Фарингит
Глоточное воспаление, или фарингит, может возникнуть как самостоятельное заболевание, так и как проявление других болезней, таких как ОРВИ, грипп, ОРЗ и другие.
Инфекция, чаще всего вирусная, реже бактериальная, является основной причиной развития фарингита. Фарингит может быть вызван различными вирусами, включая:
- вирус простого герпеса;
- вирус гриппа;
- риновирус;
- вирус аденовируса и другие;
- Также бактерии и грибы: стафилококковая инфекция;
- инфекция, вызванная стрептококками;
- грибковая инфекция рода Кандида.
Аллергическая форма фарингита может возникнуть при воздействии различных аллергенов, таких как химические вещества, дым или определенные продукты, которые попадают в горло и могут спровоцировать развитие заболевания.
Фарингит может проявляться в острой или хронической форме. Если острый фарингит не будет правильно лечить, со временем он обязательно перейдет в хроническую форму. Хроническая форма не проявляется такими ярко выраженными симптомами, как острая, однако ее лечение затруднено значительно больше.
Признаки фарингита:
- интенсивная боль в горле, которая усиливается при кашле и глотании;
- покраснение и опухание задней стенки глотки, как показано на изображении;
- болезненность лимфатических узлов на шее.
Если бактериальная или вирусная инфекция начинается в области глотки и распространяется вниз к гортани, это может привести к развитию ларингита, сопровождаемого смешанными симптомами.
По поводу лечения фарингита у детей и взрослых следует отметить, что подход к нему индивидуален и должен определяться врачом. Для более эффективного контроля инфекции, которая располагается на поверхности, часто применяется местное лечение. В этом случае используются различные аэрозоли с антисептическими растворами для полости рта и горла, такие как ингалипт, хлорфиллипт или орасепт. Ингаляции также считаются эффективным методом лечения фарингита и их можно проводить с использованием небулайзера или паровых процедур. Рекомендуется полоскать горло как можно чаще, желательно каждый час. Также можно использовать леденцы для горла, например, септолет, фалиминт или фарингосепт.
Общие советы по лечению фарингита аналогичны рекомендациям для ларингита.
Диагностика
Если у детей появляются первые симптомы эпиглоттита, необходимо немедленно обратиться к врачу. Обследование должно проводиться в стационаре, где в случае необходимости пациент может быть помещен в реанимацию или отделение интенсивной терапии.
Не следует пытаться осматривать горло ребёнка самостоятельно или изменять положение его головы. Даже проведение осмотра с использованием шпателя может вызвать стеноз гортани.
Диагноз эпиглоттита подтверждается при проведении ларингоскопии, фиброларингоскопии или фарингоскопии. Эти методы исследования позволяют выявить покраснение и увеличение надгортанника, а также отёк окружающих его тканей. Иногда возможно обнаружить гнойники.
Далее проводится лабораторная диагностика, которая помогает выявить возбудителя эпиглоттита. Для этого берется мазок из зева и также производится анализ крови на наличие бактерий.
Эпиглоттит проявляется схожими симптомами с заглоточным абсцессом, ложным крупом, наличием инородного тела в гортани, коклюшем и папилломатозом.
Дифференциальная диагностика
Для врача обычно нет трудностей с определением заболевания по характерным признакам, таким как вынужденное положение больного ребенка (голова вытянута вперед, рот открыт, язык высунут).
Очень сложно будет осуществить осмотр горла у специалиста из-за риска, связанного с этой процедурой. Такое обследование может вызвать закупорку дыхательных путей.
Когда возникает подобная ситуация, специалисты проводят рентгеновское исследование горла, которое позволяет определить масштабы отека. Рентгенограмма в боковой проекции демонстрирует увеличение размеров надгортанника.
Для осмотра надгортанника в операционной необходимо использовать фиброларингоскоп. Ребенка переносят в палату в положении сидя. В операционной все должно быть готово для проведения интубации трахеи.
Не следует пытаться осмотреть глотку, отталкивая язык вниз с помощью шпателя, так как это действие может вызвать рефлекторный ларингоспазм и привести к закупорке дыхательных путей. Во время осмотра пациента необходимо иметь рядом опытного анестезиолога, который сможет помочь в создании искусственного дыхательного прохода, если потребуется.
Для того чтобы врач мог поставить диагноз, ему обычно требуются следующие данные:
- информация об истории болезни;
- просмотр гортани на картине;
- симптомы и признаки заболевания;
- определение причин заболевания с помощью анализа крови и мазка из горла.
Если у врача возникают подозрения на наличие эпиглоттита, ему необходимо провести дифференциальную диагностику с такими заболеваниями:
- Воспаление корня языка.
- Псевдокруп.
- Заболевание бронхиол.
- Инородное тело в гортани.
- Коклюш (коклюшевой кашель).
- Спазм гортани из-за папиллом.
- Гемангиома под слизистой оболочкой.
- Опухоли в области ротоглотки (мягкие ткани, множественные).
- Повреждение слизистой оболочки (химическое, термическое).
Изображение показывает состояние горла при эпиглоттите
Причины и механизмы
Запалення надгортанника частіше виникає у дітей до 5 років. Це пояснюється анатомічними особливостями: розслабленістю підслизової основи, хорошим кровопостачанням, еластичністю хрящів. Тканини продовжують рости, тому вони дуже чутливі до зовнішніх впливів. Проте патологія може виникнути й у старших дітей, іноді зустрічається епіглотит у дорослих.
В большинстве случаев патология у детей вызвана бактериальной флорой, преимущественно гемофильной палочкой. Этот микроорганизм способен формировать капсулу и переходить к анаэробному образу жизнедеятельности, что приводит к гнойному воспалению в очаге инфекции. Палочка передается от человека с респираторной инфекцией воздушно-капельным путем. У детей старшего возраста риск возникновения эпиглоттита увеличивается из-за других возбудителей, таких как стрепто-, стафило- и пневмококки, клебсиелла, вирусы (гриппа, парагриппа, герпеса). У детей со следующими состояниями риск развития эпиглоттита выше:
- Повреждения кожи (например, от тепла или химических веществ).
- Травмы и посторонние предметы, попавшие в организм.
- Реакции организма на аллергены.
- Нарушения развития мозга еще в утробе матери.
- Сниженная работоспособность иммунной системы.
- Генетическое заболевание, характеризующееся измененной формой красных кровяных клеток.
- Злокачественное заболевание лимфатической системы и другие заболевания.
Попадение возбудителя на слизистую оболочку гортани приводит к увеличению проницаемости эпителиального барьера и сосудов. Микробы, обладая патогенными свойствами, повреждают клетки и запускают воспалительный процесс. Воспаление и отек быстро распространяются на верхнюю поверхность надгортанника, связки и черпаловидные хрящи. В процесс также могут быть вовлечены смежные структуры, такие как надхрящница, мышцы и клетчатка.
При воздействии микробной флоры возникает воспаление надгортанника. Однако вероятность заболеть значительно возрастает при наличии определенных сопутствующих заболеваний (как локальных, так и общих).
Симптомы эпиглоттита у детей
Клинические проявления эпиглоттита, вызванного острой степенью затруднения дыхания, преимущественно вдохновенного типа и появлением стридора гортани, схожи с тяжелыми формами синдрома крупа (III, IV степени). Это обстоятельство, учитывая редкость данной патологии и недостаточную осведомленность врачей относительно этого заболевания, часто приводит к диагностическим ошибкам. Эпиглоттит чаще всего развивается у детей в возрасте от 2 до 5 лет, однако может встречаться у детей в возрасте от 5 месяцев до 14 лет.
Признаки эпиглоттита в первой стадии
Признаки начального периода клиники включают в себя симптомы респираторной инфекции в сочетании с болями в горле, затруднением глотания и избыточным слюнотечением, позже появляется характерный симптом — дыхательный стридор. Эпиглоттит, заболевание горла, начинается резко/внезапно с повышением температуры до высоких значений — 38 — 39°C, общее состояние ребенка тяжелое/очень тяжелое — проявляются озноб, бледность, возможен цианоз, заторможенность, характерный симптом — избыточное слюнотечение. Пациент предпочитает занять вынужденное сидячее положение, голова бросается назад, подбородок выдвигается вперед, рот открыт, язык выпячивается изо рта, наблюдается избыточное слюнотечение.
Основные признаки заболевания: частое затрудненное дыхание как при вдохе, так и при выдохе. Характерны шумное дыхание, затрудненное глотание, учащенное сердцебиение, синюшность кожи, втянутость грудной клетки и области шеи. Признаки острой блокады дыхательных путей могут быстро усугубиться, приводя к полной непроходимости в течение 4-6 часов после начала симптомов.
Гортанной хрящ находится выше голосовых связок, это еще один орган, который у детей больше, чем у взрослых. При острой инфекции гортани он значительно увеличивается и блокирует всю нижнюю часть гортани.
Отличительной чертой эпиглоттита является то, что, в отличие от крупа, происходит закупорка пищевода, что приводит к появлению у ребенка слюнотечения вместе со стридором.
Причины
При простуде чаще всего возбудителем эпиглотита является гемофильная палочка типа В, которая также может вызывать воспаление легких (пневмонию) и мягкой мозговой оболочки (менингит). Передается это заболевание воздушно-капельным путем. Возможно, у человека может происходить бессимптомное носительство патогенной палочки в носоглотке. В неблагоприятных условиях она становится активной и вызывает развитие заболевания.
Другие микроорганизмы также могут быть причиной эпиглоттита:
- бактерия пневмококка, вызывающая воспаление легких и менингит;
- разновидности стрептококков (A, B, C), которые могут привести к гнойничковым заболеваниям, ангине и ревматизму;
- дрожжеподобный грибок из рода кандида, который может вызвать молочницу;
- вирус варицелла-зостер, вызывающий ветрянку.
В дополнение к простуде, эпиглотит может возникнуть в результате:
- повреждения с нарушением надгортанника (включая механические повреждения, такие как рыбная кость),
- повреждение кожи (при употреблении слишком горячей пищи или напитков, при контакте с химическими веществами, чаще всего кислотами и щелочами),
- употребление кокаина или других наркотических веществ.
В период с начала и середины XX века эпиглотитт был довольно распространен, особенно среди детей в возрасте от 2 до 7 лет. Однако после проведения обязательной иммунизации детского населения от гемофильной палочки в рамках национальной вакцинационной программы, запущенной в 1985 году, количество случаев заболевания эпиглотитом значительно сократилось.
Причины возникновения эпиглотита:
- Пол. У мужчин заболевание проявляется чаще, чем у женщин.
- Раса. Люди с темным оттенком кожи более подвержены заражению.
- Социальный статус. Ограниченный доступ к медицинской помощи, включая вакцинацию, для людей, проживающих в нищете, способствует более широкому распространению эпиглотита.
- Принадлежность к организованному коллективу. Дети, посещающие детские сады, школы и различные секции, чаще подвержены заболеванию. Среди взрослых риск заболеть выше у офисных работников, трудящихся на заводах и фабриках, чем у индивидуальных предпринимателей.
- Уровень иммунной защиты. При ослаблении иммунитета повышается восприимчивость к болезням.
Клинические виды
Отечная форма проявляется:
- при глотании вызывает дискомфорт
- признаками отравления – попадании в кровь продуктов разложения и обмена микробов (усталость, сонливость),
- болезненность, выявляемая при ощупывании (один из методов обследования – определение патологических отклонений путем ощупывания) шеи,
- повышение температуры до 37-390С,
- ярко-красное покрытие слизистой оболочки надгортанника.
Отклонений в работе нижних отделов гортани не выявлено. Результаты общего анализа крови свидетельствуют о увеличении скорости оседания эритроцитов (СОЭ) и повышении уровня лейкоцитов (лейкоцитоз). Эти признаки не являются специфичными и могут указывать на наличие воспалительного процесса.
Инфильтративная и абсцедирующая форма
При развитии инфильтративной или абсцедирующей форм острого эпиглотита общее состояние пациента становится серьезным.
- Температура при этом поднимается до 38-390C,
- мешает невыносимая боль в области горла,
- ощущение нехватки воздуха, затруднение дыхания.
- На языке – грязновато-серый налет, заднее небо отечное, красное, отек распространяется на синусы и складки между гортанью и задним небом.
- При абсцедирующей форме сквозь отечную слизистую оболочку просвечивает гной.
Осложнения
Если начать лечение слишком поздно, то могут возникнуть проблемы в виде:
- полной блокировки дыхательных путей (если не будут предприняты срочные меры, это может привести к фатальным последствиям);
- Закрытие дыхательных путей из-за воспаления гортани;
- воспаления легких (пневмония);
- лимфаденита шеи (увеличение лимфатических узлов на шее);
- воспаления сердечной оболочки (перикардит);
- воспаления плевры (скопления жидкости в плевральной полости).
Причины
Главной причиной острого эпиглоттита является бактерия Haemophilus influenzae типа b, принадлежащая семейству гемофилусов. Этот вид бактерий ответственен не только за эпиглоттит, но также за заболевания, такие как пневмония и менингит. Введение вакцинации против этого патогена в 1985 году привело к существенному снижению числа заболевших детей и взрослых.
Как бактерии попадают в организм человека
Бактерии могут попасть в организм человека через воздушно-капельный путь и затем обосноваться в полости рта или носоглотке, где они могут оставаться в спящем состоянии до тех пор, пока не наступят условия, благоприятные для их размножения.
Разумеется, не только упомянутая выше бактерия может вызвать заболевание, известное как эпиглоттит. Этим заболеванием могут быть вызваны следующие возбудители:
- инфекция, вызванная грибком из семейства кандиды;
- бактерия стрептококка;
- вирус варицелла-зостер, вызывающий ветрянку;
- бактерия пневмококка.
Существуют и иные причины заболевания. Например, часто болезнь возникает после травмы гортани или при ожогах, например, при попадании горячего чая и так далее.
Факторы, способствующие возникновению заболевания у взрослых, могут быть различными, включая:
- курение;
- попадание чужеродного предмета в органы дыхания;
- химическое поражение, особенно при употреблении метилового спирта, который часто путают с обычным алкоголем люди, страдающие алкогольной зависимостью;
- употребление наркотических веществ (кокаин, героин).
Имеются определенные факторы, которые могут повлиять на развитие заболевания. Например, мужчины и мальчики чаще подвержены заболеванию, чем женщины и девочки. Кроме того, у людей с темным цветом кожи риск заражения бактериями, вызывающими эпиглоттит, выше, чем у лиц белой расы.
Слабый иммунитет или временное понижение защитных сил организма способствует быстрому размножению бактерий и также увеличивает риск заболевания. Особенно быстрое распространение болезни наблюдается в крупных городах из-за передачи инфекции через воздушно-капельный путь. Патогенные бактерии поражают эпителий и проникают внутрь, вызывая местный отек и воспаление – это и является основными признаками данного заболевания.
Клинические проявления
Характерной чертой симптомов острого эпиглоттита является внезапное начало, обычно вечером, когда спящий ребенок вдруг просыпается из-за боли в горле, затрудненного дыхания и высокой температуры выше 38 °C.
У ребенка наблюдается изменение тональности голоса, иногда до полной потери голоса, повышенное слюноотделение. Зевок краснеет, и если аккуратно опустить заднюю часть языка, можно часто заметить увеличенный, ярко-красный надгортанник.
Острый эпизод скоротечен, и если не предпринять адекватные меры помощи, то от момента появления первых признаков заболевания до критической обструкции дыхательных путей может пройти менее 35 часов.
При осмотре заметны ярко-голубые оттенки кожи, повышенное потоотделение, бледность и сероватый оттенок кожи, нервозность и испуг у малыша. Поза вынужденная — ребенок полусидит в постели, голова наклонена назад, нос поднят вверх, рот обычно широко раскрыт, дышит, задействуя все вспомогательные мышцы, заметны втяжения в области яремной ямки, надключичных пространств и межреберных промежутков, стридорозное дыхание слышно отчетливо
Кашель проявляется нечасто, звучит отчетливо, но без мокроты; затруднено глотание, возможно появление рвоты. При лежачем положении усиливается недостаток в дыхании. Звуки сердца приглушены, учащенный пульс, слабый пульс, с ухудшением состояния — парадоксальное, «падение» на вдохе.
Стадии стеноза гортани
В начальной фазе заболевания проявляется характерными симптомами: хриплый голос, грубый кашель, который напоминает лай, и только при беспокойстве у ребенка возникает умеренная одышка при вдохе без участия вспомогательных мышц дыхания, с небольшим синюшным оттенком вокруг рта.
На второй стадии заболевания проявляется субкомпенсированная форма. Ребенок может испытывать беспокойство, тахикардию, частый лающий кашель, одышку в покое с участием вспомогательной мускулатуры, цианоз вокруг рта, который не исчезает после кашля.
3-я фаза — декомпенсированная. Показывает резкое ухудшение состояния ребенка, бледность кожи, цианоз, шумное дыхание с выраженной одышкой при вдохе и глубоким втяжением в эпигастральной области, межреберных промежутках, надключичных и яремных ямах, обширным цианозом, парадоксальным пульсом.
На четвертой стадии наступает терминальная фаза. Ребенок делает попытку вдохнуть, напрягая мышцы шеи, и открывает рот, чтобы вдохнуть воздух. Пульс становится нерегулярным, возможны судороги, развивается гипоксическая кома, а затем наступает полная асфиксия.
Существуют три типа острого отита среднего уха: отечный, инфильтративный и абсцедирующий, которые могут последовательно сменять друг друга. В случае двух последних вариантов острого отита среднего уха возможно проявление симптомов септического состояния, которые проявляются в форме явно выраженного комплекса симптомов, характерного для гемофильного менингита.
Характер течения острого эпиглоттита определяется последовательным появлением симптомов: сперва уменьшается интенсивность признаков воспаления эпиглотты, затем возникает стеноз гортани и подголоскового пространства (чаще всего у детей до 3 лет), а также гнойный ларинготрахеобронхит.
Степень тяжести общего состояния пациентов зависит от степени стеноза гортани, уровня гемодинамических и дыхательных нарушений, а также наличия осложнений.
В младенческом возрасте возникновение острой недостаточности дыхания при острой блокаде дыхательных путей связано с факторами, способствующими этому, и особенностями анатомии и физиологии дыхательной системы у детей.
Детские болезни
- Гипертрофия миндалин у детей
- Воспаление гланд у детей
- Недостаток железа у детей
- Нарушение сердечного ритма у детей
- Воспаление суставов у детей
- Проблемы с видением у детей
- Хроническое воспаление бронхов у детей
- Острое воспаление бронхов у детей
- Инфекции, передаваемые от матери к плоду
- Воспаление слизистой оболочки желудка у детей
- Вирусное заболевание печени у детей
- Вирусное заболевание печени у детей
- Синдром дефицита внимания и гиперактивности у ребенка
- Острое респираторное вирусное заболевание у детей
- Воспаление кожи у детей
- Аллергическая реакция на пищу у детей
- Кишечная инфекция у детей
- Нарушение пищеварения у детей
- Затрудненное стул у детей
- Воспаление слизистой оболочки глаза у детей
- Острая форма лейкоза у детей
- Грибковое заболевание кожи у детей
- Воспаление мозговых оболочек у детей
- Нарушение осанки у детей
- Недоношенные дети
- Избыточная масса тела у детей
- Ожоги у детей
- Воспаление среднего уха у детей
- Воспаление легких у детей
- Вирусное заболевание, поражающее спинной мозг
- Прорезывание зубов
- Рахит
- Насморк у детей
- Сахарный диабет у детей
- Синдром Дауна
- Искривление позвоночника у детей
- Травма головного мозга у ребенка
- Воспаление миндалин у детей
- Воспаление мочевого пузыря у детей
- Вирусная инфекция у детей, поражающая кишечник
- Недержание мочи у детей
- Воспаление надгортаника у детей
- Эпилепсия у детей
Клиническая картина
Эта болезнь проявляется чередой уникальных симптомов, включая:
- Внезапное увеличение температуры тела до очень высоких значений.
- Боль при глотании, затруднения при проглатывании пищи.
- Затруднения с дыханием. При вдохе можно услышать характерный свистящий звук.
- Общая слабость ребенка, плохое самочувствие.
- Раздражительность, нестабильное эмоциональное состояние, тревожность.
- Покраснение и отечность слизистой оболочки гортани.
- С течением времени болевые ощущения усиливаются, ребенок испытывает боль не только при глотании, но и при прикосновении к шее.
- Увеличенное слюнотечение.
- Изменение голоса (осиплость, приглушенность).
- Признаки кислородной недостаточности, включая бледность кожи, синюшность губ.
При инфильтративной форме развития заболевания возникают следующие симптомы:
- густой налет серого цвета на поверхности языка;
- изменение выражения лица (проявление боли), происходящее при глотании;
- заметное увеличение размеров надгортанника, видимое невооруженным глазом;
- образование гнойных отложений на слизистой оболочке гортани;
- затрудненное дыхание.
Эпиглоттит
Запаление эпиглотты, также известное как надгортанник, представляет собой серьезное заболевание, которое может стать причиной летального исхода из-за блокировки дыхательных путей. Надгортанник — это небольшой хрящ, основная задача которого заключается в предотвращении попадания пищи в трахею. При воспалении этого органа он быстро увеличивается в размерах и уже через 12 часов после начала заболевания может полностью блокировать дыхательные пути.
Чаще всего патология обнаруживается у детей до четырех лет, однако возможно развитие эпиглоттита и у детей старшего возраста.
Источником заболевания является бактериальное заражение. Признаки эпиглоттита включают в себя:
- повышение температуры тела;
- дискомфорт при глотании;
- изменение тембра голоса;
- затруднение воздушного обмена;
- голубоватый оттенок кожи и потеря сознания при острой недостаточности кислорода.
При своевременном начале лечения воспаления надгортанника прогноз будет благоприятным, и симптомы исчезнут через двое суток.
Обратите внимание! Если вы заметили, что ваш малыш начал испытывать затруднения с дыханием, необходимо немедленно вызвать скорую помощь, поскольку эпиглоттит развивается очень быстро. Лечение эпиглоттита требует госпитализации в больнице, иначе существует высокий риск задыхания, особенно у детей.
Метод лечения патологии включает в себя применение антибактериальных препаратов. Если больной испытывает затруднения с дыханием, то приходится прибегать к хирургическому вмешательству путем проведения трахеостомии. Это операция, во время которой производится разрез на шее и вставляется специальная трубочка в трахею, чтобы обеспечить поступление кислорода. После восстановления дыхания трубочку удаляют, и человек может продолжать свой обычный образ жизни.
Пациенты, страдающие от эпиглоттита, должны быть госпитализированы в медицинское учреждение, так как иначе существует высокий риск задушиться, особенно в случае детей. Лечение этого заболевания включает в себя применение антибактериальных препаратов. Если возникают проблемы с дыханием, пациенту может потребоваться хирургическое вмешательство в виде трахеостомии. Эта операция включает в себя создание разреза на шее и введение трубки в трахею для обеспечения поступления кислорода. После восстановления дыхания трубку удаляют, и пациент может продолжить свою обычную жизнь.
Каждое заболевание, будь то фарингит, ларингит или эпиглоттит, обладает своими особенностями. Поэтому лечение любой из этих патологий должен проводить только специалист, самолечение недопустимо. Также помните, что все упомянутые в статье препараты носят информационный характер и ни в коем случае не призваны стимулировать желание к самостоятельному лечению.
Лечение
Лечение эпиглоттита с использованием антибактериальных препаратов
При диагностике эпиглоттита у детей, специалист может определить наличие заболевания после визуального осмотра, во время которого можно заметить красноватый и отечный надгортанник. У взрослых процесс диагностики аналогичен.
Для борьбы с этим заболеванием необходимо обеспечить пациенту неотложную помощь, поскольку без своевременных мер могут возникнуть осложнения. Этот вид лечения включает в себя вызов скорой помощи или самостоятельную транспортировку больного в стационар, причем перевозить пациента необходимо исключительно в положении сидя.
В стационаре проводится терапия, направленная на устранение отёчности дыхательных путей, искоренение бактериальной инфекции, вызвавшей заболевание, и поддержание организма в период болезни.
Чаще всего срочное лечение включает в себя применение у пациента следующих антибактериальных препаратов, таких как:
- препарат амоксициллин;
- медикамент цефтриаксон;
- средство клавуланат.
Выбор подходящего антибиотика зависит от тяжести симптомов и общего состояния пациента. В определенных ситуациях, когда наблюдается острая клиника заболевания, может потребоваться введение трахеального интубационного катетера и применение медикаментозной терапии. Также в условиях госпиталя проводится симптоматическое лечение, включающее назначение иммуномодулирующих препаратов и проведение антиоксидантной терапии.
Причины эпиглоттита у детей
В большинстве случаев (не менее 95%) у детей дошкольного возраста эпиглоттит вызывается гемофильной палочкой типа b (Hib — Haemophilus influenzae типа b). Кроме эпиглотитов у детей гемофильная палочка может привести к развитию эндокардитов, перикардитов, менингитов, гнойных артритов, отитов, пневмоний, пиелонефритов, фасциитов, сепсиса. Для стран, не проводящих массовую вакцинацию, распространенность инфекции оценивается в 0,1-0,2%. В России, относящейся к их числу, профилактика Hib-инфекции является актуальной проблемой практической педиатрии.
В старших возрастных группах возбудители эпиглотита у детей включают бета-гемолитические стрептококки группы A, B и C, клебсиеллы, пневмококки, золотистый стафилококк, псевдомоны, вирусы гриппа, парагриппа, простого герпеса I типа и другие. У детей с нарушением иммунной системы отмечены случаи эпиглотита, вызванного кандидозной инфекцией.
Гемофильная палочка — это грамотрицательная палочковидная бактерия, которая может существовать как в анаэробных, так и в аэробных условиях. Основными факторами патогенности этой бактерии являются способность образования капсулы и вызывание воспалительных процессов в зоне инфекции. Человек является источником и резервуаром гемофильной палочки; (бактерия присутствует в носоглотке 80% здоровых людей). Передача инфекции Hib осуществляется через воздушно-капельный путь.
Попадение вредоносного микроорганизма на слизистую оболочку дыхательных путей приводит к нарушению защитного эпителиального барьера и проникновению в подслизистый слой. В результате возникает воспаление и отек, которые быстро распространяются на поверхность надгортанника, затем на черпало-надгортанные складки, черпаловидные хрящи и другие структуры верхней части гортани. Продвигающийся отек приводит к сдавливанию надгортанника, что приводит к быстрому узкому стенозу дыхательных путей, в тяжелых случаях приводящему к нарушению дыхания и смерти.
В зависимости от степени выраженности воспалительных проявлений в надгортаннике, у детей выделяют отечную, инфильтративную и абсцедирующую формы эпиглоттита. Воспалительному процессу могут подвергаться мышцы, межмышечная клетчатка и надхрящница.
Риск заболевания эпиглотитом у детей повышается, если они получили химические или термические ожоги, травмы (включая инородные тела) гортани и глотки; страдают от аллергических заболеваний, перинатальной энцефалопатии; имеют иммунодефицит, лимфогранулематоз, серповидно-клеточную анемию; или часто болеют.
Симптоматика

Чаще всего появление эпиглоттита связано с предшествующими респираторно-вирусными инфекциями. Эта болезнь характеризуется быстрым прогрессированием – отёк может привести к полной блокаде дыхательных путей и возникновению проблем с дыханием всего за несколько часов.
Первые признаки, на которые нужно обратить внимание родителям ребенка и взрослым с этим заболеванием, включают в себя:
- внезапный подъем температуры;
- затрудненное глотание;
- появление шипящего звука при дыхании.
Общие признаки заболевания включают в себя:
- усталость;
- нервозность;
- бессилие;
- тревожность.
Чаще всего при осмотре заметно воспаленное горло, причем покраснение распространяется на всю область глотки, но более ярко выражено в центральной части.
Также имеются и другие признаки, которые могут вызвать подозрение на наличие эпиглоттита у человека. У ребёнка или взрослого происходит излишнее слюнотечение, изменяется тембр голоса, он становится более глухим и хриплым, затруднено дыхание, и из-за недостатка кислорода, поступающего в кровь, появляется цианоз губ.
Перед тем, как начать лечение, необходимо провести диагностику данного патологического состояния, учитывая такие заболевания, как ложный круп, истинный круп, острый тонзиллит и фарингит. Существует три формы заболевания — эпиглоттит.
Существует первая форма заболевания, которая проявляется отёчностью, сопровождается гипертермией (повышением температуры тела до 39 градусов), острой и интенсивной болью в горле, усиливающейся при глотании, чувствительностью в области шеи, которая ощущается при ощупывании, а также признаками общего отравления.
Существует три разновидности эпиглоттита. Первая разновидность характеризуется отёком, сопровождающимся повышением температуры тела до 39 градусов, острой и интенсивной болью в горле, усиливающейся при глотании, болезненностью в области шеи, которая проявляется при ощупывании, а также признаками общего отравления.
Другая разновидность заболевания — инфильтративная. В данном случае пациенты находятся в тяжелом состоянии, и проявляются следующие признаки:
- неприятный белый налет на языке;
- искаженное выражение лица из-за боли при глотании;
- затруднения с дыханием;
- увеличение размеров и покраснение надгортанника, что заметно без специальных приборов;
- проявление гноя через покрасневшую слизистую оболочку;
- заметное затруднение вдоха.
У взрослых и детей третья форма этого заболевания, известная как абсцедирующая, является ещё более серьёзным состоянием.
Если лечение заболевания, такого как эпиглоттит, не начать своевременно, могут возникнуть осложнения. Самым серьезным из них является дыхательная недостаточность, симптомы которой известны каждому: хрипы при вдохе и выдохе, синюшность губ, носогубного треугольника, кончиков пальцев и слизистых оболочек, потеря сознания, судороги. Смерть при таком состоянии может наступить всего за несколько часов.
Другие осложнения могут включать в себя:
- воспаление легких;
- серозный плеврит;
- воспаление сердечной оболочки и так далее
Лечение
Для избавления от воспаления надгортанника необходимо обратиться к медицинским профессионалам, поскольку самостоятельное лечение в данной ситуации недопустимо.
При установлении диагноза эпиглоттита у взрослых, лечение будет аналогичным тому, которое проводится у детей. Тем не менее, стоит учитывать, что у младших пациентов лечение воспаления эпиглоттиса представляет собой более сложную задачу из-за быстрого прогрессирования заболевания. Поэтому при первых подозрениях на эпиглоттит необходимо обратиться за медицинской помощью.
При госпитализации основное внимание уделяется восстановлению нормальной функции дыхания. Для этого выполняется процедура введения специальной трубки в дыхательные пути пациента под общим наркозом. Комплексное лечение воспаления гортани включает в себя следующие мероприятия:
- Поскольку заболевание вызвано действием бактерий, лечение эпиглоттита осуществляется с использованием антибиотиков: амоксиклав (Ко-амоксиклав, Бисептол) и азитромицин (сумамед). Чаще всего рекомендуется внутривенное введение лекарственных препаратов для устранения причин, вызвавших заболевание.
- Также для уменьшения выраженности отравления организма, предотвращения обезвоживания и истощения, через вену вводят жидкость и основные питательные вещества (глюкозу, калий, кальций) и витамины (витамин С).
- Пациент должен находиться в помещении с увлажненным воздухом (влажность более 50%) для предотвращения пересыхания дыхательных путей.
- Медики контролируют сердечную дефицит и процесс дыхания.
Обратите внимание! Если не начать лечение эпиглоттита своевременно, существует большой риск развития дыхательной недостаточности, потери сознания, судорог и даже летального исхода в течение всего нескольких часов.
Диагностика эпиглотитта у детей
Проведение обследования ребенка с подозрением на эпиглоттит требует особой осторожности в условиях стационара с отделением реанимации и интенсивной терапии. Это связано с тем, что даже обычный осмотр зева педиатром или детским отоларингологом с применением шпателя при эпиглоттите у детей может вызвать ухудшение стеноза гортани.
Инструментальный метод, который чаще всего используется для подтверждения диагноза эпиглоттита у детей, — фиброларингоскопия. Если такая возможность отсутствует, то проводится фарингоскопия, прямая или непрямая ларингоскопия. При остром эпиглоттите у детей эндоскопические признаки включают яркую гиперемию и увеличение размеров надгортанника, его малоподвижность, отек черпало-надгортанных складок и черпаловидных хрящей. При абсцедирующей форме эпиглоттита у детей в зоне наибольшей инфильтрации надгортанника можно обнаружить подслизисто расположенный гнойник.
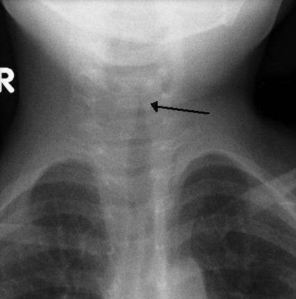
Для определения возбудителя эпиглоттита у детей проводится лабораторная идентификация, которая включает в себя бактериологическое исследование мазка из зева и посев крови на аэробные и анаэробные бактерии. Также проводится рентгенография шейного отдела позвоночника в прямой и боковой проекциях для выявления увеличенной тени надгортанника (так называемый «симптом большого пальца»).
Дети с эпиглоттитом нуждаются в различении от ложного крупа (поскольку у них нет кашля), врожденного стридора, абсцесса глотки, инородного тела в гортани, папилломатоза гортани, коклюша и других заболеваний.
Частые вопросы
Какие симптомы сопровождают воспаление гортани, надгортанника и глотки?
Воспаление гортани, надгортанника и глотки может проявляться болью и раздражением в горле, кашлем, изменением голоса, затруднением глотания, а также повышением температуры тела.
Каковы основные причины возникновения воспаления гортани, надгортанника и глотки?
Основными причинами воспаления гортани, надгортанника и глотки могут быть вирусные или бактериальные инфекции, переохлаждение, ингаляция раздражающих веществ, аллергические реакции, а также длительное напряжение голосовых связок.
Полезные советы
СОВЕТ №1
Обратитесь к врачу для получения точного диагноза и назначения соответствующего лечения. Воспаление гортани, надгортанника и глотки может иметь различные причины, поэтому важно получить профессиональную консультацию.
СОВЕТ №2
Избегайте раздражающих факторов, таких как курение, пыль, холодный воздух и раздражающие вещества, которые могут усугубить воспаление. Попробуйте использовать увлажнители воздуха и избегайте перегрузки голосовых связок.
СОВЕТ №3
Пейте теплые жидкости, такие как чай с медом и лимоном, чтобы смягчить раздраженную слизистую оболочку гортани и глотки. Также полезно употреблять теплые бульоны и супы.









