Многие родители неправильно полагают, что молочные зубы обладают естественным иммунитетом и поэтому не подвержены различным заболеваниям. К сожалению, молочные зубы детей до 4 лет, которые еще не окрепли и не сформировались, подвержены атаке бутылочного кариеса. В данной статье мы рассмотрим причины этого заболевания, его проявление у малышей, а также популярные методы лечения и профилактики.
Причины болезни
Вот перефразированный фрагмент:
Воздействие кислот и токсинов патогенных микроорганизмов приводит к интенсивному разрушению эмали и твердых тканей зуба, а также их гниению. Бактерии остаются в полости рта после употребления углеводной и молочной пищи.
Рассмотрим основные причины развития бутылочного кариеса у детей.
-
Ночное кормление: Лактоза, содержащаяся в грудном молоке и специальных смесях, является идеальной средой для развития микробов. Независимо от способа кормления (грудью или бутылочкой), ночное кормление является одной из причин появления бутылочного кариеса.
-
Слабый иммунитет и низкое антибактериальное воздействие слюны: В норме защитные силы организма ребенка способны справляться с микробами в полости рта. Однако у детей, которые не следят за гигиеной рта и употребляют сладости (особенно ночью), кариес может не возникать, что свидетельствует о хороших антибактериальных свойствах слюны. Уменьшение этих свойств может быть вызвано системными заболеваниями, такими как вирусные, грибковые, бактериальные инфекции, респираторные заболевания, кишечные инфекции, диабет и другие.
-
Неправильное питание ребенка: Предложение подслащенных каш, магазинных соков и напитков, хлебобулочных и кондитерских изделий растущему ребенку может привести к оседанию углеводов и сахара на зубах и деснах, что способствует разрастанию патогенной микрофлоры. Отсутствие в рационе твердой пищи, которая помогает удалить микробные отложения и зубной камень, также может ухудшить состояние зубов. Недостаток фтора, кальция и фосфора в организме также может привести к повреждению зубов. Эти микроэлементы можно получить из молочных и кисломолочных продуктов, рыбы и субпродуктов.
-
Недостаток фтора в организме: Фтор отвечает за плотность и стойкость эмали, за ее способность сопротивляться разрушительному воздействию кислот и токсинов. Большую часть фтора мы получаем из питьевой воды, а не из пищи. Если в воде недостаточно фтора (что зависит от региона, марки покупной воды и т.д.), эмаль становится тонкой и ослабленной, что приводит к развитию детского кариеса.
-
Наследственность: Под наследственностью следует понимать не только генетическую предрасположенность к раннему кариесу, но и невнимательность родителей к состоянию зубов ребенка и их нежелание очищать их перед сном.
Симптомы заболевания
Лечение бутылочного кариеса у детей зависит от стадии заболевания и симптомов, которые проявляются. В ранней стадии заболевания на зубах появляются меловые матовые пятнышки, особенно в области шейки и корней, из-за недостаточной минерализации эмали. Со временем эти пятна становятся неровными и шероховатыми, образуется кариозная полость, которая затем темнеет. Этот процесс распространяется по всему зубу.
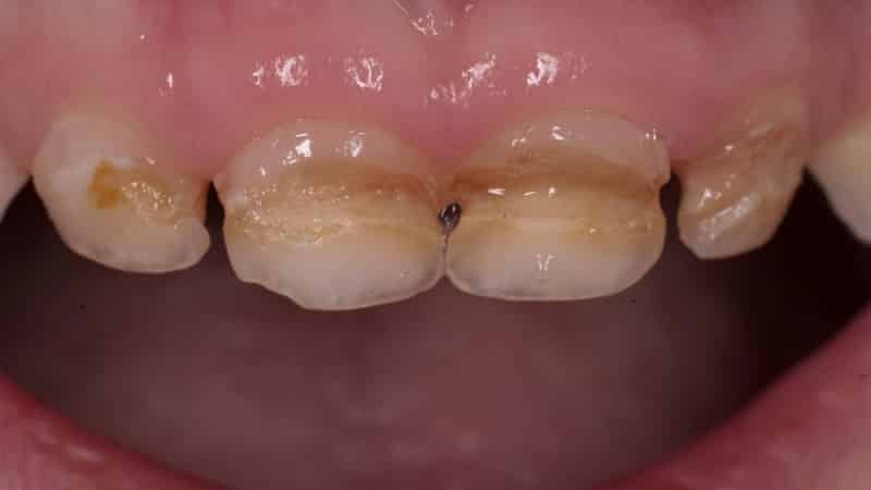
Срединная форма бутылочного кариеса характеризуется поражением соседних зубов, особенно верхних резцов и клыков. Это связано с инстинктом сосания у малышей, когда язык накрывает зубной ряд нижней челюсти, защищая его от контакта с пищей и бактериями. В то же время верхние зубы активно участвуют в процессе, поэтому на них скапливается налет, остатки пищи и органические кислоты. Появляются желтоватые, коричневые и черные области на пораженных зубах. Малыш может жаловаться на боль после употребления горячей, холодной, сладкой или кислой пищи. Родители также могут заметить капризность и нервозность у ребенка, его желание тянуть в рот различные предметы и трогать зубы и рот.
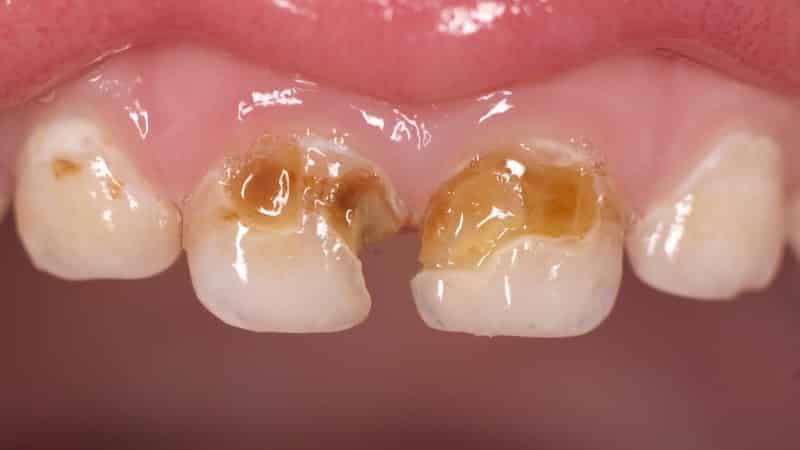
Глубокий кариес, или поздняя стадия, характеризуется разрушением эмали и дентина. Мягкая ткань зуба темнеет под воздействием пищевых красителей, пигментов, токсинов и органических кислот. Глубина поражения можно определить по степени окрашивания дентина. Последствия бутылочного кариеса могут быть опасными, так как инфекция может поражать не только молочные зубы, которые выпадут со временем, но и зубы постоянного прикуса, которые только начинают формироваться. В результате ребенок может потерять свои первые постоянные зубы раньше времени.
Кроме того, бутылочный кариес может привести к развитию периодонтита, пародонтоза и пульпита даже у маленьких детей. Эти заболевания требуют длительного лечения и могут сопровождаться сильной болью для ребенка.
Методы лечения заболевания
Несвоевременное лечение кариеса у детей может привести к потере первых зубов, изменению прикуса и возникновению речевых проблем. Важно осознать, что молочные зубы нужно лечить, а не ждать, пока проблема станет очевидной. Инфекции, грибковые и вирусные поражения имеют свойство распространяться и проникать в глубокие слои тканей. Кроме того, гнилые зубы выглядят некрасиво и могут вызывать насмешки со стороны окружающих, что может негативно сказаться на самооценке ребенка.
На ранних стадиях кариеса, когда зуб имеет белое матовое пятно, можно провести процедуру восстановления эмали с помощью реминерализации. Родители могут использовать специальные средства для нанесения на поврежденный зуб. Также дантист может выполнить восстановление эмали с помощью инфильтрантов, что позволяет сгладить поверхность зуба. Для бутылочного кариеса может быть назначено глубокое фторирование, которое помогает восстановить поврежденный зуб и защитить его от микробов и кислот.
Серебрение кариозных зубов является эффективным, но неэстетичным методом лечения и профилактики кариеса. Эта процедура позволяет защитить зубы на длительный период, но требует обновления слоя каждые несколько месяцев. В случае срединного кариеса применяется стандартное лечение — высверливание полости и заполнение ее пломбой.
Глубокая форма кариеса также требует высверливания некротических тканей и проведения санации полости зуба. После этого в полость помещается специальная пломба на основе стеклоиономерных цементов. Такие материалы позволяют восстановить зуб и выделять фтор, что способствует его защите от кариеса на протяжении всего срока службы молочных зубов.
Профилактика болезни
Правила профилактики бутылочного кариеса гораздо проще и безопаснее, чем бороться с его проявлениями и последствиями. Вне зависимости от возраста, важно приучать детей к гигиене ротовой полости. Младенцам до года можно протереть зачатки молочных зубов и мягкие ткани бинтом или марлевым тампоном, смоченным в зеленом чае, зубном ополаскивателе или отваре целебных трав. Для детей чуть постарше используются щетки с мягкой щетиной, которые надеваются на палец родителя, а также специальные бактерицидные влажные салфетки с содержанием фтора. С 2 лет ребенка можно научить самостоятельно чистить зубы детской щеткой и фруктовой пастой.
Для предотвращения разрушения верхних слоев зубов и проникновения бактерий, рекомендуется периодически наносить на эмаль противокариозные и фторирующие гели. Также важно соблюдать режим кормления и отучить малыша от ночного кормления. Рацион ребенка следует скорректировать, исключив из него сладости, мучные изделия, газированные напитки, сахар и леденцы, а также приучить его к вкусным и питательным блюдам из рыбы, фруктов и овощей. Ребенка также нужно отучить тянуть в рот столовые приборы с остатками пищи и продолжать сосать соску после кормления, а также как можно раньше отучить его от пустышки.
Соблюдение этих простых правил поможет избежать длительного и мучительного лечения малыша, сохранит его воспоминания о детстве счастливыми. Не забывайте регулярно проводить детей к дантисту, даже при отсутствии симптомов. Иногда профессионал может выявить патологию и заболевание на ранней стадии, что позволит сократить время лечения и уменьшить неприятные эмоции у ребенка.






