Снимок стопы при плоскостопии – это важная часть диагностики, показывающая деформацию костных структур по типу недуга. Заболевание характеризуется болью в ногах, невозможностью долго ходить, стоять, человека беспокоят коленные и тазобедренные суставы. При появлении симптомов необходимо обратиться к квалифицированному специалисту. Врач предложил пройти обследование, включая рентген ступней. Снимок покажет существующие отклонения.
Необходимость рентгенографии при деформации стопы
Выделяют 2 вида плоскостопия – врожденное и приобретенное. При недуге нарушается пружинящая функция стопы. Самостоятельно пациент не оценит тяжесть нарушения.
При подобной деформации свода стопы происходит перераспределение нагрузки на голеностоп, прочие структуры опорно-двигательной системы, начинаются дегенеративные процессы в тканях, возможно развитие сколиоза.
Симптомы нарушений сходны друг и другом. Частый признак – боль при движении. Иногда причиной патологических процессов является плоскостопие.
Показания к рентгенографии:
- подозрение врача о нарушении физиологической функции стопы;
- наличие артритов, артрозов сочленений ног в анамнезе;
- патологии позвоночника;
- предположение о травме, формировании костной деформации в районе ахиллесова сухожилия;
- обследование для освобождения от службы в армии, исключение подлога документов призывника;
- контроль лечения патологии стопы.
Достоверность определения степени плоскостопия по снимку
Правила проведения рентгенологического исследования при диагностике деформации стоп описаны в протоколах ВОЗ, инструкциях для специалистов-рентгенологов медицинских клиник любой формы собственности.
При соблюдении правил укладки конечности пациента, нанесения контрольных точек на пленку с целью точного измерения нарушения свода ступни, исследование является достоверным.
Симулировать искривление костей, наличие остеофитов, прочих наростов, дегенеративные изменения, характерную форму пальцев при поперечной форме деформации невозможно.
При предположении о подлоге, пациент или врач призывной комиссии может потребовать повторное обследование в другом медицинском учреждении.
Преимущества рентгена над другими методами диагностики
Преимуществом такого метода диагностики при деформации подошвы является неинвазивность и эффективность, малые временные затраты, доступность для различных категорий пациентов, низкая лучевая нагрузка, точность изображения костных структур ступни, суставов, возможность определить стадию заболевания.
Имитировать нарушения в правильном порядке расположения костей невозможно, рентген фиксирует внутренние структуры стопы вне зависимости от внешних признаков, вида заболевания. При должной сноровке получить ложные данные можно, используя избыточный вес. Можно держать во время исследования в руках тяжелый предмет, ведра с водой.
Для получения снимков в различной проекции используют несколько разновидностей укладок пораженного органа. Могут применяться дополнительные специализированные устройства. Полученные результаты легко перепроверить в другом медицинском центре.
Существует несколько противопоказаний:
- беременность;
- тяжелое состояние пациента;
- наличие кровотечения и пневмоторакса;
- невозможность пациента находиться в вертикальном положении.
Для постановки правильного диагноза данного исследования достаточно. Более дорогостоящие методы визуализации – КТ или МРТ – никакой дополнительной информации врачу не предоставят.
Как правильно делать снимок на плоскостопие
Специальной подготовки к процедуре не требуется. Исследование проводится на базе медицинского учреждения.
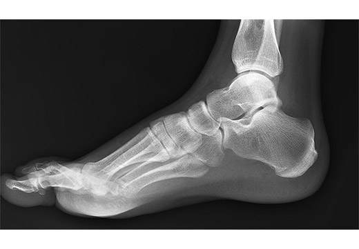
Для определения плоскостопия рентген конечности проводится в 2 положениях:
- Прямая – пациент должен стать полной стопой на кассету с рентгеновскими пленками, вторая нога – на весу. Используется для выявления поперечной формы деформации подошвы.
- Боковая – фотография делается в положении стоя, вторая нога на весу. Обязательно на пленке фиксируется голеностопное сочленение. Используется для выявления продольной формы изменения соотношения костных, мышечных структур, сухожилий.
Рентгенологическое исследование делается для каждой ноги в спокойном состоянии. Для стандартного исследования используются пластины размером 18х24 см. Луч рентгеновского аппарата должен быть направлен по центру ступни. Результат получают в течение 15–30 минут.
Определить степень плоскостопия по снимку должен ортопед. Для этого пленку расчерчивают, фиксируя высоту свода стопы. На рентгеновской пленке выделяют треугольник, вершиной которого является верхняя часть первой плюсневой кости. Прочими контрольными точками являются выступающая часть пяточной кости, ладьевидно-клиновидный сустав.
Анализ изображений называется рентгеноморфометрия. В норме продольный угол стопы составляет 125–130 градусов, максимальная высота свода составляет 3,5 см, 1 и 5 головки плюсневых костей лежат на плоскости, остальные располагаются выше нормального положения сочленения.
Поперечная форма деформации развивается во взрослом возрасте вследствие избыточной нагрузки на ступни в течение длительного времени, при ношении плохо подобранной обуви.
Выделяют несколько степеней поперечного плоскостопия на рентгене:
- Компенсация – тяжесть тела приходится на 1 и 2 фаланговые суставы. Второе сочленение увеличивается в размерах.
- Субкомпенсация – первый плюсневый сустав отклоняется, формируя вальгусное отклонение костей.
- Декомпенсация – все плюсневые кости лежат в одной плоскости, горизонтально.
Продольная форма деформации заключается в снижении высоты свода стопы. Нога растекается на плоскости, снижаются ее пружинящие свойства. Чаще всего выявляется у детей до 3 лет. С ростом ноги у подавляющего числа малышей состояние костных структур нормализуется.
При продольной форме врач будет измерять высоту и угол свода стопы. Степени отклонения от нормальных значений:
- Первая – деформация ноги отсутствует, угол свода – 131–140 градусов, высота – 2,5–3,5 см. Наблюдается нарушение плавности походки, повышенная усталость после бега, длительной ходьбы.
- Вторая – на снимках определяются проявления дегенеративных процессов в сочленениях. Угол свода – 141–155 градусов, высота – от 1,7 до 2,4 см. Наблюдается видимое изменение внешнего вида ступни.
- Третья – присутствует явная деформация костных структур, сочленений. Угол свода превышает 155 градусов, высота – менее 1,7 см. Наблюдается артралгии в коленных, тазобедренных суставах, позвоночном столбе. Ношение обычной обуви невозможно.
Методика измерения деформации костных структур описана в проколах ВОЗ, рекомендациях для врачей-рентгенологов и ортопедов. Убирать, уменьшать или добавлять что-либо на рентгеновский снимок конечности невозможно.
Статья проверена редакциейСсылка на основную публикацию





