Микроорганизмы, которые вызывают заболевания, постоянно атакуют зубы и десны, нарушая естественные процессы и ухудшая внешний вид улыбки. Поэтому важно знать правила гигиены полости рта для взрослых и детей, а также о профессиональных методах очистки и защиты зубов. В этой статье мы рассмотрим основные сведения о гигиене полости рта и покажем, как оценивают ее качество по различным показателям. Также мы дадим советы по правильному уходу за зубами и деснами.
Интересные факты
Добросовестный уход за зубами включает очищение зубной щеткой дважды в день. Но редко задумываемся о том, что эффективное предотвращение кариеса обеспечивает микроэлемент фтор. Ежедневно эмаль зубов подвергается нагрузке во время приема пищи, особенно опасными для нее являются сладости, органические кислоты и продукты, вырабатываемые кариесогенными микроорганизмами. Фтор заполняет поры и микротрещины эмали, предотвращая развитие кариеса и восстанавливая поврежденные участки зуба. Для нормальной реминерализации рекомендуется использовать фторсодержащую зубную пасту минимум один раз в день, особенно после завтрака.
Мимолетные перекусы «подручными продуктами» также наносят вред зубам наравне с кариесом. Частота приемов пищи оказывает большее влияние на эмаль, чем сам рацион и дневное меню. Бактерии, обитающие на слизистой оболочке рта, производят токсичные кислоты, разрушающие зубы при употреблении пищи и напитков, содержащих сахар и крахмал. После каждого перекуса эмаль ослабевает и становится восприимчивой к кариозным бактериям.
Включение сладостей в рацион ребенка приводит к развитию раннего кариеса с серьезными последствиями. Рекомендуется ограничить потребление промышленных конфет, печений, пирожных, тортов и шоколадок, а также газированной воды. Вместо этого, стоит поощрять интерес к сладким фруктам, домашним йогуртам и киселю, а также умеренно сладкой выпечке, например, блинам.
Как правильно следить за состоянием зубов и десен
Советы по уходу за полостью рта для взрослых немного отличаются, так как с возрастом зубы подвергаются износу, а также влиянию частых перекусов на работе, употребления закусок и сладостей, а также недостатка времени для тщательной чистки зубов и ухода за деснами.
- Регулярно чистите зубы не менее двух раз в день с использованием специальной пасты, содержащей фтор, и средства для укрепления десен. Также один-два раза в неделю используйте отбеливающую профессиональную пасту для очищения эмали.
- Во время чистки зубов ежедневно очищайте поверхность языка от светлого налета до тех пор, пока он не приобретет розовый и глянцевый оттенок.
- После перекусов полощите рот освежающими стоматологическими ополаскивателями без содержания спирта. Также можно пожевать несколько минут безсахарную и безароматную резинку.
- Несколько раз в неделю очищайте межзубные пространства с помощью специальных ершиков или стоматологической нити.
- Гигиена зубов и полости рта не может обойтись без использования антисептических и антимикробных средств. Используйте специальный ирригатор, чтобы под напором струи промыть остатки пищи из отдаленных уголков и санитарно очистить полость рта.
- Регулярно посещайте стоматолога каждые 5-6 месяцев для профилактического осмотра и профессиональной чистки зубов от налета, камня и пищевых пигментов.
- Принимайте препараты кальция и фтора внутрь, не забывайте о витаминах, минералах и микроэлементах.
- Если вода в вашем регионе не содержит фтор, используйте покупную воду для питья. Она обычно очищена от вредных добавок и соединений, обогащена полезными минералами и солями, а также содержит необходимый для здоровья зубов фтор. Особенно важно использовать фторированную воду для гигиены полости рта и зубов у детей до 12 лет.
Уход за зубами ребенка
Родителей больше всего беспокоит вопрос детской гигиены, так как детей трудно заставить правильно чистить зубы и следить за качеством этого процесса. С раннего детства необходимо приучать ребенка к гигиене полости рта. Однако важно знать, с какого возраста начинать стоматологическое воспитание и какие регулярные действия можно вводить.
До трех лет все дети появляются на свет с зачатками зубов, которые находятся под деснами. В этот период рекомендуется очищать полость рта с помощью бинта или мягкого тампона хотя бы раз в день. Тампон можно смочить мягким антисептиком или раствором на основе эфирных масел. Это поможет удалить остатки молока и прикорма с слизистой, а также устранить часть микробов. После появления первых зубов следует использовать для ребенка щетку с мягкой щетиной. Чистку зубов можно проводить с помощью очищенной воды или раствора с эфирными маслами, соком фруктов или ягод.
Чтобы избежать развития нездоровой привычки и неправильного прикуса, следует запретить ребенку тянуть в рот пальцы, предметы, игрушки и т.д.
В возрасте от трех до шести лет наступает ответственный период формирования индивидуальной гигиены полости рта у детей. Для тщательного очищения зубов начинают использовать мягкую пасту с фтором, которая помогает снизить риск кариеса. Ребенка учат правильным движениям щеткой (вниз-вверх, круговым), доставанию дальних уголков и задних стенок зубов, а также сплевыванию воды с остатками пасты. В этот период также рекомендуется познакомить ребенка с дантистом и провести первичный визуальный осмотр зубного ряда.
В возрасте от шести до восьми лет начинается процесс смены молочных зубов на постоянные. В этот период зубной ряд подвержен различным стоматологическим проблемам, особенно кариесу, травмам и деформациям. Ребенка учат пользоваться флоссом, очищать межзубные промежутки и боковые стенки задних зубов. Важно также строго контролировать качество, правильность и продолжительность гигиены, а также осматривать зубы после обычной чистки. Врачи рекомендуют перевести ребенка на профессиональную зубную пасту с нормальным уровнем фтора.
После восьми лет дети достаточно взрослые, чтобы выбрать для себя подходящую зубную щетку с нормальной щетиной и пасту, которую используют их родители. Рекомендуется следить за двукратной гигиеной полости рта, особенно после употребления сладостей и газировки. Ребенка можно научить очищать поверхность языка с помощью задней стороны щетки. Количество посещений стоматолога следует увеличить до 1-2 раз в полгода.
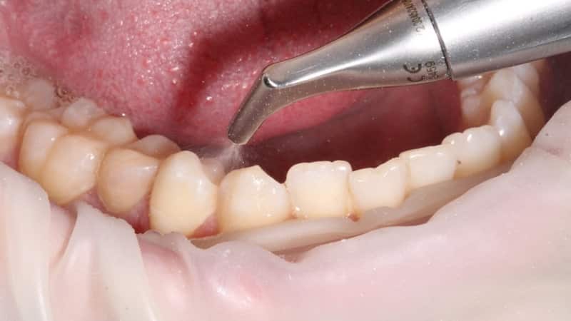
Профессиональный уход за зубами
Профессиональная гигиена полости рта является комплексом мероприятий, направленных на удаление налета, остатков пищи, красителей и пигментов с поверхности зубов и десен. Эта процедура включает применение стоматологических приборов или ультразвука для удаления патологических отложений без повреждения эмали. Труднодоступные места и межзубные промежутки очищаются с помощью ручного инструмента. Затем ультразвуком и аппаратом Air Flow удаляются пигменты и красители, осветляя эмаль на несколько тонов. Завершающим этапом процедуры является полирование поверхности зубов специальными пастами и нанесение фторсодержащего лака. В результате, эффект от профессиональной гигиены полости рта сохраняется в течение 4-6 месяцев.
Индексы гигиены
Качество ухода за зубами и деснами оценивается стоматологами с использованием более 80 специальных показателей. Эти показатели помогают определить уровень микрофлоры слизистой оболочки, пародонта и периодонта, а также определить степень наличия зубного налета и камня.
Для определения индексов гигиены полости рта, обычно выбирают несколько зубов (обычно 6) и наносят на них йодовый или метиленовый синий раствор (или другие красящие препараты). Затем, используя окрашенные отложения, определяются показатели налета и камня, их структура, глубина поражения, степень распространения и т.д. Существуют четыре группы индексов: первая оценивает площадь распространения, вторая — толщину слоя, третья — массу, а четвертая — качественные химические, физиологические и микробиологические показатели камня и налета.
Качество гигиены полости рта во многом зависит от усердия и внимательности пациента. Для поддержания здоровья зубов достаточно уделить 10-15 минут в день на уход, используя не только щетку и пасту, но также ирригаторы, флоссы, ершики и ополаскиватели. Кроме того, регулярные посещения стоматолога для профессиональной чистки и профилактического осмотра также являются важными.






