Перелом зуба — это опасное состояние, но в зависимости от его вида и симптомов требуется различное лечение. Иногда возможно сохранить зуб, но не всегда — иногда его удаление является более простым вариантом. Путем правильной диагностики можно определить вид перелома и принять соответствующие меры для его лечения.
Определение и причины
У среднестатистического человека редко случается полное ломание зубов. Это явление не частое для обычных людей, но профессиональные спортсмены и каскадеры могут столкнуться с этой проблемой как в повседневной жизни, так и во время своей деятельности. Дети, которые активно двигаются, также могут сломать свои молочные зубы при падениях и травмах. Никто не застрахован от травм, так как каждый может упасть на камень. Кроме того, драки и дорожно-транспортные происшествия также могут привести к травмам, и это неприятно. Чаще всего зубы ломаются у спортсменов и каскадеров. Травмы характеризуются изменением формы и нарушением анатомической структуры зуба. В таких случаях затрагиваются соседние ткани, возможен перелом корня или повреждение коронки. Риск ломания зубов повышен у передних зубов, особенно у центральных резцов. Помимо механических причин, переломы могут быть вызваны непрофессиональным лечением, например, при удалении поврежденного зуба. Также запущенные стоматологические заболевания могут ослабить зубы и повысить риск перелома, даже при употреблении твердой пищи. Некоторые люди, из-за особенностей строения челюсти, могут получить перелом из-за излишней нагрузки на определенные зубы. В случае ломания зуба под корень необходимо незамедлительно обратиться к лечащему врачу для правильной диагностики и составления плана лечения.
Симптомы и диагностика
Если зуб сломался под корнем, необходимо незамедлительно обратиться к стоматологу. Только лечащий врач сможет определить наличие и вид перелома. Даже если травма не вызывает особого дискомфорта, необходимо принять меры, чтобы предотвратить дальнейшее повреждение тканей, которое может привести к потере зуба. Поэтому, если зуб сломался, необходимо немедленно вызвать скорую помощь или посетить стоматологическую клинику. Задержка может привести к эстетическим проблемам, особенно если затронуты передние резцы, которые видны при общении и улыбке. В клинике проводится диагностика перелома, осуществляется обезболивание и определяется степень повреждения, чтобы минимизировать ущерб здоровью. Для постановки точного диагноза необходим осмотр и рентгеновский снимок, так как внешние признаки не всегда позволяют определить, сломан ли корень или есть ли смещение. Также необходимо исключить некроз и повреждения нервных окончаний. Отек и окрашивание эмали могут свидетельствовать о некрозе мягких тканей. Повреждения могут быть более глубокими, сопровождающимися интенсивной и непрерывной болью, а также вывихом соседних резцов. Квалифицированные стоматологи всегда стремятся сохранить зуб, поэтому проводят специальное обследование для определения степени повреждения корня. Одним из явных симптомов является интенсивная боль, если затронут корень. В случае полного перелома существует риск заражения, так как пульпа оголена. Передние резцы чаще всего подвержены переломам. Если сломался передний зуб под корнем, необходимо незамедлительно обратиться к врачу, так как каждая минута может быть решающей для сохранения зуба и его эстетического вида. Восстановительные работы требуют много времени и средств, а боль при травме может быть невыносимой. Неполный перелом может затронуть только эмаль и частично или полностью дентин. Помимо боли, признаками травмы могут быть расшатывание зубов, затруднение открытия или закрытия рта, а также кровоточивость и речевые нарушения.
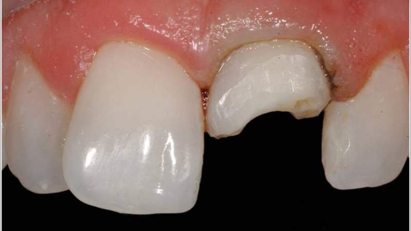
Разновидности переломов и способы лечения
Переломы зуба могут быть разделены на несколько типов. Поперечный перелом считается наиболее благоприятным, поскольку, если пульпа не повреждена, зуб можно легко восстановить путем наращивания коронки. Однако, если пульпа затронута, зуб придется удалить. Вертикальный перелом, также известный как продольный, затрудняет восстановление зуба, поскольку остатки корня после повреждения нельзя использовать в качестве штифта. Косые и оскольчатые переломы также требуют удаления зуба. Врачи не могут сразу дать ответ на вопрос о том, что делать, если зуб сломался. Для составления плана лечения требуется время для точной диагностики и анализа результатов исследований. В случае незначительных травм, может быть назначена художественная реставрация. Однако, при оскольчатых переломах, когда затронута пульпа, зуб обычно удаляют. Затем пациенту предлагаются различные варианты протезирования, которые полностью имитируют натуральные зубы. После получения травмы важно обеспечить больному неподвижность и немедленно обратиться в клинику. Если кровотечение сильное, необходимо остановить кровь, но не предпринимать никаких действий по устранению травмы. Можно приложить холод к травмированному месту, чтобы уменьшить болевые ощущения. Прием обезболивающих возможен, но стоит проконсультироваться с врачом и строго соблюдать дозировку. Важно не заниматься самолечением и своевременно обратиться к врачу для определения вида травмы и правильного лечения.
https://www.youtube.com/watch?v=7kBo6ECde4c





