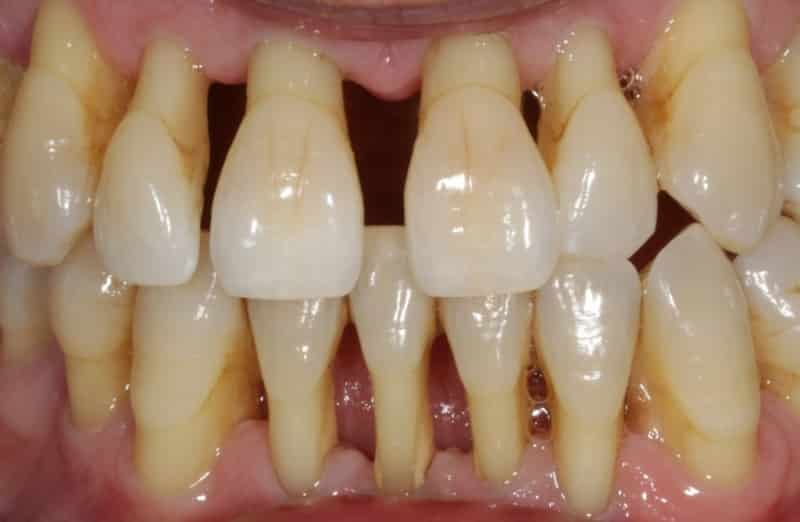
Пародонтоз был известен людям с давних времен, и медики описывали это заболевание еще до нашей эры. Сегодня зубные врачи обладают достаточными знаниями для своевременной диагностики, прогнозирования развития и эффективного лечения пародонтоза. Что такое пародонтоз и как он выглядит (см. фото)? Это заболевание пародонта, которое сопровождается дегенеративными изменениями тканей десны и дистрофией альвеолярных отростков.
Важно отметить, что пародонтоз и пародонтит — это разные заболевания, хотя они поражают один и тот же тип ткани. У них разные причины возникновения, различные пути развития и требуют применения разных методов лечения. Кроме того, пародонтоз встречается редко, примерно у 3% пациентов.
Симптомы пародонтоза и отличия от пародонтита
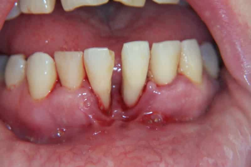
Пародонтоз характеризуется медленным прогрессированием, что затрудняет его раннюю диагностику. Обычно он обнаруживается при профилактическом осмотре у стоматолога, который обнаруживает расшатавшиеся зубы и проблемы с деснами. В отличие от пародонтита, пародонтоз не вызывает болезненных ощущений до определенного момента. Наблюдения показывают, что пародонтоз может быть наследственным заболеванием, передающимся из поколения в поколение.
Для отличия пародонтоза от пародонтита существует несколько признаков. Во-первых, пародонтоз является редким заболеванием, в то время как пародонтит распространен. Во-вторых, причиной пародонтоза является нарушение клеточного питания, в то время как пародонтит связан с плохой микрофлорой ротовой полости и наличием зубных отложений. В-третьих, пародонтоз затрагивает альвеолярные отростки всей полости рта, тогда как пародонтит может быть локализованным или распространяться на несколько десен. В-четвертых, при пародонтозе отсутствует воспаление десен, а главным процессом является атрофия, в то время как при пародонтите преобладает воспаление. В-пятых, пародонтоз не сопровождается абсцессами, гнойными выделениями, кровотечениями и патологическими зубодесневыми карманами, в отличие от пародонтита. И, наконец, при пародонтозе зубы начинают расшатываться постепенно, с течением времени, в то время как при пародонтите расшатывание зубов происходит уже на ранних стадиях заболевания.
Пародонтоз можно классифицировать по нескольким показателям. Во-первых, по месту расположения он может быть генерализованным, когда затронуты обе челюсти или весь зубной ряд, или локализованным, когда атрофия наблюдается только на небольшом участке. Во-вторых, по активности дегенеративных процессов он может быть хроническим или острым. И, наконец, в зависимости от степени повреждений костной ткани выделяются пять стадий развития болезни: начальная, первая, вторая, третья и четвертая стадии.
Диагностика и причины
Диагностика пародонтоза обычно проводится опытным специалистом с высокой точностью. Для установления диагноза используются данные из анамнеза пациента и результаты осмотра полости рта. В начальной стадии заболевания, как правило, отсутствуют симптомы, и только со временем проявляются видимые признаки. Для уточнения диагноза в первых стадиях пародонтоза может потребоваться проведение дополнительных тестов, таких как проба Кулаженко, которая оценивает прочность кровеносных капилляров, и пузырчатая проба, которая измеряет скорость рассасывания отеков на поверхности десны. Считается, что главную роль в развитии пародонтоза играет дистрофия костной ткани в альвеолярных отростках, которая поддерживается различными факторами, такими как плохая гигиена полости рта, слабый иммунитет, наследственность, особенности строения тела и питание. Большинство врачей также считают, что выделение токсинов микроорганизмами является сигналом для развития заболевания, так как бактерии вызывают дегенерацию тканей пародонта на клеточном уровне. Пародонтоз может развиться как во всей челюсти, так и локально. Существуют также научные доказательства роли сосудистого фактора, так как артериальные и склеротические изменения могут влиять на снабжение кровью и питательными веществами тканей пародонта, что приводит к их атрофии. Недостаток витаминов группы C, E, P также может стать причиной развития пародонтоза и ускорить атрофию костных тканей челюсти.
Лечение
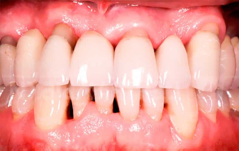
Лечение пародонтоза зависит от стадии развития заболевания и количества оставшихся зубов. При первом визите к врачу-пародонтологу проводится осмотр и рентген, чтобы определить степень повреждения костной ткани и протяженность пародонтальных карманов. Затем проводится очистка ротовой полости от зубных отложений, после чего применяется противовоспалительная терапия. Источники заражения, такие как кариесные зубы, удаляются или лечатся, чтобы предотвратить воспалительные процессы. Пациенту также дают рекомендации по гигиене полости рта. В случае атрофии костной ткани зубы шинируются, чтобы предотвратить их подвижность. При необходимости проводится хирургическое вмешательство, а при отсутствии зубов — протезирование. Важно помнить, что использование лазера не является основным методом лечения пародонтоза. При попытках самолечения возникают проблемы, поэтому необходимо обратиться к врачу своевременно. После лечения рекомендуется регулярно посещать пародонтолога и уделять достаточное внимание гигиене полости рта. Также важно изменить рацион питания, исключив острые, твёрдые и горячие блюда, а также сбалансировать рацион и убрать рафинированные продукты. При появлении тревожных симптомов необходимо обратиться к врачу, так как самостоятельно справиться с пародонтозом невозможно.






