Диагностирование и лечение
В клинике пациенту проводятся следующие медицинские процедуры:
- После проведения диагностики, специалист начинает лечение. В первую очередь требуется применить компресс на поврежденную область. Применение льда или других холодных примочек поможет уменьшить отечность и облегчить боль.
- Если боль становится невыносимой, пациенту предоставляют обезболивающие препараты – такие как «Анальгин», «Панадол», «Ибупрофен» и другие.
- При наличии кровотечения, необходимо прекратить его. Для этого в нос вводится сосудосуживающее средство — «Називин», «Отривин», «Тизин», «». Затем голову наклоняют немного вперед и тампонируют носовые ходы. Обычно этого достаточно для остановки кровотечения в течение пяти минут.
- Затем проводится репозиция. Это необходимо только в случае смещения костных частей носа. Эту процедуру рекомендуется провести не позже двадцати дней после получения травмы. Лучше всего сделать это сразу после нарушения целостности дыхательных путей.
- Если пациент обратился за медицинской помощью сразу после получения травмы носа, репозицию костей проводят в этот же день. Однако, если после перелома у пациента возник сильный отек, процедуру лучше отложить на несколько дней.
Когда мягкие ткани полностью восстанавливаются, процесс вправления носа становится более сложным. В этот период начинается формирование костной мозоли в области носа, что может затруднить проведение операции. В таких ситуациях специалисты используют специализированные повязки для вправления поврежденной части.
Если пациент обратился за медицинской помощью через месяц после получения травмы, репозицию провести уже невозможно. В этом случае операцию проводят только спустя полгода после полного заживления костей. При таком лечении врачи повторно ломают пострадавшую часть под общим наркозом и восстанавливают неровное срастание уже в правильном положении.
Необходимо помнить, что изменение позиции через полгода может быть особенно трудным и требует длительного времени для восстановления.
Как проходит операция
При разрушении носовых конструкций и последующем восстановлении дыхательного органа, медицинский специалист применяет метод тампонады. Этот медицинский процесс необходим для корректного заживления костной ткани носа. Пациенту рекомендуется носить носовые тампоны как минимум в течение одной недели.
Когда происходит перелом носовой перегородки, операция выполняется под наркозом. Во время процедуры восстановления в носовые проходы вставляют специальные имплантаты.
После коррекции положения костей в области носа пациенту необходимо пройти длительное лекарственное лечение, направленное на снижение отеков и уменьшение болевых ощущений. Кроме того, в процессе восстановления важно ежедневно проводить промывание носовых ходов специальными антисептиками, чтобы предотвратить попадание болезнетворных микробов и инфекций в полость носа.
Последствия
После коррекции в течение 30 дней необходимо соблюдать покой, исключить увеличенные физические нагрузки. Также не рекомендуется ношение очков, посещение бань и саун. В случае затруднений с дыханием через нос следует применять сосудосуживающие препараты, выписанные лечащим врачом.
Когда отек полностью спадет, итог иногда не соответствует ожиданиям. В этом случае может потребоваться повторная операция – ринопластика – с целью улучшения внешнего вида носа.
Если носовая перегородка искривилась непредвиденно, то решением проблемы может стать проведение риносептопластики, за которой последует примерно 15 дней реабилитации в больнице.
По данным медицинской статистики, 70% случаев переломов носа сопровождаются сотрясением мозга. Повреждение решетчатой пластинки может привести к развитию абсцесса или отека мозговых оболочек.
Повреждение носа, такое как перелом, может вызвать длительное нарушение дыхания из-за хронического насморка. Это может привести к затрудненному дыханию, потере обоняния и появлению храпа, что сильно отличается от прежнего состояния.
Вместе с переломом может возникнуть кровоподтек в его окружении. Это приведет к образованию гнойного отложения и разрушению хрящевых структур.
Часто перелом сопровождается травмой головного мозга, что может угрожать жизни пострадавшего.
Если не выполнить репозицию костей носа, это может привести к серьезным осложнениям. Одним из них является смещение носовой перегородки, которое может привести к следующим последствиям:
- постоянные воспалительные процессы слизистой оболочки носа и прилегающих к нему впадин;
- нарушения процесса вдоха и выдоха;
- снижение чувствительности обоняния.
При правильном проведении процедуры репозиции кости носа, заживление происходит достаточно быстро. В зависимости от индивидуальных особенностей организма и общего состояния здоровья пациента, возможны определенные осложнения.
После проведения репозиции и полного восстановления, внешний вид носа может измениться и приобрести другую форму.
- Иногда возникает выпуклость. Происходят изменения в органах, расположенных поблизости от носа. Возникает кровоизлияние в глазном яблоке, снижается острота зрения, иногда возникает потеря зрения.
- Обоняние уменьшается. Дыхание не восстанавливается полностью, появляется храп во время сна, возможно развитие хронического насморка или синусита.
- При открытом переломе, сопровождающемся повреждением кожных покровов, возникает инфекция. На месте зажившей раны остаются неприятные рубцы.
Излишне сильное воздействие может повлиять не только на нос, но и на функционирование мозга. При повреждении мозга пациент может испытывать следующие симптомы:
- Ухудшение зрения, связанное с уменьшением его четкости или появлением двоения изображения;
- Изменение диаметра зрачка, неподходящая реакция на световой раздражитель;
- Путаница или временная утрата сознания;
- Затрудненное дыхание, вызванное не только поражением верхних дыхательных путей, но и изменением работы дыхательного центра головного мозга;
- Нарушение памяти, внимания, нечеткая речь и отсутствие логики в высказываниях, небольшая потеря навыков чтения и письма.
Если лечение проводится неправильно или пациент не обращается к врачу вовремя, кости могут занять неправильное положение, что может привести к искривлению носовой перегородки и образованию носовой горбинки.
Симптомы перелома
Если произошел перелом, необходимо немедленно обратиться за медицинской помощью
Это особенно критично, если пострадал ребенок, потому что деформация носа может вызвать не только проблемы с внешним видом, но и стать причиной частых заболеваний уха, горла и носа.
Признаки, которые обычно свидетельствуют о наличии перелома:
- потеря крови (возможно как небольшая, так и значительная);
- состояние шока, возможна потеря сознания;
- появление отека в области носа, глаз;
- возникновение кровянистых прожилок в глазах;
- затруднение дыхания, частое желание высморкаться;
- повреждение кожи (при открытом переломе видны фрагменты кости);
- интенсивная боль;
- синяки в месте удара и под глазами.
Многие люди ошибочно принимают перелом носа за обычный ушиб из-за того, что нарушение формы носа не всегда заметно из-за отёка мягких тканей. Тем не менее, перелом обладает определёнными характеристиками:
- кровотечение ― возникает при любых повреждениях носа, но при переломе оно может быть более длительным;
- сильные боли;
- при прикосновении можно почувствовать легкое хруст сломанных костей;
- отечность переносицы и нижних век;
- «симптом очков» при проникновении крови в глазницу ― появляется красная рамка вокруг глазницы на веках;
- затруднение дыхания через нос;
- искривление перегородки носа.
Разновидности
Существует открытая и закрытая позиция, а также мгновенное и постепенное открытие.
Открытая
Для проведения открытой репозиции необходимо обнажить место перелома. Поэтому данная процедура выполняется во время хирургического вмешательства. Сначала проводится обезболивание, а затем травматолог приступает к созданию доступа к перелому.
Для восстановления положения костных отломков используют специальные костные фиксаторы. Чаще всего используется тракция по оси конечности, для этого могут привлекаться помощники или специальные механические устройства для растяжения. После восстановления правильного положения отломков осуществляется их фиксация с помощью металлических конструкций.
Если есть диастаз (расстояние между отломками), то переломленную кость вращают вокруг ее оси, пытаясь максимально точно соединить фрагменты костной ткани.
Закрытая
Для проведения закрытого вмешательства не нужно делать надрез кожи и открывать кости. Обычно это делается вручную, но иногда используют различные тяговые устройства.
Существует множество методов для восстановления положения перелома, и каждый из них имеет свои особенности в зависимости от места повреждения. Основным аспектом любой такой процедуры является растяжение участка конечности вдоль оси и выполнение движений, противоположных механизму травмы.
Выполняется упражнение под местным, проводящим или внутривенным наркозом. Как правило, проводится не более двух или трех попыток. По завершении требуется фиксация гипсовой лонгетой и рентген-контроль.
Одномоментное вправление
Суть одномоментной репозиции заключается в том, что она выполняется за несколько последовательных непродолжительных движений. Одномоментное репонирование чаще всего осуществляется вручную при помощи физической силы травматолога и ассистента. Также возможно применение специальных репозиционных аппаратов и приспособлений, которые обеспечивают более надежную и длительную фиксацию отломков без значительных усилий.
Постепенная
Постепенное восстановление подразумевает длительное тяговое воздействие на поврежденную конечность. В травматологии применяется скелетное вытяжение, которое представляет собой метод восстановления перелома с использованием определенных грузов.
Исходя из местоположения повреждения, проводят специальную иглу через выбранную точку в кости. При переломах плеча или надплечья чаще вводят иглу через локтевой отросток, а при разрывах крестцово-подвздошного сочленения, травмах таза и нижних конечностей через узкие промежутки бедра, отросток большеберцовой кости и пяточную кость. Процедура выполняется под местным обезболиванием. Время пребывания в постели и неподвижное состояние конечности составляет около 1-2 месяцев.

Чем грозит перелом носа
Получение травмы носа может иметь серьезные негативные последствия для здоровья человека:
- кровотечения из носа;
- различные степени тяжести сотрясения мозга;
- повреждение канала, через который выходят слёзы из глаз;
- нарушение обоняния, невозможность различать запахи (гипосмия и аносмия);
- частые воспаления синусов (гаймориты) и других околоносовых пазух (фронтит, этмоидит, сфеноидит);
- увеличение размеров нижних носовых раковин (гипертрофический и вазомотрный ринит), что приводит к затруднению носового дыхания;
- постоянная заложенность уха (евстахеит, тубоотит, адгезивный средний отит), что затрудняет общение;
- больное стекание слизи по носоглотке из-за вовлечения задних концов нижних носовых раковин в воспалительный процесс;
- деформация носовой перегородки, приводящая к нарушению нормального дыхания через нос и увеличению частоты обострений хронического ринита;
- появление невидимой для глаз гематомы на носовой перегородке, что может привести к её нагноению и расплавлению хрящей носа;
- заражение крови через рану, которое может вызвать воспаление в околоносовых пазухах и затем распространиться на оболочки головного мозга;
- изменение внешнего вида носа из-за его смещения, что искажает облик лица.
Строение носа
Играет ключевую роль в выполнении множества важных функций, необходимых для поддержания жизни человека. Он обеспечивает поступление воздуха в организм человека, который затем подвергается обработке и нагреванию в дыхательной системе.
Система дыхания включает в себя костные элементы и хрящи, которые имеют следующее расположение:
- боковая (внешняя) стенка содержит носовую кость, небную часть и верхнюю часть верхнечелюстной области. Кроме того, внешняя стенка соединяется с решетчатой костью и крыловидными отростками;
- боковая часть носа соединяется с перегородкой;
- сошник и перпендикулярная пластика решетчатой области соединяются в задней верхней части носовой полости;
- передняя часть носа содержит хрящ и подвижную часть носовой перегородки;
- верхняя стенка включает в себя пластину решетчатой области, которая часто подвергается травмам;
- с боковых частей органа дыхания находятся маленькие и большие хрящи.
При получении травмы в носовой пазухе, наиболее распространенным является повреждение внешних структур носа. В более серьезных случаях могут быть затронуты стенки орбиты, лобные кости и внутренние части носовых раковин.
Понимание того, что у пациента нарушена целостность структуры носа, может быть обусловлено наличием кровотечения, шокового состояния пострадавшего и значительного отека по всей поверхности лица. К другим признакам травматизации относятся:
- красные сосуды внутри глаза;
- нарушение вентиляции;
- частые чихания;
- интенсивные боли;
- синяки в области ушиба или удара.
Кроме того, у больного может возрасти температура тела, произойти значительное смягчение кожи, заражение в местах повреждения кожного покрова. Если обнаружить открытую рану можно по очевидным признакам, то при закрытой форме у пациента царапины и отеки проявляются менее отчетливо.
Независимо от вида полученной травмы, необходимо немедленно доставить пострадавшего в медицинское учреждение.
Закрытая репозиция
В случае, когда кожные покровы закрыты в месте перелома, процедура восстановления проводится вручную. Например, если перелом поперечный и линия перелома простая, то репозиция начинается с тракции — вытягивания конечности. Хирург-травматолог, при помощи ассистента, раздвигает отломки вдоль оси до тех пор, пока между ними не образуется достаточное расстояние, чтобы можно было пальцами выровнять ось сломанной кости. В это время ассистент удерживает конечность в суставе выше перелома, создавая эффект противовытяжения. Когда между отломками образуется расстояние (диастаз), то путем пальпации часть конечности прокручивают по оси, добиваясь максимального сопоставления фрагментов кости. Таким образом, смещение устраняется.
Одним из недостатков такого сравнения является высокая вероятность несовершенного соответствия фрагментов, что требует повторной коррекции в оперативном порядке.
Также исключение закрытой репозиции заключается в том, что невозможно применение специальных фиксаторов на кости (остеосинтез), поэтому случаи с последующим смещением встречаются довольно часто. Этот метод рекомендуется для переломов костей плеча, кисти и предплечья. Также закрытая репозиция может быть выполнена для костей носа, костей голени и стопы. После проведения ручной репозиции накладывается гипс или другой вид лечебного повязывания.
К скелетному вытяжению относится закрытая репозиция, которая применяется при повреждении бедренной кости или костей голени. Также этот метод используется при переломах плеча, предплечья и фаланги пальцев. Процесс скелетного вытяжения включает в себя установку конечности на специальную шину. Затем кость прокалывается специальной иглой через щель бедра (если речь идет о переломе бедра). Игла фиксируется специальной скобой, к которой прикрепляется вес в 5-10 кг, в зависимости от веса пациента. Скелетное вытяжение необходимо для того, чтобы сокращенные мышцы бедра растянулись, и кость вернулась в свое естественное положение.
Диагностика и вправление носа
Детальное изучение состояния организма при такой травме, как переломы костей носа, включает в себя следующие процедуры: осмотр при помощи ощупывания, анализ крови и мочи пациента, рентгенологическое исследование, эндоскопия и риноскопия. Возможно использование КТ и МРТ.
По завершении всестороннего обследования врач определяет оптимальный способ лечения для конкретного пациента.
В начале процедуры пациенту накладывают холодный компресс на место перелома, чтобы облегчить боль и уменьшить отек.
Если у пациента наблюдается подобная симптоматика, то врач может рекомендовать препараты с успокаивающим и анальгезирующим эффектом.
В таких случаях пострадавший обычно получает вакцинацию против столбняка.
Если кость носа смещена или раздроблена из-за травмы, необходимо провести процедуру репозиции. Этот метод должен быть применен в определенные сроки после травмы. С момента перелома до вмешательства для восстановления костей носа может пройти до 21 дня.
Для точного определения состояния носовых костей необходимо провести тщательное обследование точки перелома и общего состояния организма человека.
Повреждения костей носа могут вызвать кровотечение и отёк. Прежде чем выполнять репозицию, необходимо исключить эти симптомы. Иногда у пострадавшего диагностируется сотрясение чувствительного головного мозга, что требует отсрочки хирургического вмешательства на несколько суток до стабилизации состояния.
У детей часто возникают травмы, например, сдавливание переносицы без повреждения костей. Это происходит из-за особенностей детского организма, когда их кости содержат больше гибких частиц, чем у взрослых. В таких случаях может потребоваться операция для восстановления нормального положения носовой перегородки.
Когда у человека происходит перелом со смещением, необходим специальный курс лечения для восстановления правильного положения кости.
Важно осознавать, что своевременное обращение к специалисту позволит провести диагностику и подобрать необходимое лечение. Однако, если пострадавший откладывает визит к врачу на несколько дней, то сильное воспаление раны и отёчность тканей могут помешать проведению обследования, что потребует ожидания восстановления состояния
Каким образом и когда выполняется репозиция
Перелокация, другими словами процедура по восстановлению смещенных сегментов и фрагментов костей и хряща на необходимую позицию, обычно выполняется вручную под местным наркозом. Чтобы обезболить слизистую оболочку, применяется анестетик в виде спрея, а снаружи делается обезболивающий укол. При непосложненном переломе достаточно нескольких движений руки хирурга. В случае обнаружения костного изъяна или смещения применяется хирургический инструмент, который поднимает запавшую часть кости и возвращает ее на место. Это вызывает некоторые болезненные ощущения, но сама процедура занимает всего несколько минут, и боль смягчается действием анестетика.
Когда разломанные костные фрагменты вернулись на свои места, специалисты помещают в полость носа тампоны, пропитанные антибиотиками. Они удерживают кости, предотвращая их повторное смещение. Эти тампоны остаются в носовой полости в течение 3-4 дней, после их удаления восстанавливается нормальное дыхание через нос. Чтобы обеспечить надежную фиксацию носовых костей, наружу накладывается плотная повязка.
Абсолютно не рекомендуется самостоятельно пытаться исправлять положение носа, так как неправильные действия могут привести к дополнительному повреждению мягких тканей осколками кости.
Людей, у которых произошел перелом носа, часто беспокоит вопрос о том, когда закрытое вправление становится наиболее результативным после травмы.
Идеальное время для проведения операции — первые часы, до того как отек мягких тканей успеет сильно развиться. Следующий оптимальный период для проведения операции — когда отек уже начнет уменьшаться. В целом, даже значительный отек не является противопоказанием для репозиции, однако его наличие может помешать точной оценке результатов хирургического вмешательства.
Репозицию назначают, когда происходит перелом с закрытием просвета носовых ходов или видимой деформацией носа. Если форма носа не нарушена, а носовое дыхание восстановилось, репозиционные мероприятия не требуются. Это также может быть причиной для хирурга отложить манипуляцию на несколько дней, чтобы дать отеку уменьшиться и точнее определить тактику лечения.
Если прошло более 8-10 дней после травмы, процедура репозиции становится технически сложнее и сопровождается сильными болевыми ощущениями. В течение 10 дней — трех недель вправить нос возможно только при общем наркозе. Если перелом сопровождается сотрясением мозга, что является противопоказанием для репозиции, процедуру приходится отложить на 5-6 дней. В случае сохранения тяжелого состояния пострадавшего, репозицию перелома можно отложить на более длительный срок — до трех недель. К этому времени начинает формироваться костная мозоль, что делает репозицию невозможной без сложной хирургической операции.
Как проходит операция
Перестановка костей носа происходит поэтапно:
- На начальном этапе уменьшается отек и устраняется боль. С помощью тампонады останавливается кровотечение из носа.
- Применяется общий или местный наркоз. В большинстве случаев предпочтение отдается местному наркозу. Обезболивающее средство вводится через шприц или наносится на место травмы.
При открытом переломе
Если произошел открытый перелом и нарушена целостность костей, эксперт осуществляет обработку раневой области с использованием перекиси водорода или подобных антисептиков.
После этого следует выполнить процедуру. В процессе операции удаляются все имеющиеся осколки, которые не воздействуют на другие костные структуры или ткани.
При закрытом переломе
Операция проводится с применением местного наркоза. При незначительном переломе процедура восстановления костей осуществляется вручную.
При наличии значительного перемешивания, процедуру выполняют с применением специального устройства, известного как элеватор.
При старом переломе
Невозможно восстановить старые переломы путем репозиции. Этот метод становится неэффективным уже через 14 дней после получения травмы.
Использование пластической операции может помочь избавиться от старых переломов.
После западения отломков
Тампонада — это медицинская процедура, применяемая при переломах с большим числом костных отломков.
Для обеспечения правильного заживления костей в носу используются тампоны, пропитанные парафином. Время восстановления составляет примерно одну неделю.
Если речь идет о переломе носовой перегородки, ситуация становится более сложной. Иногда требуется использование имплантатов для восстановления носа.
Снятие гипсовой повязки происходит через 1—2 недели после операции. Время удаления зависит от серьезности перелома и общего состояния пациента.
Обычно процесс восстановления занимает примерно 2 месяца. В течение этого периода важно следить за своим физическим состоянием и регулярно посещать специалистов.
Необходимо придерживаться определенных рекомендаций:
- Избегать любых травм носа и его окружающей области.
- Уменьшить интенсивность физических упражнений.
- Принимать лекарства, назначенные врачом.
- Избегать посещения саун и принятия горячих ванн.
Процедуру закрытой репозиции часто относят к пластической хирургии. Она должна быть выполнена в течение первых 5 дней после получения травмы, так как после этого начинается процесс костного сращения. Восстановление перегородки в этом случае будет затруднительным, а болевые ощущения могут быть более интенсивными. Некоторые московские врачи отказываются проводить эту процедуру при раннем обращении пациента, ссылаясь на сильный отёк носовой полости. Однако такое решение носит ошибочный характер.
Процедуру начинают с применения местной анестезии, вводя в носовые проходы ватные тампоны, пропитанные раствором лидокаина. После этого делается инъекция с анестетиком.
Врач-лор давит большими пальцами на перегородку носа, чтобы вернуть костные отломки на место. Для этой процедуры также используются специальные инструменты, такие как элеваторы Волкова.
Для выполнения процедуры инструмент вводится в носовую полость, после чего им приподнимают отломок и возвращают его в исходное положение.
Весь процесс занимает всего несколько минут. После процедуры в ноздри помещаются специальные ватные тампоны, которые придают форму носу и останавливают кровотечение. Удаление тампонов происходит на следующий день.
После проведения репозиции, важно для пациента в течение месяца избегать интенсивных физических упражнений и не носить очки. Для облегчения дыхания рекомендуется применять сосудосуживающие капли.
Стоимость ринопластики может варьироваться. Она зависит от сложности и продолжительности операции. Наша клиника предлагает индивидуальный подход к каждому пациенту, что позволяет найти оптимальное решение по доступной цене. На нашем сайте есть специальный раздел, где вы можете узнать стоимость ринопластики.
Виды репозиции
Восстановление костных отломков на исходные позиции возможно различными методами. Определение подходящего способа лечения для каждого отдельного пациента остается за решением врача.
Существует три основных типа репозиции:
- Метод с использованием пальцев. Этот метод используется, когда необходимо исправить боковое смещение отломков костей. Специалист возвращает смещенный участок в исходное положение одним нажатием.
- Инструментальный метод. Этот подход включает в себя применение элеваторов Волкова. Врач сначала прикладывает его к наружной части носа, определяя глубину введения, а затем после применения анестезии вводит в нос, приподнимая костные отломки и восстанавливая изначальную форму носа.
- Пальце-инструментальный метод. Этот метод используется в случаях, когда у пациента ярко выраженное западение носовой спинки с сильным боковым смещением. Вместо элеваторов Волкова здесь используется специальный носовой расширитель и марлевые турунды. Расширителем открываются носовые проходы с одновременным возвращением костей на место, а затем в них вставляются плотные марлевые турунды, предварительно смазанные вазелином.
При наличии открытого перелома носа специалист сначала проводит обработку раны специальными антисептическими средствами, после чего осуществляет удаление всех мелких обломков. Затем выполняется процедура репозиции.
Репозиция после срастания костей
При наличии закрытого перелома, весь процесс проводится при помощи местного наркоза, который обеспечивает достаточное обезболивание. Кроме того, все манипуляции выполняются врачом вручную.
Важно осознавать, что коррекцию необходимо проводить лишь в случае свежего повреждения. Если прошло более 20 дней после перелома, то вернуть носу исходную форму сможет только специалист по пластической хирургии. Причина заключается в том, что образование костной мозоли занимает до 10 дней.
Если пациент обратился к врачам спустя 20 дней после получения травмы, операция будет отложена на 6 месяцев, так как это необходимо для полного срастания костной ткани.
Перепозицию после срастания костей выполняют в условиях общего наркоза. Медицинский специалист повторно переламывает нос, после чего возвращает его в правильное положение. Операция может включать как боковую, так и прямую остеотомию. В процессе хирургического вмешательства врач также корректирует положение перегородки.
Оперативное вмешательство завершается установкой марлевых тампонов, которые помогут удерживать костные отломки в нужном положении и предотвратят кровотечение.
Иногда, чтобы закрепить тампоны, используется специальная лонгета из гипса. Она крепится на лице с помощью медицинского скотча. Обычно медики прибегают к этому методу фиксации, когда необходимо обработать большое количество мелких осколков.
Извлечение тампонов производится спустя несколько дней. Эту процедуру должен выполнить медицинский специалист. Неправильное извлечение тампонов может привести к разъединению костных осколков и повторному повреждению мягких тканей.
Открытый и закрытый способ
Используется закрытый метод репозиции, когда в месте перелома отсутствуют открытые раны, то есть кожа остается неповрежденной. Если линия перелома не усложненная или имеет поперечную форму, то операция выполняется вручную.
Сначала конечность удлиняется. Хирург, который специализируется на травматологии, вместе со своим ассистентом раздвигает костные обломки до тех пор, пока между ними не образуется расстояние, достаточное для того, чтобы ловкие пальцы могли выровнять ось поврежденной кости. При этом ассистент должен удерживать конечность в суставе выше места перелома, что создает эффект противоположного растяжения.
После достижения необходимого расстояния врач использует осторожную пальпацию для вращения части конечности вокруг оси до тех пор, пока костные фрагменты не выровняются должным образом. Это прекращает дальнейшее смещение, однако такой результат может быть временным.
Причина заключается в том, что закрытая процедура не позволяет установить специальные фиксаторы на кости, что делает остеосинтез невозможным. В результате часто происходит вторичное смещение, требующее более серьезного вмешательства – настоящей операции. Обычно такая репозиция костей рекомендуется для следующих видов переломов:
- плечевого сустава;
- кисти руки;
- предплечья;
- носовой кости;
- голени;
- стопы.
К переломам, требующим закрытой репозиции, относятся случаи, когда необходимо применить скелетное вытяжение для восстановления поврежденных костей голени, бедра, плеча, пальцев или предплечья. Этот метод заключается в установке конечности на специальную шину, после чего кость вытягивается специальной спицей и фиксируется скобой.
Открытая репозиция используется при повреждении кожных покровов, что является основным показанием для этой процедуры. Еще одним случаем, когда назначается данное лечение, является невозможность вправления множественного перелома. Это объясняется тем, что при наличии нескольких обломков их нельзя сопоставить без обнажения костной ткани. Если какой-либо костный фрагмент прикреплен к мышцам, то закрытое вмешательство неэффективно, так как при напряжении мышц обломок снова смещается. Именно поэтому требуется более серьезная операция.
Если у вас есть открытая позиция, то можно использовать металлический фиксатор для фиксации.
Преимущество открытого совмещения заключается в его открытости. В отличие от альтернативного метода, здесь можно использовать металлический фиксатор.
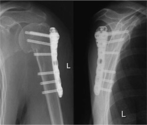
Этот метод известен как остеосинтез. Для его проведения могут применяться различные инструменты, такие как винты, шпицы и другие.
Аппарат Илизарова заслужил хорошую репутацию благодаря своей уникальной конструкции, включающей четыре кольца наружной фиксации, удерживаемые на спицах, пронизывающих костные обломки. Одной из особенностей этого аппарата является возможность удлинения кости до четырнадцати сантиметров. Кроме того, после применения аппарата пациент может сразу начать двигать конечностью и даже ступать на травмированную ногу.
Разумеется, у каждого способа лечения есть свои недостатки. При использовании остеосинтеза металлический материал проникает непосредственно в кость, что может привести к возникновению инфекции и развитию остеомиелита. Тем не менее, преимущества этого метода намного значительнее, особенно учитывая их большее количество. Среди них:
- надежное закрепление;
- пациент способен ходить через три дня после проведения операции;
- фиксация переломов костей сохраняется в течение тридцати дней, пока не наступит полное сращивание, что позволяет пациенту вести обычный образ жизни.
При проведении ручной репозиции костных отломков и нанесении гипсовой повязки следует учитывать определенные особенности. После изучения рентгенограмм и определения степени смещения отломков производится их репозиция путем нанесения давления, за которым следует повторное рентгенологическое исследование.
Если слияние не завершилось полностью, требуется ручное вмешательство, фиксация и последующее проведение рентгенологического обследования. Натяжение в процессе вмешательства должно быть умеренным и осторожным, исключая резкие движения. Однако, при травмах эпифизов длинных костей, может потребоваться применение значительной силы.
Проведение вытяжения требуется в случае травмы длинных костей с их смещением
Если происходит повреждение длинных костей с смещением, когда один конец кости находится поверх другого, требуется применить вытяжение. Однако важно избежать ошибки в виде слишком короткого вытяжения. Большинство переломов имеют неправильную конфигурацию и несколько выступов, которые мешают отломкам занять правильное положение. Поэтому необходимо немного растянуть конечность, чтобы нарушить это сцепление, и продолжать умеренное натяжение в течение пяти или десяти минут.
Подразделение переломов и симптоматика
Важно осознавать, что переломы костей носа могут иметь различные типы повреждений и представлять несколько вариантов.
Это может быть закрытая, открытая, форма смещения и перелома носовой перегородки.
При наличии отёка со ссадинами можно говорить о закрытой форме травмы. Открытая травма, в свою очередь, характеризуется повреждением костей и кожных покровов, часто сопровождающимся образованием костных осколков.
Характерной чертой перелома со смещением является неравномерность структуры носовых тканей, возможные повреждения кожи и признаки скрытого вида травмы.
При переломе носовой перегородки обычно происходит западание носа внутрь.
Особенности переломов костей носа необходимо учитывать, и при их определении важно немедленно обратиться к специалисту — хирургу.
Признаки перелома костей носа обычно включают в себя:
- Избыточное или недостаточное кровотечение.
- Состояние шока с потерей сознания.
- Отёк тканей носа, скул и глаз.
- Кровяные «нити» в глазных яблоках.
- Нарушение функции дыхания.
- Раны с осколками.
- Болевой синдром в носовой области.
- В месте перелома и под глазами отмечаются синюшные кровоподтёки.
Повреждения костей носа могут проявляться не только основными признаками, которые видны в течение первых 24 часов после получения травмы, но также сопровождаются повышением температуры тела, размягчением тканей и покраснением места повреждения. Эти симптомы могут указывать на наличие инфекции, вызванной вредоносными микроорганизмами.
Частые вопросы
Какие методы используются для репозиции костных отломков?
Для репозиции костных отломков могут применяться методы открытой репозиции с фиксацией внутренним остеосинтезом, методы закрытой репозиции с использованием внешних фиксаторов, а также методы минимально инвазивной репозиции с использованием эндоскопических технологий.
Какие особенности следует учитывать при репозиции костных отломков?
При репозиции костных отломков необходимо учитывать анатомические особенности конкретного отломка, степень его смещения, возможные повреждения окружающих тканей, а также возможные осложнения, связанные с процессом заживления.
Каковы основные принципы успешной репозиции костных отломков?
Основными принципами успешной репозиции костных отломков являются точное восстановление анатомических отношений, стабильная фиксация отломков, минимизация повреждений окружающих тканей, предотвращение инфекций и своевременная реабилитация после операции.
Полезные советы
СОВЕТ №1
При репозиции костных отломков следует использовать точные и надежные методы фиксации, такие как внутренняя фиксация с использованием пластин и винтов, внешняя фиксация с помощью фиксаторов или использование костных штифтов.
СОВЕТ №2
Необходимо уделить особое внимание точной анатомической репозиции костных отломков, чтобы восстановить правильное положение костей и обеспечить правильное заживление.
СОВЕТ №3
После репозиции костных отломков важно обеспечить правильную реабилитацию пациента, включая физическую терапию и контроль за нагрузкой на поврежденную конечность, чтобы избежать осложнений и обеспечить полное восстановление функций.










