Флюс, также известный как одонтогенный периостит или абсцесс десны, представляет собой гнойное воспаление челюстной надкостницы, которое обычно связано с заболевшим зубом. Это проявляется в виде гнойного нарыва, который, если не обратиться к стоматологу вовремя, может вызвать серьезные осложнения.
Причины появления флюса
Несвоевременное обращение к стоматологу может привести к серьезным осложнениям, связанным с воспалением. Одонтогенный периостит может возникать по разным причинам, включая кариес, хронический периодонтит, альвеолит, пародонтит, нагноение кисты челюсти или воспаление непрорезавшихся зубов. Травматический периостит часто возникает после удаления зуба, хирургических вмешательств, перелома челюсти или других травм зубов, которые приводят к воспалению костной ткани. Воспалительный процесс в десенном кармане, где накапливается пища, может стать источником размножения бактерий и способствовать развитию флюса. Периостит также может быть вызван временной пломбой, которая не была заменена на постоянную, а также наличием бактериальной флоры, включая стрептококки, стафилококки, Г+ и Г- палочки, гнилостные бактерии. У детей периостит часто возникает после перенесенных тонзиллитов, ангин, отитов, гриппа, когда инфекция распространяется гематогенным или лимфогенным путем. Флюс часто связывают с переохлаждениями, стрессами и физическими перенапряжениями.
Виды флюса и симптомы его сопровождающие
Тяжесть симптомов флюса может варьироваться в зависимости от формы, местоположения процесса и иммунитета пациента. Существует несколько видов одонтогенного периостита:
- Серозная форма является наиболее легкой. Она сопровождается отеком мягких тканей, покраснением слизистой оболочки и увеличением лимфатических узлов в регионе. Часто она возникает в ответ на зуб, страдающий пульпитом или периодонтитом, или же в результате травмы.
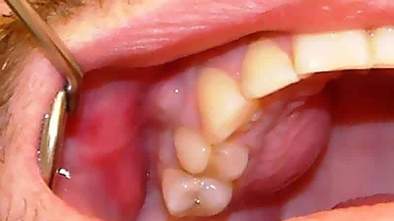
- Гнойная форма проявляется отеком и гиперемией слизистой оболочки рта и мягких тканей, а также образованием болезненного уплотнения с гнойным содержимым. Иногда отек может иметь зону флюктуации в середине, что указывает на абсцесс. К общим симптомам относятся слабость, снижение аппетита, нарушение сна и повышение температуры до 38-38,5°С. Пациенты жалуются на сильную боль, которая может распространяться в область виска, уха, глазницы, шеи и усиливаться при открывании рта и движениях челюстью. Боль становится менее интенсивной, когда образуется свищ и гной вытекает из флюса в ротовую полость. Визуально отмечается отек щеки, верхней или нижней губы, подглазничной, околоушной зоны или подбородка в зависимости от локализации флюса.
- Диффузная форма периостита характеризуется распространением отека на смежные ткани. При поражении верхних резцов отек может распространиться на верхнюю губу и область носа, а при поражении моляров — на щеку и околоушную область. Также наблюдается повышение температуры, общая слабость и снижение аппетита.
- Хронический периостит характеризуется длительным протеканием (около 4-8 месяцев и более) с периодическими обострениями. Он сопровождается отеком и гиперемией слизистой оболочки, утолщением кости в месте процесса, образованием плотного инфильтрата, увеличением регионарных лимфатических узлов и незначительным повышением температуры тела во время обострения.
Когда необходимо удалять зуб при флюсе
Удаление зуба при флюсе может быть необходимо в следующих случаях:
- Если проведенная консервативная терапия не привела к ожидаемым результатам.
- Если в зубе имеется большая трещина, которую невозможно вылечить консервативными методами.
- При наличии запущенных заболеваний, таких как кариес, пульпит или периодонтит, которые привели к значительному разрушению зубной ткани, делая невозможным проведение консервативной терапии или пломбирования.
- При наличии инфекционного процесса в тканях зуба в межзубодесновой области.
Однако следует отметить, что удаление зуба с флюсом противопоказано в следующих случаях:
- Заболевания в острой фазе.
- Первый и последний триместры беременности.
- Заболевания сердечно-сосудистой системы.
- Тяжелые заболевания нервной системы.
- Сахарный диабет.
- Нарушения системы свертывания крови.
- Послевакционный период.
Процесс удаления зуба при периостите
Перед принятием решения о необходимости удаления зуба при флюсе, стоматолог проводит рентгенографию, чтобы определить степень повреждения костной ткани зуба и челюсти. Если консервативное лечение невозможно, врач решает провести операцию, которая осуществляется в несколько этапов. В предоперационном периоде пациенту делают дренаж гноя и назначают антибиотикотерапию для снижения отека и воспаления. На первом этапе операции производится разрез слизистой ткани, окружающей надкостницу, чтобы получить доступ к корню пораженного зуба. Затем зуб удаляется по частям с использованием лазера или специальной зубной пилки. После удаления зуба рана промывается антисептическими растворами и зашивается.
Лечение флюса после удаления зуба
Флюс после удаления зуба обычно должен исчезнуть в течение трех-пяти дней. Если флюс не проходит, необходимо немедленно обратиться к врачу для получения адекватного лечения. Не рекомендуется предпринимать самостоятельные действия, так как это может только ухудшить состояние и усложнить процесс. Врач может назначить антибиотикотерапию, местную или общую, если флюс небольшой. Если консервативное лечение не дает положительного результата или нагноение слишком сильное, может потребоваться хирургическое удаление флюса. После операции пациенту назначается курс антибиотикотерапии для предотвращения прогрессирования воспаления.
Иногда флюс может образоваться непосредственно после удаления зуба из-за попадания инфекции во время операции или из-за невыполнения рекомендаций врача. После удаления зуба рекомендуется воздерживаться от еды и питья на некоторое время, не курить и соблюдать более тщательную гигиену ротовой полости, чтобы избежать развития нового воспаления. При флюсе после удаления зуба необходимо обратиться к врачу, который определит метод лечения.
При консервативном лечении обязательно назначаются антибиотики, противовоспалительные препараты и дезинтоксикационная терапия. Рекомендуется проводить полоскания рта антисептическими растворами, такими как хлоргексидин, для борьбы с бактериями и снижения зубной боли. При ослабленном иммунитете пациента могут быть назначены витамины и иммуномодуляторы. Местная терапия включает использование мазей, таких как Вишневского, Метрогил дента, Левомеколь, которые наносятся на наружную часть щеки в области гнойника. Если консервативное лечение не дает желаемого результата, может потребоваться хирургическое вмешательство.
Важно отметить, что категорически запрещается самостоятельно применять согревающие компрессы, принимать аспирин, антибиотики или обезболивающие средства перед посещением врача.
Профилактика периостита
Для предотвращения неприятного заболевания периостита, следуйте этим рекомендациям:
- Регулярно посещайте стоматолога, как минимум раз в год.
- Соблюдайте правила гигиены полости рта, чистите зубы два раза в день после еды, используйте зубные нити и ополаскиватели для рта.
- Используйте зубные пасты на основе лекарственных растений, таких как ромашка и календула.
- Своевременно лечите заболевания зубов, которые могут привести к периоститу, такие как кариес, периодонтит, альвеолит, пародонтит и киста надкостницы.
- Обращайтесь к врачу немедленно при любых травмах зубов или челюстей.
Профилактика периостита заключается в правильной гигиене полости рта. Периостит, также известный как флюс, является серьезным и опасным заболеванием. Если не обратиться к врачу вовремя или попытаться лечить самостоятельно, флюс может привести к серьезным осложнениям, таким как остеомиелит челюсти, флегмона, верхний медиастинит и даже сепсис. При первых симптомах необходимо обратиться к врачу, который назначит правильное лечение, включая консервативную терапию или хирургическое вмешательство, такое как удаление зуба с флюсом. Если после удаления зуба флюс не проходит, врач может решить провести консервативное лечение или операцию по высечению гнойника.
Для предотвращения флюса необходимо принимать профилактические меры, так как предупредить заболевание легче, чем лечить его.







