Hallux valgus – это патология с выдвижением большого пальца стопы в плюснефаланговом суставе. Палец отходит кнаружи под углом по состоянию к остальным. Пациентки женского пола болеют чаще, примерно в 10 раз. Редко, но наблюдается в детском возрасте.
Причины и механизм развития халюс вальгус
Искривление формируется исподволь, на протяжении долгого времени. Заметным становится обычно в старческом возрасте. Разные степени халюс вальгуса дают отличимые признаки.
Основной причиной выступает дефект прочности соединительной ткани, ввиду которого формируется поперечное плоскостопие.
Дополнительные причины:
- большая суставная подвижность;
- варикоз;
- отягощенная наследственность по степеням Hallux valgus.
Вторичным отягчающим фактором является хождение в чрезмерно узких туфлях на шпильке. Иногда причиной выступает болезнь, которая затрагивает нормальную нервную работу мышц конечностей.
Важную роль в развитии патологического процесса играет неровное мышечное натяжение, обеспечивающее приведение и отведение пальца. При формировании экзостоза мышечный дисбаланс обостряется, плюснефаланговый сустав теряет стабильность. Нарост является следствием постоянного нажима обуви на боковую поверхность. Давление перераспределяется на головки III и II плюсневых костей, которые перегружаются во время хождения.
Степени развития вальгусной деформации
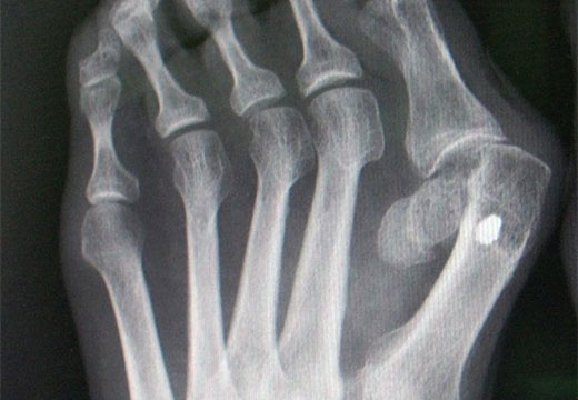
Диагноз выставляют, исходя из очной консультации, симптоматики и рентгена, где прицельно оценивается 1 палец и соседствующие анатомические структуры. Выраженность hallux valgus с определением степени устанавливается при сопоставлении 2 факторов: угла, образованного II и I плюсневыми костями, и угла отхода большого пальца к I плюсневой кости. При анализе снимков определяют стадию артроза. В некоторых эпизодах рентген дополняется магнитно резонансной или компьютерной томографией.
1 степень
Основные характеристики этой стадии вальгусной деформации – угол аномалии большого пальца стопы меньше 25 градусов, а угол между плюсневыми костями не более 12 градусов. Боль не выражена, может присутствовать дискомфорт. На этой стадии у людей молодых (у пожилых – при любом развитии вальгуса) проводится консервативная терапия для прекращения прогрессирования патологии и минимизации болей.
Рекомендовано:
- достижение оптимального веса для устранения высокого давления на ноги;
- ЛФК;
- использование ортопедической специальной обувной продукции;
- разделители между I и II пальцами для замедления отклонения.
Иногда начальная стадия косточка на ноге, при которой быстро образовывается, подлежит оперативному лечению. При одном методе сухожилие приводящей мышцы 1 пальца пересекают или смещают. Цель – возобновить нормальную работу приводящей и отводящей мышц. Иногда мягкотканные вмешательства сочетаются с хирургической деструкцией экзостоза и удалением бурсы по методу Шеде.
2 степень
Угол соотношения плюсневых костей ниже 18 градусов, угол отхода I пальца превышает 25 градусов. Болевые ощущения становятся более выраженными, возникают после интенсивной нагрузки. На данной стадии возможно оперироваться планово в условиях стационара.
3 степень
Угол между плюсневыми костями выходит за 18 градусов, угол отхода 1 пальца превышает 35 градусов. Стопа выглядит деформированной, распластывается, 1 палец накладывается на второй, образовывая так называемую «шишку». Этот косметический дефект заставляет пациентов подбирать соответствующую форме ноги обувь.
Нарост неявно гиперемирован, малочувствителен к пальпации. Кожа на нем может уплотняться по типу твердой мозоли, натоптыша. Возможно присутствие небольшого отека.
Финальная стадия проявляется болями при активности, вероятен болевой синдром по ночам. В I плюснефаланговом суставе возможно резкое ограничение двигательного объема. При интенсивных болях показаны противовоспалительные анальгезирующие гели, мазевые препараты. При сопровождающем артрозе в стадии стихания острого процесса назначают физиотерапевтические процедуры: озокерит, парафиновые аппликации, электрофорез с лекарственными препаратами.
В плане оперативного решения выполняют шевронную и остеотомию типа Scarf. При первой убирают малый V-образный фрагмент в удаленной части I плюсневой кости. При Scarf осуществляют распил в виде буквы Z на уровне всей I плюсневой кости, после части соединяют, закрепляя отломки винтовыми приспособлениями. В конце накладывается стерильная повязка. При реабилитации назначают ношение ортеза на протяжении полутора месяцев (сколько точно, сообщит хирург). Ногу можно нагружать сразу после оперативного этапа лечения, но дозировано, периодически давая отдых в приподнятом положении.
Противопоказания общие к проведению вмешательств: нарушения свертываемости крови, тяжелые патологии сердечно-сосудистой системы, тромбофлебит нижних конечностей.
Возможные осложнения и профилактика
Шишка в качестве бросающегося в глаза дефекта вызывает недовольство своим внешним видом, наложение пальцев заставляет искать оптимальную обувь. Плюснефаланговые суставы становятся уязвимыми в плане развития артроза с выраженным болевым синдромом. Все это приводит пациента на операцию, которая редко осложняется.
Осложнения:
- тромбоз;
- инфекция тканей;
- асептический некроз;
- неврологические нарушения.
В плане профилактики рекомендовано ношение обуви по размеру, на среднем каблуке, особенно при известном факте генетической предопределенности вальгуса. Полезны ЛФК, двусторонний массаж стопы.
Алгоритм:
- Охватить большой палец рукой и крутить мягко по часовой стрелке – 1 минуту.
- Затем против нее.
- Перекатывать бутылку стопой.
- Собрать небольшие предметы пальцами ноги.
На начальных стадиях полезны ортопедические стельки, разделители, спортом следует заниматься в специальной обуви.
Заболевание с образованием «косточки» на ступне встречается часто. Вылечить его доступными (народными или медикаментозными) средствами дома не представляется возможным. Радикально избавиться можно лишь хирургическим путем. Внимание должно уделяться профилактике образования. Для этого нужно держать вес в норме, правильно и разнообразно питаться. Не пренебрегать гимнастикой и отдыхом с приподнятыми ногами, особенно при работе, которая требует много времени проводить стоя. Вопрос службы в армии решается в индивидуальном порядке врачами. Оцениваются и сопоставляются нарушение статики стопы, наличие боли и возможность носить обувь военного образца.
Статья проверена редакциейСсылка на основную публикацию





