Удаление зуба – это процедура, которая может быть довольно травматичной, несмотря на ее оперативность и прогрессивные возможности современной стоматологии. Если после удаления зуба мудрости или другого зуба в рану попадает инфекция или развиваются другие патологические процессы, это может привести к неприятному запаху изо рта. В данной статье мы рассмотрим, какие заболевания или проблемы могут вызывать этот симптом и как с ним справиться.
Причины неприятного запаха
Неприятный запах изо рта после стоматологических процедур указывает на начало воспалительных или инфекционных процессов в кости зуба и околозубных тканях. Часто пациенты замечают появление этого симптома в первые 3-5 дней после удаления зуба мудрости. Если в этот период не предоставить оперативное и целенаправленное лечение, воспаленная рана и мягкие ткани могут покрыться микробным налетом, покраснеть, онеметь и отечь. Воспалительный процесс может распространиться на различные области и даже проникнуть внутрь челюстной кости (остеомиелит). Основные причины попадания инфекции в открытую рану могут быть следующими:
-
Невыполнение рекомендаций дантиста. После удаления зуба врач предписывает особый режим гигиены, который необходимо соблюдать. Это включает щадящую чистку зубов, избегание области лунки, мягкое полоскание рта антисептиками и заживляющими средствами. Также следует воздержаться от употребления пищи и жидкости в течение нескольких часов после процедуры и придерживаться диеты из мягких нейтральных продуктов и жидкостей в течение следующих нескольких дней. Несоблюдение этих рекомендаций может привести к раздражению раны и проникновению патогенной микрофлоры.
-
Образование «сухой» раны. В течение нескольких часов после удаления зуба образуется кровяной сгусток, который защищает рану от попадания микробов и других веществ. Удаление этого сгустка запрещено, и его отсутствие может привести к заполнению раны остатками пищи, слюной и микробами, что вызывает гнилостные процессы и неприятный запах.
Стоматологические заболевания также могут быть причиной воспаления раны и появления неприятного запаха. Воспаленная рана может привести к развитию кариеса на соседних зубах и воспалению десны и карманов в области лунки. Осколок зуба или инструмента, попавший в рану, также может вызвать сильное воспаление в мягких тканях. Иногда неприятный запах может быть вызван лечебными препаратами, применяемыми для уменьшения болезненных ощущений и имеющими противовоспалительные и антимикробные свойства. В таких случаях рекомендуется дождаться окончания курса терапии и восстановления микрофлоры в ротовой полости для возвращения здорового запаха изо рта.
Как устранить проблему
После удаления зуба возможно появление отека десны. Если это вызвано воспалительными процессами, необходимо определить причину и начать эффективное лечение. Для ускорения заживления и регенерации тканей, необходимо повторно нанести лекарство в полость, чтобы избежать сухости лунки и удаленных сгустков. Если запах изо рта вызван стоматологическими заболеваниями и патологиями, то полное излечение этих проблем поможет избавиться от неприятного запаха. Если в полость попал осколок зуба или инструмент, требуется его удаление, а также накладывание лекарства и швов. Если невозможно сразу попасть на прием к врачу и устранить причину недуга, можно воспользоваться следующими рекомендациями:
- Уделите больше времени на чистку зубов (5-7 минут) и обязательно очищайте межзубные промежутки с помощью специальных ершиков или стоматологической нити.
- После каждой чистки зубов полощите рот освежающими и противовоспалительными ополаскивателями, предпочтительно мятными и эвкалиптовыми средствами. Избегайте спиртовых ополаскивателей, так как они могут пересушить полость рта и усугубить проблему. Также можно приготовить отвары из целебных трав, таких как шалфей, ромашка, кора дуба, эвкалипт, зверобой, мелисса и мята.
- После каждого приема пищи полощите рот хотя бы водой, лучше с добавлением нескольких капель эфирного масла лимона и мяты.
- Перекусы между основными приемами пищи должны состоять из фруктов, орехов и овощей. Избегайте продуктов, вызывающих гнилостный запах во рту, таких как бургеры, мясные и рыбные блюда, кондитерские изделия, снеки, полуфабрикаты, молочные и кисломолочные напитки. После перекусов можно пожевать мятную резинку в течение 2-3 минуты.
Чтобы избавиться от неприятного запаха после удаления зуба, не забывайте регулярно очищать спинку языка, так как на ней оседают продукты жизнедеятельности бактерий. Перед походом к врачу можно начать первичное лечение воспаленной лунки, смочив ватный тампон раствором марганца, фурацилина или хлорофиллипта и аккуратно промокнув лунку, удаляя некротический налет или гной. Для уменьшения кровотечения можно сделать примочку из перекиси на 1-2 минуты. Обезболить область помогут раствор новокаина или лидокаина, а также прохладные компрессы.
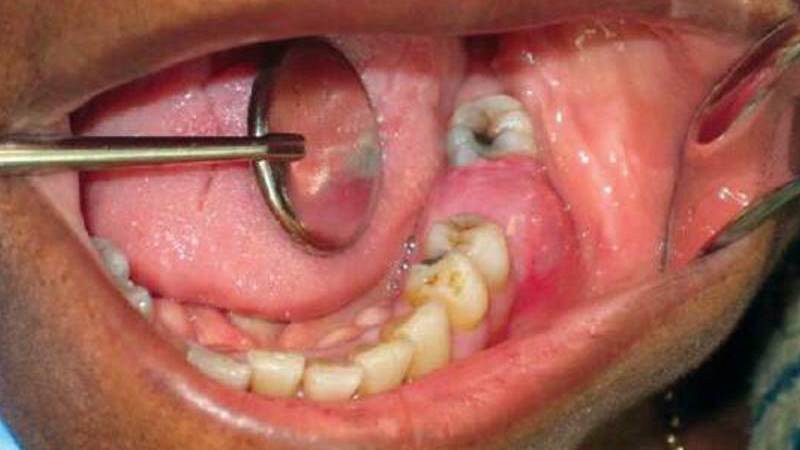
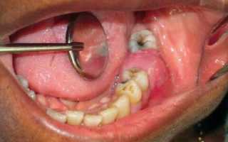
Гнойное воспаление лунки
Альвеолит, часто возникающий после удаления сложных зубов, может привести к серьезным осложнениям, если не получит своевременного лечения. Воспалительные процессы и гнойные массы быстро развиваются в лунке, а инфекция может распространиться по организму, вызывая сепсис. Нагноение лунки может быть вызвано несколькими факторами, включая сложность удаления зуба, наличие инфекции или гранулемы в области, неправильное соблюдение санитарных норм, отсутствие кровяного сгустка, попадание инфицированных объектов в рану, неправильная гигиена полости рта после удаления и наличие стоматологических заболеваний или ослабленного иммунитета. Если после удаления зуба мудрости появляется неприятный запах изо рта и некротический налет, а также гнойные массы, необходимо обратиться к врачу для лечения альвеолита. Лечение включает анестезию, очистку лунки от налета и микробов, промывание антисептическим средством, вскрытие лунки и применение сильнодействующего лекарства. После процедуры рекомендуется соблюдать щадящий режим для полости рта, включая диету, аккуратную гигиену и регулярный осмотр лунки.






