Паразитарное заболевание, вызываемое цистицерками, известно как цистицеркоз. Причиной этого заболевания является ларва свиного цепня.
Тениоз — это опасное заболевание, вызванное гельминтами, которое может повредить мозг и внутренние органы человека. В некоторых случаях заражение может привести к смертельному исходу.
Описание заболевания
Цистицерк в стадии личинки прозрачен, внутри него содержится жидкость, размер личинки может достигать от 5 до 15 мм. Для нормального развития паразита необходимо, чтобы яйца цепня проникли в желудок, а затем в кишечный тракт человека. Прочная оболочка гельминта растворяется там, высвобождаются онкосферы. Они проникают через стенки кишечника и попадают в кровеносные сосуды. По крови яйца распространяются по всем органам и тканям организма, где они прикрепляются с помощью 6 крючков и начинают свое развитие.
Личинка превращается во взрослого паразита примерно за 2 месяца. Зрелый гельминт имеет ленточную форму и может достигать длины от 3 до 7 метров. Солитёры производят проглоттиды, примерно 1000 штук, в каждом содержится около 50000 яиц, которые постепенно перемещаются к анальному отверстию. С фекалями глисты попадают в окружающую среду. Яйца свиного цепня способны сохраняться в природных условиях несколько лет.
Для предотвращения поселения гельминтов в организме человека необходимо понимать факторы заражения цистицеркозом.
Причины тениоза
К сожалению, возможно заразиться свиным гриппом в любом месте, поэтому важно соблюдать правила личной гигиены, чтобы этого избежать. Основные способы заражения:
- Руки, покрытые грязью.
- Потребление недостаточно прожаренной или недоваренной свинины, зараженной цистицерками.
- Овощи и фрукты, которые не были вымыты.
- Передача глистов от зараженного человека.
- Питьевая вода из водоемов и колодцев без предварительной обработки.
Появление тениоза может иметь серьезные последствия для здоровья человека, поэтому важно уметь распознавать признаки этого заболевания.
Симптомы цистицеркоза
У всех людей инкубационный период развития личинок паразитов может отличаться. Симптомы заболевания будут различаться в зависимости от того, где находится гельминт в организме.
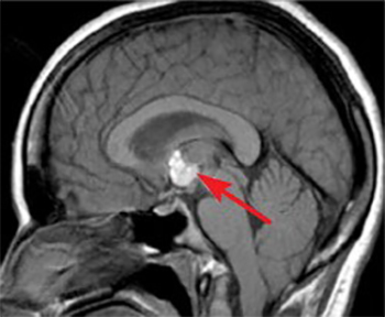
Если личинка цепня попадает в желудок человека, существует высокая вероятность того, что она сможет проникнуть в головной мозг, где может прожить от 5 до 30 лет, в зависимости от иммунитета хозяина. Выделения паразита могут отравить нервную систему, вызвать воспаление головного мозга и даже привести к его отёку.
Признаки инфицирования мозга:
- Постоянные мучительные головные боли.
- Ощущение головокружения и неустойчивости.
- Снижение чувствительности или изменения в ощущениях.
- Затруднения с произношением слов или выражением мыслей.
- Изменения в психическом состоянии или поведении.
- Видения или ощущения чего-то нереального.
- Постепенное ухудшение зрения.
- Состояние уныния или глубокая печаль.
- Эпизоды судорог или необъяснимые припадки.
- Непроизвольное извержение содержимого желудка.
Симптомы цистицеркоза кожи включают появление опухолей, которые чаще всего возникают на внутренних поверхностях плеч, грудной клетки и ладоней.
Цистицерки, пребывая в тканях внутренних органов, вызывают раздражение, что приводит к нарушению жизненно важных функций организма. Масштаб повреждений зависит от местоположения глиста.
Почти все внутренние органы человека могут быть атакованы паразитами, включая печень, сердце, легкие, поджелудочную железу, а также мышцы, кости, глаза и спинной мозг.
Когда глаза поражены, пациенты отмечают ухудшение зрения, ощущение давления в области глаз, нарушение функции хрусталика, отслаивание сетчатки, снижение зрительной функции до полной слепоты, а также возможное появление следующих симптомов:
- Сосудистая оболочка глаза становится воспаленной, что приводит к отеку слизистой оболочки.
- Возникает ощущение жжения в глазах.
- Увеличивается количество слез, наблюдается повышенное слезотечение.
- Происходит воспаление сетчатки глаза.
- Появляется конъюнктивит.
В любом случае цистицерки приводят к уменьшению размеров глазного яблока. Отдельные паразиты, обитающие в глазах и мозге, удаляются при помощи операции.
Поражение сердца цистицерками проявляется ощущением покалывания и нарушением сердечного ритма. Часто все заболевания цистицеркоза сопровождаются аллергическими реакциями, проявляющимися высыпаниями на коже.
Бывает наступает улучшение, пациенту кажется, что болезнь отступила, потому что такие периоды могут длиться долго. Но это обманчивое состояние, самочувствие может снова ухудшиться, поэтому только диагностика точно установливает причину болезни.
Диагностика
Важное значение имеют данные лабораторных исследований и общая клиническая картина для точного определения диагноза. При цистицеркозе необходимо провести следующие обязательные диагностические процедуры:
- Исследование жидкости вокруг спинного мозга.
- Анализ крови на наличие антител.
- Взятие образца кожи для биопсии.
- Обследование глазного дна.
- Полный анализ состояния крови.
- Процедура извлечения мозговой жидкости через поясничный пунктат.
- Рентгеновское обследование органов и головного мозга.
- Рентгенография черепа.
- Исследование методом магнитно-резонансной томографии.
- Процедура компьютерной томографии.
Немедленно после установления точного диагноза врач рекомендует лечение лекарствами.
Лечение цистицеркоза
Это заболевание требует лечения в стационаре под пристальным наблюдением медицинского персонала. Цистицеркоз — серьезное заболевание, которое не всегда поддается медикаментозной терапии. В первую очередь специалисты назначают антипаразитарные препараты: Празиквантел, Цезол, Цестокс, Билтрид, Мебендазол. Через два часа после приема этих лекарств рекомендуется принять слабительное средство, чтобы паразиты покинули организм через прямую кишку.
Вместе с ними используют противовоспалительные и нестероидные препараты. Аллергию лечат препаратами против аллергии: Супрастин, Лоратадин, Диазолин, Зиртек. Могут рекомендовать препараты против судорог.
Если паразиты атаковали только мягкие ткани, и при этом глаза и мозг не пострадали, то лечение не требуется, поскольку гибель цистицерков может вызвать серьезное отравление организма. В случае поражения органов зрения и нервной системы прогноз будет неблагоприятным, исход зависит от того, насколько быстро были обнаружены паразиты. При поражении головного мозга и органов зрения личинками свиного цепня применяется хирургический метод.
Помимо применения медикаментов для лечения, можно использовать тыквенные семена и экстракт мужского папоротника. Для предотвращения заражения свиным цепнем необходимо соблюдать профилактические меры.
Профилактика тениоза
Использование профилактических мер поможет избежать множества проблем, поскольку грязные руки представляют серьезную угрозу для здоровья человека. Некоторые меры предосторожности включают в себя:
- Необходимо тщательно обрабатывать мясо перед употреблением.
- При покупке свинины в магазине следует ознакомиться со всей документацией, подтверждающей проверку мяса.
- Важно соблюдать правила личной гигиены.
- Промывайте фрукты и овощи перед их употреблением.
- Избегайте контакта с зараженными людьми.
- Регулярно проводите дегельминтизацию домашних животных.
- Не рекомендуется употреблять воду из водоемов и колодцев.
Исполнение профилактических мер понижает вероятность заражения паразитами.
Частые вопросы
Какие симптомы характерны для цистицеркоза?
Симптомы цистицеркоза могут варьироваться в зависимости от места поражения, но обычно они включают головные боли, судороги, нарушения зрения, а также повышенное внутричерепное давление.
Как можно предотвратить заражение цистицеркозом?
Основные меры профилактики цистицеркоза включают соблюдение гигиены при обращении с пищей, употреблении только тщательно приготовленной пищи, а также избегание сырой или недоваренной свинины.
Какие методы лечения используются при цистицеркозе?
Лечение цистицеркоза может включать применение противопаразитарных препаратов, хирургическое вмешательство для удаления кисты, а также лекарственную терапию для устранения симптомов и осложнений.
Полезные советы
СОВЕТ №1
Обратите внимание на симптомы цистицеркоза, такие как головная боль, тошнота, рвота, судороги, нарушения зрения. При их появлении обязательно обратитесь к врачу для диагностики и лечения.
СОВЕТ №2
Соблюдайте профилактические меры, связанные с гигиеной питания и личной гигиеной, чтобы избежать заражения цистицеркозом. Тщательно мойте овощи и фрукты, обрабатывайте мясо перед употреблением, избегайте сырых или недоваренных продуктов.
СОВЕТ №3
При подтверждении диагноза цистицеркоза следуйте рекомендациям врача относительно методов лечения, которые могут включать прием противопаразитарных препаратов, хирургическое вмешательство или другие методы, подходящие для конкретной ситуации.






