Общая информация о диагностике
Исследование носовых отделов с помощью компьютерной томографии считается процедурой, не вызывающей боли, и включает в себя простые шаги.
Инструкция по выполнению:
- Пациента помещают на специальную кушетку, которая соединяется с томографическим устройством, и фиксируют в нужном положении с помощью ремней. Это действие выполняется для того, чтобы исследованию не мешали непроизвольные движения.
- Во время процедуры вокруг пациента действуют различные рентгеновские трубки, сканеры и детекторы. Они обеспечивают четкость полученного изображения. Срезы напоминают тонкие ломтики, которые, наложенные друг на друга, формируют полноценное 3D изображение дыхательной системы.
- Исследование занимает в среднем 10 минут и не требует длительного пребывания в клинике.
- Если необходимо, вводят контрастное вещество в вену, чтобы улучшить качество изображения на экране. После введения средства пациент может почувствовать металлический привкус во рту. Тепло распространяется по телу, возникает желание посетить туалет. Эти симптомы исчезают самостоятельно и не наносят вреда организму.
- При проведении томографического обследования пазух носа пациент находится в кабинете один. Исключением является обследование младенца, при котором один из родителей может находиться рядом с ним.
Перенос мероприятия прошел успешно для больных, без возникновения негативных последствий.
Как проходит компьютерная томография носа
Обычно для проведения компьютерной диагностики околоносовых пазух используется мультиспиральный томограф. Этот прибор состоит из платформы, на которой пациент лежит во время исследования, и большого томографического кольца. Внутренняя часть кольца оборудована специальными сканирующими элементами.
Человек, заходящий внутрь томографа, подвергается небольшому воздействию рентгеновских лучей, которые применяются для создания детальных снимков состояния внутренних органов и тканей человеческого организма.
Видео:
В момент проведения КТ исследования околоносовых пазух врач имеет возможность поддерживать разговор с пациентом при помощи специального коммуникационного устройства, установленного внутри томографической камеры.
Использование рентгеновской установки позволяет создавать изображения внутренних органов и тканей под разнообразными углами.
Множество сканов объединяются и компонуются в одно цельное изображение, а изучение этого изображения поможет получить полную информацию о диагностике.
Мультиспиральные томографические аппараты обладают рядом уникальных функций:
- разработка точной дозы рентгеновского излучения;
- осуществление пошагового сканирования органов и тканей;
- запись полученных данных;
- анализ и цифровая обработка информации;
- подготовка изображений, отражающих реальное состояние изучаемой области.
Обычно КТ сканирование зоны носа и околоносовых пазух занимает около десяти минут. Во время всей процедуры пациент должен оставаться неподвижным внутри томографа.
Для обеспечения этой неподвижности медики используют специальные ремни, которые ограничивают движения пациентов.
Перед проведением КТ сканирования не требуется никакой специальной подготовки.
Люди, которые готовятся к компьютерной диагностике, могут продолжать питаться и пить, заниматься спортом и вести свой обычный образ жизни.
Лимитации возникнут лишь при назначении врачом особых методов диагностики, таких как компьютерная томография с ангиографией, которая включает введение специального контрастного вещества.
В данном случае человеку, который готовится к проведению диагностики, не рекомендуется употреблять пищу за десять часов до начала процедуры.
Всякие металлические объекты, находящиеся в области воздействия рентгеновских лучей, способны исказить точность информации, полученной в процессе проведения исследования.
Видео:
Поэтому важно убедиться, что ваша одежда для процедуры не имеет никаких металлических деталей.
Интерпретацией данных компьютерной томографии околоносовых пазух занимается специалист — либо рентгенолог, либо отоларинголог, обладающий необходимой квалификацией.
Компьютерная томография носа и околоносовых пазух
Томография пазух носа – эффективный метод диагностики, который обеспечивает подробное изучение структуры и состояния слизистой оболочки носа. Этот вид исследования позволяет выявить врожденные аномалии, травматические повреждения, воспалительные процессы, а также опухоли как доброкачественные, так и злокачественные. Одним из неоспоримых преимуществ данного метода является его абсолютная безопасность для пациента и возможность получения максимально детального изображения даже глубоких структур.
Показания к проведению процедуры
Если у пациента имеются следующие симптомы и состояния, ЛОР-врач может рекомендовать проведение компьютерной томографии носовых пазух:
- повреждение носа (трещина, вывих, перелом);
- необычные выделения из носа (зеленоватые, желтоватые, кровянистые и другие);
- попадание чужеродного предмета в носовую полость;
- диагностированный гайморит, фарингит и другие воспалительные заболевания в области носа;
- подозрение на новообразование в носовой полости;
- детальное изучение анатомического строения данной области перед проведением хирургической операции и лечебных манипуляций.
Цена проведения компьютерной томографии носа и околоносовых пазух может изменяться в зависимости от уровня профессионализма врача-диагноста и модели диагностического оборудования. Тем не менее, стоимость не всегда отражает качество проведения исследования. В ФНКЦ ФМБА России данное обследование осуществляется опытными специалистами в области компьютерной диагностики на надежном оборудовании по умеренной цене.
Противопоказания
Существуют определенные условия, при которых не рекомендуется проведение компьютерной томографии носовых пазух. К ним относятся:
- ожидание ребенка;
- страх перед замкнутым пространством (например, перед процедурой в томографе);
- невозможность сохранить неподвижность в течение длительного времени из-за боли, неврологических расстройств и других причин;
- присутствие металлических имплантатов в организме;
- вес пациента более 200 килограмм (из-за технических ограничений оборудования для томографии).
Компьютерная томография носовых пазух может проводиться как с использованием контрастного вещества (для выявления новообразований), так и без него (для обнаружения повреждений костей скелета и воспалительных процессов). Если нет необходимости в контрастном веществе, специальная подготовка к исследованию не требуется. В случае необходимости контрастного усиления пациенту предварительно назначается лабораторное исследование крови для оценки уровня креатинина.
Возможности метода КТ пазух носа
Исследование полости носа и пазух с помощью компьютерной томографии позволяет сканировать ткани и органы таким образом, что можно изучить все их образования и особенности строения в любой плоскости и на любую толщину, детально анализируя каждый миллиметр. Современные томографы предоставляют наиболее точные данные, не имеющие аналогов среди других методов исследования.
При выполнении компьютерной томографии на экране можно четко увидеть контуры, плотность, форму и структуру внутренней оболочки полостей пазух, слезных протоков, а также наличие минерализации. Это позволяет провести точную оценку размеров, состояния и структуры соустьев пазух носа. В процессе КТ-исследования быстро и безошибочно выявляются осложнения и последствия синуситов, такие как перегородочный (пресептальный) целлюлит, абсцессы краниального и орбитального отделов. Также при проведении КТ-исследования можно обнаружить врожденные или приобретенные нарушения вентиляции полости носа и ее придаточных пазух, такие как искривление перегородок, образование шпор, разрастание, изменения строения соустий и другие.
Для точной и своевременной диагностики воспаления синусов (фронтальных, гайморовых, клиновидных, ситовидных) невозможно обойтись без проведения КТ-исследования пазух носа.
Симптомы синусита, которые могут быть обнаружены при проведении томографии:
- Уникальные особенности строения носовых раковин, такие как парадоксальный их ход или недоразвитие;
- Выявление дополнительных отверстий во внутренних стенках верхнечелюстных пазух;
- Сужение просвета сообщений между пазухами, как анатомическое, так и функциональное, сопровождаемое характерным буллезным вздутием клеток (увеличением их воздушности);
- Легкая отечность слизистой выстилки толщиной всего в несколько миллиметров;
- Выявление воспалительного выпота (экссудата) внутри полостей.
Исследование компьютерной томографии пазух и полости носа позволяет провести даже различение образований слизистой оболочки, составить представление о злокачественности небольшой опухоли, определить первичный источник образования других разрастаний, опухолей.
Однако, если требуется быстрая и удобная диагностика повреждений слизистой оболочки, рекомендуется использовать метод магнитно-резонансной томографии (МРТ).
Для изучения опухолевых образований в пазухах носа или их полости, а также для более точного определения стратегии хирургического лечения, КТ выполняется с предварительным внутривенным введением рентгенконтрастного средства.
Доза облучения
Многих людей, которые проходят данный метод исследования носа и придаточных пазух, интересует вопрос о дозе облучения. Поэтому целесообразно более детально изучить этот вопрос. Количество получаемого облучения зависит от трех основных факторов:
- использование рентгеновских лучей для диагностики;
- время, затраченное на проведение компьютерной томографии;
- вид используемой техники.
Также тип ткани, который будет облучен лучами, может оказать влияние на количество облучения.
Измерение радиации может проводиться в миллизивертах (мЗв) или зивертах (Зв). Для оценки уровня радиации, которой подвергается пациент при проведении КТ, полезно узнать, сколько облучений человек получает в повседневной жизни. В среднем, за год это количество составляет 10–15 мЗв. Максимально допустимое значение равно примерно 100 мЗв.
Когда диагностируют синусит, выполняется КТ, при которой уровень облучения может варьироваться от двух до пяти миллизивертов. Этот уровень представляет собой значительную нагрузку для организма, поэтому рекомендуется проводить подобные исследования не чаще, чем раз в полгода под тщательным наблюдением лечащего врача.
Показания к проведению компьютерной томографии носоглотки и ППН
Если вы стремитесь пройти обследование как можно быстрее, обратитесь к вашему лечащему врачу и изложите ему свои симптомы. КТ околоносовых пазух назначается в следующих ситуациях:
- изобильные гнойные, слизистые, серозные и кровянистые выделения из носовых ходов в любое время суток;
- боль при выдохе или на вдохе;
- ощущение дефицита воздуха при дыхании через нос;
- заложенность и тяжесть в пазухах носа;
- неприятные покалывания и болезненность при ощупывании пазух носа;
- гнойно-некротические процессы в слезном мешочке;
- воспаление носослезных каналов;
- изобильные и частые носовые кровотечения;
- воспаление синусов (синусит);
- тяжелые травматические повреждения костей лица и головы;
- признаки злокачественных или доброкачественных опухолей в полостях черепа;
- интенсивные зубные боли, которые не устраняются приемом анальгетиков;
- подозрение на абсцессы или флегмоны верхней челюсти;
- паразитарная инвазия;
- остеомиелит кости;
- врожденные генетические аномалии структуры черепа;
- появление отечности лица;
- головные боли, не связанные с повышением давления, мигренями или травмами головы;
- хронический насморк;
- неприятные ощущения в области барабанной перепонки.
Доза облучения
Доза излучения при проведении компьютерной томографии обеих придаточных пазух составляет менее 0,4 мЗВ. Такое излучение не представляет серьезной опасности для организма и не увеличивает риск развития онкологических заболеваний. Обычно рекомендуется не проходить данное обследование более двух раз в течение одного года, поскольку это может негативно сказаться на здоровье. Наблюдая за процедурой на видео, можно убедиться в том, что она практически не представляет опасности с точки зрения рентгеновского облучения.
Противопоказания
Использование компьютерной томографии для обследования пазух недопустимо при наличии следующих состояний:
- во время беременности;
- при грудном вскармливании;
- в возрасте до четырех лет;
- при наличии заболеваний сердечно-сосудистой системы (например, инфаркта, острого коронарного синдрома);
- после перенесенного инсульта;
- при страхе замкнутых пространств;
- если имеются психические расстройства, такие как шизофрения, острый психоз или делирий;
- в состоянии алкогольного или наркотического опьянения;
- при передозировке лекарственных препаратов;
- у лиц с высокой температурой тела выше субфебрильной;
- у людей, страдающих паническими атаками.
Если у вас есть сомнения относительно вашего вхождения в эти категории граждан, обязательно проконсультируйтесь со своим лечащим врачом. В случае наличия противопоказаний к процедуре, ее можно заменить другими альтернативными методами, выбранными пациентом и его специалистом. Применение КТ для области околоносовых пазух при наличии выраженных противопоказаний может привести к ухудшению состояния пациента и обострению уже имеющихся заболеваний.
КТ или МРТ что выбрать
Если требуется провести проверку и осмотр околоносовых пазух, возникает вопрос о предпочтительном методе: компьютерная томография (КТ) или магнитно-резонансная томография (МРТ)? Эти методы взаимно дополняют друг друга, поэтому сложно дать однозначный ответ на этот вопрос. Также нельзя утверждать, что один из них лучше другого.
С использованием компьютерной томографии возможно точно оценить состояние и целостность костной ткани. Этот метод позволяет выявить наличие мелких трещин и других патологий в носовых пазухах, которые не всегда видны на рентгеновских снимках или МРТ. Кроме того, КТ используется для обнаружения опухолей различного размера, которые в определенных случаях могут проникать сквозь стенки околоносовых полостей из соседних областей и частей тела.
Необходимо помнить, что компьютерная томография выполняется с использованием небольшого шага, что позволяет получить более детальное изображение и обеспечивает высокую точность диагностики. Что касается магнитно-резонансной томографии, она используется для более подробного изучения состояния мягких тканей в медицинских целях.
Проведение МРТ-исследования необходимо в случае подозрения на различные заболевания, такие как формирование опухолей, полипоз, а также при атрофии оболочки. Этот современный метод обследования является эффективным при изучении лабиринта клиновидной пустоты. Во время МРТ врач имеет возможность исключить различные грибковые синуситы и выявить разнообразные воспалительные процессы. Также он может обнаружить более сложные и опасные осложнения, такие как злокачественные образования внутри черепа.
Когда речь идет о МРТ, она используется для медицинских исследований слизистых тканей. Необходимость проведения МРТ возникает при подозрении на различные патологии, такие как развитие опухолей, полипоз, а также при атрофии оболочки. Этот современный метод обследования является эффективным при изучении лабиринта клиновидной пустоты. Врач, проводящий МРТ, имеет возможность полностью исключить различные грибковые синуситы и выявить различные воспалительные процессы. Кроме того, этот метод позволяет выявить более сложные и опасные осложнения, такие как злокачественные образования внутри черепа.

Уровень достоверности и точности МРТ немного выше, чем у КТ. Именно по этой причине МРТ является более затратной процедурой и занимает немного больше времени. Простая компьютерная томография используется только в ситуациях экстренной необходимости.
Если необходимо выполнить простое профилактическое обследование области носа, то можно воспользоваться ультразвуковым исследованием (УЗИ). В случае, если требуется получить наиболее полные компьютерные данные, необходимо провести магнитно-резонансную томографию (МРТ). Это более затратная, однако качественная и безопасная процедура. Единственное, на что следует быть готовым, это более высокие затраты на процедуру.
Противопоказания к КТ пазух носа
Одним из основных противопоказаний для проведения КТ пазух носа является наличие беременности. Это исследование никогда не проводится во время ожидания ребенка, независимо от его продолжительности. Это объясняется тем, что даже небольшие дозы рентгеновского облучения могут оказать тератогенное воздействие на ткани плода. Также КТ не выполняется у пациентов с массой тела более 200 кг.
Применение компьютерной томографии с введением контрастного вещества не рекомендуется в следующих случаях:
- Появление аллергических реакций при использовании контрастных веществ, содержащих йод.
- Серьезные проблемы с функционированием почек, которые могут привести к задержке вывода контрастного вещества из организма, усиливая его токсическое воздействие.
- Кормление младенца грудным молоком, так как контрастное вещество легко проникает в него. Для предотвращения негативного воздействия контраста на организм ребенка рекомендуется воздержаться от кормления грудью не менее чем в течение двух дней после проведения КТ.
- Тяжелое общее состояние пациента вследствие травм, потери сознания и других факторов. В таком состоянии КТ с использованием контрастного вещества представляет собой значительное нагрузку для пациента и может нанести вред его здоровью.
Стоимость обследования
Компьютерная томография (КТ) широко используется в крупных городах и административных центрах из-за своей популярности. В меньших населенных пунктах, таких как поселки и деревни, ее не применяют из-за отсутствия квалифицированных специалистов и специализированного оборудования, доставка и обслуживание которого требует значительных финансовых затрат.
Значительным преимуществом компьютерной томографии перед традиционным рентгеновским обследованием является высокая информативность и диагностическая ценность: КТ выявляет гораздо больше имеющихся патологий и не требует дополнительных методов исследования.
Стоимость проведения процедуры практически одинакова в различных населенных пунктах. Информацию о цене томографии обычно предоставляет лечащий врач, который назначает данную процедуру, и может помочь с выбором медицинского учреждения. Цена также зависит от того, какой томограф используется для проведения исследования, срочности процедуры и квалификации медицинского персонала.
Чем более мощный томограф используется, тем более точные и высококачественные изображения получаются — это позволяет врачу обнаружить патологии в стенках носоглотки и носа без необходимости проведения дополнительных процедур. В среднем, стоимость одного рентгеновского снимка с расшифровкой составляет около 5 тысяч рублей. Минимальная цена за процедуру ППН составляет 2,5 тысячи рублей.
Расшифровка результатов компьютерной томографии околоносовых пазух
При анализе изображений врач обращает внимание на:
- Сбалансированность правой и левой сторон носа и пазух. Этот этап поможет выявить анатомические особенности и скорректировать возможные последующие хирургические процедуры;
- Положение перегородки носа и костей, формирующих пазухи;
- Объем пазух, наличие опухолей и выступов;
- Пути дренирования пазух;
- Уровень пневматизации пазухи;
У каждого заболевания есть свои особенности на рентгеновском снимке.
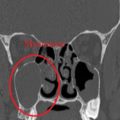
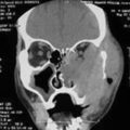
| Заболевание | Характеристика патологии | Фотография | Описание снимка |
|---|---|---|---|
| Острый синусит | Воспаление околоносовых пазух, протекающее в острой форме с присоединением болей, температуры, отека слизистой | ![]() |
Снижение воздушности за счет большого количества экссудата, возможно наличие четко горизонтальной линии, говорящей о большом количестве жидкости |
| Хронический синусит | Воспаление слизистой оболочки пазух, протекающее длительное время с периодами ремиссии и обострения | ![]() |
Снижение воздушности, увеличение толщины слизистой оболочки |
| Гранулематозное воспаление (гранулематоз Вегенера) | Аутоиммунное заболевание, при котором вырабатываются антитела к собственным здоровым клеткам организма | ![]() |
Ограниченное или распространенное утолщение перегородки, ее изъязвление и перфорация в околоносовые пазухи, утолщение костных стенок |
| Мукоцеле (слизистая киста) околоносовых пазух | Кистозное образование, как следствие закупорки выводных протоков | ![]() |
Снижение воздушности, изменение формы и размеров пазухи, истончение образующих стенок |
| Полипоз | Доброкачественные новообразования различных размеров, состоящие из соединительной ткани и фибриновых волокон | ![]() |
Наличие сформированных патологических масс с одной или двух сторон неоднородной структуры |
| Одонтогенные опухоли и кисты | Образования, причиной которых могут стать заболевания верхней челюсти, иногда являются осложнением неправильного хирургического вмешательства | ![]() |
Новообразование в области верхнечелюстной пазухи, дефект костной ткани |
| Рак околоносовых пазух | Появление атипичных клеток и злокачественных новообразований, имеющих неограниченный рост. Способен метастазировать | ![]() |
Опухоль с мягкой консистенцией и неоднородной плотностью, наличие участков некроза, нарушение костных структур |
Существует еще одно заболевание, которое развивается в околоносовых пазухах, но, к сожалению, не имеет специфических признаков при проведении инструментальной диагностики. Речь идет о грибковом поражении пазух носа, на компьютерной томографии его часто путают со злокачественными образованиями или кистой.
Самым полезным способом в этой ситуации является проведение лабораторного анализа и эндоскопии.
КТ с применением седативных препаратов
Иногда перед таким компьютерным обследованием рекомендуется принять легкие седативные препараты. Эти лекарства используются, чтобы обеспечить полную неподвижность пациента во время процедуры, поскольку даже небольшое движение рук, ног или тела может исказить результаты сканирования. Размытые снимки могут затруднить диагностику для специалиста. В случае нечетких изображений томография носовых пазух может потребоваться повторно.
Компьютерная томография (КТ) предоставляет возможность оценить целостность костных тканей носа.
Если использование ремней для фиксации пациента не достаточно эффективно, можно применить легкий седативный препарат. В этом случае используются безопасные лекарственные средства, подходящие для детей в определенной дозировке. После применения такого препарата ребенок будет спокойно лежать, не пытаясь освободиться из ремней, и не будет поворачивать голову. Применение легкого седативного препарата позволит провести обследование без стресса и не нанести вред психике. Препараты этой категории могут быть назначены людям в тяжелом или бессознательном состоянии. Если пациент по какой-либо причине не в состоянии контролировать свою психику, ему могут быть назначены седативные препараты.
Частые вопросы
Какие преимущества предоставляет компьютерная томография при обследовании околоносовых пазух?
Компьютерная томография позволяет получить более детальное изображение околоносовых пазух, чем обычные рентгеновские снимки, что помогает выявить различные патологии, включая полипы, опухоли и воспалительные процессы.
Каковы основные показания для проведения компьютерной томографии околоносовых пазух?
Основные показания для проведения компьютерной томографии околоносовых пазух включают хронические заболевания синусов, рецидивирующие инфекции, а также подозрение на опухоли или другие образования в этой области.
Как происходит процедура компьютерной томографии околоносовых пазух?
Пациенту предлагается лечь на стол сканера, после чего сканер начинает вращаться вокруг головы, создавая серию снимков околоносовых пазух. Процедура обычно занимает несколько минут и является безболезненной.
Полезные советы
СОВЕТ №1
При подготовке к обследованию околоносовых пазух при помощи компьютерной томографии, убедитесь, что вы не носите металлические украшения или другие металлические предметы, которые могут мешать проведению процедуры.
СОВЕТ №2
Перед процедурой обязательно сообщите радиологу о наличии аллергии на конtrastное вещество, если оно планируется использовать во время сканирования околоносовых пазух.











