Родители всегда с интересом следят за развитием своего ребенка: его первыми шагами, первыми словами. Особенно запоминается момент, когда начинают прорезываться первые зубки. Хотя это время сопровождается множеством бессонных ночей, радость, которую испытывают родители, когда все зубки наконец-то прорезываются, стоит этого.
Время летит быстро, и вот уже молочные зубы малыша начинают расшатываться. Не все мамы готовы к этим изменениям, и возникает вопрос: что делать с первым выпавшим молочным зубом?
Когда и как начинают выпадать первые зубки?
У детей первые зубы обычно появляются в возрасте от 6 до 8 месяцев и служат им около 5-6 лет. Однако процесс смены молочных зубов на постоянные может происходить в разное время для каждого ребенка, влияя на это несколько факторов.
Статистика показывает, что первый зуб выпадает примерно в возрасте от 5 до 7 лет, но бывают случаи, когда это происходит раньше. Влияют на это состояние молочных зубов, их раннее появление и развитие челюстного аппарата у ребенка. Еще одним фактором, влияющим на начало смены молочных зубов, является развитие их зачатков во время беременности, так как это происходит еще в утробе матери.
Период смены молочных зубов на постоянные может быть разным, но порядок их выпадения практически одинаков у всех детей. Сначала расшатываются нижние резцы, затем верхние. Затем могут расшатываться другие зубы в разном порядке, а клыки начинают расшатываться последними. Полноценный прикус формируется у ребенка только к 13-14 годам.
Неровный рост молочных зубов или наличие промежутков между ними не влияет на формирование прикуса после смены зубов. Постоянный прикус у детей формируется независимо от состояния молочных зубов.
Первые действия при выпадении зубов
Родители часто беспокоятся о том, как их ребенок переносит смену молочных зубов. Однако на самом деле это не так страшно. Единственное, что может вызывать дискомфорт, это шатающийся зуб. Ребенок может быть любопытным и пытаться потрогать зубик, чтобы изучить новые ощущения. В таком случае, родители должны объяснить ему, что не следует засовывать руки в рот, чтобы не заразить его инфекцией. Также важно объяснить ребенку, зачем происходит смена зубов. Если из лунки идет небольшое кровотечение, не стоит паниковать. Малышу можно предложить прополоскать рот содовым раствором, пока ранка не затянется. Не нужно давать ребенку обезболивающие или противовоспалительные препараты при выпадении молочных зубов. Выпадение первого молочного зуба является важным этапом в развитии ребенка, поэтому его не следует просто выбрасывать. У каждого могут быть свои ритуалы, связанные с этим событием. Можно отметить этот день, чтобы сделать его особенным для ребенка. Дальнейшее выпадение зубов будет проходить легче, и ребенок будет радоваться, когда следующий зуб начнет расшатываться. Если после выпадения зуба у ребенка кровоточит ранка, необходимо остановить кровотечение. Для этого можно предложить ребенку прикусить марлевую салфетку или ватный диск. В большинстве случаев этого достаточно, чтобы остановить кровотечение. Если кровь не останавливается, необходимо обратиться к детскому врачу. Важно помнить, что нельзя полоскать рот перекисью водорода, так как она может раздражать рану. В первые дни после выпадения зуба рекомендуется полоскать рот малыша слабым солевым раствором. Если ребенок случайно проглотил выпавший зуб, необходимо обратиться к специалисту, чтобы убедиться, что он полностью выпал и нет проблем. Если зуб полностью выпал и у ребенка нет жалоб, то все в порядке, и он выйдет из организма естественным путем.
Традиции касающиеся зубов
Каждая семья решает, что делать с первым выпавшим молочным зубиком. Некоторые люди сохраняют их в коробочке или шкатулке, вместе с биркой из роддома и другими памятными символами, связанными с рождением ребенка. Другие считают, что первый выпавший зуб — самый ненужный и его нужно закопать. Есть также традиция, пришедшая к нам с запада, заключающаяся в том, чтобы положить зуб под подушку перед сном. Зубная фея прилетит к ребенку и оставит ему монетку, конфетку или другой подарок взамен на зубик. Эта традиция очень популярна у детей и может быть продолжена при каждом новом выпавшем зубе. Еще одна традиция — отдать зуб мышке, чтобы она забрала его и на его месте вырос новый и здоровый зуб. Для осуществления этой традиции нужно найти укромное место, где мышка сможет забрать зуб. Главное, что нужно сделать, когда выпадает молочный зуб, — успокоить ребенка и объяснить ему, что на его месте вырастут новые зубы, за которыми нужно хорошо ухаживать. Это также напомнит ребенку о правильном уходе за полостью рта.
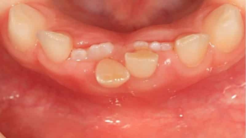
Если растет коренной зуб а молочный еще не выпал
Коренной зуб может начать прорезываться, когда молочный зуб еще не выпал. Это может быть проблематично, так как молочный зуб может помешать правильному росту нового зуба, что может привести к его кривизне. В таких случаях рекомендуется обратиться к детскому стоматологу, который сможет безболезненно удалить молочный зуб и обеспечить свободный рост коренного зуба. Важно успокоить ребенка перед посещением стоматолога, чтобы он не испытывал страха и понимал, что врач делает все для его лучшего здоровья. Не рекомендуется пытаться самостоятельно выдернуть зуб ниткой или с помощью двери, так как это может привести к травмированию ротовой полости и негативным последствиям. В случае, если обращение к врачу нежелательно или невозможно, можно предложить ребенку погрызть твердую пищу, чтобы молочный зуб выпал самостоятельно. Важно не предупреждать ребенка заранее о том, что ему нужно будет выпасть зуб, чтобы избежать страха и отказа. Замена молочных зубов на коренные – это радостное событие, которое должно принести радость и ребенку и его родителям.





