Установка диагноза
Во время простуды, в носовых ходах появляется инфекция, которую вызывают патогенные бактерии, что приводит к отеку слизистой оболочки носа и заложенности носа. Сначала появляется прозрачная слизь («течут сопли»), а затем она становится густой и зеленой. Появление зеленой слизи свидетельствует о сильном воспалительном процессе. Когда у нас насморк, мы часто сморкаемся, стараясь изо всех сил очистить нос. Однако мы часто забываем, что носовые ходы тесно связаны с гайморовыми пазухами, которые расположены по обе стороны носа, под глазами. Интенсивное сморкание может привести к тому, что слизь попадет в пазуху и вызовет воспаление — гайморит.
Диагноз гайморита устанавливается врачом после осмотра: он вводит специальный расширитель в нос и внимательно осматривает каждую ноздрю.
Однако точное определение заболевания возможно только после изучения рентгеновских данных. Пациенту проводят процедуру рентгенографии, и если присутствует гайморит, область между глазами и верхней челюстью будет иметь непрозрачный, белый оттенок.
Вы можете самостоятельно определить гайморит, выполнив следующее: встаньте и медленно наклонитесь вперед. Если у вас есть гайморит, то вы почувствуете тянущую боль в области гайморовых пазух и лба.
В некоторых случаях возникает ситуация, когда корни верхних зубов расположены в непосредственной близости к гайморовым пазухам, что приводит к постоянным болям в верхней челюсти у человека, страдающего гайморитом.
Острый и хронический гайморит
Жгучий гайморит проявляется постоянной болью в голове, обильными слизистыми выделениями из носа, ощущением давления и распирания изнутри. Пациент испытывает слабость и усталость.
Если не обращать внимание на гайморит, он может прогрессировать до хронической формы. Хотя боль постепенно уменьшается, заложенность носа и периодические головные боли могут оставаться. МирСоветов рекомендует избегать излишнего употребления сосудосуживающих средств для облегчения дыхания через нос. Хотя многие часто прибегают к таким препаратам, в случае гайморита это не поможет избавиться от недуга, а лишь может вызвать привыкание к лекарствам.
Важно отметить, что при длительном хроническом воспалении синусов в носу постоянно присутствует очаг инфекции, поэтому любое переохлаждение или чрезмерное употребление алкоголя (алкоголь — сильный удар по иммунитету) приводит к продолжительному насморку. При неблагоприятном течении хронического воспаления синусов в носу могут развиваться полипы, которые необходимо удалять хирургическим путем. Самым неприятным последствием хронического воспаления синусов является потеря способности ощущать запахи.
При острой форме гайморита врач рекомендует применение антибиотиков. На сегодняшний день существуют эффективные лекарства, способные победить заболевание всего за три дня. Это могут быть препараты Зитролид или Макропен. Рекомендуется принимать по одной капсуле в день перед едой, запивая большим количеством воды.
Существуют и более древние антибиотики, которые применяются для лечения гайморита, такие как ампициллин, амоксициллин, цефалексин. Выбор конкретного антибиотика зависит от предпочтений врача и наличия или отсутствия у пациента аллергии на определенные виды антибиотиков. Для облегчения дыхания врач может рекомендовать применение сосудосуживающих средств и пояснит, как часто их следует использовать (галазолин, назол, отривин и другие). Если есть подозрение, что гайморит был вызван аллергической реакцией, могут быть назначены противоаллергические препараты: Кларотадин, Тавегил, Цетрин, Супрастин, Зиртек, Кларитин.
Промывание носа
Для очистки носа рекомендуется использовать солевой раствор или тёплую минеральную воду без газа, (или тёплую кипяченую воду) 2-3 раза в день. Желательно проводить процедуру с использованием специального устройства для промывания носа (например, Долфин или Ринолайф), либо капать по 2-3 капли и тщательно высмаркиваться. Важно избегать затягивания воды в нос и использования спринцовок (так как это может привести к попаданию воды в пазухи и слуховые трубы), вместо этого можно воспользоваться специальными спреями для промывания носа:
Аква Марис — это природная морская вода,
Морская вода Humer-150 предназначена для использования у взрослых и детей. Она не разбавлена, стерильна и изотонична, и предназначена для промывания носа.
Для лечения насморка рекомендуется использовать препарат Полидекса с фенилэфрином, делая по одному впрыскиванию четыре раза в день в течение 7-10 дней.
Эреспал принимается по одной таблетке три раза в день в течение 10 дней. Этот препарат обладает противовоспалительным действием.
Получение консультации от отоларинголога (возможно потребуется проведение пункции пазухи — врач принимает решение на основе рентгеновского снимка) .
В случае отсутствия прокола, который действительно необходим, возможно образование гноя, а также возникновение полипов и других осложнений.
Симптомы
Ниже приведены основные признаки различных форм гайморита. Если вы заметите у себя хотя бы один из этих симптомов, немедленно обратитесь к врачу. Он проведет осмотр и выдаст направление на рентгенографию:
- постоянные и неприятные головные боли, возникающие без видимых причин;
- боли, появляющиеся в области переносицы, висков, надбровья или лба;
- постоянное ощущение головокружения;
- проблемы с общим самочувствием и снижение работоспособности;
- нарушения обоняния;
- затруднённое дыхание;
- чрезмерная потливость;
- потеря аппетита;
- частая слезоточивость;
- нарушения сна;
- отёчность в области лица (чаще всего в области щёк или век).
Обратите внимание! В случае обнаружения подобных признаков, рекомендуется немедленно обратиться к опытному специалисту. Это поможет выявить заболевание на ранней стадии, что в свою очередь повысит эффективность и результативность лечения.
В случае игнорирования заболевания, возникает опасность возникновения серьезных осложнений!

Если в пазухах нет патологии, то на рентгене костные стенки будут иметь четкие контуры.
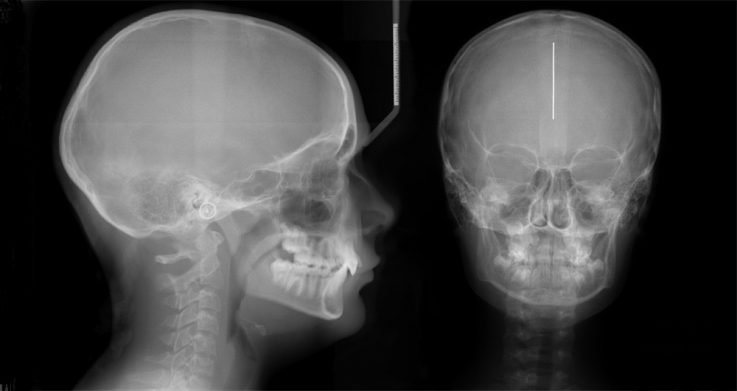
Как делают рентген пазух носа
Подготовка перед процедурой не требуется. В рентген-кабинете исследование проводится в положении лежа, сидя или стоя, в зависимости от конкретной клинической задачи. Иногда перед этим в полость заполняется контрастное вещество, которое задерживает рентгеновские лучи. Исследования с использованием контраста проводятся при подозрении на опухоли, кисты или полипозные разрастания.
Для получения рентгеновских снимков используют несколько различных проекций.
- Для создания носолобной (затылочно-лобной) проекции пациент должен лежать так, чтобы его лоб и кончик носа плотно прилегали к кассете. В результате получается фронтальный снимок синусов.
- При проведении носоподбородочной (затылочно-подбородочной) проекции пациент кладется лицом вниз, просят открыть широко рот и прикоснуться к кассете подбородком и носом. Эта проекция точно отображает особенности гайморовых пазух, а также лобных, клиновидных и решетчатого лабиринта. При подозрении на наличие жидкости в синусах (кровь, гной), исследование проводят в вертикальном положении головы и шеи пациента (чаще – сидя).
- Боковая (битемпоральная) проекция позволяет увидеть сбоку лобные и клиновидные пазухи, и в меньшей степени — ячейки решетчатого лабиринта. Полученное изображение правой и левой пазухи накладываются друг на друга, что позволяет выявить изменения в синусах в целом, однако отдифференцировать выраженность одностороннего поражения на такой рентгенограмме нельзя. Этот снимок получают, когда голова пациента своей боковой поверхностью прилегает к кассете, а рентгеновские лучи проходят чуть впереди от козелка уха (небольшого выступа в области нижней трети ушной раковины).
- Аксиальную (подбородочно-вертикальную) проекцию получают при лежачем положении пациента (на спине), при откидывании головы назад, когда ее теменная часть плотно прилегает к кассете. Эта проекция позволяет получить точное изображение обеих клиновидных пазух.
Проекции носоподбородочной и носолобной области чаще всего используются в медицинской практике. Другие проекции применяются по необходимости для более точного определения диагноза каждого конкретного случая.
После прохождения обследования на пленочных аппаратах, полученную пластинку необходимо обработать, поэтому время ожидания результатов может варьироваться от полутора часов (при срочном обследовании, за которое чаще всего взимается плата) до нескольких дней. Цифровые аппараты мгновенно выводят изображение на экран монитора, и время получения результатов зависит от загруженности врача-рентгенолога, который проведет интерпретацию рентгеновских снимков.
Показания к проведению рентгена носовых пазух
Ситуации, при которых выполняется рентгеноскопия носовых пазух:
- Затруднение дыхания, постоянный насморк и увеличенное слезотечение, обильные выделения из слизистых оболочек и потовых желез.
- Клинические или косвенные признаки наличия синусита. Направление на диагностику гайморита выдается врачом после первичного осмотра и показаний пациента.
- Сильная заложенность носа и постоянный насморк. Заложенность не проходит и не снимается средствами для очищения носа. Выход слизи слабый, температура лицевой части повышена.
- Сильная лицевая боль, отечность лица, формирующаяся в области щек и век. При тотальном заложении гайморовых пазух, скопившаяся слизь начинает давить на черепную коробку и мягкие ткани носа. Это вызывает сильную неутихающую боль.
- Доброкачественные новообразования. Опухоли с доброкачественными симптомами затрудняют дыхание через нос, вызывают ощущение постоянно заложенного носа. Определяется при первичном осмотре и для подтверждения выдается направление на диагностику гайморита на рентгеновском снимке.
- Злокачественные новообразования. Опухоли сопровождаются сильными болями, ощущение постоянно заложенного носа. Постоянно выделяется слизь желтого цвета, которая может быть первым признаком менингита. На рентгеновском снимке выглядит как область с рваными и резкими краями.
- Наличие в отделе носоглотки пациента инородных тел. Для полной проверки состояния предмета и его положения назначается рентгеноскопия вне очереди. После оценки состояния проводится оперативное вмешательство.
- Частые кровотечения из носа. Могут сопровождать доброкачественные и злокачественные новообразования в гайморовых пазухах носа, что может быть косвенным признаком острого менингита. Развития данной болезни позволять нельзя.
- Травмы носоглотки. При механических повреждениях черепной коробки назначается рентген для определения наличия осколков инородных тел и оценки степени повреждения области.
- Сильные и острые головные боли без причины. Острые приступы головной боли сопровождают острый гайморит или начальную стадию менингита. Рентгенограмма позволит диагностировать заболевание.
- Подозрение на кисты. Новообразования могут привести к осложнениям и потере функциональности органов. Киста гайморовых впадин может привести к потере функций обоняния и частично зрения. Рентгенография покажет наличие кисты и возможность ее пункционального дренирования под контролем ультразвукового исследования.
- Развитие кариеса верхних зубов. Метод рентгенограммы носовых пазух позволит определить степень поражения зубов и возможность их удаления без осложнений.
- Операция по имплантации зубов. Для определения места посадки зубного импланта и наличия патологий проводится носа.
- Полипы в гайморовых пазухах. Могут образовываться вследствие осложнения и рецидива хронического синусита. Заболеванию подвержены около 4% населения. Мужчины подвержены в большей степени.
- Снижение работоспособности и общая усталость, периодические головокружения, постоянные нарушения режима сна, отсутствие аппетита.
Рентгенологические признаки гайморита
При посещении пациентом с характерными признаками гайморита, врач обязательно назначает проведение рентгенографии в качестве дополнительного метода диагностики заболевания. Если в результате воспалительного процесса в гайморовых пазухах накапливается экссудат, на рентгеновском снимке это проявится в виде затемнений в области верхнечелюстных пазух.
Рентгенография придаточных пазух носа
Исследование придаточных пазух носа при помощи рентгеновского излучения является безболезненной процедурой, которая не требует специальной подготовки. Этот метод проводится в амбулаторных условиях в течение нескольких минут, пациент может находиться в положении стоя или лёжа. Такая процедура позволяет выявить не только воспалительные процессы, но и особенности анатомического строения носа.
Показания к рентгенографии при гайморите
Есть определенные признаки, которые свидетельствуют о необходимости сделать рентген:
- Сильная боль в голове, которая усиливается в области лба при наклоне тела вперёд.
- Продолжительное заложенность носа. Если гайморит поражает только одну сторону, то заложенность может проявляться только в одном носовом ходе.
- Неприятный запах отделений из носовой полости.
- Повышение температуры тела, общее недомогание.
- Затруднение носового дыхания.
Проекции, и что показывает каждая из них
Для более точной диагностики при подозрении на гайморит, рентгеновское исследование проводится в двух проекциях: носоподбородочной и подбородочной. Из-за особенностей положения пациента во время проведения рентгенографии, интерпретацию снимка должен осуществлять рентгенолог.
При проекции лба видно, что клиновидные пазухи и решетчатый лабиринт. Однако выявить признаки гайморита на таком снимке затруднительно, поэтому предпочтительнее провести съемку в подбородочной проекции. Это наиболее эффективное положение, позволяющее максимально просмотреть гайморовы пазухи.
Когда делается носовисочная проекция в обычном положении, височные кости могут мешать обзору, поэтому часто просят пациента широко открыть рот. В этом положении снимок делается так, что значительно улучшается вид верхнечелюстных пазух носа.
Возможность применения контраста
Для более тщательного исследования врач рекомендует провести гайморографию, если на рентгеновском снимке видна кольцевидная тень. Этот метод включает введение контрастного вещества (йод0липола) в околоносовые пазухи при местном обезболивании. Одним из целей гайморографии является выявление новообразований (кист) в полости пазухи носа.
Признаки патологических процессов в гайморовых пазухах
Заболевания верхнечелюстных пазух часто сопровождаются воспалительными процессами. Одним из главных симптомов является отечь слизистой оболочки полости носа, что приводит к закрытию естественного отверстия, через которое происходит обмен между полостью пазухи и носовым ходом.
Как следствие, в полости носа накапливается гной, который оказывает давление на стенки верхнечелюстного синуса. Застойные процессы могут вызвать головную боль и привести к серьезным осложнениям, таким как сепсис, менингит и другие.
Рентгенографические признаки гнойного гайморита
При проведении рентгенографии гайморита можно заметить чёткий контраст между чёрными пазухами и белым инфильтратом, что часто называют симптомом «молока в стакане». Если рентгенолог видит этот симптом в двух проекциях, то диагноз гайморита подтверждается. При гнойном гайморите также наблюдается чёткое затемнение области гайморовых пазух при проведении исследования в боковой и прямой проекциях.
Рентгенографические признаки полипозного гайморита
При развитии полипозного воспаления в гайморовой пазухе основным признаком является образование полипа в носовой полости. Рентгенологическое изображение полипозного гайморита характеризуется выпячиванием у стенки пазухи, направленным внутрь.
Рентгенографические признаки одонтогенного гайморита
Заболевания зубов верхней челюсти являются основной причиной развития одонтогенного гайморита. Рентгенологическое обследование показывает наличие затемнений в области пазух, а также патологические изменения в лунках зубов и утолщение костей верхней челюсти.
Особенности, как выглядит гайморит на рентгене
- Какие признаки выявляет рентгеновский снимок при гайморите?
- Какие аспекты невозможно определить на рентгеновском снимке?
Многих людей интересует, как выглядит гайморит на рентгене. Обычному человеку сложно самостоятельно определить это заболевание; только опытный оториноларинголог сможет точно определить, как выглядит гайморит на рентгене. Только специалисты знают, как происходит обнаружение гайморовых пазух и как выглядит гайморит на снимке.
Обычно врач в первую очередь обращает внимание на носовые синусы. При нормальном состоянии они не заполнены воздухом, поэтому рентгеновский снимок покажет изображение в виде темных полуовальных образований по обе стороны носовой полости.
Важно отметить, что рентгеновское излучение проникает сквозь воздушные тканевые образования, не отражаясь от них. Следовательно, рентгеновский снимок не покажет отражения от этих образований.
Если в полости носа есть жидкость, то на рентгенограмме будет видно затемнение. Врач может привести примеры рентгенограмм, чтобы проиллюстрировать этот факт. Он объясняет, что выявление гайморовых пазух не зависит от уровня или типа затемнения на снимке. Наличие затемнения не всегда означает наличие гайморита. Точно так же нельзя сразу определить наличие фронтита. Гайморит представляет собой воспалительное заболевание пазух носа, в которых может накапливаться различного вида жидкость.
При этом заболевании на рентгеновском снимке можно увидеть черные области в пазухах, содержащие светлое инфильтративное вещество. Врач может определить наличие патологии по резкому контрасту на снимке и отличить её от нормального состояния. Важно помнить, что подобное изображение на рентгене не всегда указывает на наличие заболевания. Поэтому не следует заниматься самолечением, а сразу же обратиться к отоларингологу для консультации. После установления диагноза гайморита врач назначит соответствующее лечение.
Фронтит или гайморит можно обнаружить на рентгене благодаря наличию светлых отметок на фоне черной полости вокруг носа. Однако это не так просто, как кажется. Если образуется гнойное или катаральное вещество, то на снимке это не будет выглядеть как тень. Округлое затемнение появляется при опухолевых образованиях или кистах. Разрастание злокачественных образований в придаточных пазухах носа можно увидеть только после некоторого времени. Кисты также могут увеличиваться в размерах в разных направлениях.
Было установлено, что на изображении носовых пазух виден гайморит, содержащий гной или находящийся в состоянии катарального воспаления. Однако существуют аспекты, которые невозможно обнаружить при рентгеновском обследовании: это морфологический тип инфильтрата. Гной и обычная воспалительная жидкость выглядят одинаково на рентгеновских снимках. Для того чтобы определить морфологический тип структуры, необходимо выполнить пункцию носовых пазух.
Несколько медиков утверждают, что при наличии гноя можно заметить некоторые светлые оттенки, а при наличии отека вся картина будет иметь равномерное окрашивание. Однако эксперты отмечают, что эти утверждения не подтверждены и требуют более детального изучения.
Для определения наличия кисты или опухоли необходим контрастный рентген. Болезнь хорошо видна даже на обычном снимке прямой проекции. Чтобы быть уверенным в точном диагнозе, можно провести дополнительное обследование в форме носоподборочной, подборочной и аксиальной проекции.
Важно помнить, что только медицинский специалист может проводить оценку состояния и назначать необходимое лечение.
Абсолютно недопустимо самостоятельно устанавливать диагноз и лечиться.
Гайморит на снимке рентгена с описанием
Только квалифицированный рентгенолог или лечащий врач может проанализировать рентгенограмму и дать ее интерпретацию. В случае отсутствия патологий на изображении будет показано:
- Пространство внутри носа выглядит как яркий треугольник с перегородкой посередине.
- Носовые ходы напоминают тени, расположенные с обеих сторон от полости носа.
- Верхнечелюстные пазухи представлены в виде треугольных светлых областей с четкими контурами, находящихся по бокам от полости носа.
- Лобные пазухи видны над глазницами как светлые области различной формы и размера.
Благодаря уникальным особенностям каждого изображения, возможно определить характер воспаления и точно определить его местоположение:
- Появление затемнений над носом указывает на развитие воспаления в лобных пазухах.
- Затемнения в нескольких областях могут свидетельствовать о воспалительном процессе в различных местах.
- Тени с округлой формой и отходящими нитями могут указывать на наличие полипов.
- Аллергия проявляется дополнительными затемнениями различной насыщенности.
- Катаральные воспалительные процессы хронического характера представлены как уплотнение слизистых тканей.
Признаки гайморита на рентгене
Накопление гнойного материала в синусах при гайморите можно увидеть на изображении как светлое пятно на фоне темной полости. При значительном объеме содержимого можно разглядеть его горизонтальную линию.
Иллюстрация здоровых пазух напоминает темные полуовальные полости, расположенные по обе стороны от носа. Они имеют одинаковую окраску и соответствуют глазницам. Это свидетельствует об отсутствии любых патологий. Появление даже маленьких светлых областей будет указывать на начало воспалительных процессов. Чем сильнее воспаление, тем ярче белые пятна. Кроме того, изображение носовых пазух изменится. При гайморите на рентгеновском снимке пазухи носа будут иметь неровные контуры и утолщенные стенки.
Начало патологического процесса связано с воспалением синусов лица. Позднее воспалительный процесс распространяется на лобные области. Рентгенологически это проявляется в виде затемненных областей над носом. Часто воспалительные процессы развиваются одновременно в лобных и боковых синусах. Эти признаки указывают на наличие нескольких заболеваний, таких как гайморит и фронтит.
При осуществлении диагностики врач проводит осмотр и оценку состояния решетчатой кости. Гайморит способен вызвать распространение воспаления в верхнечелюстные гайморовы пазухи. В них может накапливаться жидкость различного типа: катаральная, слизистая или гнойная. На рентгеновском снимке она будет заметна как светлое пятно с четкими контурами на фоне темной носовой пазухи.
Если при съемке изображения носа при гайморите фотокамера регистрирует наличие в пазухах четко очерченных кругов с ровными границами, то это указывает на наличие кистозных или других новообразований. При развитии патологии потребуется повторное обследование, которое зафиксирует увеличение их размеров, изменение формы и степень разрастания.
Признаки и симптомы хронического гайморита
Постоянный гайморит представляет собой серьезное заболевание, при котором одна из пазух становится изолированно пораженной. Это состояние существенно ухудшает качество жизни пациентов и требует значительных финансовых затрат на лечение.
Хронический гайморит происходит, когда острый гайморит не проходит в течение 8 — 12 недель. Это заболевание чаще бывает бактериальным, иногда грибковым, и возникает из-за простейших микроорганизмов (хламидий). Неправильное применение антибиотиков играет большую роль в развитии хронического гайморита, поскольку это приводит к длительному пребыванию микробов в пазухе, что в свою очередь приводит к изменениям в слизистой оболочке — происходит замена реснитчатого эпителия на плоский многослойный (дисплазия 1 — 2 степеней тяжести).
Заболевание всегда проявляется при ослаблении общей реактивности организма, часто вызванного дефицитом витаминов. Если консервативное лечение не дает результатов, возникает вопрос о необходимости хирургического вмешательства.
Предрасполагающие факторы играют значительную роль в формировании хронической формы заболевания.
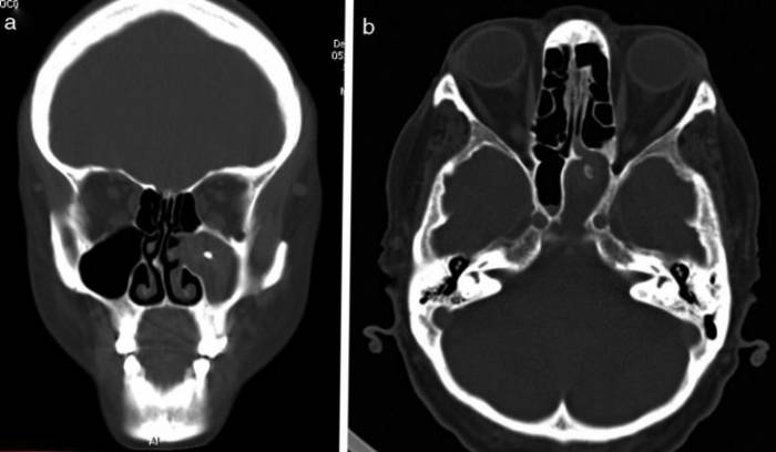
- Заблокированные дренажные пути могут быть вызваны аномалией структуры пазух носа и носовых раковин, включая искривление носовой перегородки, что может быть обнаружено при проведении компьютерной томографии (КТ).
- Особую важность в развитии этого состояния имеет сложность анатомии и узость области среднего носового хода.
Длительное заболевание, период усиления симптомов. В правой полости носа наблюдается накопление жидкости.
Признаки и симптомы хронического гайморита
Характерными признаками хронического гайморита являются заложенность носа и выделения из носа, а также дополнительные проявления, такие как головная боль, боли в области синусов и ухудшение обоняния.
При заболевании люди жалуются на затруднение дыхания через нос, особенно зимой. Выделения происходят с одной стороны и в основном имеют слизисто-гнойный характер. Кашель, особенно ночью, часто является признаком хронического гайморита. Наблюдается утолщение слизистой оболочки и образование полипозных выростов.
Усиление симптомов хронического гайморита часто происходит после перенесенных ОРЗ. Пациенты испытывают усиление головной боли, повышение температуры тела, слабость и недомогание, затрудненное носовое дыхание. Через несколько дней после начала обострения слизистые выделения из носа сменяются гнойными, что может вызывать неприятный запах изо рта. Попадание гнойных выделений в глотку может вызвать кашель, особенно ночью. Иногда выделения из носа могут отсутствовать.
Головная мигрень проявляется в области лба или за глазом. Один из симптомов — ощущение тяжести при поднятии верхнего века. Когда в процесс вовлекаются ветви тройничного нерва, боль становится острой, распространяется в область глаза и верхней части рта, и не утихает даже при приеме обезболивающих. После удаления гнойного содержимого из придаточной пазухи боли ослабевают, но через несколько часов гной снова начинает накапливаться. Для диагностики этих симптомов используются эндоскопическое исследование и КТ.
Осложнения хронического гайморита
Костная стенка отделяет гайморову пазуху от окружающих тканей и органов, и она не содержит надкостницы.
- Воспалительный процесс может привести к формированию субпериостального абсцесса, симптомы которого зависят от его местоположения. При абсцессах, расположенных вблизи орбитального края, проявляются такие признаки, как покраснение, отечность и припухлость нижнего века, иногда также щеки, отек конъюнктивы глаза.
- Распространение инфекции в область орбиты глаза может привести к поражению структур глаза, что в конечном итоге может привести к нарушению зрения. Первые признаки осложнения проявляются покраснением, отечностью и припухлостью нижнего века и щеки.
- Менее серьезными считаются осложнения, связанные с потерей обоняния и вкусовых ощущений.
- У детей часто причиной поражения костной перегородки является остеомиелит, возникновение которого связано с наличием кариозных зубов.
У детей гораздо чаще возникают осложнения при хроническом гайморите, чем у взрослых, и у мужчин они встречаются в два раза чаще, чем у женщин.
Воспалительный процесс в пазухе может привести к развитию субпериостального абсцесса.
Как часто можно делать рентген носовых пазух
Не существует жестких рекомендаций относительно частоты проведения рентгенологических исследований. Современное оборудование обеспечивает минимальную лучевую нагрузку. Например, при заболеваниях, таких как пневмония, может потребоваться проведение до 4-5 рентгенографий за два месяца. Хотя это не самое приятное занятие, но если необходимо, то необходимо.
Что касается гайморита, отоларинголог обычно может диагностировать его по клинической картине. Тем не менее, для подтверждения диагноза все равно требуется проведение рентгенографии (особенно при наличии гнойного гайморита, когда возникает вопрос о необходимости пункции синусов). При гайморите выделения обычно имеют гнойный характер. Если выделения прозрачные и продолжительные, возможно, стоит обратить внимание на возможное аллергическое ринитное заболевание. Можно провести риноцитограмму или попробовать лечиться антиаллергическими каплями.
Частые вопросы
Какие рентгенологические признаки характерны для гайморита?
При гайморите на рентгенограмме обычно видны затемнения в области синусов, а также увеличение размеров слизистой оболочки синусов.
Какие критерии помогают поставить диагноз гайморита при рентгенологическом исследовании?
Для постановки диагноза гайморита при рентгенологическом исследовании важны наличие затемнений в области синусов, увеличение размеров слизистой оболочки синусов, а также симптомы воспаления в этой области.
Полезные советы
СОВЕТ №1
При подозрении на гайморит необходимо провести рентгенологическое исследование пазух носа для выявления воспалительных изменений и наличия слизистого отека.
СОВЕТ №2
Для постановки диагноза гайморита на рентгенограмме должны быть видны темные области, указывающие на заполнение пазух гнойным содержимым, а также наличие жидкости или полипов в пазухах.









