После удаления зуба, пациенты часто беспокоятся из-за появления белого налета на десне. Однако нет необходимости паниковать, так как это явление не представляет угрозы. Белый оттенок вызван скоплением белка фибрина, который является естественной защитой от инфекции и повреждений. Однако, не всегда это явление свидетельствует о нормальном процессе регенерации.
Нормальное восстановление
Для определения наличия патологии необходимо знать особенности различия между нормальным процессом восстановления и отклонениями. Это поможет избежать излишних беспокойств и своевременно обратиться к врачу. После удаления зуба в ямке образуется кровяная пробка, которая защищает костную ткань от бактерий и способствует росту новой кости. В результате образования кровяной пробки некоторая часть выходит наружу, что приводит к появлению своеобразного белого налета. Эта пленка временная и исчезает через несколько дней. Этот процесс является признаком успешного заживления раны. В течение нескольких месяцев происходит восстановление, включая образование эпителиальной преграды и изменения альвеолярной составляющей. Нормальный процесс заживления включает небольшую припухлость слизистой части в день вмешательства, наличие кровяной пробки, образование белесой пленки на следующий день и полное затягивание ранки через десять дней. Если заживление происходит по этой схеме, нет необходимости беспокоиться, так как это естественный процесс регенерации.
Процесс воспаления
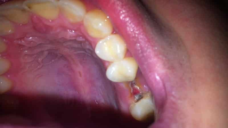
В стоматологии, воспаление ранки после удаления зуба называется альвеолитом. Это явление может быть вызвано несколькими факторами. Во-первых, инфицирование сгустка крови в ротовой полости, если не соблюдаются принципы гигиены полости рта или есть патологии горла. Во-вторых, заражение из очага периодонта, если вмешательство проводилось при возникновении рецидива. В-третьих, отсутствие кровоизлияния при использовании обезболивающих средств с адреналином, что приводит к открытой костной ткани. И, наконец, срыв защитного барьера при полоскании или приеме пищи.
Обычно альвеолит развивается в течение нескольких дней. В отличие от нормального восстановления, при котором припухлость уходит и постепенно исчезает, при альвеолите она только усиливается. Десна становится красной и болезненной. Дискомфорт постоянно присутствует и усиливается при приеме пищи и воздействии на десну. Вместо естественного белого налета в лунке после удаления зуба, при альвеолите появляется желтоватый или сероватый цвет. Иногда от человека исходит неприятный запах с гнойным привкусом.
Если кровяная пробка вымылась из ранки, патология протекает по другой схеме. Болезненность возникает через несколько дней и проявляется припухлостью и покраснением. Сама ранка выглядит как ямка на альвеолярной части. На дне ранки видны остатки кровяного содержимого и инфицированной жидкости грязного цвета.
Как лечить альвеолит
Перед началом лечения белой десны после удаления зуба необходимо проконсультироваться с лечащим врачом, чтобы определить, возникла ли она из-за воспаления. После этого начнется процесс терапии.
Для начала лечения десны следует провести диагностическое обследование, включающее рентген, чтобы оценить степень патологического процесса.
При альвеолите необходимо незамедлительно обратиться к врачу.
Исследование позволит определить наличие остатков пищи в полости зуба и выбрать соответствующую тактику лечения, так как разные стадии требуют разного подхода.
Лечение альвеолита включает следующие этапы:
- Врач проводит обезболивание пораженного участка.
- Лунка промывается шприцем, удаляются инородные части и смесь слюны с кровью.
- Затем удаляются остатки, которые не удалось промыть.
- Пораженное место дезинфицируется и высушивается с помощью марли и тампонов.
- На рану накладываются специальные повязки с марлей и антисептиками.
- При сильном воспалении врачи используют специальные гели для защиты пациента от инфекции.
Лечение альвеолита всегда включает прием антибиотиков для подавления инфекции. При этом необходимо принимать препараты для восстановления микрофлоры кишечника.
Острый край ранки
Период восстановления после раны включает два процесса: формирование новой костной и слизистой ткани. Во время этого процесса образуется кровяная пробка, которая защищает кость или рану должна быть покрыта десной. Однако, если поверхность раны выступает над другими или имеет острые края, она может повторно разорвать уязвимую оболочку и оставаться незащищенной в полости рта.
Если незащищенная часть кости не получает должной защиты, это может привести к развитию альвеолита или образованию острых краев. Даже после проведения лечения может потребоваться много времени, прежде чем белая область полностью исчезнет из полости рта. При прикосновении к этой белой точке она будет чувствоваться плотной и острой.
Если выступающая поверхность небольшая, острая часть может самостоятельно удалиться. В остальных случаях потребуется вмешательство врача. Под местным обезболиванием врач аккуратно сдвинет десну, чтобы получить доступ к выступающей части, и удалит ее с помощью специальных щипцов или инструментов. В некоторых случаях могут быть накладаны швы.
Неполное удаление
Обычно это явление способствует развитию альвеолита, но если у человека сильный иммунитет и хорошая гигиена полости рта, воспаление может не возникнуть. В первый день рана выглядит примерно так же, как и при нормальном заживлении, и только на второй и четвертый день десна отступают, и видны участки корня зуба.
Острый край раны
В этой ситуации важно немедленно обратиться за медицинской помощью, чтобы врач завершил процедуру. Обязательно попросите сделать контрольный рентгеновский снимок, на котором будет видно, свободна ли полость и нет ли скрытых очагов воспаления.
На что следует обратить внимание
После удаления зуба есть несколько состояний, на которые нужно обратить внимание:
- Если вы испытываете высокую температуру в течение трех дней.
- Если на ранке появляется сероватый или желтоватый налет.
- Если у вас возникает пульсирующая или пронизывающая боль в области удаленного зуба.
Если вы заметили наличие сероватого налета после удаления зуба, важно немедленно обратиться в стоматологическую клинику. Не стоит пытаться снять боль с помощью обезболивающих таблеток, так как они лишь временно снимут боль до вашего визита к врачу. Если дискомфорт усиливается в ночное время, рекомендуется вызвать скорую помощь.
Меры профилактики
Для предотвращения возникновения воспаления после удаления зуба, необходимо придерживаться простых профилактических мер. Важно следовать рекомендациям дантиста и принимать назначенные препараты. Вот некоторые рекомендации, которые врач может дать:
- Не удаляйте тампон с места вмешательства раньше, чем через полчаса.
- Избегайте еды на больной стороне и не трогайте патологическое место. Исключите жевательную резинку из рациона.
- Возможно, стоит воздержаться от чистки зубов в течение нескольких дней и использовать специальные средства для ополаскивания после каждого приема пищи. Обязательно проводите дезинфекцию полости рта.
- Если боль невыносима, можно принять обезболивающее средство, которое назначит врач.
- После вмешательства можно приложить холодное к патологическому участку.
В целом, соблюдение профилактических рекомендаций не является сложной задачей. Важно полностью отказаться от употребления алкоголя и табака, избегать пребывания на солнце, не посещать баню и не принимать горячие ванны. Также следует избегать курения, поскольку никотин способствует развитию инфекционных процессов и вызывает неприятный запах изо рта.







