Для решения проблем с эмалью у детей используется стоматологическая процедура, известная как фторирование. Многие родители задаются вопросом: что такое фторирование зубов? Однако, следует отметить, что данная процедура не представляет опасности для здоровья ребенка. Врач назначает фторирование в целях профилактики кариеса — стоматологического заболевания.
Кариес
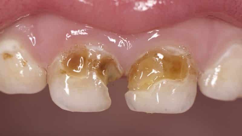
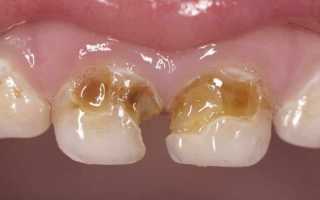
Кариес возникает из-за деминерализации эмали, что приводит к разрушению зуба. Это заболевание может проявиться как у взрослых, так и у детей. Характерные признаки кариеса включают:
- появление коричневых или желтоватых пятен на эмали;
- ноющая боль во рту;
- чувствительность зубов к холодной и горячей пище или напиткам.
Боль, вызванная кариесом, не проходит в течение нескольких секунд после воздействия холодного или горячего. Она может быть продолжительной и повторяться даже без раздражителя.
Важно отметить, что деминерализация зубов не является единственной причиной возникновения кариеса. Это заболевание является следствием уже существующих проблем, связанных с организмом в целом. Обычно оно проявляется из-за недостаточной гигиены полости рта, сниженного иммунитета и неправильного питания.
Поэтому процесс фторирования молочных зубов у детей должен сопровождаться соблюдением гигиенических норм и обогащением организма необходимыми витаминами.
Показания к фторированию
Врач может назначить процедуру фторирования по нескольким причинам:
- Если слой зубной эмали очень тонкий или на поверхности зуба появились микротрещины.
- Если на поверхности эмали уже начал образовываться кариес.
- Если ребенок живет в местности, где в продуктах питания и воде низкое содержание фтора.
Процедура фторирования не является дорогостоящей, но считается важным элементом для поддержания здоровья зубов.
Фторирование зубов
Проблемы с коренными зубами часто связаны с неправильным уходом за молочными зубами. Многие родители не обращают должного внимания на молочные зубы своих детей, так как считают их временными и не требующими особого ухода. Однако это мнение ошибочно.
Существуют различные способы фторирования или серебрения молочных зубов. Самым эффективным считается процедура, проводимая стоматологом. Фторирование зубов может быть простым или глубоким.
Перед процедурой необходимо полностью очистить поверхность зубов. Простое фторирование может быть выполнено двумя способами. Первый способ заключается в создании слепка челюсти ребенка и нанесении на него фторсодержащего препарата, который затем надевается на зубы ребенка. Процедура длится от 10 до 15 минут и проводится не менее 10 раз. Второй способ включает покрытие зубной эмали фторлаком, который затем подсушивается специальной лампой. Эта процедура повторяется дважды в год. Простое фторирование обычно используется в профилактических целях.
Глубокое фторирование включает глубокую очистку полости рта, нанесение смеси с фтором, магнием и медью, длительную сушку зубов специальной лампой и обработку зубной поверхности гидроокисью кальция. Глубокое фторирование обычно назначается, когда на зубах уже проявляются первые симптомы кариеса.
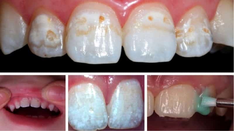
Процедура фторирования зубов оказывает мгновенный эффект. Ниже представлены фотографии до и после фторирования зубов для наглядности.
Серебрение зубов
Серебрение зубов обычно назначается детям в возрасте от двух до трех лет, так как в этом возрасте дети еще не могут долго сидеть в одном положении. Кроме того, многие дети испытывают страх перед стоматологическими инструментами и не могут спокойно сидеть в кресле. Поэтому для профилактики кариеса у «маленьких» пациентов используется серебрение зубов. Эта процедура не требует применения бормашины или надрезов на тканях. Вместо этого, она выполняется с использованием антисептиков и является абсолютно безболезненной и быстрой. Процесс состоит в нанесении раствора нитрата серебра на очищенную поверхность эмали и оставлении его на несколько минут. Это делается с помощью ватного тампона, что не вызывает страха у ребенка. После этого на зубной поверхности образуется защитная пленка, которая предотвращает развитие кариеса. Процедура обычно проводится в несколько сеансов с интервалом от двух до семи дней и остается безболезненной на любом этапе.
Фторирование зубов дома
Метод обогащения эмали фтором представляет собой альтернативу серебрению молочных зубов и может быть выполнен в домашних условиях с использованием фторсодержащих препаратов и гелей. Существует несколько препаратов и гелей, которые могут быть использованы для этой процедуры:
- Aquafresh — зубная паста с повышенным содержанием фтора, которая эффективна как при лечении, так и при профилактике кариеса. Она помогает глубоко очистить зубную эмаль и снять чувствительность зубов. Если вы используете зубную пасту Aquafresh вместе с фторсодержащими препаратами, рекомендуется снизить дозу лекарств.
- Витафтор — лекарственное фторсодержащее средство, которое применяется для профилактики и лечения кариеса у детей, особенно в тех местностях, где содержание фтора в питьевой воде недостаточное.
- Сенсигель — комбинированный препарат, который используется для лечения и профилактики кариозных образований. Гель помогает снизить чувствительность зубных тканей.
- Натрия фторид — лекарственное средство, которое применяется для профилактики кариеса. Оно укрепляет поверхность зубной эмали и снижает чувствительность к холоду и горячему.
Фторирование молочных зубов у детей в домашних условиях является трудоемким процессом, который требует внимания со стороны родителей. Все процедуры должны выполняться в определенное время и по определенной схеме, назначенной лечащим врачом.
Гигиена ротовой полости
Гигиена ротовой полости у детей требует особого внимания, поскольку их зубы более подвержены риску стоматологических проблем, которые могут негативно сказаться на общем состоянии полости рта и иметь серьезные последствия. Вот несколько основных гигиенических правил, которые нужно соблюдать при уходе за ротом ребенка:
- Дети старше трех лет должны чистить зубы два раза в день — утром перед завтраком и вечером перед сном.
- Регулярные профилактические осмотры у стоматолога необходимы. Если ребенок жалуется на зубную боль, необходимо незамедлительно обратиться к врачу.
- Определение рациона и режима питания особенно важно в детском возрасте.
- Следует ограничить потребление пищи, содержащей много сахара, так как это может привести к развитию стоматологических проблем.
- Рекомендуется использовать натуральные антисептические средства для полоскания рта ребенка.
- Посуда ребенка должна быть отдельной, и он должен есть только из нее.
- Необходимо следить за уровнем кальция в организме ребенка и, при необходимости, принимать витаминные комплексы.
- Ребенка следует приучать к чистке зубов с раннего детства.
- В рацион питания рекомендуется включать больше молочных продуктов.
- Молочные зубы не следует вырывать, они должны выпасть сами или быть удалены стоматологом.
- Зубную щетку ребенка нужно менять не реже одного раза в три месяца.
- При подозрении на стоматологические проблемы следует обратиться к врачу для профилактики или лечения.
- Ребенок старше 6 лет должен пить не менее одного литра воды в день, чтобы слюна, омывающая десны, была жидкой.
Вместо серебрения зубов у детей, рекомендуется строго соблюдать гигиенические правила и уделять особое внимание состоянию ротовой полости ребенка. Здоровье детей требует особого внимания, так как они более подвержены вирусным инфекциям. При возникновении подозрений на стоматологические проблемы, рекомендуется незамедлительно обратиться к врачу.






