Паразитизм представляет собой взаимодействие между двумя или несколькими организмами, которые не имеют генетической связи, но сосуществуют друг с другом в продолжительное время. В рамках таких отношений один вид выступает в роли паразита, используя другой вид (хозяина) в качестве места обитания и источника питания.
Либо человек, либо теплокровное животное могут выступать в качестве первичного хозяина, где паразитоид завершает весь жизненный цикл, проходя стадии развития до достижения зрелости, либо в роли промежуточного хозяина, где человеческий организм используется на ограниченный период для развития личиночной стадии.
Облигатные (стационарные) паразиты
Уровень взаимосвязи между паразитическим организмом и его хозяином можно классифицировать как симбиоз факультативный (независимый) и облигатный (постоянный). В первом варианте паразиты ведут независимый образ жизни и лишь при определенных условиях переходят к паразитическому образу жизни.
При облигатном паразитировании, микроорганизмы адаптировались к существованию без доступа кислорода (анаэробы), однако они не способны выживать, расти и размножаться вне организма человека.
Эктопаразиты
Человеческая вошь (платяная, головная и лобковая) представляет собой постоянного эктопаразита. Это небольшое (до 0,3 см) насекомое, питающееся кровью, которое обитает, питается и размножается на волосистом покрове человека.
Паразитический насекомое
Наиболее часто педикулезом заражаются дети, когда они непосредственно контактируют с больными людьми или используют общие головные уборы и расчески. Вши могут переносить тяжелое инфекционное заболевание — сыпной тиф.
Чесоточный зудень – это насекомое, которое питается кровью и живет как паразит в верхних слоях кожи (например, в локтевых сгибах, на боках живота, между пальцами). Определить наличие чесотки можно по характерным следам на коже (чесоточные ходы), которые самка создает ночью для откладывания яиц. В то же время на коже может обитать от 10 до 20 особей этого паразита, вызывая сильный зуд, который особенно беспокоит в ночное время.
Неприятное чувство зудения в коже
Чесотка может передаваться через контактный путь, такой как рукопожатие, а также через бытовые контакты и половые пути. Осложнения могут возникнуть из-за внесения инфекции в места расчесов.
Кровососущий клоп – это паразит, который питается кровью у теплокровных существ, включая людей. Он предпочитает кусать в ночное время, что вызывает неприятные ощущения и дискомфорт у своих «хозяев». Кроме того, этот клоп может быть переносчиком различных заболеваний, таких как бруцеллез, брюшной тиф, туберкулез и гепатит В.
Ночной насекомое
Угревая железница – тип клеща, который обитает в сальных железах, внутри волосяных фолликул бровей, ресниц и волос, а также на лице и рядом с наружным ухом. Поражение кожи клещом может вызвать появление розовых угрей, себореи, гнойничков, выпадение ресниц, отечность век и частые ячменя.
Железная дорога в ущелье
Эндопаразиты: чем опасны для человека
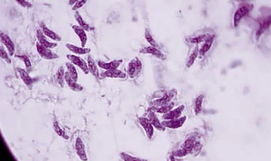
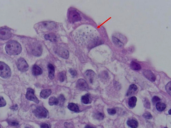
Токсоплазма – это простейший паразит, который может заразить людей и теплокровных животных, вызывая заболевание под названием токсоплазмоз. Источником инфекции являются домашние млекопитающие, такие как собаки, кролики и кошки. По статистике, каждый третий человек в мире заражен токсоплазмой. Однако инфекция представляет опасность в основном во время беременности, когда может привести к потере плода или рождению ребенка с умственной отсталостью.
Инфекция Шагаса – вызвана микроскопическим паразитом – трипаносомой. Переносчиком является насекомое, питающееся кровью. Это заболевание широко распространено на территории Америки. Заражение происходит при укусах, через переливание зараженной крови, от матери к ребенку, при употреблении пищи, загрязненной насекомыми.
Паразитируют трипаносомы в толстом кишечнике, в сердце, нервных и мышечных тканях. Ежегодно заболевает около 300 000 человек, из которых более 10 000 с летальным исходом. Смерть наступает вследствие тромбоэмболии, сердечной недостаточности и аритмии. Высокая смертность у детей до 5 лет.
Острицы, трихинеллы, аскариды – это представители круглых червей, которые проникают в тонкий кишечник человека. Их инвазия происходит, когда яйца глистов попадают в кишечник постоянного хозяина через немытые фрукты, грязные руки и посуду. В случае трихинеллеза это происходит при употреблении полусырого мяса свиней и диких животных. При обширном поражении глисты мигрируют в желчные протоки (что может привести к развитию гнойного холангита), в органы дыхания (вызывая обструктивный бронхит), печень, аппендикс, и даже может привести к кишечной непроходимости.
Острицы
Плоский червь (трематода) – это разновидность паразитических червей, которая вызывает тропическую болезнь шистосомоз. Заражение происходит при контакте человека с зараженными моллюсками, которые являются переносчиками шистосом. Поселившись в мочевом пузыре, трематода атакует клетки и органы мочеполовой системы. После перенесенного заболевания существует высокий риск бесплодия как у женщин, так и у мужчин.
Трематода
Печеночный сосальщик – еще один представитель этого вида. Разрастается до 3 метров, проникая в желчные протоки и печень теплокровных существ и человека. Заражение червями происходит при употреблении недоваренной рыбы (строганины). Трематода вызывает описторхоз, заболевание, поражающее желчевыводящие протоки, поджелудочную железу и печень.
Сосальщик печени
Бычий цепень (солитер), свиной цепень – это вид ленточных червей. Попадает в организм человека через употребление зараженного тениидами мяса крупного рогатого скота или свинины. Солитер может достигать длины до 10 метров, присоединяясь к стенке тонкого кишечника. Это заболевание сопровождается потерей веса, авитаминозом, аллергическими реакциями и расстройствами ЖКТ.
Бычий цепень
Риккетсии – это тип грамотрицательных микроорганизмов, которые могут вызывать лихорадочные состояния. Риккетсиозы обычно появляются после укусов зараженных кровососущих насекомых (таких как клещи, блохи, вши).
Риккетсии
Спирохеты – это грамотрицательные одноклеточные бактерии, которые вызывают болезнь Лайма. Их передача происходит через укус иксодового клеща. Одним из характерных симптомов инфицирования является мигрирующая кольцевая эритема. Заражение спирохетами представляет опасность для беременных женщин, так как может привести к внутриутробной гибели плода. У детей, рожденных с живыми симптомами, наблюдается задержка психического развития. К спирохетам также относится трепонема – возбудитель сифилиса, венерического заболевания, которое передается при половом контакте.
Спирохеты
Хламидии – это грамотрицательные микроорганизмы, которые передаются через контактный и половой пути. Инфекция хламидиозом поражает мочеполовую систему: у мужчин может развиться хронический простатит, что может привести к бесплодию. У женщин возможно образование спаек и рубцов в маточных трубах, что вызывает трубное бесплодие и риск внематочной беременности.
Хламидии
Шигеллы – разновидность микроорганизмов, которые живут как паразиты в толстой кишке. Эти бактерии могут вызвать острое нарушение работы кишечника, известное как дизентерия. После преодоления инфекции у людей могут возникнуть серьезные проблемы с пищеварением, нарушения микрофлоры кишечника, дефицит витаминов, геморрой и проблемы с прямой кишкой. Передача возбудителя происходит через пищу.
Сальмонеллы – это разновидность бактерий, которые могут вызвать серьезное инфекционное заболевание пищеварительной системы, известное как сальмонеллез. Они попадают в организм человека через употребление сырого молока, яиц и продуктов из белкового крема, сырой рыбы, недостаточно обработанного мяса свинины и птицы. Эта инфекция может привести к развитию острой почечной недостаточности, нарушению кровообращения в сосудах кишечника и последующему кровотечению.
Сальмонеллы
Заражение грибковыми инфекциями (онихомикоз, аспергиллез, кандидоз, себорея) происходит при заражении ногтей, кожи, волос, внутренних органов патогенными грибками. Развитию грибковых инфекций способствует ослабление иммунитета, вызванное приемом гормональных и антибактериальных препаратов, цитостатиков. Передается через контакт с зараженными предметами и половым путем.
Инфекционный агент – это наиболее распространенный тип внутриклеточных обязательных паразитов. Когда он проникает в организм, он вызывает изменения, нарушает нормальное функционирование клеток и может привести к их гибели. Вирусная инфекция передается различными способами.
- Многие детские инфекционные заболевания, такие как скарлатина, краснуха, свинка, корь, ветряная оспа и коклюш, передаются через воздушно-капельный путь.
- Вирус полиомиелита, ротавирус и гепатит А передаются фекально-оральным путем.
- Папилломавирус и герпес могут быть переданы через половой контакт.
- Вирус гепатита В, гепатита С и ВИЧ могут быть переданы во время полового акта, в период беременности, при переливании крови и во время лечебно-диагностических процедур.
Для того чтобы избежать неприятных встреч с паразитическими организмами и негативными последствиями их активности, важно придерживаться простых правил гигиены, обработки и приготовления пищи, укреплять защитные функции организма путем закаливания, занятий спортом и своевременной вакцинации.
Частые вопросы
Какие виды облигатных паразитов существуют?
Существует несколько видов облигатных паразитов, включая протозои, такие как плазмодии, вызывающие малярию, и гельминты, например, трихины, вызывающие трихинеллез.
Какие опасности представляют облигатные паразиты для организма?
Облигатные паразиты могут вызывать различные заболевания у своих хозяев, такие как малярия, трихинеллез, токсоплазмоз, лейшманиоз и другие. Они также могут вызывать хронические заболевания и ослаблять иммунную систему.
Полезные советы
РЕКОМЕНДАЦИЯ №1
Изучите основные виды облигатных паразитов, такие как малярийный плазмодий, токсоплазма, головной вош и другие, чтобы понимать их особенности и опасность.
РЕКОМЕНДАЦИЯ №2
Обратитесь к врачу для консультации и профилактики, особенно если вы планируете путешествие в регионы, где распространены облигатные паразиты.
РЕКОМЕНДАЦИЯ №3
Соблюдайте меры гигиены, такие как регулярное мытье рук, приготовление пищи, употребление питьевой воды, чтобы предотвратить заражение облигатными паразитами.
















