Удаление зуба является процедурой, которая наносит травму организму. Поэтому неудивительно, что организм реагирует на это болью. Если после удаления зуба ваши десны болят некоторое время, это совершенно нормально. Более сложное удаление зуба может вызывать более сильные и продолжительные боли в десне.
Осложнения после удаления зуба
После удаления зуба, ваш врач обязательно даст вам рекомендации по процедурам, которые помогут десне зажить быстрее. Если удаление было сложным и потребовало разрезания десны, время восстановления лунки будет дольше. В таких случаях, вам могут посоветовать полоскать рот различными травяными отварами, чтобы снять воспаление и устранить болезнетворные бактерии.
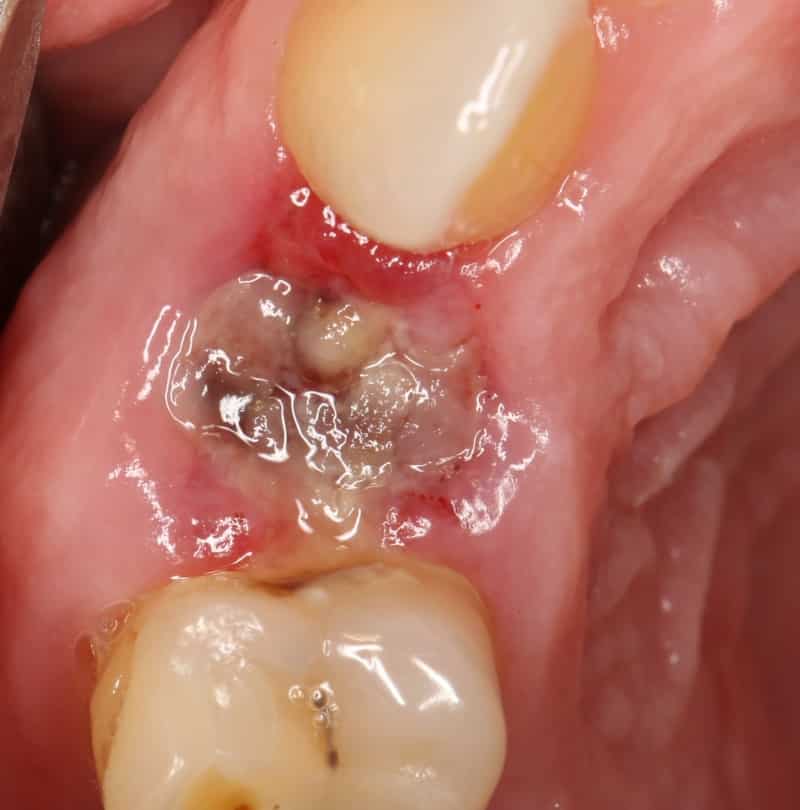
Однако, удаление зубов иногда может сопровождаться неприятными осложнениями, такими как альвеолит. Альвеолит характеризуется воспалением десны и накоплением гнойных выделений в лунке после удаления зуба. Обычно, признаки гнойного воспаления десны после удаления зуба можно заметить в течение нескольких дней.
Естественно, альвеолит необходимо лечить. Если оставить его без внимания, он может привести к разрушению тканей в пустой лунке и вызвать остеомиелит в челюстных костях. Впоследствии, это может привести к опасным воспалительным процессам. В крайнем случае, неправильное лечение альвеолита может привести к заражению крови и смерти в течение нескольких дней.
Причины осложнений
Воспаление десны может возникнуть по нескольким причинам. Во-первых, это может быть связано с небрежным отношением пациента к уходу за полостью рта после операции. Во-вторых, снижение иммунитета из-за недостатка иммуномодуляторов и витаминов в организме может также стать причиной воспаления. Кроме того, попадание опасных для здоровья бактерий в открытую рану, неправильный выбор анестезии при удалении зуба и повреждение десны во время операции могут вызвать воспаление.
Небольшое покраснение и отек десны после операции являются нормальными. Однако, если эти симптомы продолжаются более 5 дней и сопровождаются сильной болью, повышенной температурой, гнойным выделением, кровотечением и неприятным запахом изо рта, это повод для беспокойства. Нельзя надеяться, что проблема решится самостоятельно. В таких случаях необходимо незамедлительно обратиться к стоматологу.
После удаления зуба в ране образуется защитный сгусток из крови. Альвеолит, или воспаление лунки после удаления зуба, чаще всего встречается после удаления молярных зубов в нижней челюсти. Это связано с более сложной анатомией этой области, что делает хирургическое вмешательство более сложным. Кроме того, инфекция, попадая в рану, может быстро распространиться в мягкие ткани и вызвать гнойное воспаление, особенно после удаления зуба мудрости.
Заживление десны после операции
Скорость восстановления после удаления зуба зависит от нескольких факторов, включая физиологические особенности пациента, опыт врача, место удаления зуба и возможные осложнения операции. В некоторых случаях, когда зуб уже отсутствует или разрушается во время операции, стоматолог может прибегнуть к разрезанию десны, что может замедлить процесс заживления. После удаления зуба образуется кровяной сгусток, который играет роль барьера для защиты от инфекций. Этот сгусток необходимо оставить на месте, чтобы предотвратить воспалительные процессы. В течение нескольких дней сгусток меняет цвет и постепенно заживает, а открытая рана затягивается грануляционной тканью. Полное заживление мягких тканей обычно занимает около 2-3 недель, но процесс формирования новой костной ткани может продолжаться несколько месяцев. После удаления зуба может наблюдаться отёк десны, который обычно сходит через несколько дней.
Возможные осложнения после операции
После удаления зуба, возможно появление различных осложнений, которые могут быть указателем проблем. Эти осложнения включают:
-
Альвеолит: Помимо покраснения и отека лунки, обычно возникают острые боли, кровотечение и накопление гнойных выделений. Альвеолит может также сопровождаться плохим самочувствием, включая повышение температуры, дрожь, мигрени и ощущение общей слабости.
-
Киста: Это фиброзное образование, наполненное жидкостью. На ранних стадиях киста может рассосаться после медикаментозного лечения, а на более поздних стадиях может потребоваться операция для ее удаления. В некоторых случаях киста может рассосаться самостоятельно.
-
Флюс: Это воспаление надкостных тканей в области поврежденной десны. Обычно инфекция проникает туда после удаления зуба. Флюс обычно сопровождается острыми болями, отеком и припухлостью, а также повышенной температурой. Диагностика флюса может быть сложной, поэтому рентгенография может быть полезной.
В большинстве случаев эти осложнения возникают из-за заражения лунки болезнетворными бактериями. Чтобы избежать этого, необходимо тщательно ухаживать за полостью рта и осторожно чистить зубы, чтобы не повредить заживающую десну.
Также стоит помнить, что после удаления зуба, в лунке все еще остается некоторое количество бактерий, что называется первичным инфицированием. Поэтому, даже если зуб был удален полностью, инфекция не может быть полностью устранена. Однако, распространение инфекции можно контролировать, что зависит от иммунитета пациента и принимаемых им профилактических мер.
При накоплении гнойных образований следует немедленно обратиться к врачу. Кроме того, существует возможность вторичного заражения, когда инфекция проникает в десну снаружи. Основные причины внешнего заражения раны включают отсутствие защитного тромба, проникновение зараженных тел в рану (части зубов, костей, зубного камня и т. д.) и невыполнение инструкций врача по уходу за поврежденной десной.
Важно помнить, что при пониженном иммунитете даже обычное удаление зуба может повлечь заражение лунки альвеолитом.
Самостоятельные меры
Если после операции по удалению зуба возникла гнойная инфекция или проявились признаки заражения, необходимо как можно скорее обратиться к стоматологу. До посещения врача можно предпринять некоторые профилактические меры самостоятельно. Однако, стоит помнить, что не все средства допустимы в данной ситуации.
Прежде всего, важно отметить, что не рекомендуется использовать перекись водорода и раствор соды для полоскания рта. Несмотря на их антисептический эффект, эти средства могут удалить кровяной сгусток, который выполняет защитную функцию. В результате десна останутся без защиты от инфекции.
Полоскание и применение анальгетиков приносят лишь временное облегчение. Чтобы снять воспаление и ускорить заживление раны, можно воспользоваться проверенными народными средствами, такими как раствор календулы, отвар ромашки или зверобоя, прокипяченный шалфей и другие.
Однако, при использовании натуральных антисептиков важно соблюдать следующие правила:
- не следует вымывать кровяной сгусток из раны, достаточно просто подержать раствор во рту несколько минут и выплюнуть его;
- также не рекомендуется выковыривать остатки кровяного сгустка из лунки, особенно с использованием ватной палочки или зубочистки;
- раствор желательно применять несколько раз в течение часа до появления признаков улучшения.
В случае острых болей допустимо использование анальгетиков. Однако, их следует прекратить принимать за несколько часов до похода к стоматологу. Важно помнить, что средства для снятия боли и воспаления имеют только временный эффект и не устраняют саму причину заражения. Посещение стоматолога является обязательным.






