Лечение
Острый вид сиалоаденита поддается наилучшему лечению. В случае перехода заболевания в хроническую форму потребуется больше усилий и времени для его излечения.
Какие методы лечения применяются при сиалоадените? Специалисты, такие как стоматолог или терапевт, могут рекомендовать следующие препараты:
- Препараты, стимулирующие выделение слюны;
- Средства для снижения температуры тела;
- Препараты, уменьшающие воспаление;
- Препараты для борьбы с инфекциями;
- Пилокарпин в форме гидрохлорида;
- Препараты без стероидов, снижающие воспаление;
- Блокады с использованием новокаина;
- Препараты от боли.
Как можно еще излечить сиалоаденит? С помощью процедур физиотерапии:
- Применение сухих теплых повязок на зону поражения.
- Использование ультравысокочастотной терапии.
- Массажирование слюнных желез.
- Применение спирто-камфорных компрессов.
- Использование ламп Соллюкс.
- Излучение рентгеновскими лучами.
Помимо лекарственной терапии и процедур физиотерапии, в домашних условиях можно придерживаться специальной диеты и применять народные средства, которые усилят действие основных методов лечения:
- Для уменьшения возможных болевых ощущений при жевании и глотании пищу следует измельчать.
- Употребление жидкости в больших количествах, таких как отвары шиповника, чай, морсы, молоко и соки, способствует выработке слюны.
- Для полоскания рта рекомендуется использовать теплый солевой раствор (1 ч.л. соли на стакан воды).
- Постепенное рассасывание кислых продуктов, таких как долька лимона, квашенная капуста и сухарики, также может помочь.
При возникновении различных структурных изменений и осложнений в слюнных железах, когда лечение не приносит желаемого эффекта, может потребоваться обращение к хирургическим операциям и процедурам. В таких ситуациях специалисты могут применять гальванацию – метод воздействия током, проводить удаление камней, осуществлять дренаж слюнной железы с удалением ее содержимого и очищением антибактериальными растворами. В крайнем случае может потребоваться удаление слюнной железы.
Камни в слюнной железе могут быть лечены только хирургическим методом, при этом удаляются отложения и проводится очистка железы с применением антибиотиков. В случае, если восстановление железы невозможно, может потребоваться ее удаление.
Диагностика КТ, УЗИ, МРТ
Для подтверждения диагноза «сиалоаденит» и проведения дифференциальной диагностики рекомендуется выполнить компьютерную томографию (КТ), магнитно-резонансную томографию (МРТ) и ультразвуковое исследование (УЗИ).
Для проведения компьютерной томографии используется контрастное вещество, которое вводится в организм через вену. Пациенту рекомендуется прекратить употребление пищи и воды за 4 часа до начала процедуры. Само исследование занимает не более полутора часов, в течение которых пациент должен оставаться неподвижно лежащим на специальном столе.
Магнитно-резонансная томография (МРТ) выполняется похожим образом, однако этот метод диагностики считается более безопасным. Никакой специальной подготовки не требуется, и для процедуры используются безопасные контрастные вещества. С помощью полученного изображения врач может подробно изучить железу и окружающие ткани, выявляя мельчайшие изменения.
В процессе проведения ультразвукового исследования при сиалоадените можно заметить увеличение железы с изменением ее внутренней структуры. Ультразвуковая диагностика выполняется с целью разграничения опухолевых образований и отека. Во время проведения исследования пациент находится в положении лежа на спине с головой, слегка откинутой назад. УЗИ позволяет выявить осложнения воспалительных процессов, такие как кисты и абсцессы.
Как лечить воспаление слюнной железы
При возникновении воспаления слюнных желез, выбор метода лечения напрямую зависит от характера проявления симптомов, причины заболевания и возможных осложнений.
При острой форме сиалоаденита пациентов чаще всего направляют на госпитализацию. Также важно отметить, что неосложненное воспаление слюнных желез поддаётся консервативному лечению, однако в случае развития гнойных осложнений потребуется хирургическое вмешательство.
При лечении острого неспецифического сиалоаденита специалисты придерживаются следующих основных принципов:
- режим питания. Лечебное питание включает в себя употребление продуктов, способствующих увеличению выработки слюны. К таким продуктам относятся квашеная капуста, сухари, клюква, лимон;
- применение 1%-го раствора солянокислого пилокарпина, который принимается внутрь по 4-5 капель. Этот препарат способствует сокращению гладкой мускулатуры протоков слюнных желез, что также увеличивает выработку слюны;
- антибактериальная терапия. Применение антибиотиков при воспалении слюнных желез рекомендуется в случае бактериальной инфекции. В этом случае могут быть назначены Пенициллин или Гентамицин, которые вводятся непосредственно в проток слюнной железы, а также могут быть приняты внутрь или введены парентерально. Также используются антисептики, такие как Диоксидин и фурагинат калия, для промывания протоков желез;
- физиотерапевтическая терапия. В лечении сиалоаденита могут быть использованы УВЧ и электрофорез;
- новокаиново-пенициллиновые блокады. Эта процедура эффективно устраняет отек и воспаление в области железы и окружающих тканей;
- местная терапия. Для локального лечения используются компрессы с 30%-ным раствором димексида, которые накладываются на околоушную область один раз в сутки на 20-30 минут. Этот метод применяется только при воспалении околоушной слюнной железы.
При развитии гнойного процесса в слюнной железе требуется открытие и удаление гноя. При гангренозной форме воспаления слюнной железы рекомендуется провести полное удаление самой железы.
При остром эпидпаротите все пациенты обязательно получают этиотропную терапию с использованием противовирусных препаратов (например, Виферон, Лаферон, Интерферон и другие). Кроме того, используются жаропонижающие, болеутоляющие и противовоспалительные препараты в качестве симптоматической терапии (например, Ибупрофен, Парацетамол, Нимесулид и другие).
Лечение обострения хронического воспаления слюнных желез также осуществляется в соответствии с указанными выше принципами.
Во время улучшения состояния больных хроническим сиалоаденитом могут проводиться следующие медицинские процедуры:
- массажирование протоков слюнной железы;
- применение антибактериальных препаратов в проток железы;
- использование новокаиновых блокад в область железы;
- электрофорез с применением галантамина;
- терапия гальванизацией;
- введение препарата Йодолипол в область железы 3-4 раза в год;
- специальный рацион питания.
Необходимо также придерживаться правил гигиены для устной полости (производить чистку зубов дважды в сутки, прополаскивать рот после приема пищи, применять зубную нить и так далее).
Если рецидивы происходят часто, то рекомендуется провести операцию по удалению пораженной слюнной железы, так как практически невозможно вылечить хронический сиалоаденит консервативным методом.
Симптомы
Для того чтобы предотвратить осложнения при паротите, важно своевременно выявить и лечить заболевание. Какие же признаки свинки следует обратить внимание? Все зависит от тяжести заболевания. Мы рассмотрим наиболее распространенные симптомы. В течение 11-23 дней, известного как инкубационный период, симптомы могут отсутствовать. Человек будет вести привычный образ жизни, в то время как в его организме будет активно размножаться вирус. На этом этапе он уже представляет опасность для окружающих и может легко заразить их.
При наступлении первых признаков, они будут похожи на обычные симптомы вирусных инфекций, что затрудняет их отличие.
Первые признаки паротита:
- Боль в голове.
- Слабость.
- Ощущение тяжести в суставах и мышцах.
- Утрачивается желание к еде.
- Температура тела начинает подниматься.
Примерно через сутки начинают проявляться характерные признаки свинки: в области уха появляется заметная опухоль, ощущается боль, наблюдается сухость в полости рта. При этом поражаются слюнные околоушные железы. К этому вскоре может присоединиться воспаление подчелюстных и подъязычных желез. Визуально свинку трудно не заметить. У ребенка появляется опухоль желез, может также заметно увеличиться область под подбородком. На той стороне, где появляется опухоль, может даже оттопыриваться ухо. Из-за воспалительного процесса ребенку становится трудно глотать и жевать.
По отекам можно легко определить наличие паротита. Они возникают из-за поражения тканей вокруг железы и закупоривания выводных протоков желез. Отек не имеет четких границ и ощущается мягким на ощупь. У больных свинкой нарушается выделение слюны из-за воспаления слюнных подъязычных желез, что может привести к стоматиту. Воспалительный процесс в железе приводит к потере слюной своих антибактериальных свойств, что делает ее менее эффективной в борьбе с инфекцией. Это может вызвать нарушение обычного стула и боли в области живота из-за проникновения инфекции в организм. У ослабленного вирусом паротита организма труднее справиться с кишечной инфекцией из-за ослабленного иммунитета. Тяжесть течения паротита зависит от его формы.
Лечение
Лечение воспаления околоушной, подъязычной или другой слюнной железы зависит от типа инфекции и обычно включает в себя определенные тактики и схемы, которые назначает врач.
- Лечение сиаладенита, вызванного бактериями, включает в себя применение антибактериальных препаратов. Перед выпиской антибиотиков обязательно проводят бактериологическое исследование материала из очага инфекции и тест на чувствительность к препарату. Прежде чем приступить к лечению, необходимо дождаться результатов этих анализов.
- При обнаружении грибковой инфекции рекомендуется прием противогрибковых препаратов, поскольку антибиотики неэффективны против грибковых заболеваний.
- В случае вирусной природы заболевания назначают противовирусные препараты и проводят интерфероновую терапию.
- При гнойно-воспалительном процессе показано хирургическое вмешательство с последующей санацией очага инфекции.
- При возникновении стенозов производят бужирование протоков железы.
- Калькулезный процесс лечат путем удаления камней с помощью литотрипсии или литоэкстракции.
При комплексной терапии используются различные физиотерапевтические методики, включая гальванизацию, УВЧ, электрофорез, массаж и прогревание пораженной области. Также эффективны солевые компрессы, полоскания рта и ушей антисептическими растворами. Для подавления размножения бактерий применяются антисептики, такие как Хлоргексидин и Фурациллин.
Отличным выбором будет применение компрессов с использованием Димексида. Для устранения аллергических реакций врач назначает антигистаминные препараты, например, такие как Лоратадин, Цетрин.
Для пациента крайне важно соблюдать нормы гигиены и следовать специальной диете, включающей употребление продуктов в жидком или отварном виде. Важно избегать пищи, которая может стимулировать слюнотечение, а также употребления очень горячих или слишком холодных напитков и блюд, алкоголя и курения.
Воспаление слюнной железы у собак и кошек причины, симптомы и лечение
Воспаление слюнных желез у собак и кошек может быть вызвано несколькими факторами, такими как:
- повреждения от физических воздействий;
- проникновение вредоносных микроорганизмов в организм;
- интоксикация различными токсинами.
Болезнь также может проявляться в острой или хронической форме.
Подозрение на сиалоаденит у домашнего питомца может возникнуть из-за следующих признаков:
- заметный отек в области задней части нижней челюсти;
- местное повышение температуры в области пораженной слюнной железы;
- при ощупывании пораженной железы животное испытывает дискомфорт, поэтому будьте осторожны, чтобы избежать укуса;
- резкое уменьшение выделения слюны или его полное отсутствие;
- животное испытывает затруднения при повороте головы из-за отека и болезненности тканей;
- у животного снижен аппетит или оно полностью отказывается от пищи;
- повышение температуры тела;
- ухо со стороны воспаления смещено вниз;
- ощущается увеличение шейных лимфоузлов;
- после вскрытия гнойника наблюдается выделение гноя с неприятным запахом из фистулы;
- при воспалении подъязычной и подчелюстной слюнных желез у животного увеличивается и уплотняется язык, что затрудняет глотание, жевание, а также приводит к избыточному слюноотделению.
Для лечения сиалоаденита у собак и кошек используют спиртовые компрессы, блокады с новокаином, курс антибиотиков, УВЧ-терапию, электрофорез и применение мазей. При образовании гнойников рекомендуется проведение вскрытия, дренирования и промывания антисептиками.
Непрофессиональное обращение к ветеринару при воспалении слюнных желез у домашних питомцев может привести к образованию рубцов, которые могут затруднить движение головы и снизить слух у животного.
Что делать при воспалении слюнных желез чем лечить в домашних условиях
Домашнее лечение включает в себя прием рекомендуемых врачом лекарств, соблюдение гигиены полости рта и следование общим рекомендациям для предотвращения осложнений. Важно знать, какие средства использовать для полоскания и обработки полости рта. Дополнительные методы лечения включают применение народных средств, таких как настои, отвары, компрессы, мази и аппликации. Они помогают снять воспаление и уменьшить отек.
Какие методы лечения можно применить дома:
- лечение слизистой оболочки рта препаратами противовоспалительного действия;
- промывание рта настоями лекарственных трав;
- использование общеукрепляющих препаратов;
- нанесение компрессов на пораженную область.
Для предотвращения осложнений важно поддерживать чистоту полости рта. После каждого приема пищи рекомендуется промывать рот отварами трав или специальным ополаскивателем с антибактериальными свойствами
Людям, употребляющим табак, рекомендуется избавиться от этой привычки на время лечения. Также важно исключить употребление алкоголя, острых блюд, кислых продуктов, слишком соленой и перченой пищи. Воспаление протоков также требует соблюдения указанных правил питания.
Почему воспаляется слюнная железа
Основные инициаторы заболевания всегда представлены бактериями и вирусами, которые используют ослабленный иммунитет организма, недостаточную гигиену полости рта, простудные заболевания, вредные привычки и неправильное питание, стрессы, дефицит витаминов, перегрузки на работе, и начинают активно увеличиваться в численности. Они могут попасть в слюнную железу различными способами.
Самым распространенным способом заражения является путь через полость рта, где обитает большое количество стрептококков, стафилококков, колибактерий и анаэробной флоры. Реже бактерии могут попасть при воздушно-капельной передаче, через кровеносные сосуды и лимфу. Риск заболеть сиалоаденитом, то есть воспалением околоушных, подчелюстных или подъязычных слюнных желез, особенно увеличивается у тех, кто в этот период болеет или переболел кариесом, ангиной, острыми формами ОРВИ и респираторными заболеваниями, трахеитом, периодонтитом, фурункулезом, свинкой (паротитом) и даже конъюнктивитом. В группе риска также находятся люди, страдающие злокачественными опухолями, эндокринологическими заболеваниями, сахарным диабетом, ВИЧ-инфекцией, дисбактериозом и анорексией.
Заболевание также может возникнуть, если, например, ткани, расположенные рядом со слюнной железой, воспалены, или если на них была проведена хирургическая операция. Патологический процесс проявляется также, когда проток железы заблокирован из-за попадания твердых пищевых остатков или посторонних предметов, травмы или слюнокаменной болезни (в этом случае врачи называют это калькулезным сиалоаденитом).

Обратите внимание! Воспаление подъязычной, околоушной или подчелюстной слюнной железы может быть вызвано различными вирусами, такими как Коксаки и Эйнштейна-Барра, цитомегаловирус, простой герпес, гриппозные вирусы, палочка Коха, микобактерии туберкулеза, трепонема бледная (возникает в организме при сифилисе).
Типы воспаления слюнных желез
В полости рта у человека находится три пары крупных желез, которые отвечают за выработку слюны. При воспалении околоушной слюнной железы, которое называется паротит, чаще всего происходит увеличение размеров этой железы. Инфекция передается от человека к человеку через воздушно-капельный путь. В результате увеличения околоушной железы происходит снижение выработки слюны, а также возникает блокировка мелких протоков, через которые слюна поступает в ротовую полость. Заболевание свинка чаще всего поражает детей, но также встречается и у взрослых.
Большинство случаев заболевания связано с вирусным паротитом. Эпидемический гнойный паротит передается через контакт. Вирус атакует железы организма, в основном затрагивая слюнные железы, но также может повлиять на половые железы и центральную нервную систему. Вирус также может повредить поджелудочную железу и щитовидную, хотя в меньшей степени. Врачи отмечают высокую восприимчивость к вирусу паротита, поскольку с ним сталкивается более половины населения. Особенно часто заболевают мальчики в возрасте от 3 до 6 лет, их состояние обычно тяжелее, чем у девочек. Эпидемия паротита имеет сезонный характер и проявляется циклично. Максимальное количество случаев обычно отмечается в раннюю весну – в марте-апреле. Врачи отмечают несколько вспышек этого заболевания ежегодно.
У детей паротит чаще всего проходит довольно легко. Однако важно осознавать, что это заболевание не следует недооценивать. Основная опасность паротита заключается в его способности вызвать серьезные осложнения и последствия.
Методы лечения воспаления слюнной железы
Восстановительные процедуры должны проводиться под наблюдением квалифицированного медицинского специалиста. При своевременном обращении за медицинской помощью лечение обычно проводится в поликлинике. Опытный врач всегда предложит эффективные рекомендации по тому, как лечить различные формы воспаления слюнных желез. В более серьезных случаях заболевания часто требуется госпитализация пациента.

Консервативная терапия
Заболевания ушных сиалоаденитов встречаются довольно часто и на ранних стадиях не представляют серьезной опасности для организма. Для преодоления этой формы достаточно применения медикаментов и традиционной физиотерапии. Она включает в себя следующее:
- Рацион питания сбалансирован и включает в себя мелкоизмельченные продукты, чтобы избежать болевых ощущений при приеме пищи. В меню присутствуют каши, пюре, легкие супы и тушеные овощи, богатые витаминами и микроэлементами.
- Необходимо соблюдать постельный режим.
- Важно ограничить физическую активность пациента из-за возможных осложнений для сердечно-сосудистой системы при повышении температуры и усилении симптомов заболевания.
- Рекомендуется употреблять большое количество жидкости для ускорения обмена веществ. Подходят чистая вода, свежевыжатые соки, травяные отвары, чай и кисломолочные продукты. Важно избегать употребления кофе и газированных напитков.
Местное лечение
Для борьбы с воспалениями можно использовать различные эффективные методы, такие как прогревающие, сухие, камфорно-спиртовые и димексидовые компрессы. Также полезна ультравысокочастотная терапия. Особое внимание следует уделить питанию, включая продукты, способствующие усилению слюноотделения. Например, при легкой форме сиалоденита рекомендуется держать во рту кусочек лимона перед едой, чтобы стимулировать выделение слюны. В рацион также полезно добавить квашеную капусту и клюкву для достижения тех же целей.
Лекарственные средства
Нельзя обойтись без синтетических лекарственных веществ. Если заболевание не находится в запущенной форме, то потребуются препараты, которые помогут предотвратить развитие воспалительных процессов, снизить температуру и устранить болевые ощущения. Подойдут следующие медицинские средства: ибупрофен, анальгин, пенталгин и другие препараты, действующие похожим образом.
Ибупрофен
Анальгин
Пенталгин
Для улучшения процесса выделения слюны и предотвращения закупорки желез можно применять однопроцентный раствор пилокарпина гидрохлорида в количестве от 6 до 10 капель три раза в сутки.
Отказ от вредных привычек, в том числе отказ от курения, имеет положительное влияние на организм. Курение негативно влияет на работу всех органов, способствуя ускоренному развитию бактерий. У пациентов, страдающих сиалоаденитом, такое воздействие может иметь серьезные последствия, способствуя переходу болезни в хроническую форму.
Хирургическое лечение
При более острой форме заболевания и развитии гнойных воспалений необходимо проведение хирургической процедуры. Медицинский специалист выполняет открытие гнойной образовавшейся полости снаружи и последующую антисептическую обработку.
При развитии гангрены пациент срочно проходит операцию в условиях наркоза. В противном случае состояние заболевания может ухудшиться, что приведет к инфицированию крови при разрыве гнойной образовавшейся полости.
Если есть камни, их следует немедленно удалить, так как при другом подходе процесс будет продолжаться в усугубленной форме.
Хронический сиалоденит
Отличительной чертой является чередование периодов усиления симптомов и их ослабления. В периоды ремиссии пациент не испытывает никаких неприятных ощущений. При наступлении усиления симптомов лечение не отличается от подхода к острым проявлениям. Вне этих периодов рекомендуется следовать следующим рекомендациям:
- Массажирование каналов слюнных желез и введение антибиотиков для удаления гнойных отложений;
- Использование новокаина или применение электрофореза с галантамином для стимуляции секреции слюнной железы;
- Ежедневная гальванизация (применение постоянного электрического тока в медицинских целях) в течение приблизительно тридцати суток;
- Введение в канал 3-6 миллилитров йодолипола один раз в несколько месяцев;
- Принятие двухпроцентного раствора йодида калия по одной столовой ложке три раза в день. Общая продолжительность 25-40 дней, курс повторяется каждые три месяца;
- Лечение области слюнных протоков рентгеновскими лучами. Оно оказывает положительное противовоспалительное и антиинфекционное действие.
Воспаление слюнной железы симптомы
У взрослых и детей заметно проявляются признаки патологии. Это состояние сопровождается:
- ощущением боли;
- нарушением работы органов;
- набуханием на губах, щеках, вокруг глаз.
Характерные проявления воспаления слюнных желез у взрослых возникают в острой фазе и уменьшаются при переходе в хроническую стадию. На изображениях больных можно заметить типичные изменения: отек в области воспаленной железы, что выглядит как выпуклость на щеке. Чаще всего сиалоаденит выявляется в области ушной (околоушной) железы, реже в подчелюстной (поднижнечелюстной) и подъязычной.
У каждой железы есть свой секрет — слюна. При воспалении происходит нарушение ее выработки, что негативно сказывается на состоянии полости рта и желудочно-кишечного тракта. Слюна необходима для облегчения процесса пищеварения и легкого прохождения пищи в желудок. При хроническом воспалении часто возникает дисфагия, которая приводит к нарушению глотания из-за трудностей с проглатыванием недостаточно размягченной пищи.
Основные признаки сиалоаденита:
- появление красноты и отека в области лица, распространяющихся на шею;
- увеличение размеров лимфоузлов под ухом и челюстью;
- изменение в ощущениях вкуса;
- ощущение боли при приеме пищи и даже при мыслях о ней;
- сухость слизистой оболочки рта;
- затруднения при глотании пищи;
- общее недомогание, одышка, повышение температуры тела;
- неприятное послевкусие во рту;
- затруднения при открывании рта.
При внезапном развитии симптомы возникают и исчезают внезапно. Стоматологи часто встречаются с осложненным прогрессированием заболевания, когда после улучшения состояния пациент игнорировал проблему и не обращался за медицинской помощью. Даже без проявления признаков сиалоаденит не исчезает, а переходит на следующую, более серьезную стадию.
Если не начать лечение вовремя, воспаление слюнной железы может прогрессировать до гнойного и некротического поражения. В этом случае потребуется хирургическое вмешательство. Среди распространенных осложнений сиалоаденита следует выделить:
- гнойное скопление;
- повторное возникновение;
- формирование гноящихся образований.
Они проявляются усилением уже имеющихся признаков и появлением новых, таких как увеличение температуры тела.
Лечение
Прежде чем врач назначит терапию, необходимо, чтобы он ознакомился с результатами проведенных исследований:
- исследования с использованием компьютерной томографии для получения подробного изображения слюнных желез;
- проведение МРТ для оценки состояния железы и определения размеров опухоли;
- ультразвуковое исследование.
Принимая во внимание форму и серьезность заболевания, врач определяет методы лечения.
Если выявлена легкая форма заболевания, то врач назначит лечение на дому. Для облегчения состояния могут быть назначены процедуры, которые можно проводить самостоятельно:
- Использование лекарств, которые снижают температуру и уменьшают боль (например, Парацетамол, Ибупрофен, Баралгин);
- Принятие ванночек с отваром ромашки и шалфея для полоскания рта;
- Если температура тела не превышает 37,2°C, можно наложить сухую согревающую повязку на воспаленную железу;
- Пить теплые настои шиповника, травяные чаи и липовые отвары;
- Увеличить количество выпиваемой жидкости в течение дня;
- Тщательный уход за ротовой полостью для предотвращения стоматита. При паротите антисептические свойства слюны снижаются, что увеличивает риск заболевания. Рекомендуется полоскать рот содовым раствором после каждого приема пищи;
- Соблюдение диеты – включение в рацион продуктов с высоким содержанием клетчатки, а также молочных изделий;
- Для облегчения глотания рекомендуется перетирать пищу или превращать ее в пюре. Во время лечения следует исключить соленое, перченое, жирное, мучное, свежую капусту;
- При отсутствии высокой температуры для увеличения слюноотделения можно рассасывать небольшой кусочек лимона.
Для лечения острой формы необходимо использовать антибактериальное лечение.
Препараты, которые назначаются включают в себя:
- Препараты для облегчения боли;
- Средства против воспаления;
- Препараты для борьбы с инфекциями;
- Препараты, стимулирующие выделение слюны.
Физиотерапевтические методы, такие как УВЧ, электрофорез, прогревания и ультрафиолетовое облучение, оказывают положительное воздействие при остром паротите.
Если обнаружено гнойное воспаление железы, то используются хирургические способы лечения. В зависимости от рентгенологических данных, принимается решение о вскрытии и последующем удалении гноя (в этом случае антибиотики вводятся непосредственно в слюнную железу), либо о полной её эвакуации.
При получении лечения важно следовать не только указаниям врача, но и общепринятым стандартам:
- Если у вас острая форма заболевания, то рекомендуется пройти лечение в больнице под постоянным наблюдением врача. В этом случае стационарное лечение является обязательным условием.
- При первичном заболевании паротитом важно начать лечение как можно раньше, чтобы увеличить шансы на благоприятное выздоровление без осложнений.
- Даже если ваше самочувствие удовлетворительное, важно соблюдать постельный режим в течение 3-4 дней.
- Не рекомендуется употреблять очень горячую или холодную пищу.
- При появлении первых признаков заболевания следует ограничить контакт со здоровыми людьми, чтобы избежать возможной передачи инфекции.
Несмотря на то, что многие считают паротит довольно безобидным заболеванием, неправильное лечение или его полное отсутствие могут вызвать серьезные осложнения, такие как:
- У мальчиков возникает орхит — воспаление яичка, сопровождающееся болями и повышением температуры тела;
- Загноение слюнной железы может привести к её некрозу;
- Возможно развитие артрита;
- Потеря сознания;
- Ощущение онемения;
- Возможны судорожные состояния;
- Возможно развитие мастита;
- Возможно развитие панкреатита;
- Возможны нарушения слуха.
Когда хронический паротит обнаружен, полное выздоровление недостижимо. Главный врач назначает лекарства, которые помогут смягчить симптомы болезни во время её обострения.
Необходимо осознавать, что паротит, так же как и любое другое заболевание, сопровождается своими потенциально опасными побочными явлениями. Для предотвращения осложнений и предотвращения прогрессирования заболевания и его перехода в хроническую стадию, необходимо незамедлительно обратиться к врачу.
Соблюдение норм гигиены полости рта, укрепление иммунитета и своевременное лечение вирусных и инфекционных заболеваний помогут значительно уменьшить вероятность возникновения воспаления околоушной слюнной железы.
Лечение воспаления
План лечения следует разрабатывать исключительно врачом. Самостоятельное лечение народными средствами, такими как «прогревания» воспаленной области, не допускается. Все процедуры должны проводиться под присмотром специалиста. Основной упор в лечении делается на уменьшение воспаления, устранение патологических процессов, нормализацию процессов слюноотделения и очистку протоков от гнойных скоплений.
Препараты, включая антибиотики, такие как стрептомицин, бензилпенициллин с новокаином, применяются путем инъекций непосредственно в протоки железа.
Используются в начальной фазе острой формы заболевания, а также при паротите и развитии гнойных процессов в протоках желез. Направлены на уменьшение воспалительного процесса, снижение болевых ощущений и устранение отечности в железах.
При острой фазе заболевания возможно выполнение новокаиновой блокады (внутримышечно). Определением препаратов и их дозировкой занимается только лечащий врач. Раствор пилокарпина и йодистый калий могут быть использованы для усиления процессов по отделению слюны. Для снижения температуры рекомендуются жаропонижающие средства: парацетамол, ибупрофен.
Эффективное снятие воспаления с помощью тепла, проведение физиотерапевтических процедур, электрофорез, соллюкс, УВЧ для пациентов.
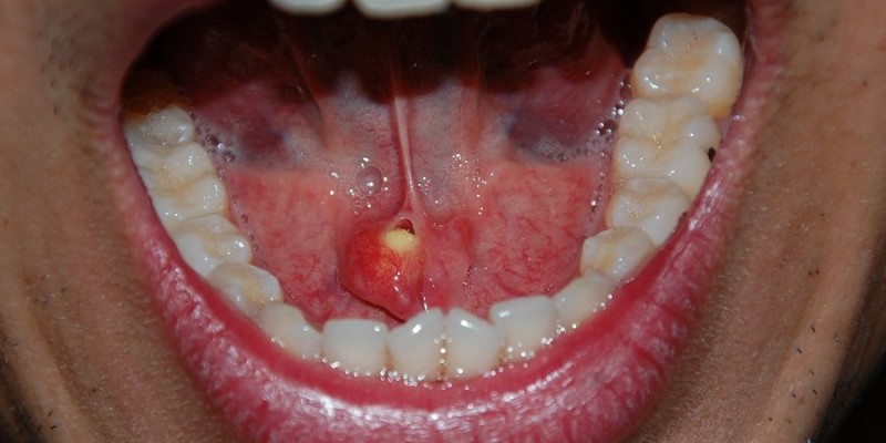
Если слюнные железы подверглись расплавлению из-за гнойных некротических процессов, то без хирургического вмешательства, направленного на вскрытие и дренирование полости для удаления гноя, уже не обойтись. Также операция может потребоваться при обнаружении камней в протоках в результате УЗИ, которые мешают нормальному выделению слюны, а также при абсцессе желез вследствие поражения гноем.
Лишь при уменьшении воспаления или в целях предотвращения можно использовать народные средства для лечения этого заболевания в домашних условиях. Фитотерапия с применением эффективных масел эвкалипта, хвойных игл, кипариса, мяты, бузины и вероники может быть полезной.
Также можно использовать содовые ингаляции, обертывания и компрессы для устранения признаков воспаления:
- Для лечения места поражения можно приготовить настойку из календулы и ноготков (цветков) и пропитать марлевую повязку, которую затем следует приложить к пораженному участку;
- Для улучшения состояния лимфоузлов и профилактики рекомендуется приготовить смесь из малины (500г), меда (500г), сахара (1кг) и сосны (1кг). После заливки кипятком и выдержки до 5 часов, смесь следует нагреть на водяной бане в течение 1 часа. Затем добавьте водку в соотношении 1х10 и принимайте по 1-2 столовые ложки перед едой;
- Для полоскания рта рекомендуется залить корень яртышника кипятком (1 стакан) и настоять в течение 1 часа;
- Для снятия воспаления желез можно использовать смесь сока лимона (1 чайная ложка) с теплой водой (1 стакан) для полоскания рта до 5 раз в день;
- Для полоскания полости рта также можно приготовить настойку из бессмертника (цветков), полевого хвоща и малины, а также использовать ромашку, шалфей, листья эвкалипта, корень дуба и тысячелистник.
Виды сиаладенита и диагностика
| Вид сиаладенита | Характерные особенности |
| Хронический паренхиматозный |
|
| Хронический интерстициальный |
|
| Острый лимфогенный |
|
| Острый, обусловленный закупоркой протока слюнной железы |
|
| Острый контактный |
|
| Эпидемический паротит (острый вирусный сиаладенит) |
|
Определение конкретного вида сиаладенита происходит на основе следующих критериев:
- пациент жалуется на опухоли в области лица и шеи, болезненность, затруднения при глотании и жевании, ощущение сухости во рту и общее недомогание;
- информация о хронических и недавно перенесенных заболеваниях, контактах с больными эпидемическим паротитом;
- результаты лабораторных исследований (полный анализ крови и анализ содержимого слюнных протоков и желез);
- сиалограмма (рентген-снимок слюнных желез).
Основные причины заболевания
В общей структуре данного заболевания основным этиопатогенетическим механизмом считается воспаление околоушной железы. Все причины возникновения воспаления слюнной железы относятся к одной из двух этиологических категорий (неэпидемическая и эпидемическая). Основной причиной развития эпидемической формы воспаления слюнной железы считается воздействие бактериальных или вирусных частиц, вызывающих общую и местную воспалительную реакцию.
- Чаще всего при таких условиях возникает гнойный сиалоаденит, который может передаваться на здоровых людей воздушно-капельным путем.
- Серозный острый неэпидемический сиалоаденит возникает из-за нарушения оттока слизи по слюнному каналу, что происходит при закупорке конкрементом или посторонним объектом, а также при сильном травматическом воздействии в случае развития калькулезного сиалоаденита.
- Эпидемический вид сиалоаденита, как правило, встречается в педиатрической практике, и его диагностика у опытных инфекционистов не вызывает затруднений благодаря появлению широкого спектра клинических патогномоничных симптомов.
Появление в слюнных железах воспалительных изменений, которое всегда наблюдается во время сиалоаденита, обусловлено наличием в полости рта инфекционных хронических очагов в виде кариеса зубов. Кроме того, сиалоаденит околоушной железы неэпидемической формы может возникать как осложнение хирургических вмешательств или других инфекционных заболеваний.
Острый сиалоаденит
Сиалоаденит обычно классифицируется по следующим типам (в зависимости от характера проявления):
- пронзительный;
- постоянный.
Острый воспалительный процесс в сальных железах сопровождается всеми характерными признаками: повышением температуры до высоких значений (38-39° С), изменением оттенка кожи над пораженной железой, болевыми ощущениями и отечностью.
При острой форме паротита опухоль располагается рядом с ушами (справа или слева, в зависимости от стороны поражения железы). Возникает напряжение кожи (невозможно собрать ее в складку), болевые ощущения распространяются в ухо, висок и нижнюю челюсть.
Если у вас появился субмандибулит, то возможно появление отека в области поднижней челюсти, сопровождающееся болезненностью при ощупывании и затруднением глотания пищи.
Редкая разновидность заболевания — острый сублингвит проявляется отечностью на дне полости рта, нарушением чувствительности, сухостью и искажением восприятия вкуса.
Частые вопросы
Какие симптомы свидетельствуют о воспалении слюнных желез?
Одним из основных симптомов воспаления слюнных желез является отечность и болезненность в области щеки или под нижней челюстью. Также возможны выделения из слюнных желез, усиленное слюнотечение, повышение температуры тела и общее недомогание.
Как диагностировать воспаление слюнных желез?
Для диагностики воспаления слюнных желез врач может провести осмотр и ощупывание области щеки или под челюстью, а также назначить ультразвуковое исследование. Иногда может потребоваться компьютерная томография (КТ) или магнитно-резонансная томография (МРТ).
Какое лечение рекомендуется при воспалении слюнных желез?
Лечение воспаления слюнных желез может включать прием антибиотиков, применение теплых компрессов, массаж слюнных желез, увеличение потребления воды для стимуляции слюнотечения, а также в некоторых случаях может потребоваться хирургическое вмешательство.
Полезные советы
СОВЕТ №1
Если у вас внезапно вздулась щека и возникло воспаление слюнной железы, обратитесь к врачу для точного диагноза. Воспаление может быть вызвано инфекцией, камнем в слюнной железе или другими причинами, и только профессионал сможет определить источник проблемы.
СОВЕТ №2
При обращении к врачу уточните, какие симптомы вы наблюдаете, например, боль, отечность, покраснение или выделение из слюнной железы. Это поможет врачу быстрее и точнее поставить диагноз и предложить соответствующее лечение.
СОВЕТ №3
После диагностики врач может назначить лечение, включающее прием антибиотиков, применение теплых компрессов, массаж слюнной железы или другие процедуры. Важно следовать рекомендациям врача и не заниматься самолечением, чтобы избежать осложнений.









