Мостовидные системы широко используются в современной стоматологии благодаря своим многочисленным преимуществам. Более 30 лет стоматологи успешно применяют мосты для замены одного, двух или более зубов, что позволяет восстановить функцию жевания без влияния на вкус, тактильные ощущения и чувствительность к температуре. Эти системы отвечают эстетическим требованиям современного человека независимо от возраста и пола. Кроме того, пациенты быстро привыкают к мостовидным системам, что облегчает их ношение.
Сущность мостовидных моделей, виды по материалам
Модель является ортопедической системой для постоянного ношения, состоящей из опорных коронок и искусственных зубов, размещенных между ними. Это позволяет установить зубной мост на 3 зуба, а также на 1 или 2. В некоторых случаях коронка может быть установлена на 4 зуба, заменяя передние зубы. Главное требование заключается в наличии опорных зубов с обеих сторон от патологии зубного ряда. Они должны быть полностью залечены и запломбированы, так как будут выдерживать усиленное жевательное давление.
Существуют различные виды зубных мостов в зависимости от используемого материала:
-
Металлические мосты являются прочными и долговечными, но их эстетические характеристики оставляют желать лучшего. Они могут вызывать металлический привкус и аллергические реакции у некоторых пациентов.
-
Металлокерамические мосты также являются прочными и долговечными, но благодаря керамике они имеют лучшие эстетические свойства. Однако иногда металлический базис может просвечиваться сквозь керамический материал.
-
Цельнокерамические мосты не имеют металлической базы, что делает их более эстетичными. Однако они могут быть менее прочными и долговечными по сравнению с другими моделями.
-
Пластмассовые мосты являются бюджетным вариантом протеза и используются временно. Они подходят большинству пациентов, так как пластмасса является гипоаллергенным материалом. Однако они менее прочные и долговечные по сравнению с другими видами мостов.
-
Металлопластмассовые мосты сочетают в себе преимущества пластмассовых и металлических мостов. Они являются более надежными и долговечными, но все же имеют ограниченный срок службы.
При выборе типа зубного моста необходимо учитывать как его прочность и долговечность, так и эстетические свойства, чтобы получить оптимальный результат.
Виды мостов по способу производства и соединения
Существуют три метода изготовления несъемных мостовидных протезов:
-
Цельнолитый зубной мост: он изготавливается из однородного материала, что придает ему повышенный комфорт и прочность. Фото ниже показывает пример такого моста.
-
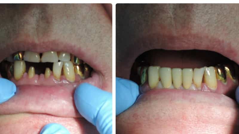
Штампованный (паяный) протез: он включает опорные коронки и искусственные зубы, которые спаиваются друг с другом с использованием различных металлов. Такие модели могут вызывать дискомфорт при ношении и чаще повреждаются и разрушаются.
-
Адгезивные протезы: они изготавливаются непосредственно в ротовой полости человека с использованием современных композитов. Для их производства требуется небольшая обточка опорных зубов. Полученный протез не имеет опорных коронок и представляет собой дугу из стекловолокна, которая опирается на выемки в опорных здоровых зубах. На эту дугу крепится искусственный зуб. Эта конструкция считается наименее прочной и применяется только для замены одного зуба.
Все мостовидные протезы имеют промежуточную часть между опорными коронками. Эта часть может иметь различные виды крепления на слизистую поверхность:
-
Промывная конструкция предусматривает наличие пространства между слизистой и мостом, что облегчает уход и снижает риск развития зубного камня, кариеса и воспалительных процессов.
-
Касательная система позволяет протезу касаться слизистой поверхности одной стороной. Она используется для протезирования передней области зубов, которая отвечает за функционирование и эстетический вид ротовой полости. Пример такого моста показан на фото ниже.
-
Седловидная конструкция полностью закрепляется на слизистой без просвета. Этот вариант не самый прочный и долговечный, и он также снижает функциональность зубного ряда. Однако иногда он необходим при протезировании передних зубов.
Как устанавливают мостовидный протез
Многие люди интересуются процессом установки моста на зубы: сколько времени это занимает и сколько этапов в нем присутствует.
Для начала стоматолог проводит санацию полости рта, лечит зубы и десны, пломбирует корневые каналы и т.д. Особое внимание уделяется зубам, которые будут служить опорой для моста. Врач проводит их обработку и пломбирование, а затем придает им нужную форму для установки опорной коронки. Если зубы сильно повреждены, то они могут быть укреплены специальными вкладками. Весь этот процесс называется препарирование под протез.
На следующем этапе врач вместе с пациентом выбирает цвет искусственных зубов. Затем делается слепок обеих челюстей, который отправляется в лабораторию, где технолог изготовит индивидуальный мост на зубы.
Обычно процесс изготовления протеза занимает от 2 до 3 недель. В это время пациенту предлагается установить временный пластмассовый протез, чтобы защитить подготовленные опорные зубы и вернуть эстетичный вид зубного ряда.
После изготовления индивидуальной конструкции она примеряется пациенту и подгоняется. Если нет дискомфорта или особых пожеланий, система закрепляется, плотно прижимаясь к зубам. Затем проверяется правильность прикуса, смыкание всех зубов, отсутствие различий в цвете эмали и т.д. Для закрепления модели врач использует стоматологический цемент, который соединяет опорные зубы, коронки и мостовидный протез.
После установки моста на зубы стоматолог дает рекомендации по правильному уходу за несъемной конструкцией.
Проблемы после установки конструкции
Ортопедические конструкции имеют ограниченный срок службы и требуют правильного ухода и регулярной гигиены. Если зубной мост начинает шататься, это может означать, что его срок службы подошел к концу. Причиной также может быть износ материала или развитие кариеса и воспалительных процессов под опорными коронками. В случае шатания или поломки зубного моста, необходимо немедленно обратиться к стоматологу. Самостоятельное удаление моста запрещено, чтобы избежать повреждения оставшихся зубов. Врач аккуратно снимет мост и установит новый, используя свежий стоматологический цемент. Если зубной мост уже сломался или выпал, необходимо незамедлительно обратиться к врачу, так как опорные зубы становятся уязвимыми к инфекциям. Иногда поломка или шатание протеза может быть связано с ошибками в технологии монтажа, подгонки или обточки зубов. В этом случае врач должен бесплатно исправить работу с гарантией качества. При правильном уходе и регулярных посещениях врача для подгонки, зубной мост может прослужить многие годы и подарить вам здоровую и красивую улыбку.
https://www.youtube.com/watch?v=Ea4Viaqc1FA






