Симптоматика заболевания
Выявить данное заболевание горла можно по определенным признакам. Признаки могут различаться в зависимости от типа ангины.
Клиническая картина катарального тонзиллита
При катаральной ангине затрагиваются только верхние слои слизистой оболочки миндалин. Правильно подобранное лечение с использованием медикаментов и народных средств помогает полностью избавиться от этого заболевания.
Признаки катаральной ангины включают повышенную температуру, ощущение слабости, головную боль и боль при глотании.
Общее состояние не является серьезным, однако болезнь затрудняет обычный образ жизни. Чтобы поставить диагноз, врачу достаточно осмотреть воспаленное горло. Он заметит покраснение миндалин и отечность.
Заметка! При тонзиллите, в отличие от ангины, краснеют только миндалины, а задняя стенка и небо сохраняют нормальную окраску.
Клиническая картина фолликулярного тонзиллита
При данной разновидности заболевания симптомы проявляются более ярко. Боли становятся более интенсивными, ощущения распространяются даже на уши. При одностороннем воспалении миндалин дискомфорт ощущается в одном ухе.
Боли могут быть настолько сильными, что становится болезненно глотать пищу и даже пить воду. Лимфатические узлы становятся болезненными, температура тела может подняться до 40 градусов. Пациент чувствует сильную слабость, озноб, тянущие боли в пояснице и голове.
Клиническая картина фолликулярного тонзиллита
На данной стадии заболевания на миндалинах появляются узелки желтоватого оттенка, что в медицинской практике называется "звездным небом". Лимфоузлы увеличены и вызывают болевые ощущения. Продолжительность данного состояния составляет не более недели.
Помимо типичных признаков фолликулярной формы ангины могут возникнуть следующие симптомы:
- ощущение тошноты;
- рвота;
- понос;
- интенсивная боль в области горла;
- повышение температуры.
Примечание! При лакунарной ангине наблюдаются аналогичные симптомы, однако миндалины также покрываются белыми гнойными отложениями. Тонзиллярные пробки легко удаляются, и после этой процедуры ткани перестают кровоточить.
Клиническая картина фибринозного тонзиллита
При развитии фибринозной ангины на пораженных миндалинах формируется налет, особый вид пленки, которая иногда может распространяться за пределы воспаленной ткани. Этот налет появляется уже в самые первые часы заболевания. Этот тип ангины опасен, поскольку может вызвать повреждение головного мозга.
Клиническая картина флегмозной ангины
Признаки данного вида заболевания включают в себя:
- температура от 38 до 39 градусов Цельсия;
- неприятный запах из ротовой полости;
- увеличение размера одной миндалины;
- боль при глотании;
- увеличенное слюноотделение;
- уплотнение лимфатических узлов.
Во время воспалительного процесса происходит расплавление участка миндалины. Осмотр позволяет установить, что положение органа немного смещено к центру
В данной ситуации крайне важно оперативно предоставить первую помощь. Если лечение не приносит результатов, обычно прибегают к удалению миндалин
Клиническая картина герпетического тонзиллита
Инфекция вызывается вирусом Коксаки. Появляются как респираторные, так и пищеварительные симптомы. В начале заболевания человек становится особенно раздражительным, слабым, возникает легкая лихорадка. Затем клиническая картина становится более выраженной, и проявляются:
- образование пузырьков с прозрачным содержимым;
- появление язв;
- гнойные нарывы;
- происходит понос и рвота.
Для установления диагноза недостаточно визуального осмотра горла. Необходимо провести анализ крови.
Клиническая картина хронического тонзиллита
У людей с хроническим течением тонзиллита симптомы возникают в периоды обострений, которые случаются несколько раз в год. Следующие проявления могут быть отмечены:
- увеличенные миндалины с мягким верхним слоем;
- периодический сухой кашель из-за першения;
- налет;
- запах изо рта;
- увеличение лимфоузлов;
- боль при глотании.
Из-за продолжительного хронического течения на миндалинах могут появляться рубцы, а наличие такого процесса в организме влияет на иммунную защиту. Поэтому важно избавиться от бактериальной инфекции, чтобы улучшить общее состояние.
Антибиотики при болезни
Бактериальный тонзиллит? Используем антибактериальные препараты для лечения.
Лечение тонзиллита с помощью медикаментов должно проводиться под наблюдением врача. Самолечение может не только не принести облегчения, но и вызвать осложнения. Основное средство при лечении тонзиллита — антибиотики, которые назначаются только специалистом.
Лечение заболевания с применением медикаментов проходит в несколько этапов, начиная с выбора антибактериального препарата. Он помогает устранить инфекцию, вызвавшую заболевание, и улучшить состояние пациента.
При лечении тонзиллита обычно используются антибиотики следующих типов:
- Цефалоспорины
- Макролиды
- Пенициллины
- Линкозамиды
Обычно курс лечения антибиотиками составляет от 7 до 10 дней. В этот период рекомендуется соблюдать постельный режим, даже если после 3-4 дней от начала терапии заметно улучшение. Также рекомендуется избегать посещения людных мест и прогулок.
Медикаментозное и хирургическое лечение
Лечение заболевания миндалин требует комплексного подхода!
Помимо антибактериальных препаратов для лечения тонзиллита в домашних условиях могут применяться противовоспалительные и жаропонижающие препараты на основе ибупрофена и парацетамола.
Если наблюдается увеличение отечности горла, то назначаются антигистаминные средства. При жалобах на неприятные ощущения в области горла пациенту рекомендуется принимать таблетки и леденцы для рассасывания.
Самыми эффективными лекарственными препаратами при лечении тонзиллита считаются:
Помимо приема лекарственных препаратов рекомендуется частое полоскание ротовой полости и горла, что позволяет очистить миндалины от скопления налета и гноя. Эта процедура помогает увлажнить слизистую и избавить больного от неприятных ощущений в горле.
Для полоскания можно использовать:
- раствор Фурацилина
- солевые и содовые растворы
- отвары шалфея и ромашки
- растворы с добавлением эфирных масел пихты, эвкалипта и чайного дерева
В условиях поликлиники медикаментозная терапия тонзиллита может дополняться проведением следующих процедур:
- промывание миндалин
- отсасывание специальным электрическим насосом гноя из лакун
- инъекции лекарственных препаратов в миндалины
Кроме этого, больному могут назначить проведение таких физиотерапевтических процедур, как электрофорез, облучение ультрафиолетом, обработка ультразвуком и магнитотерапия.
Операция, в ходе которой удаляются небные миндалины, называется тонзилэктомия.
При ее проведении у пациента полностью или частично удаляются миндалины, и основным показанием к оперативному вмешательству является неэффективность консервативного лечения. Кроме того, операция назначается и в том случае, если у больного выявляются серьезные осложнения со стороны внутренних органов либо переход тонзиллита в декомпенсированную форму. В такой ситуации миндалины утрачивают свои функции и становятся хроническим очагом инфекции.
Решение о проведении операции по удалению миндалин принимается с особой осторожностью. Это связано с тем, что миндалины в организме человека выполняют важную функцию, то есть препятствуют проникновению бактерий в органы дыхания и желудочно-кишечный тракт.
Кроме того, миндалины – это один из органов кроветворения.
Признаки и симптомы хронического тонзиллита
Хронический тонзиллит проявляется в двух формах — простой и токсико-аллергической второй степени. При этом ангины при данном заболевании могут повторяться до трех раз в год, реже — до шести раз в год. Наличие гноя в лакунах миндалин является достоверным признаком ангины, даже если она протекает без симптомов. Бессимптомное течение ангин наблюдается в 4% случаев.
Сопутствующие заболевания и ангины усугубляют течение друг друга. У пациентов, страдающих гипертиреозом, сахарным диабетом, туберкулезом, заболеваниями желудочно-кишечного тракта и другими, ангины протекают тяжело и с осложнениями.
Признаки хронического тонзиллита
Характеристики хронического тонзиллита включают в себя следующие признаки:
- Сращение передних и задних дужек с миндалиной.
- Отек области верхнего угла, образованного дужками (известный как признак Зака).
- Гиперплазия верхних краев дужек (признак Б. С. Преображенского).
- Гиперемия передних дужек (известная как признак Гизе).
- Размер миндалин зависит от индивидуальных особенностей организма, может быть результатом естественного развития органа или проявлением аллергического состояния. Увеличенные (гиперплазированные) миндалины способствуют и поддерживают воспалительный процесс. Поверхность миндалин может быть рыхлой или гладкой.
- При хроническом тонзиллите скопившийся гной в лакунах может быть жидким или густым. При осмотре можно обнаружить гнойные пробки в лакунах. Наличие гноя в лакунах является причиной неприятного гнилостного запаха изо рта, что является важным признаком хронического тонзиллита.
- Увеличение шейных и подчелюстных лимфоузлов также является важным признаком хронического тонзиллита. Этот признак особенно значим в случае отсутствия воспаления в других областях головы. Каждый из перечисленных признаков может проявляться с разной степенью выраженности. Болезнь часто сопровождается хроническим фарингитом.
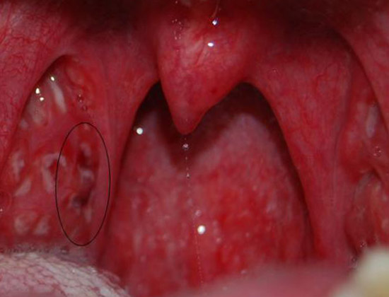
Наличие гноя в лакунах и повторяющиеся случаи ангины в течение года, сопровождающиеся симптомами токсикоза, являются надежными признаками хронического тонзиллита, обладающими высокой достоверностью.
На изображении представлен хронический тонзиллит. Присутствуют основные признаки заболевания, в лакунах наблюдается гной и гнойные пробки.
Чем лечить тонзиллит
Терапевтическая стратегия для лечения ангины различается в зависимости от ее типа. Существуют острая и хроническая формы тонзиллита. Острая форма развивается в результате инфекционного воздействия и обычно хорошо поддается лечению. Хронический тонзиллит сопровождает человека постоянно, с периодами улучшения и обострения. Ухудшение состояния может быть вызвано не только инфекцией, но и обычным переохлаждением или ослаблением иммунитета. Лечение ангины назначается с учетом этих особенностей.
Острый тонзиллит
Этот вид ангины хорошо поддается лечению. Основные моменты терапии острого тонзиллита:
- Системная терапия. Применение антибиотиков, направленных на уничтожение конкретного возбудителя, либо широкого спектра действия в случае бактериального тонзиллита. В случае вирусной или грибковой ангины рекомендуется прием противовоспалительных таблеток и иммуностимуляторов.
- Местная терапия. Помогает быстрее облегчить симптомы тонзиллита. Пациенту рекомендуется использовать специальные смеси для полоскания горла и промывания. Эффективными средствами также являются спреи для орошения и пастилки с обезболивающим, антисептическим и пробиотическим действием. Одним из эффективных препаратов для местного применения является спрей Анти-Ангин Формула, содержащий хлоргексидин, обладающий бактерицидным и бактериостатическим действием, а также тетракаин, обладающий местноанестезирующим эффектом. Удобная форма спрея обеспечивает воздействие активных компонентов препарата в нужном месте. Благодаря комплексному составу, Анти-Ангин обладает тройным действием: борется с бактериями, снимает боль и способствует уменьшению воспаления и отека. Препарат представлен в широкой линейке лекарственных форм: компактный спрей, пастилки и таблетки для рассасывания. Анти-Ангин показан при проявлениях тонзиллита, фарингита и начальной стадии ангины, таких как раздражение, стянутость, сухость или першение в горле. Таблетки не содержат сахара, поэтому следует быть осторожным при сахарном диабете, так как содержат аскорбиновую кислоту. Важно ознакомиться с инструкцией по применению лекарственного средства Анти-Ангин Формула в соответствующей лекарственной форме.
- Физиотерапия. Комплекс мероприятий, направленных на уничтожение возбудителей и смягчение симптомов.
Примечание: перед началом лечения необходимо ознакомиться с противопоказаниями и проконсультироваться со специалистом.

Как лечить хронический тонзиллит
Этот тип заболевания обычно развивается, если не лечить острую ангину. Возможность его появления увеличивается, если лечение не завершено полностью. Хронический тонзиллит бывает компенсированным и декомпенсированным. В первом случае поражаются только миндалины, а во втором также другие органы и ткани. Лечение хронической ангины аналогично острой, но с некоторыми особенностями:
- Антибиотики назначаются после определения возбудителя, но курс приема длится дольше.
- Профилактика обострений имеет важное значение. Необходимо вести здоровый образ жизни, избегать переохлаждений, следить за питанием и предпринимать все необходимые меры для укрепления организма и защиты от заболеваний.
- Иммуностимуляторы и пробиотики рекомендуется принимать не только в периоды обострений, но и для профилактики, когда риск заражения слишком высок.
- Полоскание горла при хроническом тонзиллите не всегда эффективно из-за появления гнойных пробок в лакунах, которые тесно связаны с лимфоидной тканью. В данной ситуации более эффективны промывания.
- Радикальное лечение может быть целесообразным. Это может включать удаление миндалин хирургическим или другими методами, что помогает снизить частоту обострений.
Диагностика
Определить заболевание может только специалист, основываясь на результаты осмотра и анализов.
Для точного диагноза требуется комплексная диагностика, включающая:
- осмотр отоларингологом с анамнезом;
- взятие слизи из миндалин для анализа;
- определение белых кровных клеток через анализ крови.
Иногда требуется консультация других специалистов и дополнительные обследования, например, визит кардиолога, ультразвук почек или рентген. Ангина может вызвать осложнения для любого органа: часто страдают сердце и почки.
Необходимо провести дифференциальную диагностику, сравнивая острый тонзиллит и лейкоз, рак в носоглотке и миндалинах.
Лечение
Любое проявление тонзиллита требует своевременного и полноценного лечения. Оно должно быть направлено на уничтожение вредоносной микрофлоры, снижение воздействия продуктов их разложения на организм, устранение симптомов заболевания.
Во время лечения пациент должен соблюдать постельный режим, употреблять большое количество жидкости для более быстрого вывода токсинов из организма. Чтобы не раздражать клетки эпителия, следует употреблять теплую, мягкую пищу. Необходимо исключить газированные напитки, кислые соки, острые блюда. Приготавливать пищу лучше всего на пару или варить.
Вопрос о методах лечения тонзиллита в вашем конкретном случае может быть решен только врачом после тщательной диагностики.
Аптечные средства
Лечебные препараты назначаются врачом в зависимости от типа возбудителя заболевания.
Основным средством при бактериальном ангине являются антибиотики. Их назначают, если симптомы заболевания усиливаются и высокая температура длится долго. Они снижают риск развития осложнений.
Антибиотики подбирают в зависимости от чувствительности бактерий к ним у пациента. Если невозможно определить чувствительность, то используют антибиотики широкого спектра действия.
Наиболее часто используют антибиотики пенициллиновой группы. В случае аллергии на них, назначают сульфаниламиды, макролиды, цефалоспорины. Продолжительность приема антибиотиков составляет 10-14 дней. Важно не прерывать прием преждевременно, даже если симптомы исчезли.
Для борьбы с возбудителем тонзиллита также используют местные средства в виде растворов, аэрозолей, спреев, которые обладают антисептическим действием и удаляют бактерии, отмершие клетки эпителия и гной из миндалин.
Среди антисептиков для взрослых при тонзиллите можно выделить:
- Фукорцин;
- Пропосол;
- Биопарокс;
- Грамицидин;
- Аквалор;
- Орасепт;
- Тонзилотрен;
- Гивалекс и другие.
Для смазывания горла используют растворы:
- Люголь;
- Хлорофиллипт.
Для укрепления общей сопротивляемости организма назначают иммуномодуляторы и витамины.
При болях в горле, повышении температуры и других проявлениях тонзиллита проводится симптоматическая терапия.
Для предотвращения аллергических реакций также рекомендуется принимать антигистаминные препараты (Цетиризин, Эриус, Супрастин).
Если причиной заболевания являются вирусы, то прием антибиотиков неэффективен. В течение нескольких дней иммунитет может сам справиться с вирусом. Однако важно помочь организму, чтобы предотвратить присоединение вторичной бактериальной инфекции.
Для борьбы с вирусами рекомендуется использовать следующие препараты:
- Препарат «Арбидол»;
- Препарат «Гропринозин»;
- Препарат «Амиксин»;
- Препарат «Римантадин».
Для облегчения воспаления миндалин, устранения неприятных ощущений и обработки горла антисептиками можно использовать следующие средства:
- Препарат «Ингалипт»;
- Препарат «Гексаспрей»;
- Препарат «Каметон»;
- Препарат «Гиалудент»;
- Препарат «Хлоргексидин».
Народные методы
Домашние условия предоставляют возможность использовать альтернативные методы медицины в качестве дополнительной терапии для смягчения симптомов заболевания.
Средства, эффективные при воспалении миндалин у взрослых:
- Промывание горла отваром ромашки, календулы, шалфея и дубовой коры может помочь облегчить состояние.
- Пить чай из ромашки с добавлением меда может оказать благотворное воздействие на организм.
- Использовать масло облепихи для смазывания гланд может способствовать улучшению самочувствия.
- Принимать прополисное масло за час до еды в течение 2 недель может оказаться полезным для здоровья.
- Проведение паровой ванны (при отсутствии повышенной температуры) с подорожником, липой, шалфеем и эвкалиптом может принести облегчение.
- Приготовить настой из 5 гвоздик на 0,3 л воды и принимать в течение дня также может быть полезным.
Хирургическое вмешательство
При частых случаях возникновения тонзиллита с осложнениями, которые мешают обычной жизни человека, может быть предложено проведение операции по удалению миндалин, то есть тонзилэктомии. Эта процедура выполняется под общим или местным наркозом.
Показания к проведению операции:
- Более 4 случаев обострения тонзиллита в течение года;
- Паратонзиллярный абсцесс;
- Поражение суставов в качестве осложнения заболевания;
- Полное закрытие гортани воспаленными миндалинами;
- Подозрение на наличие онкологических процессов.
В настоящее время классический метод удаления миндалин с использованием скальпеля становится все менее популярным. Более современные методы включают лазерную и холодноплазменную хирургию, а также электрокоагуляцию.
Питание и диета
Если у вас есть проблемы с тонзиллитом, то вам, вероятно, придется перейти на жидкую диету на несколько дней. Все блюда следует употреблять вареными, тушеными или на пару. Основное внимание следует уделить жидкой пище или продуктам, которые легко глотать и пережевывать. Поэтому рекомендуется употреблять супы, кисели, компоты, овощные пюре и имбирный чай.
Важно употреблять пищу в теплом виде (это помогает согревать миндалины, снимать воспаление и уничтожать микробы). В период болезни лучше заменить сахар на мед, а также немного подогреть молоко перед употреблением.
| Рекомендованные продукты |
|
| Продукты, от которых следует отказаться |
|
Частые вопросы
Какие методы лечения тонзиллита существуют?
Лечение тонзиллита может включать прием антибиотиков, применение противовоспалительных препаратов, полоскание горла антисептическими растворами, а также в некоторых случаях хирургическое удаление миндалин.
Какие домашние методы помогают облегчить симптомы тонзиллита?
Для облегчения симптомов тонзиллита можно использовать полоскание горла солевыми растворами, увлажнение воздуха, пить большое количество жидкости и отдыхать.
Полезные советы
СОВЕТ №1
Обратитесь к врачу для получения точного диагноза и назначения соответствующего лечения. Тонзиллит может иметь разные формы и требует индивидуального подхода.
СОВЕТ №2
Следуйте рекомендациям врача относительно приема антибиотиков, промывания горла, применения обезболивающих и противовоспалительных препаратов.
СОВЕТ №3
Соблюдайте постельный режим и употребляйте большое количество жидкости для ускорения процесса выздоровления.









