Протезирование при пародонтите и пародонтозе

Когда человек решает сделать протезирование и обращается к дантисту, может возникнуть ситуация, когда врач сообщает ему о наличии пародонтоза или пародонтита, что делает процесс протезирования более сложным. В данной статье мы рассмотрим особенности протезирования при наличии этих патологий.

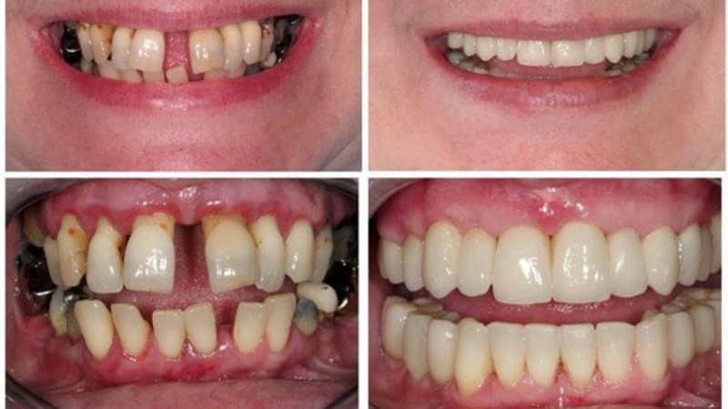
На что следует обратить внимание

Пародонтоз и пародонтит — два разных заболевания, отличающихся друг от друга. Пародонтоз характеризуется отсутствием воспаления и поражением опорно-связочной ткани, что приводит к убыли тканей вокруг зубов. Пародонтит, в свою очередь, вызывает нарушения в опорно-связочном аппарате, поражение костной ткани и образование специального кармана, который усложняет протекание болезни. Пародонтит является опасным заболеванием, так как на ранних стадиях не проявляет явных симптомов, и диагноз ставится уже при продвинутой форме болезни. Многие люди путают эти два понятия.
При выборе методики лечения врач должен учитывать несколько аспектов, таких как стадия болезни, особенности прикуса, анатомии челюсти и степень тяжести. Протезирование зубов при пародонтозе может включать как съемные, так и несъемные протезы. Восстановление зубного ряда не требует использования металлических или фарфоровых коронок, а также изделий из металлоакрила. Чаще всего выбираются бюгельные конструкции с особыми накладками, которые помогают распределить нагрузку при жевании. При этом края десен остаются нетронутыми, что способствует успешному лечению основного заболевания.

image

Протезирование зубов при пародонтите

При наличии серьезных повреждений костной ткани, вызванных пародонтитом, существуют два эффективных решения:

  • Одним из них является восстановление кости с последующей имплантацией. Эта процедура обычно занимает около четырех месяцев, а для полного заживления требуется от трех до шести месяцев. В итоге, весь процесс лечения и имплантации может занять около десяти месяцев. В некоторых случаях, чтобы сэкономить время, пластическую хирургию и имплантацию можно провести одновременно.
  • Другим вариантом является использование специальных протезов, которые могут быть применены даже в сложных случаях. Эта процедура позволяет восстановить как полную, так и частичную потерю зубов.
    Оба этих метода успешно и быстро восстанавливают зубы.

image

Комплексная методика

Комплексное протезирование является эффективным методом для замены большого количества потерянных зубов при пародонтите. Этот подход позволяет решить все проблемы одновременно.
Процедура комплексного протезирования включает несколько этапов:

  1. Удаление сильно поврежденных зубов, вызванных заболеванием. Врач также удаляет воспаленные участки и очищает пораженные области.
  2. Внедрение имплантатов в наиболее надежные участки, характеризующиеся плотными тканями. Эти имплантаты могут быть установлены на места удаленных зубов.
  3. После операции производится оттиск, по которому в специальной лаборатории изготавливают несъемные протезы. Через неделю после операции эти протезы устанавливаются на имплантаты.
    Этот метод позволяет получить новые зубы и уже через неделю наслаждаться жизнью, используя их. Специальные материалы, используемые при изготовлении протезов, стимулируют рост тканей вокруг них, способствуя их быстрой адаптации.

Особенности мероприятия при пародонтозе

Перед началом процедуры протезирования необходимо подготовиться. Важно сначала провести консервативное лечение основного заболевания, включая тщательную чистку зубов профессионалом, удаление налета и камней, а также лечение кариеса. Во время лечения следует использовать временные конструкции для обеспечения функциональности.
Протезирование следует проводить только в случае отсутствия острых патологических изменений и отсутствия клинических проявлений пародонтоза.
Если проблема касается переднего зубного ряда, применяются различные мостовидные протезы на опорные зубы. В случае потери клыков или премоляров, жевательные зубы могут быть зафиксированы с помощью несъемных устройств, а проблемные зоны могут быть замещены съемными конструкциями. В случае подвижности зубов не рекомендуется использовать мостовидные протезы, вместо этого рекомендуется применение дуговых протезов.
Съемные протезы, как показано на фото, устанавливаются при значительных проблемах и серьезном поражении зубов. Обычно используется специальный дуговой протез с поперечной стабилизацией. При необходимости может быть установлено специальное круговое крепление, которое сочетает несъемные и съемные элементы протеза.

image

Протезирование при пародонтозе 4 степени: металлокерамика или мосты

Выбор материала для протезов зависит от общего состояния здоровья. Опытный стоматолог подскажет, какие виды протезирования зубов лучше всего подходят при пародонтозе. Один из самых популярных материалов на сегодняшний день — металлокерамика. Это надежная и прочная конструкция, которая практически неотличима от естественных зубов. Металлокерамика имеет естественный вид и цвет, который не меняется со временем. Она также гипоаллергенна и не ощущается в ротовой полости. Однако, такие коронки можно устанавливать только на неподвижные и стойкие зубы, и они не подходят для пациентов с пародонтозом 4 степени. Маленькие зубы и неправильный прикус также могут быть противопоказаниями для установки металлокерамических протезов.
Еще одним популярным и доступным вариантом протезов являются мостовидные конструкции несъемного типа. Они изготавливаются из хрома и кобальта и успешно применяются уже десятилетиями. Эти протезы легкие и не требуют значительной обработки зубов. Они могут быть установлены на любой стадии болезни и при любом прикусе. Эстетическая сторона также учитывается, так как металлическая часть маскируется цветной облицовкой, чтобы соответствовать натуральному оттенку зубов.

Как ухаживать за имплантатами

Успех манипуляции не зависит только от подготовительной части и установки, но и от последующего ухода. Это особенно важно при рецидивирующем пародонтите или пародонтозе, где результат полностью зависит от соблюдения специальных правил:

  • Необходимо тщательно ухаживать за имплантатами, чтобы избежать обострения патологии. Регулярное удаление зубного налета является важным. Нарушения в гигиене создают благоприятные условия для риска отторжения имплантата.
  • Использование зубной нити для тщательной очистки зубных промежутков является обязательным.
  • Пациент должен посещать своего стоматолога каждые полгода для профессиональной чистки зубов и имплантатов.

Для ухода за имплантатами рекомендуется делать профессиональную чистку зубов и имплантатов каждые полгода. Важно придерживаться всех рекомендаций на всех этапах лечения и установки.

Помните, что в первое время после вмешательства не рекомендуется курить, употреблять алкоголь и выполнять физические нагрузки. Пациент должен следовать назначенной диете, принимать медикаменты и регулярно использовать антисептические растворы для полосканий. Это поможет продлить срок службы имплантатов и позволит наслаждаться ими с комфортом и удовольствием.

image

Имплантация при пародонтозе и пародонтите: отзывы

Имплантация зубов согласно отзывам пациентов и докторов является оптимальным решением. Эти протезы не уступают живым зубам. Важно не заниматься самолечением и не усугублять болезнь. Чем раньше вы обратитесь к специалисту, тем лучше будет решение вашей проблемы. В любом случае, вы обязательно попадете к врачу. Однако, решение о том, когда обратиться к врачу — на начальном этапе болезни или после потери большинства зубов, принимаете только вы. Полностью вылечить пародонтоз на последней стадии уже невозможно, но можно замедлить его прогрессирование.

Ссылка на основную публикацию
Похожие публикации