Ультразвуковая диагностика является эффективным и проверенным методом, применяемым в современной медицине. Он является уникальным средством исследования мягких тканей, не имеющим аналогов. Хотя существуют более точные методы диагностики, они обычно более дорогие или требуют инвазивных процедур. Благодаря своей безопасности и безболезненности, ультразвуковая диагностика широко используется без вреда для организма. Она является наиболее распространенным методом исследования тонкого кишечника.
Преимущества и недостатки метода УЗИ
Преимущества проведения УЗИ:
- Неинвазивный метод, не требующий инъекций или разрезов.
- Безболезненность процедуры.
- Доступная цена.
- Отсутствие ионизирующего облучения.
- Безопасность для человека.
- Лучшая визуализация мягких тканей по сравнению с рентгеном.
- Возможность наблюдения в реальном времени.
Недостатком использования УЗИ является необходимость параллельного применения других методов диагностики.
Показания к проведению ультразвукового исследования тонкого кишечника
Ультразвуковая диагностика может быть рекомендована в следующих случаях:
- Если ректоскопия выявила искривление прямой кишки.
- При наличии постоянного запора.
- Если имеется недержание каловых масс.
- Если существует риск развития перитонита, аппендицита или болезни Крона.
- При подозрении на наличие колита или инвагинации.
- Если при пальпации обнаружено неизвестное новообразование.
- В период реабилитации после хирургического вмешательства для контроля возможного рецидива.
- Если рентген показал смещение органа.
- При наличии жидкости в полости живота.
- У женщин с позадишеечным эндометриозом (возможны дефекты кишечника).
- При раннем выявлении рака прямой кишки.
- У мужчин с наличием злокачественной опухоли в простате для проверки распространения на кишечник.
Подготовка к процедуре
Точность результатов УЗИ зависит от подготовительного процесса. Процедура не требует сложной и непонятной методологии. Чтобы правильно подготовиться к процедуре, рекомендуется начать специальную диету за 3 дня до нее. Данная диета включает в себя следующие продукты:
- каши на воде;
- нежирные сорта рыбы;
- нежирные сыры;
- филе курицы или говядины;
- 1 сваренное вкрутую яйцо в день.
Врач может разрешить принимать ферментативные препараты, например, «Мезим». Если пациент принимал болеутоляющее, он должен сообщить об этом узисту. Разрешено пить слабый чай и негазированную воду. Не соблюдение диеты может снизить эффективность ультразвуковой диагностики. Запрещено употребление алкоголя, жирной, острой, копченой пищи, сока, капусты и любых бобовых. Еда должна быть употреблена часто и в небольших порциях.
Прием пищи вечером перед процедурой должен быть завершен не позднее 18.00. Вечером также рекомендуется сделать клизму из 2000 мл комнатной температуры кипяченой воды. Часто врач рекомендует препараты для очищения пищевода.
В день УЗИ запрещено пить и есть. Прямо перед началом процедуры рекомендуется выпить пол-литра чистой негазированной воды маленькими глотками, чтобы избежать попадания воздуха в кишечник. В день ультразвукового исследования запрещено употребление леденцов, жвачек, сигарет и посещение туалета за 3 часа до процедуры.
За 120 минут до ультразвуковой диагностики рекомендуется принять «Белый уголь» (10 штук) и «Эспумизан» (4 штуки).
Как выполняется УЗИ при проблемах с тонким кишечником?
Ультразвуковое исследование тонкого кишечника может быть проведено с использованием трех методов:
- Ирригоскоскопия, при которой в кишечник вводится стерильный физиологический раствор объемом 2 литра.
- Трансабдоминальное УЗИ, которое проводится с помощью специального проводящего геля, наносимого на нужный участок кожи. Пациент лежит на спине на кушетке, а узист проводит исследование, двигаясь по области исследования с помощью специального инструмента и наблюдая результаты на мониторе. После процедуры рекомендуется вытереть живот салфеткой или полотенцем.
- Эндоректальное УЗИ, при котором пациент ложится на правый бок и через анальный проход вводится специальный инструмент для обследования.
Ультразвуковая диагностика тонкого кишечника у детей
Ультразвуковое исследование тонкой кишки у детей проводится до обеда натощак. Это может быть необходимо в следующих случаях:
- Если ребенок резко потерял вес;
- Если у него есть жалобы на боли в животе;
- Если у него возникают рвотные позывы;
- Если состояние ребенка настолько тяжелое, что невозможно провести рентген;
- Если у него постоянные запоры;
- Если есть подозрение, что ребенок мог проглотить опасный предмет, который может находиться в кишечнике;
- Если у него была травма живота с возможными повреждениями внутренних органов;
- Если у него есть недержание каловых масс;
- Если у него есть пороки развития кишечника и т.д.
Ультразвуковое исследование также может быть назначено при подозрении на следующие заболевания:
- Синдром раздраженного кишечника;
- Болезнь Крона;
- Заболевание Гиршпрунга;
- Каловые камни;
- Колит;
- Нарушения строения или смешение тонкой кишки.
Перед проведением процедуры необходимо очистить кишечник ребенка с помощью клизмы с раствором натрия хлорида (1%) при температуре до 38 градусов в объеме до 0,4 литра. Грудничка следует принести на обследование непосредственно перед следующим кормлением, чтобы прошло не менее 120 минут с предыдущего приема пищи. В течение этого времени необходимо воздержаться от питья.
Детям в возрасте до 3 лет необходимо не есть как минимум 4 часа до проведения ультразвуковой диагностики. В более старшем возрасте ограничение на прием пищи составляет 8 часов.
Что видно на результатах?
Кишечник является частью пищеварительной системы, начинающейся с привратника желудка и заканчивающейся отверстием заднего прохода. В нем происходят процессы пищеварения, а также всасывание полезных веществ и выработка гормонов. Кишечник состоит из толстой и тонкой кишки. Кровь поступает через верхнюю и нижнюю брыжеечные артерии и выходит через одноименные вены.
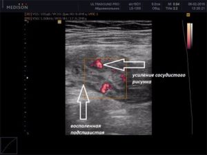
Стенка тонкой кишки состоит из слизистых оболочек, которые имеют подслизистую основу. Слизистая образует множество внутренних выростов, увеличивающих поглощение веществ в органе. Стенки также состоят из серозной и мышечной оболочек. При ультразвуковом обследовании оцениваются следующие параметры:
- размеры и форма тонкого кишечника;
- расположение относительно других органов в брюшной полости;
- структура кишки и толщина ее стенок;
- наличие воспалительных процессов;
- травмы и их осложнения;
- состояние лимфоузлов;
- наличие доброкачественных или злокачественных новообразований;
- нарушение развития тонкого кишечника;
- заболевания, связанные с тонким кишечником.
С помощью УЗИ можно диагностировать следующие заболевания тонкой кишки:
- болезнь Крона — воспалительный процесс, сопровождающийся болезненными ощущениями в брюшной полости и суставах, потерей веса, поносом, трещинами и болями в анальном проходе и т.д.;
- аппендицит;
- воспалительные процессы;
- опухоль;
- киста брыжейки;
- абсцесс;
- ишемия;
- наличие жидкости различного происхождения в брюшной полости;
- дивертикулит — воспалительный процесс, развивающийся в дивертикуле и сопровождающийся болями, рвотными позывами и повышением температуры тела;
- инвагинация — непроходимость кишечника, при которой одна его часть вваливается в просвет другой части органа.






