Кариес часто встречается у детей, но также может появиться и у взрослых. При этом эмаль, верхний слой зубов, становится тонким и зубы становятся более уязвимыми. Из-за этого они становятся подвержены различным заболеваниям и легко поражаются. Кариес сегодня является настоящей эпидемией среди детей, даже у тех, кто еще не достиг года. При посещении стоматолога важно не только лечить заболевание, но и выявить его причины. Это позволит начать лечение гипоплазии эмали зубов у детей. Именно эта причина является наиболее распространенной причиной развития кариеса.
Заботимся о здоровье деток заранее
Гипоплазия зубной эмали у детей — это состояние, при котором ткани эмали не полностью сформированы. Болезнь может проявляться различными способами, от тонкого слоя эмали на одном зубе до полного отсутствия эмали.
Часто гипоплазия эмали остается незамеченной, так как ее симптомы не всегда видны невооруженным глазом взрослых. В результате, патология продолжает развиваться, и возникает кариес. Однако, диагностировать данную проблему гораздо проще, так как коричневатые и темные пятна на эмали невозможно не заметить.
Статистика показывает, что количество диагнозов гипоплазии эмали у детей постоянно растет. Сегодня около сорока процентов детского населения страдает от этого заболевания.
Кариес является наиболее серьезным осложнением гипоплазии эмали у маленьких детей. Из-за анатомических особенностей и других факторов, кариес развивается быстро и поражает несколько зубов одновременно. Ребенок начинает испытывать дискомфорт, проявлять капризы и жаловаться на зубную боль.
Анатомические аспекты
Зуб состоит из нескольких слоев тканей, причем первым слоем является эмаль, состоящая из кристаллов гидроксиапатита. Толщина эмали может различаться, и самые тонкие участки подвержены большему риску заболевания. Это особенно относится к молочным зубам, у которых поверхностный слой эмали тоньше. Именно поэтому дети так часто страдают от кариеса и гипоплазии эмали. Бактериям, вызывающим кариес, легко начать патологический процесс.
Под эмалью находится дентин, который состоит из микротрубочек. Бактерии проникают внутрь через эти трубочки и начинают свою деятельность. У дентина также есть свои особенности. Хотя дентин одинаков во всех зубах, трубочки имеют значительные различия в толщине. У молочных зубов диаметр трубочек гораздо больше, чем у постоянных зубов. Это условие значительно облегчает развитие и распространение патогенных бактерий. Кроме того, дентин имеет различные химические составляющие.
Гипоплазия эмали не оказывает никакого влияния на дентин. Однако этот дефект сильно влияет на первый поверхностный слой зуба. В сочетании с анатомическими особенностями это способствует развитию кариеса.
Почему возникает заболевание
Появление недуга обусловлено патологиями, которые возникают во время беременности. В утробе матери формируются и развиваются все органы и системы ребенка. На определенных этапах развития плода требуется большое количество полезных веществ, которые он получает от матери. Если в организме женщины их недостаточно, ребенок не получает их в достаточном количестве, что может привести к развитию патологий. Недостаток минералов имеет серьезные последствия, но это не единственная причина их возникновения.
Появление недуга обусловлено патологиями протекания беременности
Важно, чтобы женщина в положении правильно питалась, употребляя пищу, богатую минералами и полезными веществами. Особенно важен обмен кальция и фосфора в организме будущей мамы. На эти процессы могут влиять различные факторы.
- Токсикозы и отравления во время беременности могут быть связаны с недостатком минералов. Недостаточное питание, особенно у вегетарианок, также следует учитывать.
- Ранние роды и травмы при родах могут вызвать патологический процесс. Если ребенок родился преждевременно, его развитие продолжается вне утробы, и это может привести к проблемам с зубами.
- Патология может затронуть как молочные, так и постоянные зубы, которые формируются уже после рождения. Искусственное вскармливание является основной причиной развития патологического процесса.
Дополнительное вскармливание не является полноценным по сравнению с грудным молоком из-за недостатка полезных веществ, что может привести к нарушению процессов минерализации.
- Тяжелые инфекции, аллергии и нарушения обмена веществ также могут вызвать патологию.
- Нарушения работы желудочно-кишечной системы и щитовидной железы имеют большое значение. Даже если взрослый не знает о наличии таких проблем, рекомендуется пройти диагностическое исследование.
Клинические симптомы патологии
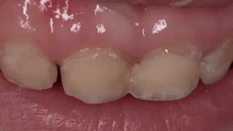
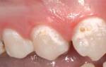
Гипоплазия эмали молочных зубов проявляется изменениями поверхностного слоя эмали, которые могут иметь различные формы. Существует несколько категорий этого заболевания, основанных на клинических симптомах. Признаки зависят от типа и степени тяжести патологии и могут проявляться изменением оттенка, неполным формированием или полным отсутствием эмали. Пятна различной конфигурации образуются на зубах при изменении эмали. Обычно эти пятна локализуются на группе зубов, которые формировались и минерализовались одновременно. Наиболее ярким примером поражения является передняя группа зубов. Гипоплазия эмали напоминает раннюю стадию кариеса по внешним признакам. Однако только квалифицированный специалист может различить отличия между этими патологиями. Пятна сохраняют свою форму и не изменяются со временем. Зубы растут уже с поражениями. Диагностировать эту патологию не всегда возможно при обычном осмотре. Для распознавания характерных признаков необходимо высушить зуб и рассмотреть его. Таким образом, становятся видны борозды и углубления, которые могут находиться на разных уровнях. Другими словами, пораженные зубы имеют волнистую форму.
Формы гипоплазии
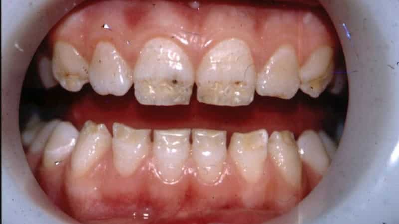
Существуют четыре основные формы болезни, которые чаще всего встречаются при диагностике. Пятнистая форма проявляется в виде белых, гладких и симметричных пятен с четкими границами. Эти пятна обычно располагаются на одинаковых группах зубов, которые минерализовались одновременно. Эта форма болезни чаще всего диагностируется у маленьких пациентов.
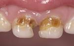
При эрозивной форме болезни можно наблюдать истончение эмали во рту ребенка. Поражения могут иметь различную форму, чаще всего округлую. Кариес часто осложняет эту форму болезни.
Бороздчатая гипоплазия возникает, когда появляются борозды на эмали зубов. Борозды располагаются параллельно режущему краю зуба и проявляются углублениями в эмали. На дне этих поражений эмаль может быть очень тонкой или вообще отсутствовать.
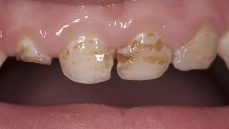
Также существует смешанная форма гипоплазии, при которой поражения чередуются на разных участках. На одном зубе могут сочетаться борозды, пятна и эрозии.
Лечение гипоплазии молочных зубов
Состояние зубов требует внимания еще до рождения ребенка. Однако невозможно полностью предотвратить или устранить все причины проблем. Во время беременности женщина должна регулярно посещать стоматолога, и это должно продолжаться после рождения ребенка.
Даже если здоровье в целом отличное, женщина должна регулярно посещать стоматолога в течение всей беременности, как минимум 4 раза. Лечение может быть проведено не на всех сроках, но профилактические осмотры могут быть проведены в любое время. Если у женщины есть кариозные зубы или другие проблемы, количество посещений может увеличиться. Женщина должна лечить все кариозные зубы и решить все вопросы, связанные со здоровьем полости рта.
Лечение проводится различными методами, в зависимости от типа патологии и степени поражения: пломбирование и протезирование. После лечения ответственность за здоровье зубов лежит на взрослых. Они должны научить ребенка гигиене полости рта и следить за регулярностью и правильностью ее соблюдения.






