Пациенты, обращающиеся к стоматологу, часто сталкиваются с диагнозом «пульпит», в то время как все мы привыкли слышать о «кариесе». Поэтому многие пациенты задаются вопросом, что такое пульпит зуба и в чем его отличие от кариеса? Пульпит — это распространенное заболевание, которое возникает в результате зубного кариеса. Лечение пульпита гораздо сложнее и сопровождается большими болями.
Что такое пульпит
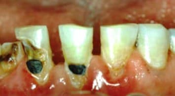
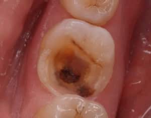
Пульпит зуба — это воспалительный процесс, который происходит в пульпе зуба. Пульпа представляет собой сосудисто-нервный пучок, который находится в коронковой части и корневых каналах зуба. В пульпе находится множество сосудов и нервных окончаний. Часто пульпит развивается из-за осложнений кариеса или неправильного лечения стоматологом (некачественная пломба, обточка зуба, операция на пародонте, воздействие химических веществ). Также возможны ретроградные пульпиты, которые вызываются инфекцией, проникающей через апикальное отверстие (см. фото 1). Ниже представлены фотографии зуба до и после лечения, на которых можно увидеть, как выглядит хронический пульпит.
Причины
Источники и пути попадания инфекции в пульпу зуба могут быть разнообразными. Однако наиболее распространенным является проникновение инфекции через дентинные канальцы поврежденной кариесом полости.
Основными причинами воспаления пульпы зуба являются:
- Воздействие микробов, таких как стафилококки, стрептококки и лактобактерии, которые находятся внутри кариозного очага, а также их токсинов и продуктов жизнедеятельности.
- Распад органического вещества дентина.
- Недолеченный кариес, при котором под пломбой остается кариозная ткань.
- Травма, особенно с переломом зуба (чаще всего происходит у детей с травмой передних зубов).
- Грубая и неосторожная обработка зуба с кариесом.
- Воздействие химических веществ, таких как токсические пломбировочные материалы, ортофосфорная кислота и раздражающие антисептики.
- Воздействие тепла при препарировании зуба с кариесом (термический ожог пульпы при недостаточном охлаждении водой или пересушивании).
- Быстрое перемещение зубов во время ортодонтического лечения.
- Операции и другие лечебные воздействия, такие как гингивэктомия, гингивотомия, введение лекарств в зубодесневые карманы и их проникновение в пульпу.
Инфекция является основным фактором развития пульпита. Если пульпа становится обнаженной в результате травмы, воспаление развивается в первые часы после травмы. Пульпит зуба редко возникает без наличия кариеса, микроорганизмов и их токсинов. Иногда пульпит может быть диагностирован даже в здоровых молярах, что чаще всего объясняется травмой зуба.
Патогенез
Острый и хронический — это две формы пульпита зуба. Острый пульпит возникает, когда инфекция проникает в пульпу при закрытой камере. Вначале он называется серозным пульпитом, который постепенно переходит в гнойный пульпит из-за накопления гноя в закрытой камере пульпы, что вызывает сильную боль. Хронический пульпит является результатом острого пульпита.
Хронический пульпит может быть фиброзным, гипертрофическим или гангренозным. Фиброзный пульпит, наиболее распространенный вид, характеризуется разрастанием волокнистой ткани. Гипертрофический пульпит характеризуется гипертрофическим разрастанием пульпарной ткани через открытую полость кариозного зуба. Гангренозный пульпит проявляется распадом ткани в коронковой пульпе, а в корневой пульпе может образоваться грануляционная ткань.
Пролиферативный пульпит хронической стадии развивается из хронического фиброзного пульпита при сильном разрушении коронки, обнаженной пульпе и постоянном механическом воздействии или инфицировании.
Симптомы
Основные симптомы пульпита зуба включают:
- Интенсивная непрерывная или прерывающаяся зубная боль, которая чаще всего возникает ночью или при изменении температуры.
- В начальной стадии пульпита наблюдаются тупые и редкие боли.
- Запущенные формы пульпита характеризуются нарастающей болезненностью, которая постепенно становится длительной и пульсирующей.
- При постукивании по зубу возникает боль.
Острый пульпит характеризуется следующими признаками:
- Интенсивная иррадиирующая боль, распространяющаяся по ветвям тройничного нерва.
- Усиление зубной боли в ночное время.
- Периодическое появление зубной боли.
- Чувствительность зуба к термическим раздражителям.
- Боль продолжается после удаления раздражителя, в отличие от кариеса.
- Отсутствие или слабая чувствительность при постукивании по зубу.
В острой стадии пульпита боль не исчезает в течение 15-20 минут после устранения раздражителя, что является основным отличием от кариеса зуба. Больные часто испытывают трудности с определением больного зуба, так как боль распространяется на всю челюсть. Болевые ощущения становятся более острыми при переходе от серозного пульпита к гнойному. Развитие гнойного процесса сопровождается пульсирующей, стреляющей и рвущей болью, а безболевые промежутки постепенно сокращаются до полного их исчезновения.
Хроническая форма пульпита характеризуется:
- Появлением болевых ощущений в основном при обострении болезни.
- Болезненностью при постукивании по зубу.
- Фиброзный пульпит часто протекает бессимптомно или с незначительными проявлениями.
- При гипертрофическом пульпите в области кариеса может обнаружиться гипертрофированный полип.
- Рентгеновские исследования подтверждают, что в половине случаев пульпит временных зубов сопровождается деструктивными изменениями в околозубных тканях.
- Хронический гангренозный пульпит сопровождается болевыми ощущениями и чувствительностью к горячему (холод уменьшает боль).
Хронический пульпит обычно имеет симптомы острого пульпита с периодическими обострениями. Лечение хронического пульпита является более сложным, чем лечение острого.
**Обострение хронического пульпита**
Клинические симптомы характеризуются приступообразной зубной болью различной интенсивности и возникновением боли при воздействии внешних раздражителей, которая распространяется на соседние зубы и ткани. Также возможно появление тупой боли, которая усиливается при нагрузке на зуб. Чаще всего такие зубы уже страдали от хронического пульпита. Канал зуба открыт, при проведении исследования пульпы наблюдается сильная боль.
На рентгеновском снимке можно увидеть расширение периодонтальной щели или разрежение кости периапикальной зоны.
Чаще всего развивается хронический пульпит, когда зубы не были своевременно лечены или обработка корневых каналов была выполнена неправильно, при наличии негерметичности зуба (коронка, пломба) и заполнения канала. Такая форма обычно прогрессирует в периодонтит.
Диагностика пульпита
У каждого пациента заболевания зубов имеют свои особенности. Диагностика пульпита усложняется тем, что не у всех пациентов существует пульсирующая сильная боль, которая обычно связана с этим заболеванием. Поэтому для правильной диагностики пульпита необходимо учитывать его причины, а также определить периодичность и интенсивность зубной боли.
Для установления правильного диагноза стоматологи применяют дифференциальную диагностику. Она включает рентгенологическое обследование пациента и информацию, полученную при визуальном осмотре. Важным фактором являются также рассказы пациента о длительности и характере болевых ощущений (колющие, тянущие или режущие). Дифференциальная диагностика пульпита позволяет стоматологу определить, какая форма заболевания присутствует у пациента, и выбрать соответствующее лечение.
Лечение
Лечение пульпита обычно включает удаление нерва и пульпы. Это можно сделать, удалив нерв в первом посещении врача под местной анестезией или умертвив пульпу, положив в зуб мышьяк, а затем удалив ее на втором приеме. После удаления проводится расширение корневых каналов, а затем они заполняются пломбирующим материалом.
Существуют два метода лечения пульпита:
-
Консервативный. Этот метод позволяет сохранить жизнеспособность пульпы и применяется в основном для молодых людей и в случае обратимых заболеваний пульпы, таких как травма. Лечение проводится так же, как при кариесе, с акцентом на тщательной медикаментозной обработке полости зуба с использованием антисептиков, антибиотиков и протеолитических ферментов. Сильнодействующие препараты, эфир и спирт не применяются.
-
Хирургический. Этот метод включает удаление воспаленной пульпы и заполнение корневых каналов пломбирующим материалом. Удаление пульпы может быть выполнено двумя способами: витальным (для всех форм пульпита) с применением общего или местного обезболивания и девитальным (после удаления нерва).
Выбор материала для пломбирования зависит от решения врача. В настоящее время наиболее популярным считается гуттаперчевый штифт, который не рассасывается. После пломбирования пациента направляют на рентген, чтобы оценить качество заполнения корневых каналов. Зубы должны быть запломбированы до верхушки канала. Последний этап — установка пломбы. Квалификация врача влияет на эффективность лечения.
Профилактика
Правильный уход за полостью рта, регулярные посещения стоматолога и своевременное лечение кариеса являются основными профилактическими мерами против развития пульпита. Если не проводить лечение пульпита, он может прогрессировать до периодонтита или некроза. Поэтому регулярные посещения стоматолога являются необходимыми для предотвращения развития заболеваний зубов. Рекомендуется посещать стоматолога раз в полгода, чтобы избежать возникновения проблем с зубами в будущем.






