привести к хроническому бронхиту.
Взрослым пациентам назначается индивидуальная продолжительность лечения, учитывая особенности их организма.
Необходимо помнить, что даже в случае исчезновения основных признаков заболевания, важно обратиться к врачу для подтверждения полного выздоровления.
Народные средства
При легком течении бронхита можно начать лечение с использованием медикаментов, однако необходимо дополнить их применением отхаркивающих и муколитических препаратов, а также физиопроцедур. Использование только народных средств, вероятно, не будет полностью эффективным, однако мы можем предложить вам основные рецепты народной медицины.
Отвар из почек сосны эффективно уменьшает воспаление. Для приготовления необходимо залить 5 столовых ложек почек 1 литром кипятка и оставить настаиваться в течение суток. Готовый настой следует хранить в холодильнике и употреблять по 1/3 стакана перед завтраком. Уже на третий день можно заметить улучшение состояния и исчезновение хрипов.
Отвар из травы мать-и-мачехи и листьев подорожника приготавливается из 2 столовых ложек сухого сбора на 1,5 литра холодной воды, смесь доводят до кипения и употреблять по ½ стакана 3 раза в день. Курс лечения составляет месяц, хотя уже через несколько дней состояние нормализуется. Это средство также способствует нормализации артериального давления.
Отвар из корня солодки широко применяется в медицинской практике в качестве эффективного отхаркивающего средства. Для приготовления необходимо взять 100 грамм тертого корня солодки и залить его 0,5 литрами водки, после чего настаивать в течение недели. Принимать по 1 капле настойки после завтрака на каждый год жизни. Продолжительность курса лечения составляет не менее 21 дня.
Грудной растительный бор включает в себя мать-и-мачеху, корень солодки и аптечную ромашку. Для приготовления отвара необходимо залить 5 столовых ложек смеси 1 литром воды и варить в течение одного часа. Затем добавить три ложки меда, дать настояться и употреблять три раза в день после еды в течение трех недель.
В состав отхаркивающего сбора входит полевой хвощ в количестве 20 грамм, листья подорожника – 10 грамм, мать-и-мачеха – 10 грамм. Эту смесь заливают 1 литром кипятка, настаивают сутки, затем добавляют 3 столовые ложки семян льна и доводят до кипения, кипятят в течение 15 минут. После этого в теплый настой добавляют несколько столовых ложек меда и употребляют каждое утро до еды в течение 40 дней.
Эффективное средство от одышки — сбор из листьев мать-и-мачехи, подорожника и трехцветной фиалки. Для снятия воспаления рекомендуется использовать сбор из корня девясила, аниса и тимьяна. При сильном надоедливом кашле отлично помогает настой из плодов аниса.
Классификация
В зависимости от тяжести проявления, воспаление бронхов может быть классифицировано как одностороннее, затрагивающее либо правую, либо левую часть органа, и двустороннее, когда воспалительный процесс охватывает обе части.
При распространенном поражении органов дыхания возникает наиболее серьезное состояние – диффузный бронхит, при котором происходит воспаление всего бронхиального дерева и легких.
Основное разделение происходит в зависимости от характера проявления болезни в клинических симптомах.
Острый бронхит
При острой форме, воспалительный процесс сосредотачивается в нижних дыхательных путях.
Существуют различные типы заболеваний, такие как:
- воспалительный;
- слизистый;
- воспалительный катаральный;
- кровоточащий;
- дистрофический.
Острая стадия может продолжаться от одной до нескольких недель. Если не начать лечение, заболевание может перейти в хроническую фазу.
Хронический бронхит
Постоянное воспаление бронхиальных трубок характеризуется продолжительным, медленным прогрессированием с периодическими всплесками симптомов.
При развитии хронического бронхита происходят постепенные изменения в структуре тканей бронхов, что приводит к узкому просвету. Этот тип заболевания сложно поддаётся лечению и негативно сказывается на общем состоянии пациента.
Чаще всего хронический бронхит возникает как осложнение не вылеченной острой формы заболевания. Этому подвержены люди, которые предпочитают переносить болезнь на ногах, самостоятельно принимать рекламируемые лекарства или прерывать назначенный врачом курс лечения.
Различают несколько видов хронического бронхита в зависимости от его тяжести:
- Простой. Отличается умеренным прозрачным выделением и сухим, немного интенсивным кашлем.
- Слизисто-гнойный. Характеризуется выделением густой, желтоватой или зеленоватой мокроты, что указывает на развитие бактериальной флоры в бронхах.
- Обструктивный. Имеет структурные изменения слизистой под воздействием негативных факторов.
Время года с тёплой погодой обычно уменьшает проявление хронического бронхита, но появление холодов снова усиливает симптомы. Обструктивный бронхит может прогрессировать к хронической обструктивной болезни лёгких (ХОБЛ) с тяжёлым течением:
- сокращениями бронхов;
- постоянным затруднением дыхания, эпизодами удушья;
- недостаточностью работы сердца.
Важно помнить, что у людей, которые употребляют табак, обструктивный бронхит может прогрессировать и привести к развитию ракового заболевания.
Какие формы бронхита существуют
После попадания на слизистый эпителий бронхов патогенных возбудителей или мелких инородных частиц происходит воспаление бронхиальной слизистой, что приводит к выделению мокроты и появлению кашля. Существует несколько разновидностей бронхита, отличающихся по локализации и распространению воспалительного процесса, но каждая из них способна вызвать неприятные последствия и осложнения.
Существует два основных типа заболеваний, выделенных в международной классификации:
- Острый бронхит может развиться в качестве осложнения после простуды, такой как грипп, ОРВИ или ангина, если инфекция из носоглотки распространяется вниз по бронхам;
- Хронический бронхит возникает как результат осложнения после острого бронхита.
Среди медицинских специалистов бронхиты подразделяются на несколько типов с более детальными характеристиками. Разнообразие форм заболевания позволяет подобрать оптимальный подход к лечению.
Катаральный бронхит представляет собой наиболее легкую форму заболевания, которую характеризует увеличенное выделение мокроты.
Увеличенное образование слизи при катаральном бронхите.
Инфекционный бронхит может быть вызван вирусами или бактериями, которые попадают в бронхи из внешней среды через воздушный путь или с током крови и лимфы;
Токсический бронхит возникает, когда пыль и химические вещества попадают на слизистую оболочку, вызывая воспаление.
Спастический бронхит возникает из-за сужения просвета респираторных путей и отека, что приводит к недостатку кислорода;
Бронхит, вызванный венозным застоем и сердечной недостаточностью, приводит к отеку бронхов и легочной ткани.
Бронхит с деформацией — затрагивает все отделы бронхиального дерева, что приводит к нарушению его функционирования;
Люди, которые постоянно взаимодействуют с раздражающими веществами, такими как химикаты, медикаменты, органическая и неорганическая пыль, подвержены заболеваниям.
Виды и формы бронхита
Разновидности и типы бронхита
Воспаление и увеличение объема слизистой оболочки бронхиальных трубок приводят к развитию бронхита. Это заболевание встречается у людей разного возраста, однако наиболее уязвимыми к нему являются дети младшего возраста и пожилые люди.
Чаще всего заболевание сопровождается простудными инфекциями. В зависимости от характера протекания заболевания имеются острая и хроническая формы.
При остром бронхите происходит увеличение отделяемой мокроты (секрета) и отек стенок бронхов. Этот процесс обычно развивается на фоне вируса или инфекции в организме. В острой форме бронхи покрываются жидкостью, содержащей лейкоциты и белок, называемой экссудатом. Если заболевание находится в запущенной стадии, экссудат проникает во внутренний слой бронхов, что может привести к развитию пневмонии. Обструктивный бронхит возникает из острой формы, когда происходит спазм в мелких бронхах, что затрудняет дыхание больному. Эта форма заболевания представляет наибольшую опасность для детей.
Если начальная стадия заболевания не была подвергнута адекватной терапии или курс лечения не был завершен, это может привести к развитию хронической формы воспаления бронхов.
В данном случае происходит повреждение тканей бронхов и легких. Длительное хроническое воспаление истощает местный иммунитет в бронхах, приводя к обострениям 4-5 раз в год. Существует несколько типов, отражающих степень тяжести хронического бронхита: простой (не осложненный), гнойный и обструктивный. Недостаток контроля и адекватного лечения может привести к серьезным нарушениям дыхательной системы.
Врач должен провести обследование и выслушать жалобы больного, чтобы диагностировать воспаление бронхов и определить его форму. Для определения пораженных участков можно использовать УЗИ и рентгеноскопию, а анализ мокроты в лаборатории поможет выявить возбудителя заболевания и назначить соответствующее лечение.
Необходимо осознавать те факторы, которые способны вызвать воспаление бронхов.
Симптомы бронхита у взрослых
Это заболевание весьма распространено, почти каждый человек хотя бы однажды сталкивался с бронхитом, поэтому его признаки хорошо известны и легко узнаваемы.
Основные признаки бронхита:
- Кашель может проявляться в форме сухого (без отхождения мокроты) или влажного (с отхождением мокроты).
- Сухой кашель чаще всего связан с вирусной или атипичной инфекцией. Обычно он постепенно переходит во влажный.
- Отхождение мокроты, особенно с зеленым оттенком, является надежным признаком бактериального воспаления. Если мокрота белого цвета, это свидетельствует о нормальном течении болезни. Желтоватый оттенок мокроты чаще всего связан с бронхитом у долгокурящих пациентов, а также может указывать на астму или пневмонию. Коричневая мокрота или наличие крови в ней – тревожные симптомы, требующие немедленной консультации врача.
- Голос у взрослых, особенно у курильщиков, может пропадать, и они могут говорить только шепотом. Часто возникают хрипы и тяжесть в голосе, при этом разговор вызывает физическую усталость. Это связано с частыми одышками и тяжестью дыхания. Ночью больной дышит через рот, издавая сильные храпы.
При остром воспалении бронхов у взрослых проявления и методы лечения значительно отличаются от тех, которые типичны для заболевания, протекающего в течение длительного времени.
Если заболевание длится долго, то затрудненная проходимость бронхов может указывать на развитие хронического процесса.
| Виды бронхита | Симптомы у взрослых |
| Острый |
|
| Хронический | Взникает, как правило, у взрослых, после неоднократно перенесенных острых бронхитов, или при длительном раздражении бронхов (сигаретный дым, пыль, выхлопные газы, пары химических веществ). Проявляется следующими признаками:
|
Лечение бронхита
Методы лечения воспаления бронхов
Лечебные подходы к воспалению бронхов различаются в зависимости от формы и характера заболевания. Чем раньше начать лечение, тем выше вероятность избежать осложнений и улучшить общее состояние здоровья.
При лечении острого бронхита важно использовать комплексный подход для достижения положительных результатов. Эффективное воздействие на заболевание требует сочетания медикаментозной терапии, соблюдения режима и занятий лечебной физкультурой.
Как можно осуществить лечение бронхита:
- Острый обструктивный бронхит требует лечения антибиотиками различного спектра действия, такими как Амоксиклав, Аугментин, Цефадокс, Цефтриаксон.
- В зависимости от возраста пациента, лекарства могут быть приняты в форме сиропа, таблеток или инъекций.
- Дозировка и продолжительность приема антибиотиков определяются врачом-терапевтом или педиатром.
- Важно также употреблять пробиотики для восстановления нормальной флоры кишечника.
- При повышении температуры тела выше 38 °C, рекомендуется принимать жаропонижающие средства на основе ибупрофена или аспирина.
- Препараты муколитического действия, такие как Бронхолитин, Муколтин, Амброксол, Лазолван, Эреспал, способствуют разжижению и отхождению мокроты из бронхов.
- Легкий массаж области бронхов может быть полезен для облегчения состояния.
- Ингаляции минеральной водой (например, Боржоми) с добавлением эфирных масел эвкалипта и аниса эффективны для лечения хронического и острого воспаления бронхов.
- Народная медицина предлагает множество рецептов для борьбы с этим недугом, однако перед использованием следует проконсультироваться с врачом.
Ингаляционная терапия обычно занимает от 5 до 10 минут. В случае наличия маленького ребенка в доме рекомендуется приобрести специальное устройство, которое облегчит процесс вдыхания паров и можно найти в магазинах медицинской техники или аптеках.
Один из способов — использовать традиционный метод: изготовить воронку из листа бумаги и поместить ее в носик чайника с приготовленным раствором.
Для выявления и лечения воспаления бронхов требуется серьезный подход
Следует строго следовать рекомендациям врача и завершить весь предписанный курс лечения, чтобы избежать прогрессирования заболевания до хронической стадии.
Формы бронхита
У бронхита существует несколько категорий, которые определяют врачи и требуют соответствующего лечения. Основное деление состоит в различии между хронической и острой формой заболевания. Другая распространенная классификация, используемая специалистами, основана на различных типах воспалительных процессов, вызванных различными причинами.
Для точного различения острой формы от хронической необходимо обладать знаниями не только о симптомах, но и о характерных особенностях развития заболевания. У каждого вида они различаются: продолжительность заболевания, проявление основных признаков и риск осложнений.
Острый бронхит
Многие люди сталкивались с подобным видом воспаления. Зимой острый бронхит встречается чаще, так как иммунитет снижает свою защитную функцию. Правильное лечение позволяет преодолеть его без вреда для организма. Характерные особенности острой формы бронхита:
- главная причина — простудные заболевания, иногда химические, аллергические, физические факторы;
- симптомы проявляются ярко;
- продолжительность — около 3 недель, при грамотном лечении человек полностью выздоравливает за это время;
- хорошо поддается лечению и сам по себе не представляет опасности для здоровья.
Существуют две формы острого бронхита – обструктивная (когда проходимость бронхов нарушена) и необструктивная (когда проходимость хорошая). Неправильное и запоздалое лечение может привести к обструкции бронхов, что в свою очередь может затянуть процесс выздоровления.
Хронический бронхит
Длительное время хронический бронхит может оставаться недиагностированным. Это заболевание характеризуется постепенным развитием, начиная с молодого возраста, и становится хроническим после 40 лет. Основные признаки:
- продолжительность заболевания составляет не менее 3 месяцев в течение года в течение двух лет;
- генетический фактор – врожденный дефицит альфа-1-антитрипсина в организме человека (характерен только для хронической формы);
- симптомы проявляются слабо;
- чаще возникают обострения болезни (со временем приступы бронхита становятся более частыми);
- пик обострения приходится на холодный период года;
- отрицательное воздействие на сердечно-сосудистую систему (при отсутствии эффективного лечения хронический бронхит может представлять угрозу для жизни).
У взрослых чаще наблюдается длительное протекание заболевания. Острое воспаление бронхов может превратиться в хроническое, если не получило должного лечения, а также из-за вредных привычек и наличия других хронических заболеваний.
Воспаление легких
Пневмония представляет собой серьезное инфекционное заболевание, возникающее в результате поражения тканей легких острым бронхитом.
Из-за низкой устойчивости организма, данное заболевание чаще всего поражает детей.
Признаки пневмонии могут напоминать симптомы бронхита:
- внезапный подъём температуры до 40 °С;
- непрерывный кашель с отделением мокроты;
- дискомфорт в области лопаток и груди;
- затрудненное дыхание;
- сниженный аппетит;
- усталость и неприятное ощущение;
- затрудненное дыхание;
- избыточное потоотделение и ощущение холода;
- головная боль.
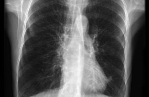
Флюорография может выявить очаг воспаления в бронхах и помочь выяснить истинную причину возникновения заболевания.
Полный анализ крови предоставляет точную информацию о наличии или отсутствии воспалительных процессов, в то время как детальный анализ позволяет отслеживать развитие заболевания.
Исходя из результатов проведенных анализов, врач определяет набор антибиотиков, применение которых будет наиболее эффективным в борьбе с определенным возбудителем.
В случае возникновения острой недостаточности дыхания у пациента, потребуется проведение дыхательной терапии. Если у пациента наблюдается истощительный кашель, то ему могут быть назначены препараты от кашля.
Для сильной плевральной боли в груди необходимо принимать ненаркотические обезболивающие средства.
Бронхиальная астма
Повторяющиеся случаи бронхита могут увеличить риск развития бронхиальной астмы. Это заболевание дыхательной системы проявляется следующими типичными признаками:
- Во время ночи часто возникают приступы удушья, что увеличивает вероятность смерти во сне.
- Приступы постоянно усиливаются, они могут привести к острой недостаточности дыхания и серьезным проблемам с сердцем.
- В бронхах накапливается избыточное количество мокроты, которая буквально блокирует протоки и затрудняет дыхание. Больному тяжело дышать не только при активных физических упражнениях, но даже при неспешной ходьбе.
Для лечения бронхиальной астмы всегда используется комплексный подход, такой подход позволяет достичь положительных результатов. В случае начальной стадии заболевания прогноз очень обнадеживающий. Пациенту удается полностью излечиться, однако процесс терапии может занять до полугода.
Необработанное заболевание бронхиальной астмы может вызвать развитие эмфиземы легких, легочной недостаточности и других серьезных состояний.
Позаботьтесь о своем здоровье Укрепите иммунитет
Иммунитет представляет собой естественную защитную реакцию организма, направленную на борьбу с бактериями, вирусами и другими вредными микроорганизмами. Для укрепления общего состояния рекомендуется обращаться к природным адаптогенам.
Известно, что поддержание здоровья организма зависит не только от отсутствия стресса, полноценного сна, правильного питания и приема витаминов, но также от использования натуральных растительных средств. В этой связи наши читатели предлагают воспользоваться инновационным продуктом —
Когда возникают подобные ситуации, наши читатели советуют применять инновационное решение — .
У него имеются следующие характеристики:
- В течение 48 часов устраняет вирусы и симптомы гриппа и ОРВИ
- Обеспечивает защиту иммунитета в течение 24 часов в период инфекции и эпидемий
- Эффективно уничтожает гнилостные бактерии в желудочно-кишечном тракте
- Содержит комплекс из 18 трав и 6 витаминов, а также экстракты и концентраты растений
- Способствует выводу токсинов из организма, ускоряя процесс восстановления после заболевания
Препараты при бронхите для взрослых
Перед использованием любых лекарственных средств обязательно проконсультируйтесь с медицинским специалистом.
Бронхолитики
Для улучшения выведения мокроты обычно назначают препараты, расширяющие бронхи. В случае бронхита с влажным кашлем взрослым обычно рекомендуют принимать таблетки:
- Препарат сальбутамола,
- Медикамент беродуала,
- Препарат эуфиллина,
- Препарат теотарда.
Отхаркивающие препараты:
- Мукалтин. Разжижает густую мокроту, облегчая ее выведение из бронхов.
- Препараты на основе травы термопсиса – Термопсол и Коделак Бронхо.
- Сиропы Гербион, Стоптуссин фито, Бронхикум, Пертусин, Геломиртол – содержат в своем составе ценные лекарственные растения.
- АЦЦ (ацетилцистеин). Эффективное средство прямого действия. Оказывает прямое воздействие на мокроту. При превышении дозировки может вызвать понос, рвоту, изжогу.
Использование этих препаратов при проявлении симптомов острого бронхита следует продолжать до полного выведения мокроты из бронхов. Срок лечения травами составляет примерно 3 недели, а применение лекарств – от 7 до 14 дней.
Антибиотики
При осложненных случаях острого бронхита, когда симптоматическое и патогенетическое лечение не приносит ожидаемого результата, а также у ослабленных пациентов, антибактериальная терапия является необходимой. Также она показана при изменении характера мокроты (например, слизистая мокрота становится гнойной).
Попытки самостоятельно определить, какие антибиотики будут наиболее эффективны при бронхите у взрослых, нецелесообразны. Существует несколько групп препаратов, каждая из которых активна в отношении определенных микроорганизмов. Наиболее часто используются:
- антибиотики группы пенициллинов (например, Амоксиклав),
- препараты из класса макролидов (например, Азитромицин, Ровамицин),
- цефалоспорины (например, Цефтриаксон),
- фторхинолоны (например, Левофлоксацин).
Важно, чтобы специалист определил правильную дозировку. Неправильное употребление препаратов с антибактериальным действием может серьезно нарушить баланс микроорганизмов в кишечнике и привести к существенному ослаблению иммунитета. Принимать эти лекарства необходимо в точном соответствии с рекомендованной схемой, не изменяя продолжительность курса лечения.
Антисептики
Препараты с антисептическим эффектом обычно используют в основном в форме ингаляций. Для снижения симптомов острого бронхита у взрослых применяют ингаляции через небулайзер с применением растворов таких препаратов, как Риванол, Диоксидин.
Прогноз симптомов бронхита при правильном лечении у взрослых, как правило, благоприятный. Полное выздоровление происходит обычно в течение 2-4 недель. Прогноз бронхиолита более серьезен и зависит от своевременного начала интенсивной терапии. При позднем выявлении и неправильном лечении возможно развитие признаков хронической недостаточности дыхания.
Частые вопросы
Какие методы лечения воспаления бронхов существуют?
Лечение воспаления бронхов может включать применение противовоспалительных препаратов, бронходилататоров, антибиотиков (при бактериальной инфекции), а также физиотерапию и режим отдыха.
Какие меры профилактики помогают предотвратить воспаление бронхов?
Для профилактики воспаления бронхов рекомендуется избегать контакта с аллергенами, поддерживать здоровый образ жизни, вакцинироваться от гриппа и пневмококковой инфекции, а также избегать passivного курения.
Полезные советы
СОВЕТ №1
При лечении и профилактике воспаления бронхов рекомендуется избегать курения и passivного курения, так как табачный дым может усугубить воспаление и затруднить выздоровление.
СОВЕТ №2
Важно следить за чистотой воздуха в помещении, проветривать его регулярно и использовать увлажнители, чтобы предотвратить раздражение слизистой оболочки бронхов.
СОВЕТ №3
При воспалении бронхов полезно употреблять теплые напитки, такие как чай с медом или теплое молоко с медом, чтобы смягчить раздражение и облегчить отхаркивание.























