После удаления зуба, многие курильщики задаются вопросом, можно ли им курить и через какое время. Особенно актуально это для тех, кто только что посетил стоматолога и был вынужден удалить больной зуб или мудрость. После стрессовой ситуации в стоматологическом кабинете, курильщики желают успокоить себя привычным способом. Однако стоит ли говорить о пользе такого «успокоительного» действия?
Почему нельзя курить после удаления зуба
После удаления зуба важно воздержаться от курения в течение нескольких часов. Это связано с образованием кровяного сгустка, который называется «кровяная мозоль». Нельзя полоскать рот после удаления зуба, так как курение и сплевывание создают вакуум во рту, что может сместить кровяной сгусток. Вредные химические вещества в сигаретном дыме раздражают слизистую рта и могут вызвать повторное кровотечение и замедлить процесс заживления. Курение также может привести к появлению «сухой лунки», когда кровяной сгусток случайно удаляется из раны. Это может привести к инфицированию раны и возникновению воспалительного процесса. Курение после удаления зуба может вызвать боль, повышение температуры, головную боль и отечность десен. Лучшим решением будет полное прекращение курения, но если это не возможно, стоит постараться не курить хотя бы 3-4 часа после удаления зуба, чтобы избежать неприятных последствий.
Курение и зубы курильщика
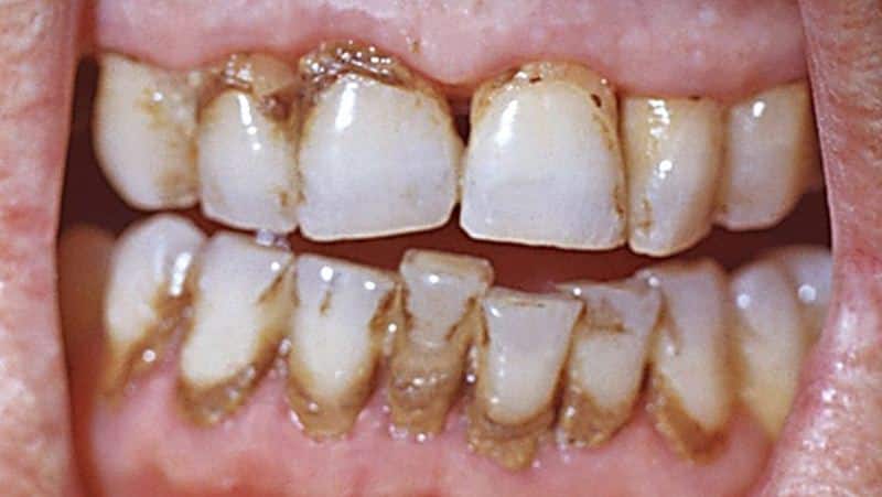
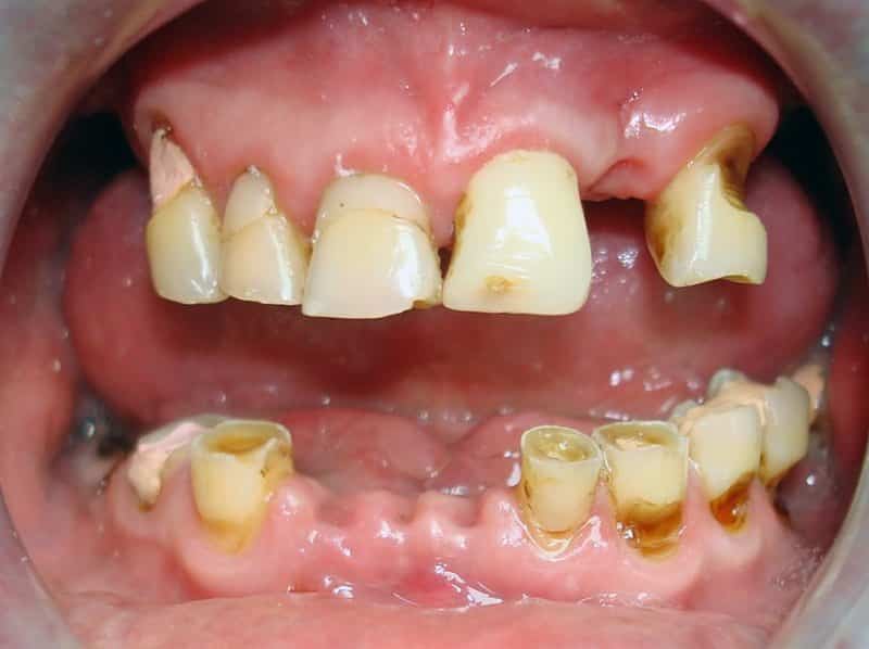
Курение является известным вредным привычкой, и оно также наносит вред ротовой полости курильщика. В составе сигаретного дыма содержится множество вредных веществ, таких как смолы, сажа, никотин и другие, которые негативно влияют на зубную эмаль и могут привести к развитию кариеса. Смолы, содержащиеся в сигаретном дыме, способствуют образованию зубного камня, что в свою очередь может привести к пародонтозу, кариесу и воспалению десен, в конечном итоге приводящему к потере зубов. Кроме того, курение оказывает влияние на внешний вид зубов. У курильщиков челюсти имеют неприятный желтый оттенок с черной окантовкой по краям. Кроме того, у заядлых курильщиков неприятный запах изо рта, а губы и язык приобретают желтоватый оттенок. Хотя можно воспользоваться процедурой отбеливания зубов, однако, если продолжать курить, желтый цвет вернется уже через несколько дней.
Причины появления желтизны во рту при курении
Факторы, влияющие на появление желтизны в ротовой полости у курильщиков, включают следующее:
- При курении высокая температура вдыхаемого дыма способствует образованию трещин на эмали зубов.
- Содержащиеся в сигарете смолы и деготь проникают в трещины, в результате чего зубы приобретают желтый оттенок.
Исследования стоматологов показали, что к 65-летнему возрасту потеря зубов происходит примерно у половины курильщиков.
Плюсы для здоровья ротовой полости при отказе от курения
Отказ от курения принесет вам множество положительных изменений:
- Исчезнет неприятный запах изо рта, который может быть неприятным для окружающих, хотя курильщики его не всегда замечают.
- Улучшится здоровье зубов, что снизит риск развития кариеса, воспаления десен и других проблем, связанных с курением.
- Зубная эмаль с течением времени восстановит свой естественный цвет, или вы можете воспользоваться процедурой отбеливания.
- Вы сэкономите деньги, так как больше не будет необходимости тратить их на дорогостоящее лечение и покупку сигарет.
- Ваш риск заболеть онкологическими заболеваниями, включая рак горла и рак языка, снизится.
Курение в больших количествах может привести к развитию лейкоплакии неба, что в свою очередь может стать причиной онкологии.
После удаления зуба рекомендуется убрать тампон через примерно 20 минут. Чтобы снять возможный отек на лице, можно приложить лед, обернутый в ткань, к щеке на 15-20 минут с перерывами в 5 минут. Если у вас продолжительная боль, можно принять обезболивающее средство. Если зубная боль продолжается в течение двух-трех дней, обратитесь к врачу.
Чего не нужно делать после удаления
Сразу после удаления зуба следует избегать следующих действий:
- Не рекомендуется накладывать тепловые компрессы на десну или щеку.
- В течение первых трех часов не следует есть.
- Не курите и не употребляйте алкоголь.
- Избегайте физических нагрузок.
- Не принимайте горячую ванну, не посещайте сауну или баню.
- Не жуйте жевательную резинку.
- Не касайтесь языком и не сковыривайте «кровяную мозоль» с лунки.
- Не полоскайте рот.
- Если возможно, не садитесь за руль сразу после хирургического воздействия, особенно если была применена анестезия или наркоз, так как реакция может быть замедлена.





