Кровоточение десен – это серьезная проблема, которая может возникнуть после потери зубов. Поэтому важно знать, как правильно лечить кровоточивость десен и какие методы применять.
Причины возникновения кровоточивости
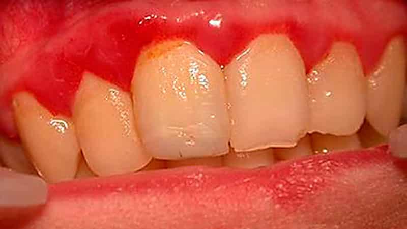
Перед началом лечения кровоточивости десен необходимо выяснить причину этой проблемы. Обычно кровоточивость десен является симптомом воспаления десен, вызванного гингивитом или пародонтитом. Лучше всего обратиться к стоматологу для выяснения причин и лечения этих заболеваний. Важно понимать, что чем сильнее воспаление, тем больше кровоточивость. Некоторые люди замечают кровоточивость только при чистке зубов, в то время как другие могут ощущать выход крови даже в состоянии покоя.
Причины кровоточивости десен могут быть разнообразными, включая плохую гигиену полости рта, недостаток витаминов и минералов, несбалансированное питание, травмы ротовой полости, вирусные, инфекционные и грибковые заболевания, гормональные изменения, снижение иммунитета, неправильную зубную щетку, наличие вредных привычек, заболевания крови и ожоги ротовой полости. Однако наиболее распространенной причиной является неправильный уход за зубами. Остатки пищи, которые остаются между зубами, создают благоприятную среду для размножения микробов и образования зубного камня. Бактерии, живущие в такой среде, вырабатывают токсичные вещества, которые разъедают десны и могут привести к поражению костной ткани зуба, что уже диагностируется как «пародонтит».
Чтобы бороться с кровоточивостью десен, необходимо точно определить причину. Это позволит выбрать правильные методы лечения и, при необходимости, обратиться к врачам. Пациент может помочь врачу разобраться с ситуацией, так как только он знает о своем стиле жизни, привычках и других факторах. Иногда самостоятельно можно справиться с проблемой, не прибегая к специальным средствам. Например, замена жесткой зубной щетки на более мягкую может помочь устранить кровоточивость при чистке зубов.
Лечение кровоточивости десен медикаментозным способом
Лечение стоматологических проблем, таких как воспаление и кровоточивость десен, требует комплексного подхода. При обследовании стоматолог может определить причину проблемы, связанную с наличием зубного налета, камня и других гигиенических проблем. Чтобы избавиться от этих проблем, проводится гигиеническая чистка ротовой полости, которая помогает устранить зубной налет и камень, а также убить болезнетворные бактерии. Для устранения источника проблемы могут быть назначены специальные средства, а в случае, если проблема связана с нестоматологическими заболеваниями, пациента могут направить к соответствующему специалисту. Лечение заболевания должно проводиться только под наблюдением специалиста, чтобы избежать ослабления иммунной системы и усиления воспаления и кровоточивости десен.
Если у пациента обнаружен гингивит, помимо воспаления и кровоточивости десен, может наблюдаться неприятный запах изо рта. Лечение гингивита помогает решить несколько эстетических проблем, таких как кровоточивость десен, некрасивый внешний вид зубов и неприятный запах. Для лечения гингивита можно использовать средства для полоскания рта, аппликации с лечебными пастами и гелями, а также зубную нить после чистки зубов и еды.
Если у пациента поставлен диагноз «пародонтит», домашние средства не помогут, и требуется регулярное посещение стоматолога для проведения специальных процедур и применения препаратов.
В случае инфекционного, вирусного или грибкового заболевания, лечение кровоточивости десен может включать прием медицинских препаратов для внутреннего потребления, включая антибиотики. Однако во время беременности следует быть осторожным с приемом лекарственных средств, поэтому часто используются витамины для улучшения состояния десен.
После проведения лечебных процедур рекомендуется воздержаться от приема пищи и горячих жидкостей в течение около 2 часов. Жажду лучше всего утолять чистой питьевой водой.
Лечение зубными пастами
Лечение пастами не является эффективным методом. Они лишь снимают симптомы, но не устраняют причину. В качестве наиболее популярных вариантов рекомендуется использовать следующие:
- Lacalute.
- Paradontax.
- Лесной бальзам.
- Пародонтоцид.
Пасты помогают снять воспаление. Однако перед их применением необходимо пройти лечение у пародонтолога.
Мифы о перекиси водорода
3% раствор перекиси водорода широко применяется в медицине, особенно для лечения гнойных поражений. Однако, при гингивите и пародонтите, использование его самостоятельно может быть бесполезным и даже опасным. Важно, чтобы раствор достигал пародонтального кармана, и в этом может помочь стоматолог. Попытка самостоятельно раздвинуть ткани десны может привести к их некрозу. Простое полоскание или смазывание перекисью не принесет лечебного эффекта.
Использование народных средств
В современном обществе часто возникают ситуации, когда люди предпочитают не использовать лекарственные препараты для лечения заболеваний. Если у вас кровоточат десны, и причины этого явления не серьезны, можно воспользоваться традиционными народными рецептами.
Большинство рецептов, направленных на устранение этого неприятного и опасного явления, связаны с полосканием ротовой полости. Для этого подойдут настои следующих трав: ромашки, шалфея, герани кроваво-красной, эвкалипта и горной арники. Также полоскание подсолнечным маслом, содовым раствором и различными настойками может облегчить состояние.
Отвар из коры дуба является эффективным средством для лечения кровоточивости десен. Для его приготовления необходимо измельчить 1 столовую ложку сухой коры дуба, залить стаканом воды, вскипятить на медленном огне и дать отстояться около 15-20 минут. Полученный отвар следует процедить и использовать для полоскания рта 2-3 раза в день. Также можно смочить ватный тампон в отваре и нанести его на десны.
Алоэ также может помочь в борьбе с кровоточивостью десен. Для этого необходимо выбрать здоровый лист растения, разрезать его на половинки, удалить колючки и отрезать кусочек, который поместится в рот. После чистки зубов лист следует приложить к деснам. Желательно делать такие аппликации на ночь, но если это неудобно, можно делать их по полчаса в течение вечера.
Настойка шиповника может восполнить недостаток витаминов и уменьшить воспаление десен. Для ее приготовления необходимо залить 100 граммов плодов шиповника стаканом спирта и оставить на 10-14 дней. Затем можно использовать одну чайную ложку настойки, разведенную в стакане теплой воды, для полоскания рта.
Также можно смешать обычную соль с чайной ложкой меда и втирать полученную смесь в десны, чтобы устранить дискомфортный симптом.
Лечение десен у детей
Когда у взрослых возникает проблема кровоточивости десен, лечение обычно ясно. Однако, если такая проблема возникает у маленького ребенка, заставить его использовать лечебные средства может быть сложно.
Кроме того, у детей кровоточивость десен может быть вызвана ортодонтическими аппаратами, кариозными полостями, острыми краями появляющихся зубов и т.д.
Для полосканий или использования при капризах ребенка, наилучшим образом подходят аппликации из лечебных паст и гелей. Более того, многие медицинские средства можно наносить без использования ватного тампона или марли. Также рекомендуется заменить зубную пасту, которую использует ребенок.
Детям также нравятся жевательные резинки, содержащие кору дуба или другие натуральные экстракты, которые помогают решить проблему. Жевание таких резинок способствует образованию полезного состава в ротовой полости. Такие жевательные резинки можно приобрести в аптеках.
Часто причиной кровоточивости десен является неправильная техника чистки зубов у ребенка. Поэтому взрослым придется контролировать этот процесс.
При появлении такого симптома, детям необходимо увеличить потребление витаминов. Их быстрый рост часто приводит к ослаблению защитных сил организма. Для профилактики можно проводить двухнедельные курсы приема аскорутина, который компенсирует недостаток витамина С. Ведь, как известно, в большинстве фруктов с рынка теперь очень мало витаминов.
Когда понятно, почему возникает кровоточивость десен и как ее лечить, можно принять своевременные меры и предотвратить ухудшение состояния ротовой полости. Это позволит чаще улыбаться!
Лечение кровоточивости десен шалфеем
Лечение кровоточивости десен
Борьба с кровоточивостью десен
Использование алоэ для снятия воспаления и кровоточивости десен
Что делать, если кровоточат десна
Важность приема витаминов для здоровья зубов и десен
Симптомы и признаки пародонтита






