Почти каждый современный человек мечтает о красивой и здоровой улыбке. Однако в настоящее время очень трудно иметь идеальные зубы без каких-либо проблем. Это связано с различными факторами, такими как экология, питание, общее состояние здоровья и другие проблемы. Специалисты утверждают, что для поддержания здоровья зубов необходимо употреблять продукты, содержащие фтор и кальций, а также использовать средства гигиены.
Выбор продуктов для зубов
Современное разнообразие блюд мировой кухни предлагает множество продуктов, которые полезны для здоровья зубов и десен. Важно употреблять пищу, богатую кальцием, такую как морепродукты, рыба, молочные продукты, кисломолочные продукты и сухофрукты. Особенно рекомендуется беременным женщинам употреблять творог с полезными фруктами, чтобы укрепить зубы, особенно уязвимые и подверженные разрушению. Желательно также употреблять яблоки и морковь после еды, так как они помогают укрепить зубы и обеспечивают естественный массаж десен. Однако бананы и цитрусовые не способствуют укреплению зубов и лучше полоскать рот после их употребления. Петрушка помогает освежить дыхание и отбелить зубы, поэтому ее можно пожевать в любое время. Кусочек сыра также помогает очистить зубы и является источником кальция. Сахар является врагом зубов, поэтому после употребления сладких блюд и конфет необходимо тщательно чистить и полоскать ротовую полость. Независимо от регулярного ухода, здоровье зубов поддерживается правильной гигиеной, регулярными посещениями стоматолога и сбалансированным рационом питания.
**Правильно питаемся без подкормки бактерий**
Питание, которое мы потребляем, играет важную роль в питании бактерий, проживающих в нашем организме. Чтобы поддерживать их здоровье, необходимо правильно составлять рацион питания. Важно выбирать продукты, которые полезны для зубов и не вызывают проблем со здоровьем, а также не способствуют размножению бактерий, которые вызывают образование налета на зубах. Пища с высоким содержанием крахмала и сахара способствует быстрому образованию налета, так как она одновременно питает и размножает бактерии. Чтобы избежать проблем и сохранить здоровье полости рта, рекомендуется ограничить потребление сладостей, сдобных изделий и вредных напитков, таких как газировка. Специалисты советуют уменьшить потребление пищи, содержащей легкоусвояемые углеводы, и избегать перекусов, так как они являются вредными для зубов. Постоянное жевание способствует размножению вредных микроорганизмов и развитию кариозных процессов. Восстановление эмали происходит в перерывах между приемом пищи, поэтому постоянные перекусы не рекомендуются. Мягкие сладости могут нарушать формирование зубного ряда у детей и способствовать быстрому износу зубов у взрослых, так как они не предоставляют достаточной жевательной нагрузки. Сладости можно заменить на нерафинированные продукты, такие как сухофрукты.
**Польза** **продуктов**
Твердый сыр, богатый фосфатами и казеином, считается отличным продуктом, полезным для зубов и десен. Эти элементы способствуют восстановлению зубной эмали, а жевание сыра не вызывает образование кислоты. Поэтому твердые сорта сыра считаются хорошими антикариозными средствами. Укроп также помогает дезинфицировать ротовую полость и освежить дыхание. Многих пациентов стоматологий также интересует, какие продукты полезны для зубов и не вызывают воспалений. Картофель в отварном виде, морская рыба, хлебобулочные изделия из грубой муки, свежий заваренный чай и зелень обладают отличными свойствами с достаточным содержанием фтора. Мясные продукты с содержанием железа и витамина В12 также очень полезны для здоровья зубов. Цитрусовые и яблоки содержат витамин С, который стимулирует обменные процессы. Правильная приготовка продуктов также важна для сохранения их полезных свойств. Например, чтобы сохранить витамин С в картофеле, его следует резать ножом из нержавеющей стали и варить в кипяченой воде. Овощи и фрукты, которые требуют нагрузки и стимулируют кровоснабжение, также полезны для зубов и десен. Твердость волокон способствует эффективной чистке и массажу.
Для здоровья зубов лучше отказаться от курения
Статистические данные о проблемах, связанных со здоровьем полости рта, указывают на то, что некурящие люди старше 60 лет имеют гораздо меньше проблем с отсутствием зубов по сравнению с курильщиками. Кроме того, те, кто курит, значительно реже способны сохранить свои зубы в целостности и здоровом состоянии. Стоматологи настоятельно рекомендуют бросить курить по множеству причин, что подтверждает несовместимость курения с общим здоровьем.
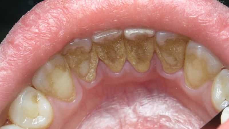
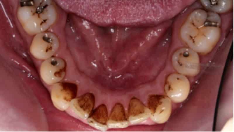
Курение способствует образованию темного налета на зубах. Табак сокращает выделение слюны, что приводит к неполной очистке полости рта. В результате этого процесса на зубах часто появляются темные пятна коричневого цвета, активно развивается зубной камень, а также возникают частые заболевания полости рта.
Кроме того, курение может вызвать атрофию слизистой оболочки и нарушение кровообращения в деснах из-за воздействия табачного дыма. Курильщики подвержены таким заболеваниям, как хронический гингивит, который может прогрессировать до пародонтита. Зубы курильщика не могут быть эффективно защищены средствами гигиены, так как химические вещества в табаке замедляют процесс заживления и лечения. Поэтому единственным решением в данной ситуации является отказ от курения.
**Вредные зубам продукты**
Кислота, содержащаяся в некоторых продуктах, является вредной для зубов, так как она разрушает эмаль. Напитки с газом, хотя и содержат большое количество кислоты, пользуются популярностью у детей. Родители должны знать, что частое употребление этих напитков приводит к быстрому разрушению эмали зубов из-за действия кислоты, а не бактерий. Цитрусовые, кислые соки, вишни, кислые яблоки антоновка и другие продукты обладают этим эффектом, поэтому их состав следует изучать. После их употребления рекомендуется прополоскать рот. Лимонады, содержащие компоненты для придания цвета, также являются вредными. Если ребенок не может отказаться от них, можно предложить пить через трубочку, чтобы уменьшить контакт с зубами. Температурные перепады в горячей или холодной пище также наносят вред эмали из-за образования микротрещин. Чай может содержать большое количество фтора, в зависимости от условий его произрастания и способа приготовления. Напитки с кофеином, алкоголем или табаком способствуют активному выведению кальция, который необходим для здоровья зубов. Люди, беспокоящиеся о состоянии своих зубов, должны сократить потребление этих напитков до минимума или полностью отказаться от них. Чтобы сохранить зубы здоровыми, необходимо регулярно следить за гигиеной, правильным питанием и избегать вредных воздействий и привычек. Также рекомендуется контролировать состояние зубов и своевременно посещать стоматолога.
https://www.youtube.com/watch?v=VDEhAEe—jo






