Операция по удалению невриномы
Хирург назначает операцию, когда у пациента проявляются выраженные симптомы и опухоль быстро растет. Хирургическое вмешательство представляет собой метод полного излечения, защиты лицевого нерва от повреждений, предотвращения парезов и гидроцефалии.
Необходимо быть готовым к операции. За неделю до назначенной даты следует прекратить принимать лекарства, разжижающие кровь, согласно рекомендациям врача. За 2 дня до операции пациенту рекомендуется принимать глюкокортикостероиды. В день операции пациенту назначают антибиотики, чтобы исключить возможные инфекционные заболевания.
Процедура выполняется удобным способом, выбор которого зависит от местоположения невриномы и размеров опухоли. Продолжительность операции составляет от 6 до 12 часов. Методы хирургического вмешательства различаются в зависимости от доступа к опухоли:
- процедура транслабиринтного вмешательства включает создание отверстия в кости черепа за ухом и удаление сосцевидного отростка височной кости. Пациенту предварительно сообщается о возможной потере слуха в оперируемом ухе после операции;
- операция ретросигмовидного доступа представляет собой вскрытие черепной коробки возле уха в области ближе к затылку, с последующим удалением опухоли. Преимущество этой процедуры заключается в возможности сохранения слуха у пациента;
- при доступе сквозь среднюю ямку черепа разрез выполняется над ухом с помощью трепанации височной кости, после чего невринома удаляется через внутренний слуховой проход.
Лечение невриномы с использованием оперативного метода может вызвать ряд осложнений, таких как ощущение сухости в глазах и появление звона в ушах, головная боль и нарушение координации, а также онемение лицевых мышц.
В течение первой недели реабилитации пациент находится в хирургическом отделении медицинского учреждения, после чего обычно происходит выписка домой. В первые дни после операции врач назначает пациенту лекарства, которые поддерживают весь организм и нервную систему, а затем выписываются препараты, предотвращающие возникновение рецидивов.
Восстановительные процедуры включают упражнения, направленные на восстановление двигательной активности мышц лица. Питание должно содержать большое количество витамина С и полиненасыщенных жирных кислот. Во время восстановительного периода следует исключить из рациона кофе и шоколад, так как они стимулируют нервную систему, а также жирные, острые и соленые блюда. После хирургического удаления невриномы восстановление может занять от полугода до года. После операции рекомендуется регулярно проходить МРТ в течение 7 лет, чтобы исключить возможный рецидив.
Морфология, причины и механизмы возникновения акустической болезни
Новообразование — это сгусток, который имеет круглую или неправильную форму и плотную текстуру. Он окружен соединительной капсулой, а внутри содержит кистозные полости с коричневатой жидкостью. Цвет новообразования зависит от его кровоснабжения и может быть:
- с бледно-розовым оттенком и рыжими участками (чаще всего),
- с синюшным оттенком (при венозном застое),
- с буро-коричневым оттенком (при кровоизлияниях).
Доброкачественная опухоль состоит из клеток, формирующих структуру, напоминающую частоколы, с участками волокон между ними. При росте ткани они уплотняются, и происходит отложение пигмента, содержащего оксид железа (гемосидерин).
Восьмая пара черепно-мозговых нервов включает в себя вестибулярную часть, которая передает информацию от вестибулярных рецепторов в центры мозга, а также слуховую часть. В большинстве случаев невринома развивается в вестибулярной части и, по мере своего роста, оказывает давление на смежные области. Поскольку рядом с нервом преддверно-улитковой области проходят и другие нервы (тройничный, отводящий, блуждающий, языкоглоточный, лицевой), их сдавливание также проявляется характерными признаками.
Происхождение этой доброкачественной формации до сих пор не полностью понятно.
Прямая зависимость односторонних неврином от этиологических факторов не установлена. У пациентов с генетически обусловленным нейрофиброматозом II типа наблюдается стабильное проявление двусторонней формы. Если у родителей присутствует патологический ген, существует 50% риск передачи заболевания потомству.
Существует три этапа развития вестибулярной шванномы:
- Первая фаза характеризуется размерами опухоли до 2-2,5 см, что приводит к потере слуха и нарушениям равновесия.
- Во второй фазе опухоль разрастается до размеров 3-3,5 см («грецкий орех»), оказывая давление на ствол мозга. Это может вызвать нистагм и нарушение координации.
- Третья стадия наступает при увеличении размеров опухоли до размеров куриного яйца, сопровождаясь сдавлением церебральных структур, нарушениями глотания и слюноотделения, а также ухудшением зрительной функции. На этой стадии происходят необратимые изменения в тканях мозга, и, поскольку шваннома становится неоперабельной, наступает летальный исход.
Народные средства от шванномы
Для остановки увеличения опухоли можно воспользоваться натуральными препаратами. Применение таких средств следует согласовать с лечащим врачом. Народные методы проявляют свою эффективность лишь в сочетании с медикаментозной терапией.
Омела белая. Для приготовления отвара необходимо залить 2 столовые ложки сухого препарата 2,5 стаканами кипятка. Затем закрыть емкость и настоять всю ночь. В течение 3 недель пациент должен употреблять по 100 мл процеженного отвара трижды в день перед едой. Каждый день следует готовить свежий отвар. После короткого перерыва курс лечения следует повторить. Рекомендуется проводить до 4 курсов лечения омелой белой.
Каштан лошадиный. 50 граммов препарата помещают в стеклянную емкость и заливают 0,5 литра водки. Тщательно закрывают и помещают сосуд в темное прохладное место на 2 недели. Каждые 3 дня встряхивают настойку. Готовое средство процеживают. Добавляют по 10 капель настойки в стакан воды. Принимают трижды в день в течение 14 дней. Через 2 недели курс повторяют.
Домашние методы лечения невриномы подходят только в случае отсутствия аллергических реакций на их составляющие. Применение отваров следует избегать, если они негативно влияют на усвоение лекарственных препаратов или проведение дополнительных терапевтических процедур.
Патологическая анатомия
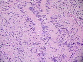
Изображение невриномы под микроскопом
Макроскопически невринома проявляется в виде плотного, ограниченного узла округлой, овальной или неправильной формы. Поверхность узла неровная и бугристая. Опухоль покрыта соединительной тканью. На разрезе ткань опухоли имеет бледно-серый цвет, с участками, которые могут быть желтоватыми или ржавыми из-за жировых отложений, или иметь буро-коричневый оттенок (последствия старых кровоизлияний). Окраска ткани может изменяться в зависимости от условий кровоснабжения опухоли; при венозном застое она может приобретать синюшный оттенок. В ткани опухоли часто встречаются кисты различных размеров, заполненные буро-коричневой жидкостью. Кистозное перерождение может затрагивать всю опухоль или ее часть. Часто наблюдаются обширные области фиброза[28].
Невринома представляет собой скопление клеток с ядрами, напоминающими веретено, и образует структуры в виде «палисад» (ядерные палисады, тельца Верокаи) с участками, содержащими волокна[29].
Обычно выделяют два гистологических типа неврином: тип А, или тип Верокаи, и тип Б, или тип Антони. Это разделение условное и не имеет практического значения для диагностики. Борис Георгиевич Егоров, советский нейрохирург и академик АМН СССР, обнаружил при изучении невриномы слухового нерва, что их структурное разнообразие зависит не от первоначальных свойств опухолевой ткани, а от деструктивных и рубцовых процессов.
Мельчайшая структура опухоли на различных этапах развития может различаться в зависимости от степени дистрофических изменений и нарушений кровообращения. Нарушения кровообращения приводят к накоплению гемосидерина и росту фиброзной ткани, что приводит к разнообразной гистологической картине.
Количество кровеносных сосудов в ткани опухоли может значительно варьироваться. В периферических областях обычно присутствует обширная сосудистая сеть, в то время как в центральных участках их число может колебаться от отдельных до образований, напоминающих по структуре кавернозную ангиому. Стенки сосудов обычно тонкие и иногда состоят из одного слоя эндотелия, однако также могут встречаться сосуды с явно утолщенными гиалинизированными стенками.
Симптомы
При обычном прогрессировании заболевания первыми признаками обычно являются нарушение слуха (у 95% пациентов) и редко возникающее головокружение. В большинстве случаев (в 60% случаев) единственным симптомом начальных стадий болезни являются акустические эффекты в виде шума, звона или гула на стороне новообразования. Иногда снижение слуха происходит резко и заметно. Однако ухудшение слуха может проходить почти незаметно для пациента, а шумы утихать с появлением других признаков.
В самом начале в двух из трёх случаев возникают и проявляются проблемы с равновесием и ощущениями вестибулярного аппарата.
- постепенно возникающим головокружением, характерным для данного заболевания,
- трудностями с равновесием при поворотах головы и туловища,
- усиленным нистагмом при взгляде в сторону, где находится опухоль.
Наиболее часто поражаются одновременно различные части слуховых и вестибулярных нервных структур. Однако иногда возможно поражение только одной из этих частей.
В некоторых случаях возникают вестибулярные кризы, которые проявляются тошнотой и рвотой в сочетании с головокружением.
При увеличении образования и поражении смежных структур симптомы поражения могут усиливаться. Однако размер опухоли не всегда отражает степень проявления симптомов. Кроме размера, степень зависит от направления роста и местоположения опухоли. Например, большая опухоль может проявлять менее яркую симптоматику, чем маленькая, и наоборот.
Сдавливание нервных структур в области тройничного нерва может вызывать ноющие боли в лице, а также онемение и покалывание в зоне поражения. Эти боли могут быть временными, но могут также стать постоянными. Иногда их можно спутать с зубной болью или принять за невралгию тройничного нерва. Иногда боль может возникать в затылочной области от пораженного нерва.
В то же время, возникают признаки, связанные с поражением лицевого и отводящего нервов на периферии (иногда – немного позже) в ходе этих процессов:
- неравенство лица из-за ослабления мимических мышц,
- потеря ощущения на 2/3 передней части языка,
- нарушение выделения слюней,
- скрещивание взгляда,
- видение двойное с смещением (диплопия).
Если доброкачественная опухоль начинает распространяться внутри слухового прохода, то признаки давления могут проявиться еще на ранних этапах заболевания.
Дополнительное повышение уровня образования может привести к нарушению работы гортани, нарушению процесса глотания и глоточного рефлекса, а также потере чувствительности на задней части языка.
Среди поздних признаков заболевания можно выделить увеличение давления внутри черепа, что приводит к нарушению функции зрения, интенсивной головной боли, сосредоточенной в затылочной и лобной областях. Также возникает регулярная тошнота.
Подробнее о невриноме
Невринома представляет собой опухоль, которая происходит от слухового нерва и формируется из шванновских клеток, отвечающих за поддержку тканей черепа и слуховых нервов. Эти клетки были названы в честь Теодора Шванна, немецкого физиолога, который открыл их. Помимо термина «невринома», опухоль слухового нерва также известна как акустический невринома или вестибулярная шваннома.
Онкологический процесс в слуховых нервах прежде всего нарушает основные важные функции этих нервных стволов, которые заключаются в передаче звуковых сигналов в определенные области мозга для последующей обработки, что обеспечивает нашу способность слышать. Кроме того, эти нервные стволы также отвечают за работу вестибулярного аппарата – особого устройства, позволяющего нам контролировать положение тела в пространстве, например, уверенно стоять на ногах. Интересный факт, что часто невринома образуется именно на вестибулярном сегменте слухового нерва.
Невринома слухового нерва представляет собой доброкачественную опухоль, также известную как акустическая невринома.
Невриномы встречаются не так уж часто – на 10 опухолей центральной нервной системы приходится одна невринома слухового нерва. Интересно, что у женщин эти новообразования регистрируются чаще, чем у мужчин. Обычно эта патология поражает лиц в возрасте от 30 до 40 лет, находящихся в самом активном периоде жизни, в то время как у детей она практически не встречается.
Невринома слухового нерва представляет собой серьезное заболевание, для которого необходимо своевременное выявление и лечение.
Несколько слов о причинах развития невриномы
Что касается возможных причин возникновения этой патологии, то, к сожалению, на данный момент медицина не может предложить ответ на этот вопрос. Более того, специалисты испытывают затруднения в определении возможных факторов риска, которые могут привести к появлению невриномы. В некоторых случаях развитие невриномы слухового нерва происходит на фоне нейрофиброматоза – заболевания, обусловленного генетическими факторами.
Нейрофиброматоз характеризуется образованием нейрофибром – доброкачественных опухолей в различных частях ЦНС (центральной нервной системы), включая слуховой нерв. Поэтому, если в вашей семье были случаи нейрофиброматоза, вероятно, у вас повышенный генетический риск.
Нормально, что невринома, возникающая в результате нейрофиброматоза, обычно развивается с обеих сторон.
Симптомы заболевания
Как уже упоминалось, опухоль, возникающая на слуховом нерве, постепенно подавляет его важные функции. Следует отметить, что это новообразование растет медленно и в течение продолжительного периода – до нескольких лет. В течение всего этого времени оно может оставаться незаметным. Затем, по мере увеличения давления на нервный ствол, начинает проявляться характерная симптоматическая картина:
- ухудшение слуха на стороне, где опухоль образовалась, может происходить постепенно или возникнуть внезапно;
- звон и посторонние звуки в пораженном ухе;
- нарушение равновесия, неуверенность в движениях, ощущение головокружения;
- непроизвольные движения глаз (нистагм);
- боли или даже паралич (парез) лицевого (тройничного) нерва, начиная с онемения и покалывания одной стороны лица.
Появление шума в ушах и ухудшение слуха могут рассматриваться как первые признаки развития невриномы слухового нерва.
В зависимости от размера опухоли, медики выделяют три этапа заболевания:
- Размер опухоли не превышает 2-2,5 сантиметров в диаметре;
- Достигает размеров грецкого ореха;
- Имеет величину куриного яйца.
Обычно признаки усиливаются по мере увеличения размеров (стадии) опухоли, но в редких случаях даже небольшая невринома может оказывать давление на окружающие ткани и вызывать характерные симптомы.
Важно помнить, что невринома может долгое время оставаться незаметной.
Диагностика
Для максимально точной выявления заболевания в настоящее время у медицинских экспертов имеется возможность применения разнообразных средств, которые помогают определить наилучший метод лечения. Для выявления невриномы используются следующие подходы:
- исследование с использованием компьютерной томографии (КТ) и магнитно-резонансной томографии (МРТ);
- проведение рентгенологического обследования;
- ультразвуковое исследование (УЗИ);
- электронистагмография для фиксации непроизвольных движений глазных яблок;
- составление аудиограммы для измерения уровня слуха и проведение слуховых тестов;
- проведение биопсии опухолевых тканей.
Новейшие сообщения
Обнародовано новое заболевание мышечной тканиНовые лекарства от рака появятся в Москве 1 апреляУникальная вакцина от гриппа разработана в России
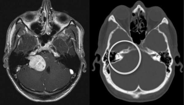
Магнитно-резонансная томография (МРТ) является одним из методов выявления невриномы
История обнаружения и изучения
В 1777 году Сендифорт провел аутопсию, в результате которой было описано плотное доброкачественное новообразование на слуховом нерве, которое оказалось связанным с выходом преддверно-улиткового и лицевого нервов от ствола головного мозга и распространялось в слуховой проход височной кости. Исследователь пришел к выводу, что это образование стало причиной глухоты пациента в течение его жизни.
В 1830 году Чарльз Белл впервые поставил пациенту диагноз при жизни, который был подтвержден после смерти больного. Белл опирался на частые приступы головной боли, нарушение слуха, потерю вкусовой чувствительности, тригеминальную невралгию и другие жалобы пациента, который скончался через год после обследования.
Первая операция по удалению инкапсулированного образования мостомозжечкового угла была проведена Чарльзом Баллансом в 1894 году. Несмотря на то, что во время хирургического вмешательства были повреждены тройничная и лицевая нервные структуры, и из-за осложнений потребовалась энуклеация глаза, операцию можно считать успешной, поскольку после нее пациент прожил более 12 лет.
Первооткрыватель нейрохирургии в США, Харви Кушинг, преодолел значительные трудности на пути к снижению послеоперационной смертности. После неудачной операции в 1906 году, в результате которой пациент скончался, Кушинг решил не проводить полное удаление невриномы, что привело к снижению смертности до 40%. В дальнейшем, благодаря усовершенствованию методов, удалось снизить послеоперационную смертность до 7,7%. Однако лишь 13 из 176 неврином, удаленных Кушингом, были полностью удалены.
Начиная с 1917 года, последователь Уолтера Денди, Чарльз Кушинг, улучшал методику, используя доступ к задней черепной ямке через субокципитальный путь, который стал возможным благодаря проникновению через заднюю часть затылочной кости. Это привело к снижению уровня летальности до 2,4%. Однако и по сегодняшний день хирургическое вмешательство при акустической шванноме сопряжено с серьезными рисками для здоровья пациентов.
Поэтому использование радиохирургии Ларсом Лекселлом значительно улучшило эффективность лечения неврином размером до 3 см.
Лечение
Методы лечения включают хирургическое удаление опухоли или её облучение. В некоторых ситуациях достаточно проведения динамического наблюдения. Прогноз зависит от размеров опухоли. При небольших размерах облучение на радиохирургических установках приводит к прекращению роста в 95 % случаев. Микрохирургическое удаление в большинстве случаев позволяет полностью избавиться от опухоли. Однако существует высокий риск потери слуха на одном ухе и повреждения лицевого нерва. Послеоперационная смертность составляет менее 1 %.
Показания к выбору метода лечения
Показания к хирургическому удалению
- Появление свежих симптомов или усиление уже имеющихся признаков у молодых людей[6]
- Увеличение размеров опухоли на последующих снимках[6]
- Продолжающийся рост после частичного удаления у молодых пациентов[6]
- Расширение опухоли после проведения радиохирургического вмешательства[6]
Показания для лучевой терапии или радиохирургии
- Рост опухолей небольших или средних размеров у пожилых пациентов с нечеткими симптомами[6]
- Длительное увеличение после частичного удаления у пожилых пациентов[6]
- Общие заболевания, существенно повышающие риск операции[6]
Показания для наблюдения
- Длительное история нарушений слуха[6]
- Незначительные признаки у пожилых пациентов[6]
- Случайное обнаружение во время проведения компьютерной или магнитно-резонансной томографии[6]
Хирургия
Определение подхода к хирургическому удалению опухоли зависит от различных факторов, включая возраст пациента, уровень потери слуха, размер опухоли и опытность хирурга в использовании различных методов доступа[33][34][35][36][37].
Сегодня в хирургии невриномы слуховых нервов применяются три типа доступов: доступ к средней черепной ямке, транслабиринтный и субокципитальный. У каждого из них есть свои плюсы и минусы.
Радиотерапия и радиохирургия
При облучении опухоли не удается полностью избавиться от нее. Однако в большинстве случаев эти методы лечения помогают предотвратить дальнейший рост опухоли и избежать необходимости хирургического вмешательства (особенно важно для людей с сопутствующими заболеваниями)[1]. При небольших размерах невриномы эти методы предпочтительнее операции.
Лечение болезни Невринома слухового нерва
В настоящий момент существуют три метода лечения невриномы слухового нерва – оперативное вмешательство, радиохирургия и наблюдение. Решение о выборе метода лечения принимается индивидуально для каждого пациента.
Существует три подхода к лечению невриномы слухового нерва:
- Это стратегия ожидания, при которой не используются никакие лечебные процедуры, а просто осуществляется наблюдение за увеличением опухоли и регулярное измерение ее размеров, а также оценка степени проявления симптомов.
- Использование лучевой терапии.
- Применение хирургических методов лечения.
Наблюдение
Если небольшая опухоль обнаружена или проявления опухоли минимальны или отсутствуют, и если общее состояние пациента и его пожилой возраст не позволяют провести активное хирургическое вмешательство, то проводится наблюдение за ростом невриномы и ее проявлениями.
Медицинский специалист может предложить проведение периодических проверок слуха и выполнение томографии для определения скорости роста опухоли. Если наблюдается увеличение размеров опухоли и прогрессирующее ухудшение слуха, требуется начать лечение.
Излучение для лечения
У врача есть несколько вариантов лучевой терапии в его арсенале. Один из таких методов, который часто используется для лечения опухолей головного мозга, называется «гамма-нож». Этот метод позволяет точно направить радиацию в место опухоли без необходимости проведения хирургических операций или разрезов.
В начале процедуры облучения гамма ножом под местной анестезией на голове пациента устанавливается стереотаксическая рама. Затем с использованием данных компьютерной томографии и компьютерной системы планирования создается план облучения. Пациент помещается на кушетку, а его голова фиксируется в системе позиционирования. Во время облучения радиацией поддерживается голосовая связь с пациентом, и также ведется видеонаблюдение за его состоянием. Процесс облучения не вызывает боли. Гамма нож относится к современным методам лучевой хирургии и обладает рядом преимуществ по сравнению с другими методами лучевой терапии.
Цель лучевой терапии заключается в торможении роста опухоли. Кроме того, гамма нож успешно используется для облучения оставшихся опухолей после хирургического вмешательства, когда хирургический нож не может достичь глубоко расположенной опухоли, минуя повреждение здоровых тканей мозга. Продолжительность курса лечения гамма ножом может варьироваться от нескольких недель до нескольких месяцев и даже лет, в зависимости от размеров опухоли и эффективности проводимого облучения. Результативность облучения гамма ножом регулярно оценивается с применением компьютерной томографии.
Среди возможных негативных последствий использования гамма-ножа можно выделить ощущение тошноты, дискомфорт в области шеи и на месте крепления стереотаксической рамы в ближайшем временном отрезке. В долгосрочной перспективе они могут проявиться в параличе лицевого нерва и ухудшении слуха.
Лечение с применением хирургических методов
Главная цель хирургического лечения заключается в удалении невриномы, сохранении целостности лицевого нерва и предотвращении потери слуха. Хирургическое вмешательство проводится в условиях общей анестезии и включает в себя разрез и трепанацию черепа. После операции пациент находится под наблюдением в больнице в течение нескольких дней. Восстановительный период может занимать от 6 до 12 месяцев.
К осложнениям хирургического лечения, так же как и других операций, относятся: инфекционные осложнения, кровотечение и проблемы с анестезией. При радиохирургии также существует риск паралича лицевого нерва и потери слуха.
Диагностика
Для выявления симптомов и определения методов лечения, врачу необходимо первоначально установить точный диагноз, что требует проведения следующих исследований:
- Звуковая карта. Позволяет оценить состояние слуха пациента и определить, какие звуки он воспринимает хорошо, а какие — плохо.
- Электронистагмография. Позволяет оценить состояние нерва, ответственного за нормальное функционирование вестибулярного аппарата.
- Рентген, томография и УЗИ. Позволяют получить наиболее точное изображение головного мозга и определить местоположение невриномы, её внешний вид и размер.
Кроме этого, медицинский специалист задает пациенту вопросы о начале проявления симптомов и о наличии у родственников доброкачественных опухолей. Также врач осматривает уши, чтобы удостовериться, что симптомы не связаны с каким-либо нарушением в наружном слуховом проходе.
После установления диагноза, медицинский специалист может приступить к разработке оптимального плана лечения.
Народные средства
В дополнение к представленным вариантам, возможно проведение лечения невралгии в домашних условиях. Тем не менее, перед использованием указанных методов настоятельно рекомендуется проконсультироваться с медицинским специалистом.
Обратите внимание! Народные методы лечения не являются заменой основного лечения и могут применяться лишь в качестве дополнительной поддержки в сочетании с лечением, предписанным врачом. . Экстракт из плодов каштана лошади
Экстракт из каштана для приготовления настойки
Для приготовления настойки конского каштана необходимо настоять 50 граммов сырья в пол литре водки в течение двух недель. Важно периодически встряхивать настойку в процессе. Готовую настойку следует принимать по 10 капель (при необходимости можно разбавить в воде) три раза в день. Продолжительность курса составляет 2 недели. После перерыва рекомендуется повторить курс до 6 раз.
Напиток из омелы белой
Для приготовления настойки используется 2 столовые ложки белой омелы, которую заливают 500 граммами кипятка и настаивают ночь. Принимать настойку следует три раза в день перед едой. Курс приема составляет три недели с перерывом, и рекомендуется провести 4 таких курса. Важно готовить настойку ежедневно, чтобы она была всегда свежей.
Облучение неврином слухового нерва
Первые эксперименты по облучению невриномы слухового нерва в Центре Нейрохирургии были предприняты еще в конце прошлого века, однако настоящий прорыв произошел только после открытия радиологического отделения. Широкое применение методов стереотаксической радиохирургии (гамма-нож) и фракционной стереотаксической радиохирургии (радиотерапии) изменило тактику лечения невриномы в целом, а также хирургического вмешательства.
Для лучевого облучения невриномы слухового нерва в Центре применяются только внешние источники излучения. Основная цель лучевой терапии заключается в контроле роста опухоли. Достижение стабильности процесса и даже уменьшение размеров опухоли наблюдается в 85—94% случаев, что соответствует мировым стандартам. Еще одним показателем эффективности лучевой терапии является высокий уровень (до 98%) отсутствия необходимости в операции после проведения облучения.
При проведении стереотаксической радиохирургии, доза излучения может быть подана в виде единой фракции на установке «Гамма-нож» или на линейном ускорителе. Стереотаксические методы используются для точного введения дозы в соответствии с формой и местоположением опухоли, что сравнимо с хирургическим методом. Пациенты, чей размер опухоли не превышает 30 мм, подлежат радиохирургическому лечению, поскольку облучение более крупных неврином может повлечь за собой высокий риск развития послелучевых осложнений. Облучению подвергаются как пациенты, у которых опухоль является первичной, так и те, кто перенес операцию по частичному удалению опухоли.
При лечении радиацией излучение подается порциями. Наведение выполняется как с применением стереотаксиса, так и системы трехмерных координат. Среди всех методов лечения невриномы слухового нерва фракционированное облучение применяется в последнюю очередь, чаще всего в качестве дополнения к хирургическому лечению, если опухоль не была полностью удалена.
Метод радиохирургии в Центре Нейрохирургии был внедрен недавно, но уже доказал свою высокую эффективность. Появившись как альтернатива хирургическому лечению, на сегодняшний день он занимает важное место среди методов лечения невриномы слухового нерва, часто применяясь после хирургического вмешательства.
К этому методу лечения обращаются в случаях, когда пациенту уже исполнилось 65 лет, у него имеется сопутствующая патология, которая не позволяет провести операцию, имеется история неудачного оперативного вмешательства и/или возвращения опухоли, или же по каким-то причинам пациент не желает проходить хирургическое лечение.
При всех указанных выше условиях диаметр опухоли не должен превышать 30 миллиметров, включая внутриканальный элемент.
Стандартная максимальная доза радиации при использовании радиохирургии в клинической практике составляет от 20 до 34 Гр, а минимальная доза — 12 Гр. Часть клеток безусловно погибает и подвергается лизису, что приводит к уменьшению размеров опухоли. Выжившие клетки теряют способность к репродукции. Эндотелиальная пролиферация и гиалинизация сосудистой стенки приводят к уменьшению накопления контраста в опухоли при проведении исследований после лечения. Уменьшение размеров опухоли наблюдается в 42-75% случаев, при этом в 20-40% случаев размеры опухоли остаются неизменными. В 20% случаев опухоль продолжает расти после лечения.
Среди осложнений радиохирургии могут встречаться кратковременные преходящие неврологические нарушения. Наиболее серьезным осложнением радиохирургии является развитие гидроцефалии, требующей проведения шунтирующих операций в 3-13% случаев.
Наблюдение за пациентом с невриномой слухового нерва
Если невринома слухового нерва небольшая или если симптомы опухоли не вызывают беспокойства у пациента, если возраст и общее состояние здоровья не позволяют провести хирургическое лечение, врач может решить применить наблюдательный подход. Пациенту рекомендуется регулярно проходить МРТ и проверять слух, чтобы контролировать ситуацию. Если опухоль начнет расти или появятся патологические признаки, то план лечения будет скорректирован.
Для улучшения самочувствия пациентов могут быть рекомендованы различные медикаменты. Среди них мочегонные препараты (например, фуросемид, верошпирон, гипотиазид), противовоспалительные средства (такие как индометацин, ибупрофен, ортофен), цитостатики (например, фторурацил, метотрексат) и обезболивающие препараты (например, нимесил, найз, кеторол).
Помимо обычной медицины, пациенту могут рекомендовать применение средств народной медицины. Сюда относятся лечебные травы, из которых готовят отвары и настойки: белая омела, каштан обыкновенный и княжик сибирский, семена мордовника, эвкалипт, девясил и сабельник болотный, цветы липы, боярышник, донник.
https://youtube.com/watch?v=KjYEdk_QDCY
Частые вопросы
Каковы симптомы невриномы слухового нерва?
Симптомы невриномы слухового нерва могут включать постепенную потерю слуха, шум в ушах, головокружение, нестабильность при ходьбе, а также проблемы с равновесием.
Как диагностируется невринома слухового нерва?
Диагностика невриномы слухового нерва включает проведение аудиометрии, магнитно-резонансной томографии (МРТ) и компьютерной томографии (КТ) для определения размера и местоположения опухоли.
Полезные советы
РЕКОМЕНДАЦИЯ №1
Обратитесь к врачу-оториноларингологу для проведения комплексного обследования и уточнения диагноза невриномы слухового нерва.
РЕКОМЕНДАЦИЯ №2
Изучите возможные методы лечения невриномы слухового нерва, включая хирургическое вмешательство, радиотерапию и наблюдение.
РЕКОМЕНДАЦИЯ №3
Обсудите с врачом возможные осложнения и побочные эффекты от выбранного метода лечения, чтобы быть готовым к возможным последствиям.









