Следует отметить, что самые ранние формы жизни появились на Земле очень давно и считаются самыми древними обитателями нашей планеты. За время своего существования они проявили невероятную устойчивость к различным условиям. Они способны выживать даже в самых экстремальных средах.
Эти мельчайшие существа выбрали для себя очень удобный способ существования – паразитизм, особенно в организме человека. Как уже упоминалось ранее, эти микроорганизмы чрезвычайно «вредные» и устойчивые, поэтому иногда очень сложно избавиться от них.
Существует несколько видов мест, где паразиты могут «обосноваться». Первый тип — это эндогенные микроорганизмы, то есть те, которые присутствуют внутри организма человека. Ко второму типу относятся экзогенные паразиты, которые предпочитают обитать на коже и могут вызывать различные кожные заболевания.
Виды простейших паразитов
В общем, можно выделить четыре типа паразитов, которые активно размножаются в организме человека.
Жгутиковые
Среди них можно выделить амебы, трипаносомы. Этот тип относится к самым древним среди всех паразитов. Они получили свое название из-за способа передвижения, используя жгутики. Размеры этих паразитов крайне микроскопические, они сохраняют постоянную форму и обычно размножаются путем деления на две части.
Лямблии
Они представляют серьезную опасность для людей и животных, если попадают в их организм, наносят значительный ущерб и вызывают различные заболевания, такие как американская сонная лихорадка, кожный лейшманиоз и другие. Они способны паразитировать в кишечнике, крови и на коже, что негативно сказывается на здоровье человека.
Споровики
Этот тип простейших паразитов проходит через сложный процесс развития. На данный момент известно, что в этом классе содержится примерно 1400 разновидностей. Все представители выбирают паразитический образ жизни и представляют серьезную опасность для людей и животных. Размножение происходит путем клеточного деления.
Наиболее часто паразиты выбирают ткани и органы человека или животного в качестве своего «места жительства». Этот тип паразитов может привести к возникновению множества заболеваний, включая малярию и токсоплазмоз.
Инфузории
Среди них можно выделить балантидии. Общее количество различных видов составляет примерно 7000. Для передвижения этих паразитов используются реснички, их количество весьма велико.
Балантидий
Характерной чертой этого вида является присутствие двух ядер. Они имеют постоянную форму тела и оболочку. Обычно размножение происходит путем деления. Этот вид представляет не меньшую опасность для людей и животных, чем два предыдущих.
Саркодовые
Среди них можно выделить амебу дизентерии. Они представляют собой наиболее простые виды и классы. Их количество достигает примерно 10000 разнообразных видов! У них нет постоянной формы тела. Они являются паразитами в организмах людей и животных.
Дизентерийная амеба
Чаще всего организм выбирает пищеварительную систему для своей работы. Из-за нее у человека могут возникать очень серьезные отравления. В определенных ситуациях также встречаются случаи смертельных исходов.
Эти виды отличаются высокой устойчивостью к различным воздействиям. Зараженный организм постоянно пытается бороться с паразитами, но не всегда удается из-за их способности противостоять принятым мерам.
Чем они опасны, какие заболевания вызывают
Небольшие паразиты представляют реальную угрозу для здоровья людей. Они способны вызывать разнообразные заболевания, которые могут иметь серьезные последствия. Важно не недооценивать опасность этих микроскопических паразитов, поскольку они могут серьезно повлиять на организм человека.
Заболевания, которые приводят к возникновению простейших паразитов:
Малярия
Данное заболевание проявляется чередующимися периодами. Иногда наступает улучшение, за которым следует обострение симптомов. Основными признаками являются боли в голове, повышенная температура, ощущение тошноты, рвота и судороги.
В течение длительного времени хитин оставался наилучшим средством для лечения. Тем не менее, случаи летального исхода от этого заболевания чаще всего встречаются в регионах с низким уровнем развития медицины.
Амебиаз
Еще одно такое же опасное заболевание, последствия которого также могут быть трагическими. Причиной этого заболевания является амеба дизентерийная.
Первые признаки заболевания проявляются через 7 – 10 дней после заражения. Они могут включать головную боль, общее недомогание, повышение температуры, а также у некоторых людей возможны проблемы с желудком. Затем могут возникнуть осложнения, связанные с функционированием печени. Если пациент не обратится к специалисту и не начнет лечение своевременно, последствия могут быть необратимыми.
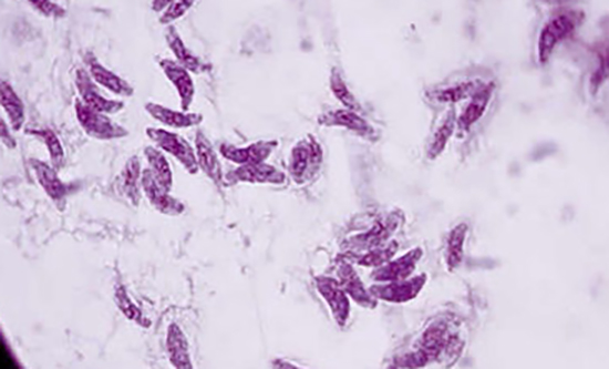
Токсоплазмоз
Источником заболевания является паразит токсоплазма Гондии. Симптомы этого заболевания включают поражение глаз, проблемы с нервной системой и сердечно-сосудистой системой. Часто заражение изначально проходит бессимптомно, как обычная простуда.
Во время беременности заражение представляет серьезную опасность. Даже в случае выживания ребенка, вероятно, будут осложнения и повреждения глаз или нервной системы. Поэтому при появлении первых признаков необходимо обязательно обратиться к врачу.
Балантидиаз
Вызывается таким патогенным микроорганизмом, как балантидия. Характеризуется болями в области живота и нарушением функций желудка. В редких случаях возможно повышение температуры и отравление организма.
Лейшманиоз
Источником этого заболевания является паразит лейшмания. При поражении кожи и слизистых оболочек образуются язвы. При поражении слизистых оболочек и кожи часто возникают отеки. Поскольку это заболевание связано с дыхательными путями, возможны летальные исходы.
Болезнь Лейшманиоз чаще всего встречается в теплых климатических зонах. Это заболевание довольно распространено и встречается в 87 различных странах.
Как можно заметить, простейшие паразиты невероятно опасные для человеческого здоровья, несмотря на простое строение микроорганизмов. Они могут нанести непоправимый вред организму человека, а также повлечь определенные последствия и осложнения.
Как передаются
Существует четыре основных способа распространения инфекции:
- Контактно – бытовой. Этот вид заражения возникает из-за нарушения санитарных норм и правил гигиены. Инфекция может передаваться через различные способы: использование чужих предметов, особенно средств личной гигиены, посуды и так далее. Поэтому очень важно соблюдать правила личной гигиены, иметь собственные средства ухода за собой и ни в коем случае не пользоваться чужими.
- Фекально – оральный. Этот вид заражения происходит в результате контакта с фекалиями или рвотными массами. Простейший паразит сначала попадает на руки или в пищу «нового хозяина», а затем попадает в его организм.
- От продуктов питания. Этот вид заражения проявляется в результате употребления зараженных продуктов. Это может быть плохо приготовленная рыба или мясо, немытые овощи и фрукты, а также молочная продукция.
- Трансмиссивный. Этот вид заражения происходит в результате передачи от зараженного объекта во время укуса, то есть через выделения слюны.
Как от них избавиться
После изучения материала возникает один важный вопрос. Заражения простейшими паразитами встречаются очень часто, поэтому проблема их удаления остается крайне актуальной.
Как уже упоминалось ранее, при появлении первых признаков заражения важно обратиться к медицинскому специалисту. Доктор может запросить определенные исследования и обследования. После их проведения врач установит точный диагноз. Затем необходимо немедленно начать лечение. Также не рекомендуется заниматься самолечением, поскольку только профессионал способен помочь.
Определить правильный диагноз и рекомендовать соответствующее лечение. Чаще всего медики используют различные медикаментозные средства для лечения, которые помогают избавиться от паразитов и ускорить выздоровление пациента.
В настоящее время доступно большое количество эффективных препаратов, способных бороться с инфекциями, вызванными простейшими паразитами. На рынке представлено обширное разнообразие лекарственных средств, что позволяет подобрать подходящий препарат для каждого конкретного пациента.
Профилактические меры
Чтобы избежать указанных выше проблем, важно соблюдать определенные правила и принимать профилактические меры.
Самыми результативными считаются те рекомендации, которые дети усваивают еще в учебных заведениях. Прежде всего важно помнить о аккуратной очистке фруктов и овощей. Также возможно применение тепловой обработки или удаление кожуры.
Следует воздерживаться от употребления сырой рыбы и недо-прожаренного мяса. Важно готовить продукты полностью, соблюдая правильную температуру и время приготовления. Рекомендуется избегать случайных половых контактов и регулярно проходить медицинские обследования.
Частые вопросы
Какие виды простейших паразитов существуют?
Существует несколько видов простейших паразитов, включая амебы, трипаносомы, лямблии и токсоплазмы. Каждый из них может вызывать различные заболевания у человека.
Чем опасны простейшие паразиты для человека?
Простейшие паразиты могут вызывать различные заболевания, такие как амебиаз, малярия, лямблиоз, токсоплазмоз и др. Они могут повлиять на работу органов и вызвать серьезные здоровьесберегающие проблемы.
Каковы основные методы профилактики против простейших паразитов?
Основные методы профилактики включают в себя соблюдение правил гигиены, употребление чистой воды и продуктов, защиту от укусов насекомых, а также регулярную дезинфекцию и очистку жилища и предметов быта.
Полезные советы
СОВЕТ №1
Избегайте употребления сырой или недостаточно прожаренной рыбы и мяса, так как они могут быть источником паразитов, таких как лентец или токсоплазма.
СОВЕТ №2
Тщательно мойте овощи и фрукты перед употреблением, чтобы избежать заражения паразитами, такими как глисты.
СОВЕТ №3
Проводите регулярную дегельминтизацию домашних животных и следите за их гигиеной, чтобы предотвратить передачу паразитов человеку.







