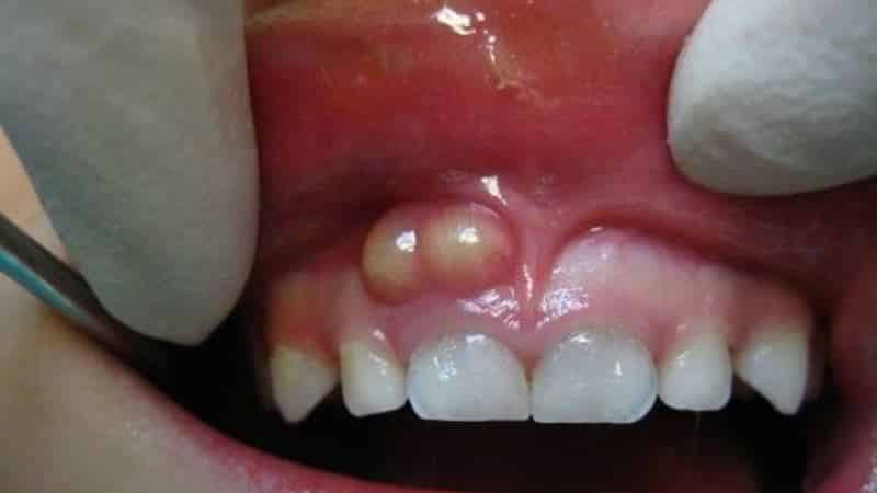
Флюс или периостит — это неприятное заболевание полости рта, которое может возникнуть внезапно. Оно является одним из самых распространенных стоматологических заболеваний и вызывает дискомфорт у пациента. Развитие этого заболевания сопровождается скоплением гноя в ротовой полости, что приводит к отечности и болезненным ощущениям.
Причины появления флюса
Устранение зубной опухоли возможно в короткие сроки при соблюдении рекомендаций врача, несмотря на значительный дискомфорт. Давайте рассмотрим наиболее эффективные и актуальные методы лечения периостита. Прежде чем узнать, как снять опухоль при флюсе, важно понять причины этого заболевания. Среди наиболее распространенных причин развития флюса — наличие кариозных зубов, инфекции, механические повреждения десен и воспаление между зубами и деснами. В любом случае, развитие флюса и его симптомов приносят больному значительный дискомфорт и мешают нормальной жизни. Несвоевременное лечение флюса может привести к серьезным осложнениям. В некоторых случаях заболевание сопровождается повышением температуры и общей слабостью, поэтому отсутствие своевременной медицинской помощи может иметь серьезные последствия. Хотя лучшим методом лечения флюса является обращение к стоматологу, в домашних условиях можно снять неприятные симптомы. Однако стоит помнить, что такое лечение помогает только временно, и в любом случае потребуется обратиться к врачу. Специалист проводит хирургическое удаление гнойника, вскрывая его и удаляя содержимое. Однако на ранних стадиях возможно лечение флюса антибиотиками, если гнойный нарыв еще не сформировался. В зависимости от типа заболевания выделяют два вида флюса: острый (симптомы: повышенная температура, пульсирующие головные боли, распространяющиеся в шею) и хронический (симптомы: сильный отек щеки от виска до шеи, тупые боли, часто повышенная температура). Если периостит развивается в промежутке между зубом и десной, существует высокий риск инфицирования, что становится причиной гнойного воспаления.
Хирургическое лечение флюса
Лечение флюса с использованием нетрадиционных методов может быть применимо в ситуации, когда пациент не может обратиться к врачу немедленно. Несмотря на то, что некоторые люди не доверяют народным методам лечения, некоторые из них могут оказаться действительно эффективными при флюсе. Как можно снять опухоль в домашних условиях? Важно помнить, что то, что сработало для одного человека, может оказаться неэффективным для другого, поэтому лучший способ найти оптимальное народное средство — это метод проб и ошибок. Однако стоит помнить, что флюс является воспалительным процессом, поэтому не рекомендуется нагревать больное место, так как в теплой среде бактерии размножаются еще быстрее.
Народные методы лечения флюса
Снятие зубной опухоли в домашних условиях может быть достигнуто с помощью различных методов. Один из самых эффективных и доступных способов лечения флюса — использование кухонной соды. Кухонная сода не только помогает излечить заболевания горла, но и другие проблемы полости рта. Для приготовления раствора добавьте столовую ложку соды и столько же соли в 200 мл кипятка. После остывания раствора прополощите им рот. Эту процедуру рекомендуется повторять 2-3 раза в день.
Шалфей также может помочь устранить отек и снизить неприятные симптомы. Раствором шалфея следует обрабатывать гнойник утром и вечером, а также использовать его для полосканий.
Другие травы, такие как мелисса, ромашка и комплексные сборы, могут оказать общее оздоравливающее действие.
Существует несколько проверенных и эффективных рецептов для борьбы с флюсом:
-
Возьмите 2 столовые ложки шалфея и столько же дубовой коры, добавьте 3 столовые ложки измельченного зверобоя. Залейте литр горячей воды, накройте и оставьте на полчаса. После настаивания процедите через марлю и полоскайте рот после каждого приема пищи. Раствор следует использовать горячим.
-
Смешайте по столовой ложке горчичника, шалфея и синеголовика. Залейте 200 мл водки или кипятка. Настаивайте 2-3 часа в темном месте, затем полоскайте рот или прикладывайте смоченную в растворе ватку к гнойнику.
-
Залейте полстакана крепкого отвара мелиссы литром кипятка. Накройте емкость капроновой крышкой и укутайте полотенцем на несколько часов. После остывания раствора прополощите им рот 8-10 раз.
-
Смешайте 100 г мяты с барвинком, дудником и березовыми почками (по 50 г). Залейте 1 литр кипятка, настаивайте около часа и используйте для полоскания после каждого приема пищи.
-
Перемешайте настой шалфея и крепкий зеленый чай в одинаковых количествах. Добавьте чайную ложку обычной соли после фильтрации настоя. Хорошо перемешайте. Перед полосканием раствор следует подогреть.
-
Залейте 2 столовые ложки коры дуба 250 мл кипятка. Настаивайте полчаса перед полосканием. Регулярное использование этого отвара помогает снизить неприятные ощущения и уменьшить боль.
Также можно использовать отвары из корня аира, календулы и капустного листа для избавления от флюса.
Настойки для лечения флюса
Настойка из прополиса — народное средство для лечения флюса. Для снятия воспаления и подавления роста бактерий рекомендуется использовать настойки на спирту. Такие средства можно приобрести в аптеке или приготовить самостоятельно. Вот один из эффективных рецептов для избавления от флюса: смешайте пол-литра водки с 90 г прополиса и оставьте настаиваться в темном месте в течение 14-15 дней. Затем процедите полученную настойку через марлю или сито и используйте для примочек и компрессов. Храните ее в прохладном месте, избегая прямого солнечного света. Для снижения неприятных ощущений также можно жевать прополис в чистом виде время от времени.
Как вылечить флюс с помощью мазей
Мази, приготовленные самостоятельно, являются отличными помощниками при периостите. Они могут помочь тем, кто ищет способы снять флюс при воспалении десны за один день. Преимущества использования таких мазей включают доступность ингредиентов, высокую эффективность и комплексное воздействие на другие системы организма. Например, можно смешать высушенные цветки календулы с растопленным сливочным маслом и нанести полученную мазь на воспаленную область перед сном. Также можно добавить прополис к нагретому сливочному маслу и использовать полученную смесь по мере необходимости. Еще один вариант — смешать оливковое и льняное масло с пчелиным воском и медом, подогреть и нанести на воспаленное место. Кусочек ваты, смоченный в луковом соке, также может помочь снять пульсирующую боль. Чесночный зубчик, приложенный к запястью, также может оказаться эффективным средством. Однако, если все эти методы не помогают нейтрализовать инфекцию, может потребоваться хирургическое вмешательство и лечение антибиотиками. Важно помнить, что игнорирование периостита может привести к серьезным осложнениям, вплоть до летального исхода.







